JavaScript is disabled in your browser. Please enable JavaScript to view this website.
AB323805

Anti-CEACAM1+ CEACAM5 + CEACAM6 + CEACAM8 antibody [RM1195]

  • BOND RX™ Validated
  • RabMAb
  • Recombinant
  • 20ul selling size
  • What is this?

Be the first to review this product! Submit a review

|

(0 Publication)

Rabbit Recombinant Multiclonal CEAM1 antibody. Suitable for IHC-P, ICC/IF, WB and reacts with Transfected cell line - Human, Human samples.

View Alternative Names

CD66a, BGP, BGP1, CEACAM1, Cell adhesion molecule CEACAM1, Biliary glycoprotein 1, Carcinoembryonic antigen-related cell adhesion molecule 1, BGP-1, CEA cell adhesion molecule 1

9 Images
Immunohistochemistry (Formalin/PFA-fixed paraffin-embedded sections) - Anti-CEACAM1+ CEACAM5 + CEACAM6 + CEACAM8 antibody [RM1195] (AB323805)
  • IHC-P

Supplier Data

Immunohistochemistry (Formalin/PFA-fixed paraffin-embedded sections) - Anti-CEACAM1+ CEACAM5 + CEACAM6 + CEACAM8 antibody [RM1195] (AB323805)

Immunohistochemical analysis of paraffin-embedded (A) 293T (human embryonic kidney epithelial cell) transfected with a CEACAM1 expression vector containing a his tag, (B) 293T transfected with a CEACAM3 expression vector containing a his tag, (C) 293T transfected with a CEACAM5 expression vector containing a his tag, (D) 293T transfected with a CEACAM6 expression vector containing a his tag, (E) 293T transfected with a CEACAM8 expression vector containing a his tag and (F) 293T cells transfected with an empty vector containing a his tag labeling CEACAM1+ CEACAM5 + CEACAM6 + CEACAM8 with ab323805 at 1/5000 (0.10 ug/ml) dilution, followed by a ready to use LeicaDS9800 (Bond™ Polymer Refine Detection).

Positive staining on (A) 293T transfected with a CEACAM1 expression vector containing a his tag, (C) 293T transfected with a CEACAM5 expression vector containing a his tag, (D) 293T transfected with a CEACAM6 expression vector containing a his tag, and (E) 293T transfected with a CEACAM8 expression vector containing a his tag. No staining on (B) 293T transfected with a CEACAM3 expression vector containing a his tag, and (F) 293T cells transfected with an empty vector containing a his tag.
The section was incubated with ab323805 for 30 mins at room temperature.
The immunostaining was performed on a Leica Biosystems BOND® RX instrument

Counterstained with Hematoxylin.

Secondary antibody only control : Secondary antibody is a ready to use LeicaDS9800 (Bond™ Polymer Refine Detection).

Heat mediated antigen retrieval was performed with Tris-EDTA buffer (pH 9.0, Epitope Retrieval Solution2) for 20 mins

Immunocytochemistry/ Immunofluorescence - Anti-CEACAM1+ CEACAM5 + CEACAM6 + CEACAM8 antibody [RM1195] (AB323805)
  • ICC/IF

Supplier Data

Immunocytochemistry/ Immunofluorescence - Anti-CEACAM1+ CEACAM5 + CEACAM6 + CEACAM8 antibody [RM1195] (AB323805)

Immunofluorescent analysis of 4% Paraformaldehyde-fixed, 0.1% TritonX-100 permeabilized HT-29 (human colorectal adenocarcinoma epithelial cell) cells labelling CEACAM1+ CEACAM5 + CEACAM6 + CEACAM8 with ab323805 at 1/250 (1.956 ug/ml) dilution, followed by ab150081 Goat Anti-Rabbit IgG H&L (Alexa Fluor® 488) preadsorbed antibody at 1/1000 (2ug/ml) dilution (Green).

