JavaScript is disabled in your browser. Please enable JavaScript to view this website.
AB243889

Anti-CEACAM1 antibody [BLR032F]

Be the first to review this product! Submit a review

|

(0 Publication)

Rabbit Recombinant Monoclonal CEAM1 antibody. Suitable for IHC-P, ICC, IP, WB and reacts with Human samples. Immunogen corresponding to Recombinant Fragment Protein within Human CEACAM1.

View Alternative Names

CD66a, BGP, BGP1, CEACAM1, Cell adhesion molecule CEACAM1, Biliary glycoprotein 1, Carcinoembryonic antigen-related cell adhesion molecule 1, BGP-1, CEA cell adhesion molecule 1

4 Images
Immunoprecipitation - Anti-CEACAM1 antibody [BLR032F] (AB243889)
  • IP

Unknown

Immunoprecipitation - Anti-CEACAM1 antibody [BLR032F] (AB243889)

CEACAM1 was immunoprecipitated from 1.0 mg UACC-257 whole cell lysate with ab243889 at 20 µl per reaction. Western blot was performed on the immunoprecipitate using ab243889 at 1/1000 dilution. Lane 1 : ab243889 IP in UACC-257 whole cell lysate.

Lane 2 : Control IgG in UACC-257 whole cell lysate.

Detection : Chemiluminescence with an exposure time of 1 second.

All lanes:

Immunoprecipitation - Anti-CEACAM1 antibody [BLR032F] (ab243889)

Predicted band size: 57 kDa

false

Immunocytochemistry - Anti-CEACAM1 antibody [BLR032F] (AB243889)
  • ICC

Unknown

Immunocytochemistry - Anti-CEACAM1 antibody [BLR032F] (AB243889)

Formalin-fixed, paraffin-embedded HT-29 (human colorectal adenocarcinoma cell line) cells labeling CEACAM1 using ab243889 at 1/500 dilution in ICC analysis. A HRP-conjugated goat-anti rabbit IgG was used as the secondary. DAB staining.

Western blot - Anti-CEACAM1 antibody [BLR032F] (AB243889)
  • WB

Unknown

Western blot - Anti-CEACAM1 antibody [BLR032F] (AB243889)

Western blot analysis using ab243889 at 1/1000 dilution.

Lane 1 : UACC-257 whole cell lysate (5 μg).

Lane 2 : SK-MEL-28 whole cell lysate (5 μg).

Lane3 : HepG2 whole cell lysate (5 μg).

Lane 4 : SUP-M2 whole cell lysate (5 μg).

Lane 5 : HeLa whole cell lysate (5 μg).

Lane 6 : HEK-293T whole cell lysate (5 μg).

Lane 7 : Jurkat whole cell lysate (5 μg).

Lane 8 : RAW 264.7 whole cell lysate (5 μg).

Lane 9 : TCMK-1 whole cell lysate (5 μg).

A HRP-conjugated goat anti-rabbit IgG antibody was used as the secondary. Detection : chemiluminescence with an exposure time of 1 second.

All lanes:

Western blot - Anti-CEACAM1 antibody [BLR032F] (ab243889)

