JavaScript is disabled in your browser. Please enable JavaScript to view this website.
AB108397

Anti-CEACAM1 antibody [EPR4049]

Be the first to review this product! Submit a review

|

(11 Publications)

Rabbit Recombinant Monoclonal CEAM1 antibody. Suitable for IHC-P, IP, WB and reacts with Human samples. Cited in 11 publications.

View Alternative Names

CD66a, BGP, BGP1, CEACAM1, Cell adhesion molecule CEACAM1, Biliary glycoprotein 1, Carcinoembryonic antigen-related cell adhesion molecule 1, BGP-1, CEA cell adhesion molecule 1

6 Images
Immunohistochemistry (Formalin/PFA-fixed paraffin-embedded sections) - Anti-CEACAM1 antibody [EPR4049] (AB108397)
  • IHC-P

Unknown

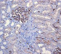
Immunohistochemistry (Formalin/PFA-fixed paraffin-embedded sections) - Anti-CEACAM1 antibody [EPR4049] (AB108397)

Unpurified ab108397 at 1/50 dilution staining CEACAM1 in Human kidney tissue by Immunohistochemistry, Paraffin-embedded tissue.

Heat mediated antigen retrieval was performed with citrate buffer pH 6 before commencing with IHC staining protocol.

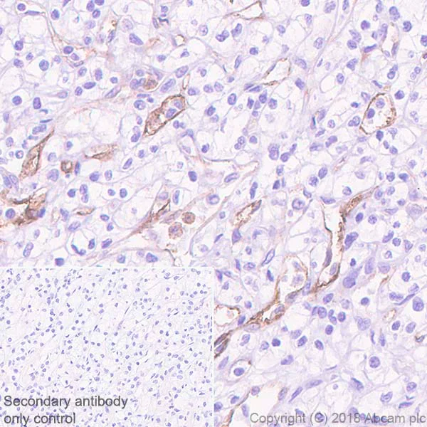
Immunohistochemistry (Formalin/PFA-fixed paraffin-embedded sections) - Anti-CEACAM1 antibody [EPR4049] (AB108397)
  • IHC-P

Unknown

Immunohistochemistry (Formalin/PFA-fixed paraffin-embedded sections) - Anti-CEACAM1 antibody [EPR4049] (AB108397)

Immunohistochemistry (Formalin/PFA-fixed paraffin-embedded sections) analysis of Human clear cell carcinoma of kidney tissue sections labeling CEACAM1 with Purified ab108397 at 1 : 80 dilution (3.3 μg/ml). Heat mediated antigen retrieval was performed using ab93684 (Tris/EDTA buffer, pH 9.0). ImmunoHistoProbe one step HRP Polymer (ready to use)was used as the secondary antibody. Negative control : PBS instead of the primary antibody. Hematoxylin was used as a counterstain.

Immunoprecipitation - Anti-CEACAM1 antibody [EPR4049] (AB108397)
  • IP

Unknown

Immunoprecipitation - Anti-CEACAM1 antibody [EPR4049] (AB108397)

ab108397 (purified) at 1 : 20 dilution (1.5μg) immunoprecipitating CEACAM1 in SW480 whole cell lysate.
Lane 1 (input) : SW480 (Human colorectal adenocarcinoma epithelial cell) whole cell lysate 10μg
Lane 2 (+) : ab108397 & SW480 whole cell lysate
Lane 3 (-) : Rabbit monoclonal IgG (ab172730) instead of ab108397 in SW480 whole cell lysate
For western blotting, VeriBlot for IP Detection Reagent (HRP) (ab131366) was used for detection at 1 : 1000 dilution.
Blocking and diluting buffer : 5% NFDM/TBST.