Confocal image showing cytoplasmic and membranous staining in HT-29 cell line and no staining in HeLa cell line (shown in green). The counterstain was observed in magenta. Nuclear DNA was labelled with DAPI (shown in blue).
Negative control : HeLa (PMID : 11580753).
Image was taken with a confocal microscope (Leica-Microsystems, TCS SP8).

ab195889 Anti-alpha Tubulin mouse monoclonal antibody - Microtubule Marker (Alexa Fluor® 594) was used to counterstain tubulin at 1/200 (2.5ug/ml) dilution (Magenta).

Secondary antibody only control : Secondary antibody is ab150081 Goat Anti-Rabbit IgG H&L (Alexa Fluor® 488) preadsorbed at 1/1000 (2ug/ml) dilution.

Immunohistochemistry (Formalin/PFA-fixed paraffin-embedded sections) - Anti-CEACAM1+ CEACAM5 + CEACAM6 + CEACAM8 antibody [RM1195] (AB323805)
  • IHC-P

Supplier Data

Immunohistochemistry (Formalin/PFA-fixed paraffin-embedded sections) - Anti-CEACAM1+ CEACAM5 + CEACAM6 + CEACAM8 antibody [RM1195] (AB323805)

Immunohistochemical analysis of paraffin-embedded Human spleen tissue labeling CEACAM1+ CEACAM5 + CEACAM6 + CEACAM8 with ab323805 at 1/5000 (0.10 ug/ml) dilution, followed by a ready to use LeicaDS9800 (Bond™ Polymer Refine Detection).

Positive staining on human spleen.
The section was incubated with ab323805 for 30 mins at room temperature.
The immunostaining was performed on a Leica Biosystems BOND® RX instrument

Counterstained with Hematoxylin.

Secondary antibody only control : Secondary antibody is a ready to use LeicaDS9800 (Bond™ Polymer Refine Detection).

Heat mediated antigen retrieval was performed with Tris-EDTA buffer (pH 9.0, Epitope Retrieval Solution2) for 20 mins

Immunohistochemistry (Formalin/PFA-fixed paraffin-embedded sections) - Anti-CEACAM1+ CEACAM5 + CEACAM6 + CEACAM8 antibody [RM1195] (AB323805)
  • IHC-P

Supplier Data

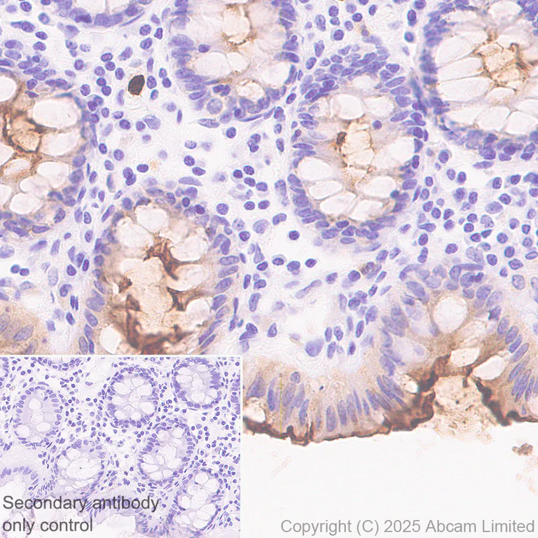
Immunohistochemistry (Formalin/PFA-fixed paraffin-embedded sections) - Anti-CEACAM1+ CEACAM5 + CEACAM6 + CEACAM8 antibody [RM1195] (AB323805)

Immunohistochemical analysis of paraffin-embedded Human colon tissue labeling CEACAM1+ CEACAM5 + CEACAM6 + CEACAM8 with ab323805 at 1/5000 (0.10 ug/ml) dilution, followed by a ready to use LeicaDS9800 (Bond™ Polymer Refine Detection).

Positive staining on human colon.
The section was incubated with ab323805 for 30 mins at room temperature.
The immunostaining was performed on a Leica Biosystems BOND® RX instrument

Counterstained with Hematoxylin.

Secondary antibody only control : Secondary antibody is a ready to use LeicaDS9800 (Bond™ Polymer Refine Detection).