Predicted band size: 57 kDa

false

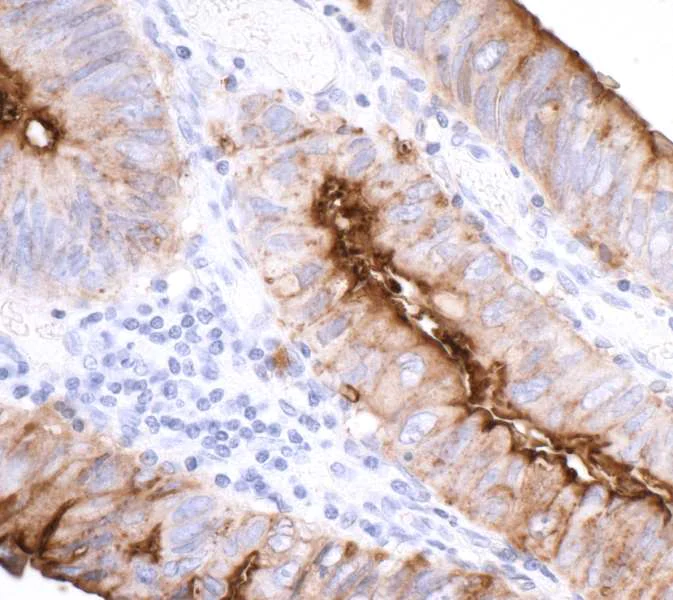
Immunohistochemistry (Formalin/PFA-fixed paraffin-embedded sections) - Anti-CEACAM1 antibody [BLR032F] (AB243889)
  • IHC-P

Unknown

Immunohistochemistry (Formalin/PFA-fixed paraffin-embedded sections) - Anti-CEACAM1 antibody [BLR032F] (AB243889)

Formalin-fixed, paraffin-embedded human colon carcinoma tissue stained for CEACAM1 using ab243889 at 1/500 dilution in immunohistochemical analysis. A HRP-conjugated goat anti-rabbit antibody was used as the secondary. DAB staining.

Key facts

Host species

Rabbit

Clonality

Monoclonal

Clone number

BLR032F

Isotype

IgG

Carrier free

No

Reacts with

Human

Applications

IP, IHC-P, ICC, WB

applications

Immunogen

Recombinant Fragment Protein within Human CEACAM1. The exact immunogen used to generate this antibody is proprietary information.

P13688

Reactivity data

{ "title": "Reactivity Data", "filters": { "stats": ["", "Species", "Dilution Info", "Notes"], "tabs": { "all-applications": {"fullname" : "All Applications", "shortname": "All Applications"}, "IHCP" : {"fullname" : "Immunohistochemistry (Formalin/PFA-fixed paraffin-embedded sections)", "shortname":"IHC-P"}, "ICC" : {"fullname" : "Immunocytochemistry", "shortname":"ICC"}, "IP" : {"fullname" : "Immunoprecipitation", "shortname":"IP"}, "WB" : {"fullname" : "Western blot", "shortname":"WB"} }, "product-promise": { "all": "all", "testedAndGuaranteed": "tested", "guaranteed": "expected", "predicted": "predicted", "notRecommended": "not-recommended" } }, "values": { "Human": { "IHCP-species-checked": "testedAndGuaranteed", "IHCP-species-dilution-info": "1/100 - 1/500", "IHCP-species-notes": "<p></p>", "ICC-species-checked": "testedAndGuaranteed", "ICC-species-dilution-info": "1/100 - 1/500", "ICC-species-notes": "<p></p>", "IP-species-checked": "testedAndGuaranteed", "IP-species-dilution-info": "", "IP-species-notes": "<p>Use 20μl/mg lysate.</p>", "WB-species-checked": "testedAndGuaranteed", "WB-species-dilution-info": "1/1000", "WB-species-notes": "<p></p>" } } }

You may be interested in:

AB215540

Human CEACAM1 ELISA Kit

0

0 Reviews

View product

We recommend this product because it’s often used in the same experiment or related research.

We advise that you always check the datasheet to ensure it fits your experiments, or contact ourtechnical teamfor help.

Product details

This product is sold under License from Bethyl Laboratories, Inc.

Properties and storage information

Form
Liquid
Purification notes
Recombinant antibody was purified from cell culture supernatant.
Storage buffer
pH: 7.8 - 8.6 Preservative: 0.09% Sodium azide Constituents: 98% Borate buffered saline, 0.1% BSA
Shipped at conditions
Blue Ice
Appropriate short-term storage duration
1-2 weeks
Appropriate short-term storage conditions
+4°C
Appropriate long-term storage conditions
-20°C
Aliquoting information
Upon delivery aliquot
Storage information
Avoid freeze / thaw cycle

Supplementary information

This supplementary information is collated from multiple sources and compiled automatically.