All lanes:

Immunoprecipitation - Anti-CEACAM1 antibody [EPR4049] (ab108397)

Predicted band size: 57 kDa

false

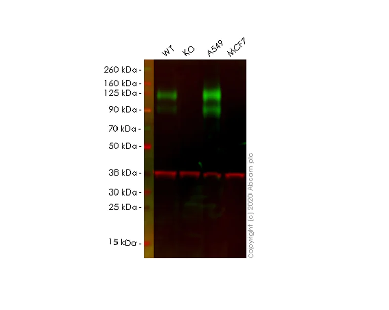
Western blot - Anti-CEACAM1 antibody [EPR4049] (AB108397)
  • WB

Lab

Western blot - Anti-CEACAM1 antibody [EPR4049] (AB108397)

Lanes 1-4 : Merged signal (red and green). Green - ab108397 observed at 100-180 kDa. Red - loading control ab8245 observed at 36 kDa.

ab108397 Anti-CEACAM1 antibody [EPR4049] was shown to specifically react with CEACAM1 in wild-type A549 cells. Loss of signal was observed when knockout cell line ab267047 (knockout cell lysate ab257389) was used. Wild-type and CEACAM1 knockout samples were subjected to SDS-PAGE. ab108397 and Anti-GAPDH antibody [6C5] - Loading Control (ab8245) were incubated overnight at 4°C at 1 in 1000 dilution and 1 in 20000 dilution respectively. Blots were developed with Goat anti-Rabbit IgG H&L (IRDye® 800CW) preadsorbed (ab216773) and Goat anti-Mouse IgG H&L (IRDye® 680RD) preadsorbed (ab216776) secondary antibodies at 1 in 20000 dilution for 1 hour at room temperature before imaging.

All lanes:

Western blot - Anti-CEACAM1 antibody [EPR4049] (ab108397) at 1/1000 dilution

Lane 1:

Wild-type A549 cell lysate at 20 µg

Lane 2:

CEACAM1 knockout A549 cell lysate at 20 µg

Lane 2:

Western blot - Human CEACAM1 knockout A549 cell line (<a href='/en-us/products/cell-lines/human-ceacam1-knockout-a549-cell-line-ab267047'>ab267047</a>)

Lane 3:

A549 cell lysate at 20 µg

Lane 4:

MCF7 cell lysate at 20 µg

Secondary

All lanes:

Western blot - Goat anti-Rabbit IgG H&L (IRDye® 800CW) preadsorbed (<a href='/en-us/products/secondary-antibodies/goat-rabbit-igg-h-l-irdye-800cw-preadsorbed-ab216773'>ab216773</a>) at 1/10000 dilution

Predicted band size: 57 kDa

Observed band size: 100-180 kDa

false

Western blot - Anti-CEACAM1 antibody [EPR4049] (AB108397)
  • WB

Lab

Western blot - Anti-CEACAM1 antibody [EPR4049] (AB108397)

Lanes 1-4 : Merged signal (red and green). Green - ab108397 observed at 100-180 kDa. Red - loading control ab8245 observed at 36 kDa.

ab108397 Anti-CEACAM1 antibody [EPR4049] was shown to specifically react with CEACAM1 in wild-type A549 cells. Loss of signal was observed when knockout cell line ab267046 (knockout cell lysate ab257388) was used. Wild-type and CEACAM1 knockout samples were subjected to SDS-PAGE. ab108397 and Anti-GAPDH antibody [6C5] - Loading Control (ab8245) were incubated overnight at 4°C at 1 in 1000 dilution and 1 in 20000 dilution respectively. Blots were developed with Goat anti-Rabbit IgG H&L (IRDye® 800CW) preadsorbed (ab216773) and Goat anti-Mouse IgG H&L (IRDye® 680RD) preadsorbed (ab216776) secondary antibodies at 1 in 20000 dilution for 1 hour at room temperature before imaging.

