JavaScript is disabled in your browser. Please enable JavaScript to view this website.
AB240936

Anti-CDX2 antibody [SP54] - BSA and Azide free

  • BOND RX™ Validated
  • RabMAb
  • Recombinant
  • Advanced Validation
  • What is this?

Be the first to review this product! Submit a review

|

(0 Publication)

Rabbit Recombinant Monoclonal CDX2 antibody. Carrier free. Suitable for IHC-P, ICC/IF, Flow Cyt (Intra), ChIC/CUT&RUN-seq and reacts with Human samples.

View Alternative Names

CDX3, CDX2, Homeobox protein CDX-2, CDX-3, Caudal-type homeobox protein 2

6 Images
Flow Cytometry (Intracellular) - Anti-CDX2 antibody [SP54] - BSA and Azide free (AB240936)
  • Flow Cyt (Intra)

Unknown

Flow Cytometry (Intracellular) - Anti-CDX2 antibody [SP54] - BSA and Azide free (AB240936)

Intracellular Flow Cytometry analysis of Caco-2 (human colorectal adenocarcinoma epithelial cell) labeling CDX2 with purified ab101532 at 1/200 dilution (0.56μg/ml) (red). Cells were fixed with 4% paraformaldehyde and permeabilised with 90% methanol. Goat anti rabbit IgG (Alexa Fluor®488, ab150077) at 1/2000 dilution was used as a secondary antibody. Isotype control -Rabbit monoclonal IgG (ab172730) (black). Unlableled control -Unlabelled cells (blue).

This image was generated using ab101532, the same clone, but with a different buffer formulation.

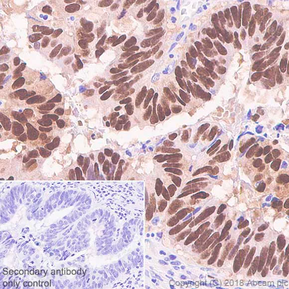
Immunohistochemistry (Formalin/PFA-fixed paraffin-embedded sections) - Anti-CDX2 antibody [SP54] - BSA and Azide free (AB240936)
  • IHC-P

Unknown

Immunohistochemistry (Formalin/PFA-fixed paraffin-embedded sections) - Anti-CDX2 antibody [SP54] - BSA and Azide free (AB240936)

Immunohistochemistry (Formalin/PFA-fixed paraffin-embedded sections) analysis of Human colon carcinoma tissue sections labeling CDX2 with ab101532 at 1/100 dilution (1.11 μg/ml). Heat mediated antigen retrieval with Citrate buffer (pH 6.0, epitope retrieval solution 1) for 20 mins. Goat Anti-Rabbit & Mouse IgG (HRP) was used as the secondary antibody. Hematoxylin was used as a counterstain. Positive staining on the human colon carcinoma, performed on a Leica Biosystems BOND™ RX instrument.
The section was incubated with ab101532 for 30 mins at room temperature.

This image was generated using ab101532, the same clone, but with a different buffer formulation.

Immunocytochemistry/ Immunofluorescence - Anti-CDX2 antibody [SP54] - BSA and Azide free (AB240936)
  • ICC/IF

Unknown

Immunocytochemistry/ Immunofluorescence - Anti-CDX2 antibody [SP54] - BSA and Azide free (AB240936)

Immunocytochemistry/ Immunofluorescence analysis of Caco-2 (human colorectal adenocarcinoma epithelial cell) cells labeling CDX2 with purified ab101532 at 1/50 (2.22 μg/ml). Cells were fixed in 4% paraformaldehyde and permeabilized with 0.1% Triton X-100. Cells were counterstained with ab195889 Anti-alpha Tubulin antibody [DM1A] - Microtubule Marker (Alexa Fluor® 594) 1/200 (2.5 μg/ml). Goat anti rabbit IgG (Alexa Fluor® 488, ab150077) was used as the secondary antibody at 1/1000 (2 μg/ml) dilution. DAPI was used as nuclear counterstain. PBS instead of the primary antibody was used as the secondary antibody only control.

This image was generated using ab101532, the same clone, but with a different buffer formulation.

ChIC/CUT&RUN sequencing - Anti-CDX2 antibody [SP54] - BSA and Azide free (AB240936)
  • ChIC/CUT&RUN-seq

Lab

ChIC/CUT&RUN sequencing - Anti-CDX2 antibody [SP54] - BSA and Azide free (AB240936)

This data was developed using the same antibody clone in a different buffer formulation (ab101532).

ChIC/CUT&RUN was performed using a pAG-MNase at a final concentration of 700 ng/mL, 2.5 x 105 Caco-2 (human colorectal adenocarcinoma epithelial cell) cells and 5 µg of ab101532 [SP54]. The resulting DNA was sequenced on the Illumina NovaSeq 6000 to a depth of 10 million reads. The negative IgG control ab172730 is also shown.