Heat mediated antigen retrieval was performed with Tris-EDTA buffer (pH 9.0, Epitope Retrieval Solution2) for 20 mins

Immunocytochemistry/ Immunofluorescence - Anti-CEACAM1+ CEACAM5 + CEACAM6 + CEACAM8 antibody [RM1195] (AB323805)
  • ICC/IF

Supplier Data

Immunocytochemistry/ Immunofluorescence - Anti-CEACAM1+ CEACAM5 + CEACAM6 + CEACAM8 antibody [RM1195] (AB323805)

Immunofluorescent analysis of 4% Paraformaldehyde-fixed, 0.1% TritonX-100 permeabilized A549 (human lung carcinoma epithelial cell) cells labelling CEACAM1+ CEACAM5 + CEACAM6 + CEACAM8 with ab323805 at 1/250 (1.956 ug/ml) dilution, followed by ab150081 Goat Anti-Rabbit IgG H&L (Alexa Fluor® 488) preadsorbed antibody at 1/1000 (2ug/ml) dilution (Green).

Confocal image showing cytoplasmic and membranous staining in A549 cell line (shown in green). The counterstain was observed in magenta. Nuclear DNA was labelled with DAPI (shown in blue).
Image was taken with a confocal microscope (Leica-Microsystems, TCS SP8).

ab195889 Anti-alpha Tubulin mouse monoclonal antibody - Microtubule Marker (Alexa Fluor® 594) was used to counterstain tubulin at 1/200 (2.5ug/ml) dilution (Magenta).

Secondary antibody only control : Secondary antibody is ab150081 Goat Anti-Rabbit IgG H&L (Alexa Fluor® 488) preadsorbed at 1/1000 (2ug/ml) dilution.

Immunohistochemistry (Formalin/PFA-fixed paraffin-embedded sections) - Anti-CEACAM1+ CEACAM5 + CEACAM6 + CEACAM8 antibody [RM1195] (AB323805)
  • IHC-P

Supplier Data

Immunohistochemistry (Formalin/PFA-fixed paraffin-embedded sections) - Anti-CEACAM1+ CEACAM5 + CEACAM6 + CEACAM8 antibody [RM1195] (AB323805)

Immunohistochemical analysis of paraffin-embedded Human skeletal muscle tissue labeling CEACAM1+ CEACAM5 + CEACAM6 + CEACAM8 with ab323805 at 1/5000 (0.10 ug/ml) dilution, followed by a ready to use LeicaDS9800 (Bond™ Polymer Refine Detection).

Low expression : positive staining on scattered immune cells of human skeletal muscle.
The section was incubated with ab323805 for 30 mins at room temperature.
The immunostaining was performed on a Leica Biosystems BOND® RX instrument

Counterstained with Hematoxylin.

Secondary antibody only control : Secondary antibody is a ready to use LeicaDS9800 (Bond™ Polymer Refine Detection).

Heat mediated antigen retrieval was performed with Tris-EDTA buffer (pH 9.0, Epitope Retrieval Solution2) for 20 mins

Western blot - Anti-CEACAM1+ CEACAM5 + CEACAM6 + CEACAM8 antibody [RM1195] (AB323805)
  • WB

Supplier Data

Western blot - Anti-CEACAM1+ CEACAM5 + CEACAM6 + CEACAM8 antibody [RM1195] (AB323805)

Blocking and diluting buffer and concentration : 5% NFDM/TBST.

Negative control : HeLa (PMID : 11580753).

In Western blot, Anti-GAPDH antibody [EPR16891] - Loading Control (ab181602) staining at 1/200000 dilution.

Exposure time : Lanes 1-3 and 5 : 26 seconds; lane 4 : 26 seconds

All lanes:

Western blot - Anti-CEACAM1+ CEACAM5 + CEACAM6 + CEACAM8 antibody [RM1195] (ab323805) at 1/1000 dilution

Lane 1:

A549 (human lung carcinoma epithelial cell) whole cell lysate at 20 µg

Lane 2:

MCF7 (human breast adenocarcinoma epithelial cell) whole cell lysate at 20 µg

Lane 3:

HT-29 (human colorectal adenocarcinoma epithelial cell) whole cell lysate at 20 µg

Lane 4:

Caco-2 (human colorectal adenocarcinoma epithelial cell) whole cell lysate at 20 µg

Lane 5:

HeLa (human cervical adenocarcinoma epithelial cell) whole cell lysate at 20 µg

Secondary

All lanes:

Western blot - Goat Anti-Rabbit IgG H&L (HRP) (<a href='/en-us/products/secondary-antibodies/goat-rabbit-igg-h-l-hrp-ab97051'>ab97051</a>) at 1/20000 dilution

Observed band size: 40-180 kDa,36 kDa

false

Western blot - Anti-CEACAM1+ CEACAM5 + CEACAM6 + CEACAM8 antibody [RM1195] (AB323805)
  • WB

Supplier Data

Western blot - Anti-CEACAM1+ CEACAM5 + CEACAM6 + CEACAM8 antibody [RM1195] (AB323805)

Blocking and diluting buffer and concentration : 5% NFDM/TBST.

Low expression : Skeletal muscle

In Western blot, Anti-GAPDH antibody [EPR16891] - Loading Control (ab181602) staining at 1/200000 dilution.

All lanes:

Western blot - Anti-CEACAM1+ CEACAM5 + CEACAM6 + CEACAM8 antibody [RM1195] (ab323805) at 1/1000 dilution

Lane 1:

Human colon tissue lysate at 20 µg

Lane 2:

Human liver tissue lysate at 20 µg

Lane 3:

Human skeletal muscle tissue lysate at 20 µg

Secondary

All lanes:

Western blot - Goat Anti-Rabbit IgG H&L (HRP) (<a href='/en-us/products/secondary-antibodies/goat-rabbit-igg-h-l-hrp-ab97051'>ab97051</a>) at 1/20000 dilution

Observed band size: 40-180 kDa,36 kDa

false

Exposure time: 103s

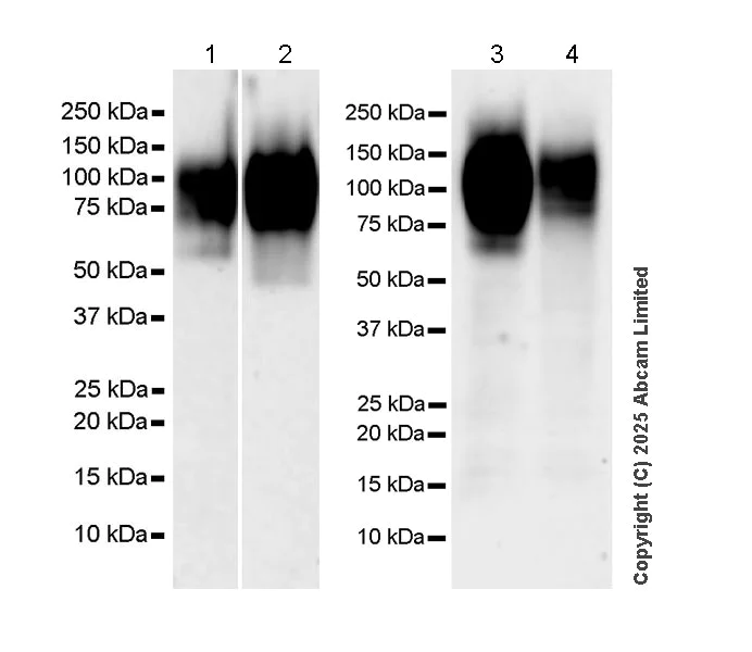
Western blot - Anti-CEACAM1+ CEACAM5 + CEACAM6 + CEACAM8 antibody [RM1195] (AB323805)
  • WB

Supplier Data

Western blot - Anti-CEACAM1+ CEACAM5 + CEACAM6 + CEACAM8 antibody [RM1195] (AB323805)

Blocking and diluting buffer and concentration : 5% NFDM/TBST.