All lanes:

Western blot - Anti-CEACAM1 antibody [EPR4049] (ab108397) at 1/1000 dilution

Lane 1:

Wild-type A549 cell lysate at 20 µg

Lane 2:

CEACAM1 knockout A549 cell lysate at 20 µg

Lane 2:

Western blot - Human CEACAM1 knockout A549 cell line (<a href='/en-us/products/cell-lines/human-ceacam1-knockout-a549-cell-line-ab267046'>ab267046</a>)

Lane 3:

A549 cell lysate at 20 µg

Secondary

All lanes:

Western blot - Goat anti-Rabbit IgG H&L (IRDye® 800CW) preadsorbed (<a href='/en-us/products/secondary-antibodies/goat-rabbit-igg-h-l-irdye-800cw-preadsorbed-ab216773'>ab216773</a>) at 1/10000 dilution

Predicted band size: 29 kDa,57 kDa

Observed band size: 100-180 kDa,30 kDa

false

Western blot - Anti-CEACAM1 antibody [EPR4049] (AB108397)
  • WB

Lab

Western blot - Anti-CEACAM1 antibody [EPR4049] (AB108397)

The smear and multiple bands are consistent with what have been described in the literature PMID : 17071610, 26448580 and 30050594, due to a variety of splice variants and/or differential glycosylation

All lanes:

Western blot - Anti-CEACAM1 antibody [EPR4049] (ab108397) at 1/10000 dilution

Lane 1:

A549 (Human lung carcinoma epithelial cell) whole cell lysates at 20 µg

Lane 2:

SW480 (Human colorectal adenocarcinoma epithelial cell) whole cell lysates at 20 µg

Lane 3:

HepG2 (Human hepatocellular carcinoma epithelial cell) whole cell lysates at 20 µg

Secondary

All lanes:

Goat Anti-Rabbit IgG (HRP) with minimal cross-reactivity with human IgG at 1/2000 dilution

Predicted band size: 57 kDa

Observed band size: 100-180 kDa

false

  • Carrier free

    Anti-CEACAM1 antibody [EPR4049] - BSA and Azide free

Key facts

Host species

Rabbit

Clonality

Monoclonal

Clone number

EPR4049

Isotype

IgG

Carrier free

No

Reacts with

Human

Applications

WB, IP, IHC-P

applications

Immunogen

The exact immunogen used to generate this antibody is proprietary information.

Reactivity data

{ "title": "Reactivity Data", "filters": { "stats": ["", "Species", "Dilution Info", "Notes"], "tabs": { "all-applications": {"fullname" : "All Applications", "shortname": "All Applications"}, "IHCP" : {"fullname" : "Immunohistochemistry (Formalin/PFA-fixed paraffin-embedded sections)", "shortname":"IHC-P"}, "IP" : {"fullname" : "Immunoprecipitation", "shortname":"IP"}, "FlowCyt" : {"fullname" : "Flow Cytometry", "shortname":"Flow Cyt"}, "WB" : {"fullname" : "Western blot", "shortname":"WB"} }, "product-promise": { "all": "all", "testedAndGuaranteed": "tested", "guaranteed": "expected", "predicted": "predicted", "notRecommended": "not-recommended" } }, "values": { "Human": { "IHCP-species-checked": "testedAndGuaranteed", "IHCP-species-dilution-info": "1/50 - 1/100", "IHCP-species-notes": "<p></p>", "IP-species-checked": "testedAndGuaranteed", "IP-species-dilution-info": "1/10 - 1/100", "IP-species-notes": "<p></p>", "FlowCyt-species-checked": "notRecommended", "FlowCyt-species-dilution-info": "", "FlowCyt-species-notes": "<p></p>", "WB-species-checked": "testedAndGuaranteed", "WB-species-dilution-info": "1/10000 - 1/50000", "WB-species-notes": "<p></p>" } } }

Product details

Species reactivity
Mouse, Rat: We have preliminary internal testing data to indicate this antibody may not react with these species.
Please contact us for more information.

Patented technology
Our RabMAb® technology is a patented hybridoma-based technology for making rabbit monoclonal antibodies. For details on our patents, please refer to RabMAb® patents.

