JavaScript is disabled in your browser. Please enable JavaScript to view this website.
AB255909

Anti-CEACAM1 antibody [11-1H] - BSA and Azide free

Be the first to review this product! Submit a review

|

(2 Publications)

Mouse Recombinant Monoclonal CEAM1 antibody. Carrier free. Suitable for WB, IHC-Fr, IHC-P and reacts with Rat samples. Cited in 2 publications.

View Alternative Names

CD66a, Cell adhesion molecule CEACAM1, ATP-dependent taurocolate-carrier protein, Carcinoembryonic antigen-related cell adhesion molecule 1, Cell-CAM 105, Ecto-ATPase, GP110, pp120, CEA cell adhesion molecule 1, C-CAM 105, Ceacam1

3 Images
Immunohistochemistry (Frozen sections) - Anti-CEACAM1 antibody [11-1H] - BSA and Azide free (AB255909)
  • IHC-Fr

Unknown

Immunohistochemistry (Frozen sections) - Anti-CEACAM1 antibody [11-1H] - BSA and Azide free (AB255909)

Immunohistochemical analysis of 4% PFA-fixed, 0.2% Triton X-100 permeabilized frozen rat liver tissue labeling CEACAM1 with ab254156 at 5.62 ug/mL followed by ab150113 Goat Anti-mouse IgG H&L (Alexa Fluor® 488) at 1/1000 (2 μg/ml) dilution (Green). Positive staining on rat liver is observed. The nuclear counterstain was DAPI (Blue).

Secondary antibody control : Secondary antibody is ab150113 Goat Anti-mouse IgG H&L (Alexa Fluor® 488) at 1/1000 (2 μg/ml) dilution.

Heat mediated antigen retrieval using sodium citrate buffer (10mM citrate pH 6.0 + 0.05% Tween-20).

This data was developed using the same antibody clone in a different buffer formulation containing PBS, BSA, glycerol, and sodium azide (ab254156).

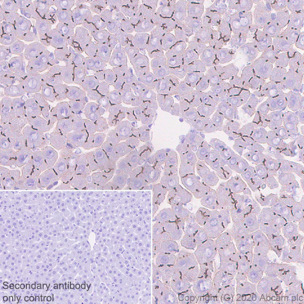
Immunohistochemistry (Formalin/PFA-fixed paraffin-embedded sections) - Anti-CEACAM1 antibody [11-1H] - BSA and Azide free (AB255909)
  • IHC-P

Unknown

Immunohistochemistry (Formalin/PFA-fixed paraffin-embedded sections) - Anti-CEACAM1 antibody [11-1H] - BSA and Azide free (AB255909)

Immunohistochemical analysis of paraffin-embedded rat liver tissue labeling CEACAM1 with ab254156 at 2.81 ug/mL followed by ready to use Goat Anti-mouse IgG H&L (HRP polymer) (ab214879). Positive staining on rat liver. Counterstained with Hematoxylin.

Secondary antibody only control : Secondary antibody is ready to use Goat Anti-mouse IgG H&L (HRP polymer) (ab214879).

Heat mediated antigen retrieval using ab93684 (Tris/EDTA buffer, pH 9.0).

This data was developed using the same antibody clone in a different buffer formulation containing PBS, BSA, glycerol, and sodium azide (ab254156).

Western blot - Anti-CEACAM1 antibody [11-1H] - BSA and Azide free (AB255909)
  • WB

Lab

Western blot - Anti-CEACAM1 antibody [11-1H] - BSA and Azide free (AB255909)

Blocking and diluting buffer and concentration : 5% NFDM/TBST.

Exposure time : 3 minutes.

This data was developed using the same antibody clone in a different buffer formulation containing PBS, BSA, glycerol, and sodium azide (ab254156).