CEACAM1 also known as CD66a is a cell adhesion molecule that plays a critical role in various cellular processes. The protein weighs around 120 kDa and is part of the immunoglobulin superfamily. CEACAM1 is expressed on the surface of various cell types including epithelial cells leukocytes and endothelial cells. The presence of CEACAM1 is important in tissues such as the liver lungs and gastrointestinal tract where it performs essential roles in cell signaling and communication.
Biological function summary

CEACAM1 influences cellular adhesion and immune responses by mediating cell-cell interactions. It forms homophilic dimers at the cell surface and it can participate in heterophilic interactions with other proteins making it part of complex cell signaling networks. These interactions regulate immune cell functions contributing to innate immune responses and cellular homeostasis. CEACAM1 also modulates angiogenesis endothelial cell permeability and apoptosis.

Pathways

CEACAM1 is involved in signaling and regulatory pathways important for immune surveillance and inflammation. It is a part of the TGF-beta signaling pathway affecting cellular proliferation and differentiation. CEACAM1 interacts with proteins such as SHP-1 and SHP-2 which are essential in modulating immune responses. Additionally CEACAM1 influences the MAPK/ERK pathway which plays a role in cell growth and survival.

CEACAM1 is associated with cancer and inflammatory diseases. In colorectal cancer altered expression of CEACAM1 contributes to tumor progression and metastasis. The protein also plays a role in inflammatory bowel disease where it affects the epithelial barrier function and immune cell interaction. Through these conditions CEACAM1 interacts with other proteins like CEA and IL-6 which are pivotal in disease development and progression.

Product protocols

For this product, it's our understanding that no specific protocols are required. You can visit:

Target data

Isoform 1. Cell adhesion protein that mediates homophilic cell adhesion in a calcium-independent manner (By similarity). Plays a role as coinhibitory receptor in immune response, insulin action and functions also as an activator during angiogenesis (PubMed : 18424730, PubMed : 23696226, PubMed : 25363763). Its coinhibitory receptor function is phosphorylation- and PTPN6 -dependent, which in turn, suppress signal transduction of associated receptors by dephosphorylation of their downstream effectors. Plays a role in immune response, of T cells, natural killer (NK) and neutrophils (PubMed : 18424730, PubMed : 23696226). Upon TCR/CD3 complex stimulation, inhibits TCR-mediated cytotoxicity by blocking granule exocytosis by mediating homophilic binding to adjacent cells, allowing interaction with and phosphorylation by LCK and interaction with the TCR/CD3 complex which recruits PTPN6 resulting in dephosphorylation of CD247 and ZAP70 (PubMed : 18424730). Also inhibits T cell proliferation and cytokine production through inhibition of JNK cascade and plays a crucial role in regulating autoimmunity and anti-tumor immunity by inhibiting T cell through its interaction with HAVCR2 (PubMed : 25363763). Upon natural killer (NK) cells activation, inhibit KLRK1-mediated cytolysis of CEACAM1-bearing tumor cells by trans-homophilic interactions with CEACAM1 on the target cell and lead to cis-interaction between CEACAM1 and KLRK1, allowing PTPN6 recruitment and then VAV1 dephosphorylation (PubMed : 23696226). Upon neutrophils activation negatively regulates IL1B production by recruiting PTPN6 to a SYK-TLR4-CEACAM1 complex, that dephosphorylates SYK, reducing the production of reactive oxygen species (ROS) and lysosome disruption, which in turn, reduces the activity of the inflammasome. Down-regulates neutrophil production by acting as a coinhibitory receptor for CSF3R by down-regulating the CSF3R-STAT3 pathway through recruitment of PTPN6 that dephosphorylates CSF3R (By similarity). Also regulates insulin action by promoting INS clearance and regulating lipogenesis in liver through regulating insulin signaling (By similarity). Upon INS stimulation, undergoes phosphorylation by INSR leading to INS clearance by increasing receptor-mediated insulin endocytosis. This inernalization promotes interaction with FASN leading to receptor-mediated insulin degradation and to reduction of FASN activity leading to negative regulation of fatty acid synthesis. INSR-mediated phosphorylation also provokes a down-regulation of cell proliferation through SHC1 interaction resulting in decrease coupling of SHC1 to the MAPK3/ERK1-MAPK1/ERK2 and phosphatidylinositol 3-kinase pathways (By similarity). Functions as activator in angiogenesis by promoting blood vessel remodeling through endothelial cell differentiation and migration and in arteriogenesis by increasing the number of collateral arteries and collateral vessel calibers after ischemia. Also regulates vascular permeability through the VEGFR2 signaling pathway resulting in control of nitric oxide production (By similarity). Down-regulates cell growth in response to EGF through its interaction with SHC1 that mediates interaction with EGFR resulting in decrease coupling of SHC1 to the MAPK3/ERK1-MAPK1/ERK2 pathway (By similarity). Negatively regulates platelet aggregation by decreasing platelet adhesion on type I collagen through the GPVI-FcRgamma complex (By similarity). Inhibits cell migration and cell scattering through interaction with FLNA; interferes with the interaction of FLNA with RALA (PubMed : 16291724). Mediates bile acid transport activity in a phosphorylation dependent manner (By similarity). Negatively regulates osteoclastogenesis (By similarity).. Isoform 8. Cell adhesion protein that mediates homophilic cell adhesion in a calcium-independent manner (By similarity). Promotes populations of T cells regulating IgA production and secretion associated with control of the commensal microbiota and resistance to enteropathogens (By similarity).
See full target information CEACAM1