The University of Geneva owns patents relevant to ChIC (Chromatin Immuno-Cleavage) methods.

ChIC/CUT&RUN sequencing - Anti-CDX2 antibody [SP54] - BSA and Azide free (AB240936)
  • ChIC/CUT&RUN-seq

Lab

ChIC/CUT&RUN sequencing - Anti-CDX2 antibody [SP54] - BSA and Azide free (AB240936)

This data was developed using the same antibody clone in a different buffer formulation (ab101532).

ChIC/CUT&RUN was performed using a pAG-MNase at a final concentration of 700 ng/mL, 2.5 x 105 Caco-2 (human colorectal adenocarcinoma epithelial cell) cells and 5 µg of ab101532 [SP54]. The resulting DNA was sequenced on the Illumina NovaSeq 6000 to a depth of 10 million reads. The negative IgG control ab172730 is also shown.

The University of Geneva owns patents relevant to ChIC (Chromatin Immuno-Cleavage) methods.

ChIC/CUT&RUN sequencing - Anti-CDX2 antibody [SP54] - BSA and Azide free (AB240936)
  • ChIC/CUT&RUN-seq

Lab

ChIC/CUT&RUN sequencing - Anti-CDX2 antibody [SP54] - BSA and Azide free (AB240936)

This data was developed using the same antibody clone in a different buffer formulation (ab101532).

ChIC/CUT&RUN was performed using a pAG-MNase at a final concentration of 700 ng/mL, 2.5 x 105 Caco-2 (human colorectal adenocarcinoma epithelial cell) cells and 5 µg of ab101532 [SP54]. The resulting DNA was sequenced on the Illumina NovaSeq 6000 to a depth of 10 million reads. The negative IgG control ab172730 is also shown.

The University of Geneva owns patents relevant to ChIC (Chromatin Immuno-Cleavage) methods.

Key facts

Host species

Rabbit

Clonality

Monoclonal

Clone number

SP54

Isotype

IgG

Carrier free

Yes

Reacts with

Human

Applications

ChIC/CUT&RUN-seq, Flow Cyt (Intra), IHC-P, ICC/IF

applications

Immunogen

The exact immunogen used to generate this antibody is proprietary information.

Reactivity data

{ "title": "Reactivity Data", "filters": { "stats": ["", "Species", "Dilution Info", "Notes"], "tabs": { "all-applications": {"fullname" : "All Applications", "shortname": "All Applications"}, "IHCP" : {"fullname" : "Immunohistochemistry (Formalin/PFA-fixed paraffin-embedded sections)", "shortname":"IHC-P"}, "ICCIF" : {"fullname" : "Immunocytochemistry/ Immunofluorescence", "shortname":"ICC/IF"}, "FlowCytIntra" : {"fullname" : "Flow Cytometry (Intracellular)", "shortname":"Flow Cyt (Intra)"}, "ChICCUTRUNseq" : {"fullname" : "ChIC/CUT&RUN sequencing", "shortname":"ChIC/CUT&RUN-seq"} }, "product-promise": { "all": "all", "testedAndGuaranteed": "tested", "guaranteed": "expected", "predicted": "predicted", "notRecommended": "not-recommended" } }, "values": { "Human": { "IHCP-species-checked": "testedAndGuaranteed", "IHCP-species-dilution-info": "", "IHCP-species-notes": "<p>Boil tissue section in 10mM Citrate buffer, pH 6.0 for 10-20 min followed by cooling at RT for 20 min.</p>", "ICCIF-species-checked": "testedAndGuaranteed", "ICCIF-species-dilution-info": "", "ICCIF-species-notes": "<p></p>", "FlowCytIntra-species-checked": "testedAndGuaranteed", "FlowCytIntra-species-dilution-info": "", "FlowCytIntra-species-notes": "<p><a href='/en-us/products/primary-antibodies/rabbit-igg-monoclonal-epr25a-isotype-control-low-endotoxin-azide-free-ab199376'>ab199376</a> - Rabbit monoclonal IgG, is suitable for use as an isotype control with this antibody.</p>", "ChICCUTRUNseq-species-checked": "testedAndGuaranteed", "ChICCUTRUNseq-species-dilution-info": "", "ChICCUTRUNseq-species-notes": "<p></p>" }, "Mouse": { "IHCP-species-checked": "predicted", "IHCP-species-dilution-info": "", "IHCP-species-notes": "", "ICCIF-species-checked": "predicted", "ICCIF-species-dilution-info": "", "ICCIF-species-notes": "", "FlowCytIntra-species-checked": "predicted", "FlowCytIntra-species-dilution-info": "", "FlowCytIntra-species-notes": "", "ChICCUTRUNseq-species-checked": "predicted", "ChICCUTRUNseq-species-dilution-info": "", "ChICCUTRUNseq-species-notes": "" } } }

Product details

ab240936 is the carrier-free version of ab101532.