What are the advantages of a recombinant monoclonal antibody?
This product is a recombinant monoclonal antibody, which offers several advantages including:

  • - High batch-to-batch consistency and reproducibility
  • - Improved sensitivity and specificity
  • - Long-term security of supply
  • - Animal-free batch production

For more information, read more on recombinant antibodies.

Properties and storage information

Form
Liquid
Purification technique
Affinity purification Protein A
Storage buffer
pH: 7.2 - 7.4 Preservative: 0.01% Sodium azide Constituents: PBS, 40% Glycerol (glycerin, glycerine), 0.05% BSA
Shipped at conditions
Blue Ice
Appropriate short-term storage conditions
+4°C
Appropriate long-term storage conditions
-20°C
Storage information
Stable for 12 months at -20°C

Supplementary information

This supplementary information is collated from multiple sources and compiled automatically.

CEACAM1 also known as CD66a is a cell adhesion molecule that plays a critical role in various cellular processes. The protein weighs around 120 kDa and is part of the immunoglobulin superfamily. CEACAM1 is expressed on the surface of various cell types including epithelial cells leukocytes and endothelial cells. The presence of CEACAM1 is important in tissues such as the liver lungs and gastrointestinal tract where it performs essential roles in cell signaling and communication.
Biological function summary

CEACAM1 influences cellular adhesion and immune responses by mediating cell-cell interactions. It forms homophilic dimers at the cell surface and it can participate in heterophilic interactions with other proteins making it part of complex cell signaling networks. These interactions regulate immune cell functions contributing to innate immune responses and cellular homeostasis. CEACAM1 also modulates angiogenesis endothelial cell permeability and apoptosis.

Pathways

CEACAM1 is involved in signaling and regulatory pathways important for immune surveillance and inflammation. It is a part of the TGF-beta signaling pathway affecting cellular proliferation and differentiation. CEACAM1 interacts with proteins such as SHP-1 and SHP-2 which are essential in modulating immune responses. Additionally CEACAM1 influences the MAPK/ERK pathway which plays a role in cell growth and survival.

CEACAM1 is associated with cancer and inflammatory diseases. In colorectal cancer altered expression of CEACAM1 contributes to tumor progression and metastasis. The protein also plays a role in inflammatory bowel disease where it affects the epithelial barrier function and immune cell interaction. Through these conditions CEACAM1 interacts with other proteins like CEA and IL-6 which are pivotal in disease development and progression.

Product protocols

For this product, it's our understanding that no specific protocols are required. You can visit:

Target data

Isoform 1. Cell adhesion protein that mediates homophilic cell adhesion in a calcium-independent manner (By similarity). Plays a role as coinhibitory receptor in immune response, insulin action and functions also as an activator during angiogenesis (PubMed : 18424730, PubMed : 23696226, PubMed : 25363763). Its coinhibitory receptor function is phosphorylation- and PTPN6 -dependent, which in turn, suppress signal transduction of associated receptors by dephosphorylation of their downstream effectors. Plays a role in immune response, of T cells, natural killer (NK) and neutrophils (PubMed : 18424730, PubMed : 23696226). Upon TCR/CD3 complex stimulation, inhibits TCR-mediated cytotoxicity by blocking granule exocytosis by mediating homophilic binding to adjacent cells, allowing interaction with and phosphorylation by LCK and interaction with the TCR/CD3 complex which recruits PTPN6 resulting in dephosphorylation of CD247 and ZAP70 (PubMed : 18424730). Also inhibits T cell proliferation and cytokine production through inhibition of JNK cascade and plays a crucial role in regulating autoimmunity and anti-tumor immunity by inhibiting T cell through its interaction with HAVCR2 (PubMed : 25363763). Upon natural killer (NK) cells activation, inhibit KLRK1-mediated cytolysis of CEACAM1-bearing tumor cells by trans-homophilic interactions with CEACAM1 on the target cell and lead to cis-interaction between CEACAM1 and KLRK1, allowing PTPN6 recruitment and then VAV1 dephosphorylation (PubMed : 23696226). Upon neutrophils activation negatively regulates IL1B production by recruiting PTPN6 to a SYK-TLR4-CEACAM1 complex, that dephosphorylates SYK, reducing the production of reactive oxygen species (ROS) and lysosome disruption, which in turn, reduces the activity of the inflammasome. Down-regulates neutrophil production by acting as a coinhibitory receptor for CSF3R by down-regulating the CSF3R-STAT3 pathway through recruitment of PTPN6 that dephosphorylates CSF3R (By similarity). Also regulates insulin action by promoting INS clearance and regulating lipogenesis in liver through regulating insulin signaling (By similarity). Upon INS stimulation, undergoes phosphorylation by INSR leading to INS clearance by increasing receptor-mediated insulin endocytosis. This inernalization promotes interaction with FASN leading to receptor-mediated insulin degradation and to reduction of FASN activity leading to negative regulation of fatty acid synthesis. INSR-mediated phosphorylation also provokes a down-regulation of cell proliferation through SHC1 interaction resulting in decrease coupling of SHC1 to the MAPK3/ERK1-MAPK1/ERK2 and phosphatidylinositol 3-kinase pathways (By similarity). Functions as activator in angiogenesis by promoting blood vessel remodeling through endothelial cell differentiation and migration and in arteriogenesis by increasing the number of collateral arteries and collateral vessel calibers after ischemia. Also regulates vascular permeability through the VEGFR2 signaling pathway resulting in control of nitric oxide production (By similarity). Down-regulates cell growth in response to EGF through its interaction with SHC1 that mediates interaction with EGFR resulting in decrease coupling of SHC1 to the MAPK3/ERK1-MAPK1/ERK2 pathway (By similarity). Negatively regulates platelet aggregation by decreasing platelet adhesion on type I collagen through the GPVI-FcRgamma complex (By similarity). Inhibits cell migration and cell scattering through interaction with FLNA; interferes with the interaction of FLNA with RALA (PubMed : 16291724). Mediates bile acid transport activity in a phosphorylation dependent manner (By similarity). Negatively regulates osteoclastogenesis (By similarity).. Isoform 8. Cell adhesion protein that mediates homophilic cell adhesion in a calcium-independent manner (By similarity). Promotes populations of T cells regulating IgA production and secretion associated with control of the commensal microbiota and resistance to enteropathogens (By similarity).
See full target information CEACAM1

Publications (11)

Recent publications for all applications. Explore the full list and refine your search

Frontiers in pharmacology 16:1579551 PubMed40520162

2025

Respiratory virus-induced bacterial dysregulation in pediatric airway tissue and the dual actions of Echinacea in reducing complications.

Applications

Unspecified application

Species

Unspecified reactive species

Selvarani Vimalanathan,Mahfuza Sreya,Ranganayaki Nandanavanam,Roland Schoop,Giuseppe Gancitano,Saba Saberi,Anna Malikovskaia,James Hudson

Biochemistry and biophysics reports 40:101833 PubMed39398537

2024

CEACAM1 increased the lymphangiogenesis through miR-423-5p and NF- kB in Non-Small Cell Lung Cancer.

Applications

Unspecified application

Species

Unspecified reactive species

Jie Yu,Wenke Cai,Tao Zhou,Bo Men,Shunqiong Chen,Dong Tu,Wei Guo,Jicui Wang,Feipeng Zhao,Yan Wang

Frontiers in immunology 15:1302761 PubMed38390332

2024

Immune checkpoint ligands expressed on mature high endothelial venules predict poor prognosis of NSCLC: have a relationship with CD8 T lymphocytes infiltration.

Applications

Unspecified application

Species

Unspecified reactive species

Jing Luo,Xiuhuan Shi,Yumeng Liu,Jian Wang,Hao Wang,Xuena Yang,Qian Sun,Zhenzhen Hui,Feng Wei,Xiubao Ren,Hua Zhao

Translational oncology 27:101564 PubMed36252282

2022

Exosomes in malignant pleural effusion from lung cancer patients impaired the cytotoxicity of double-negative T cells.