All lanes:

Western blot - Anti-CEACAM1 antibody [11-1H] (<a href='/en-us/products/primary-antibodies/ceacam1-antibody-11-1h-ab254156'>ab254156</a>) at 0.562 µg/mL

All lanes:

Rat liver tissue lysate at 10 µg

Secondary

All lanes:

Peroxidase-Conjugated Goat anti-Mouse IgG (H+L) at 1/10000 dilution

Predicted band size: 57 kDa

Observed band size: 140 kDa

false

Key facts

Host species

Mouse

Clonality

Monoclonal

Clone number

11-1H

Isotype

IgG1

Carrier free

Yes

Reacts with

Rat

Applications

IHC-Fr, WB, IHC-P

applications

Immunogen

The exact immunogen used to generate this antibody is proprietary information.

Reactivity data

{ "title": "Reactivity Data", "filters": { "stats": ["", "Species", "Dilution Info", "Notes"], "tabs": { "all-applications": {"fullname" : "All Applications", "shortname": "All Applications"}, "WB" : {"fullname" : "Western blot", "shortname":"WB"}, "IHCFr" : {"fullname" : "Immunohistochemistry (Frozen sections)", "shortname":"IHC-Fr"}, "IHCP" : {"fullname" : "Immunohistochemistry (Formalin/PFA-fixed paraffin-embedded sections)", "shortname":"IHC-P"} }, "product-promise": { "all": "all", "testedAndGuaranteed": "tested", "guaranteed": "expected", "predicted": "predicted", "notRecommended": "not-recommended" } }, "values": { "Human": { "WB-species-checked": "notRecommended", "WB-species-dilution-info": "0.562 µg/mL", "WB-species-notes": "<p></p>", "IHCFr-species-checked": "notRecommended", "IHCFr-species-dilution-info": "", "IHCFr-species-notes": "", "IHCP-species-checked": "notRecommended", "IHCP-species-dilution-info": "2.81 µg/mL", "IHCP-species-notes": "<p></p>" }, "Mouse": { "WB-species-checked": "notRecommended", "WB-species-dilution-info": "0.562 µg/mL", "WB-species-notes": "<p></p>", "IHCFr-species-checked": "notRecommended", "IHCFr-species-dilution-info": "", "IHCFr-species-notes": "", "IHCP-species-checked": "notRecommended", "IHCP-species-dilution-info": "2.81 µg/mL", "IHCP-species-notes": "<p></p>" }, "Rat": { "WB-species-checked": "testedAndGuaranteed", "WB-species-dilution-info": "0.562 µg/mL", "WB-species-notes": "<p></p>", "IHCFr-species-checked": "testedAndGuaranteed", "IHCFr-species-dilution-info": "5.62 µg/mL", "IHCFr-species-notes": "<p>Heat mediated antigen retrieval using sodium citrate buffer (10mM citrate pH 6.0 + 0.05% Tween-20).</p>", "IHCP-species-checked": "testedAndGuaranteed", "IHCP-species-dilution-info": "2.81 µg/mL", "IHCP-species-notes": "<p></p>" } } }

Product details

ab255909 is the carrier-free version of ab254156.

What are the advantages of a recombinant monoclonal antibody?
This product is a recombinant monoclonal antibody, which offers several advantages including:

  • - High batch-to-batch consistency and reproducibility
  • - Improved sensitivity and specificity
  • - Long-term security of supply
  • - Animal-free batch production

For more information, read more on recombinant antibodies.

Want a custom formulation?
This antibody clone is manufactured by Abcam. If you require a custom buffer formulation or conjugation for your experiments, please contact orders@abcam.com

Conjugation ready
Our carrier-free antibodies are typically supplied in a PBS-only formulation, purified and free of BSA, sodium azide and glycerol. This conjugation-ready format is designed for use with fluorochromes, metal isotopes, oligonucleotides, and enzymes, which makes them ideal for antibody labelling, functional and cell-based assays, flow-based assays (e.g. mass cytometry) and Multiplex Imaging applications.