Product promise

We are committed to supporting your work with high-quality reagents, and we're here for you every step of the way. In the unlikely event that one of our products does not perform as expected, you're protected by our Product Promise.
For full details, please see our Terms & Conditions

Associated Products

Select an associated product type
Alternative Product
Primary Antibodies

AB26279

Anti-CEACAM1 antibody [GM8G5]

primary-antibodies

ceacam1-antibody-gm8g5-ab26279

1

(1 reviews)

Alternative Product
Primary Antibodies

AB180789

Anti-CEACAM1 antibody

primary-antibodies

ceacam1-antibody-ab180789

0

(0 reviews)

Alternative Product
Primary Antibodies

AB108390

Anti-CEACAM1 antibody [EPR4048]

primary-antibodies

ceacam1-antibody-epr4048-ab108390

0

(0 reviews)

Alternative Product
Primary Antibodies

AB108397

Anti-CEACAM1 antibody [EPR4049]

primary-antibodies

ceacam1-antibody-epr4049-ab108397

0

(0 reviews)

Alternative Product
Primary Antibodies

AB179460

Anti-CEACAM1 antibody [EPR4048] - BSA and Azide free

primary-antibodies

ceacam1-antibody-epr4048-bsa-and-azide-free-ab179460

0

(0 reviews)

Alternative Product
Primary Antibodies

AB239929

Anti-CEACAM1 antibody [EPR4049] - BSA and Azide free

primary-antibodies

ceacam1-antibody-epr4049-bsa-and-azide-free-ab239929

0

(0 reviews)

Alternative Product
Primary Antibodies

AB104450

Anti-CEACAM1 + CEACAM3 + CEACAM6 antibody [YTH71.3]

primary-antibodies

ceacam1-ceacam3-ceacam6-antibody-yth713-ab104450

4

(2 reviews)

Please note: All products are 'FOR RESEARCH USE ONLY. NOT FOR USE IN DIAGNOSTIC OR THERAPEUTIC PROCEDURES'.

For licensing inquiries, please contact partnerships@abcam.com