What are the advantages of a recombinant monoclonal antibody?
This product is a recombinant monoclonal antibody, which offers several advantages including:

  • - High batch-to-batch consistency and reproducibility
  • - Improved sensitivity and specificity
  • - Long-term security of supply
  • - Animal-free batch production

For more information, read more on recombinant antibodies.

Conjugation ready
Our carrier-free antibodies are typically supplied in a PBS-only formulation, purified and free of BSA, sodium azide and glycerol. This conjugation-ready format is designed for use with fluorochromes, metal isotopes, oligonucleotides, and enzymes, which makes them ideal for antibody labelling, functional and cell-based assays, flow-based assays (e.g. mass cytometry) and Multiplex Imaging applications.

Use our conjugation kits for antibody conjugates that are ready-to-use in as little as 20 minutes with 1 minute hands-on-time and 100% antibody recovery: available for fluorescent dyes, HRP, biotin and gold.

Compatibility
This product is compatible with the Maxpar® Antibody Labeling Kit from Fluidigm, without the need for antibody preparation. Maxpar® is a trademark of Fluidigm Canada Inc.

Properties and storage information

Form
Liquid
Purification technique
Affinity purification Protein A/G
Purification notes
Purified from TCS by protein A/G.
Storage buffer
pH: 7.2 - 7.4 Constituents: PBS
Shipped at conditions
Blue Ice
Appropriate short-term storage conditions
+4°C
Appropriate long-term storage conditions
+4°C
Storage information
Do Not Freeze

Supplementary information

This supplementary information is collated from multiple sources and compiled automatically.

CDX2 or Caudal Type Homeobox 2 is a transcription factor involved in intestinal development and differentiation. Alternative names for CDX2 include Cdx-2 and CDX-2. This protein has a molecular mass of approximately 38 kDa. CDX2 is expressed mainly in the epithelial cells of the intestine. Researchers can identify CDX2 through techniques like CDX2 stain CDX2 immunostain and CDX2 IHC which are useful for determining its expression in tissue samples.
Biological function summary

CDX2 plays an important role in controlling the expression of genes necessary for maintaining intestinal epithelial cell identity. It functions as a part of regulatory networks that guide cell fate and differentiation in the gut. CDX2 does not generally form complexes but acts as a transcriptional regulator that binds directly to DNA influencing genes involved in cell adhesion proliferation and the maintenance of tissue structure.

Pathways

CDX2 is integral to the Wnt signaling and Hedgehog pathways which are vital for intestinal development and homeostasis. Within these pathways CDX2 works closely with other proteins like beta-catenin influencing cell proliferation and differentiation. The Wnt pathway in particular modulates the expression of proliferative genes while CDX2 ensures that proliferation maintains tissue integrity by guiding cellular differentiation.

CDX2 has a significant link to colorectal cancer and Barrett's esophagus. Loss of CDX2 expression often marks the progression from normal to malignant tissue in colorectal cancer where it connects with proteins like p-catenin affecting cellular growth and differentiation. Similarly abnormal expression of CDX2 correlates with the development of Barrett's esophagus a condition that may progress to esophageal adenocarcinoma. These disease associations make CDX2 a potential diagnostic marker and therapeutic target in gastrointestinal pathologies.

Product protocols

For this product, it's our understanding that no specific protocols are required. You can visit:

Target data

Transcription factor which regulates the transcription of multiple genes expressed in the intestinal epithelium (By similarity). Binds to the promoter of the intestinal sucrase-isomaltase SI and activates SI transcription (By similarity). Binds to the DNA sequence 5'-ATAAAAACTTAT-3' in the promoter region of VDR and activates VDR transcription (By similarity). Binds to and activates transcription of LPH (By similarity). Activates transcription of CLDN2 and intestinal mucin MUC2 (By similarity). Binds to the 5'-AATTTTTTACAACACCT-3' DNA sequence in the promoter region of CA1 and activates CA1 transcription (By similarity). Important in broad range of functions from early differentiation to maintenance of the intestinal epithelial lining of both the small and large intestine. Binds preferentially to methylated DNA (PubMed : 28473536).
See full target information CDX2

Product promise

We are committed to supporting your work with high-quality reagents, and we're here for you every step of the way. In the unlikely event that one of our products does not perform as expected, you're protected by our Product Promise.
For full details, please see our Terms & Conditions

Please note: All products are 'FOR RESEARCH USE ONLY. NOT FOR USE IN DIAGNOSTIC OR THERAPEUTIC PROCEDURES'.

For licensing inquiries, please contact partnerships@abcam.com