Use our conjugation kits for antibody conjugates that are ready-to-use in as little as 20 minutes with 1 minute hands-on-time and 100% antibody recovery: available for fluorescent dyes, HRP, biotin and gold.

Compatibility
This product is compatible with the Maxpar® Antibody Labeling Kit from Fluidigm, without the need for antibody preparation. Maxpar® is a trademark of Fluidigm Canada Inc.

Properties and storage information

Form
Liquid
Purification technique
Affinity purification Protein A
Storage buffer
pH: 7.2 - 7.4 Constituents: PBS
Shipped at conditions
Blue Ice
Appropriate short-term storage conditions
+4°C
Appropriate long-term storage conditions
+4°C
Storage information
Do Not Freeze

Supplementary information

This supplementary information is collated from multiple sources and compiled automatically.

CEACAM1 also known as CD66a is a cell adhesion molecule that plays a critical role in various cellular processes. The protein weighs around 120 kDa and is part of the immunoglobulin superfamily. CEACAM1 is expressed on the surface of various cell types including epithelial cells leukocytes and endothelial cells. The presence of CEACAM1 is important in tissues such as the liver lungs and gastrointestinal tract where it performs essential roles in cell signaling and communication.
Biological function summary

CEACAM1 influences cellular adhesion and immune responses by mediating cell-cell interactions. It forms homophilic dimers at the cell surface and it can participate in heterophilic interactions with other proteins making it part of complex cell signaling networks. These interactions regulate immune cell functions contributing to innate immune responses and cellular homeostasis. CEACAM1 also modulates angiogenesis endothelial cell permeability and apoptosis.

Pathways

CEACAM1 is involved in signaling and regulatory pathways important for immune surveillance and inflammation. It is a part of the TGF-beta signaling pathway affecting cellular proliferation and differentiation. CEACAM1 interacts with proteins such as SHP-1 and SHP-2 which are essential in modulating immune responses. Additionally CEACAM1 influences the MAPK/ERK pathway which plays a role in cell growth and survival.

CEACAM1 is associated with cancer and inflammatory diseases. In colorectal cancer altered expression of CEACAM1 contributes to tumor progression and metastasis. The protein also plays a role in inflammatory bowel disease where it affects the epithelial barrier function and immune cell interaction. Through these conditions CEACAM1 interacts with other proteins like CEA and IL-6 which are pivotal in disease development and progression.

Product protocols

For this product, it's our understanding that no specific protocols are required. You can visit:

Target data

Isoform 1. Cell adhesion protein that mediates homophilic cell adhesion in a calcium-independent manner (PubMed : 2373740, PubMed : 8454589). Plays a role as coinhibitory receptor in immune response, insulin action and functions also as an activator during angiogenesis (PubMed : 11850617). Its coinhibitory receptor function is phosphorylation- and PTPN6 -dependent, which in turn, suppress signal transduction of associated receptors by dephosphorylation of their downstream effectors (By similarity). Plays a role in immune response, of T-cells, natural killer (NK) and neutrophils (By similarity). Upon TCR/CD3 complex stimulation, inhibits TCR-mediated cytotoxicity by blocking granule exocytosis by mediating homophilic binding to adjacent cells, allowing interaction with and phosphorylation by LCK and interaction with the TCR/CD3 complex which recruits PTPN6 resulting in dephosphorylation of CD247 and ZAP70 (By similarity). Also inhibits T-cell proliferation and cytokine production through inhibition of JNK cascade and plays a crucial role in regulating autoimmunity and anti-tumor immunity by inhibiting T-cell through its interaction with HAVCR2 (By similarity). Upon natural killer (NK) cells activation, inhibit KLRK1-mediated cytolysis of CEACAM1-bearing tumor cells by trans-homophilic interactions with CEACAM1 on the target cell and lead to cis-interaction between CEACAM1 and KLRK1, allowing PTPN6 recruitment and then VAV1 dephosphorylation (By similarity). Upon neutrophils activation negatively regulates IL1B production by recruiting PTPN6 to a SYK-TLR4-CEACAM1 complex, that dephosphorylates SYK, reducing the production of reactive oxygen species (ROS) and lysosome disruption, which in turn, reduces the activity of the inflammasome (By similarity). Down-regulates neutrophil production by acting as a coinhibitory receptor for CSF3R by downregulating the CSF3R-STAT3 pathway through recruitment of PTPN6 that dephosphorylates CSF3R (By similarity). Also regulates insulin action by promoting INS clearance and regulating lipogenesis in liver through regulating insulin signaling (PubMed : 11850617). Upon INS stimulation, undergoes phosphorylation by INSR leading to INS clearance by increasing receptor-mediated insulin endocytosis (PubMed : 7592607, PubMed : 9712832). This inernalization promotes interaction with FASN leading to receptor-mediated insulin degradation and to reduction of FASN activity leading to negative regulation of fatty acid synthesis (PubMed : 16054098, PubMed : 7592607). INSR-mediated phosphorylation also provokes a down-regulation of cell proliferation through SHC1 interaction resulting in decrease coupling of SHC1 to the MAPK3/ERK1-MAPK1/ERK2 and phosphatidylinositol 3-kinase pathways (PubMed : 11694516). Functions as activator in angiogenesis by promoting blood vessel remodeling through endothelial cell differentiation and migration and in arteriogenesis by increasing the number of collateral arteries and collateral vessel calibers after ischemia (By similarity). Also regulates vascular permeability through the VEGFR2 signaling pathway resulting in control of nitric oxide production (By similarity). Down-regulates cell growth in response to EGF through its interaction with SHC1 that mediates interaction with EGFR resulting in decrease coupling of SHC1 to the MAPK3/ERK1-MAPK1/ERK2 pathway (PubMed : 15467833). Negatively regulates platelet aggregation by decreasing platelet adhesion on type I collagen through the GPVI-FcRgamma complex (By similarity). Inhibits cell migration and cell scattering through interaction with FLNA; interferes with the interaction of FLNA with RALA (By similarity). Mediates bile acid transport activity in a phosphorylation dependent manner (PubMed : 7518458). Negatively regulates osteoclastogenesis (By similarity).. Isoform 2. Cell adhesion proteins that mediates homophilic cell adhesion in a calcium-independent manner (PubMed : 7774714, PubMed : 8536699). Promotes populations of T-cells regulating IgA production and secretion associated with control of the commensal microbiota and resistance to enteropathogens (By similarity).
See full target information Ceacam1

Publications (2)

Recent publications for all applications. Explore the full list and refine your search

European journal of immunology 35:1949-59 PubMed15909305

2005

CEACAM1 (CD66a) mediates delay of spontaneous and Fas ligand-induced apoptosis in granulocytes.

Applications

Unspecified application

Species

Unspecified reactive species

Bernhard B Singer,Esther Klaile,Inka Scheffrahn,Mario M Müller,Robert Kammerer,Werner Reutter,Björn Obrink,Lothar Lucka

Cancer research 60:1236-44 PubMed10728682

2000

The tumor growth-inhibiting cell adhesion molecule CEACAM1 (C-CAM) is differently expressed in proliferating and quiescent epithelial cells and regulates cell proliferation.

Applications

Unspecified application

Species

Unspecified reactive species

B B Singer,I Scheffrahn,B Obrink
View all publications

Product promise

We are committed to supporting your work with high-quality reagents, and we're here for you every step of the way. In the unlikely event that one of our products does not perform as expected, you're protected by our Product Promise.
For full details, please see our Terms & Conditions

Please note: All products are 'FOR RESEARCH USE ONLY. NOT FOR USE IN DIAGNOSTIC OR THERAPEUTIC PROCEDURES'.

For licensing inquiries, please contact partnerships@abcam.com