Applications

Unspecified application

Species

Unspecified reactive species

Jingjing Wu,Ranran Zhu,Zhengxia Wang,Xueqin Chen,Tingting Xu,Yanan Liu,Meijuan Song,Jingxian Jiang,Qiyun Ma,Zhongqi Chen,Yuan Liu,Xiaoyue Wang,Mingshun Zhang,Mao Huang,Ningfei Ji

Cancer science 113:3476-3488 PubMed35879647

2022

Transfer RNA-derived fragment 5'tRF-Gly promotes the development of hepatocellular carcinoma by direct targeting of carcinoembryonic antigen-related cell adhesion molecule 1.

Applications

Unspecified application

Species

Unspecified reactive species

Dekai Liu,Chengdong Wu,Jingjie Wang,Lufei Zhang,Zhongquan Sun,Shihong Chen,Yuan Ding,Weilin Wang

The Journal of biological chemistry 297:101311 PubMed34666041

2021

Human CEACAM1-LF regulates lipid storage in HepG2 cells via fatty acid transporter CD36.

Applications

Unspecified application

Species

Unspecified reactive species

Jennifer Chean,Charng-Jui Chen,Gabriel Gugiu,Patty Wong,Seung Cha,Harry Li,Tung Nguyen,Supriyo Bhatticharya,John E Shively

The American journal of pathology 191:1774-1786 PubMed34303699

2021

Myeloid Cells Are Enriched in Tonsillar Crypts, Providing Insight into the Viral Tropism of Human Papillomavirus.

Applications

Unspecified application

Species

Unspecified reactive species

Austin K Mattox,Jessica Roelands,Talia M Saal,Yang Cheng,Darawan Rinchai,Wouter Hendrickx,Geoffrey D Young,Thomas J Diefenbach,Alan E Berger,William H Westra,Justin A Bishop,William C Faquin,Francesco M Marincola,Mikael J Pittet,Davide Bedognetti,Sara I Pai

Cancer science 111:1943-1957 PubMed32304268

2020

Immune-checkpoint molecules on regulatory T-cells as a potential therapeutic target in head and neck squamous cell cancers.

Applications

Unspecified application

Species

Unspecified reactive species

Susumu Suzuki,Tetsuya Ogawa,Rui Sano,Taishi Takahara,Daisuke Inukai,Satou Akira,Hiromi Tsuchida,Kazuhiro Yoshikawa,Ryuzo Ueda,Toyonori Tsuzuki

American journal of cancer research 9:2618-2633 PubMed31911850

2019

DcR3 promotes proliferation and invasion of pancreatic cancer via a DcR3/STAT1/IRF1 feedback loop.

Applications

Unspecified application

Species

Unspecified reactive species

Yijun Wei,Xingyu Chen,Jian Yang,Jun Yao,Ni Yin,Zixiang Zhang,Dechun Li,Dongming Zhu,Jian Zhou

OncoTargets and therapy 12:10099-10105 PubMed31819504

2019

PD-L1 Expression Is Regulated By NF-κB During EMT Signaling In Gastric Carcinoma.

Applications

Unspecified application

Species

Unspecified reactive species

Dan Xu,Jing Li,Rui-Yang Li,Ting Lan,Chi Xiao,Ping Gong
View all publications

Product promise

We are committed to supporting your work with high-quality reagents, and we're here for you every step of the way. In the unlikely event that one of our products does not perform as expected, you're protected by our Product Promise.
For full details, please see our Terms & Conditions

Please note: All products are 'FOR RESEARCH USE ONLY. NOT FOR USE IN DIAGNOSTIC OR THERAPEUTIC PROCEDURES'.

For licensing inquiries, please contact partnerships@abcam.com