Exposure time : Lane 1 : 180 seconds; lane 2 : 103 seconds; lane 3-4 : 59 seconds

All lanes:

Western blot - Anti-CEACAM1+ CEACAM5 + CEACAM6 + CEACAM8 antibody [RM1195] (ab323805) at 1/1000 dilution

Lane 1:

Human spleen tissue lysate at 20 µg

Lane 2:

Human lung cancer tissue lysate at 20 µg

Lane 3:

HL-60 (human acute promyelocytic leukemia promyeloblast) whole cell lysate at 20 µg

Lane 4:

SW1463 (human Large intestine; Rectum epithelial) whole cell lysate at 20 µg

Secondary

All lanes:

Western blot - Goat Anti-Rabbit IgG H&L (HRP) (<a href='/en-us/products/secondary-antibodies/goat-rabbit-igg-h-l-hrp-ab97051'>ab97051</a>) at 1/20000 dilution

Observed band size: 40-180 kDa

false

Key facts

Host species

Rabbit

Clonality

Multiclonal

Clone number

RM1195

Isotype

IgG

Carrier free

No

Reacts with

Human

Applications

IHC-P, ICC/IF, WB

applications

Immunogen

This product was produced with the following immunogens:

The exact immunogen used to generate this antibody is proprietary information.

The exact immunogen used to generate this antibody is proprietary information.

The exact immunogen used to generate this antibody is proprietary information.

Reactivity data

{ "title": "Reactivity Data", "filters": { "stats": ["", "Species", "Dilution Info", "Notes"], "tabs": { "all-applications": {"fullname" : "All Applications", "shortname": "All Applications"}, "IHCP" : {"fullname" : "Immunohistochemistry (Formalin/PFA-fixed paraffin-embedded sections)", "shortname":"IHC-P"}, "ICCIF" : {"fullname" : "Immunocytochemistry/ Immunofluorescence", "shortname":"ICC/IF"}, "WB" : {"fullname" : "Western blot", "shortname":"WB"}, "IP" : {"fullname" : "Immunoprecipitation", "shortname":"IP"}, "FlowCyt" : {"fullname" : "Flow Cytometry", "shortname":"Flow Cyt"} }, "product-promise": { "all": "all", "testedAndGuaranteed": "tested", "guaranteed": "expected", "predicted": "predicted", "notRecommended": "not-recommended" } }, "values": { "Human": { "IHCP-species-checked": "testedAndGuaranteed", "IHCP-species-dilution-info": "1/5000", "IHCP-species-notes": "<p></p> Perform heat-mediated antigen retrieval with Tris/EDTA buffer pH 9.0 before commencing with IHC staining protocol.", "ICCIF-species-checked": "testedAndGuaranteed", "ICCIF-species-dilution-info": "1/250", "ICCIF-species-notes": "<p></p>", "WB-species-checked": "testedAndGuaranteed", "WB-species-dilution-info": "1/1000", "WB-species-notes": "<p></p>", "IP-species-checked": "notRecommended", "IP-species-dilution-info": "", "IP-species-notes": "<p></p>", "FlowCyt-species-checked": "notRecommended", "FlowCyt-species-dilution-info": "", "FlowCyt-species-notes": "<p></p>" }, "Mouse": { "IHCP-species-checked": "notRecommended", "IHCP-species-dilution-info": "", "IHCP-species-notes": "<p></p>", "ICCIF-species-checked": "notRecommended", "ICCIF-species-dilution-info": "", "ICCIF-species-notes": "", "WB-species-checked": "notRecommended", "WB-species-dilution-info": "", "WB-species-notes": "<p></p>", "IP-species-checked": "notRecommended", "IP-species-dilution-info": "", "IP-species-notes": "", "FlowCyt-species-checked": "notRecommended", "FlowCyt-species-dilution-info": "", "FlowCyt-species-notes": "" }, "Rat": { "IHCP-species-checked": "notRecommended", "IHCP-species-dilution-info": "", "IHCP-species-notes": "<p></p>", "ICCIF-species-checked": "notRecommended", "ICCIF-species-dilution-info": "", "ICCIF-species-notes": "", "WB-species-checked": "notRecommended", "WB-species-dilution-info": "", "WB-species-notes": "<p></p>", "IP-species-checked": "notRecommended", "IP-species-dilution-info": "", "IP-species-notes": "", "FlowCyt-species-checked": "notRecommended", "FlowCyt-species-dilution-info": "", "FlowCyt-species-notes": "" }, "Transfected cell line - Human": { "IHCP-species-checked": "testedAndGuaranteed", "IHCP-species-dilution-info": "1/5000", "IHCP-species-notes": "<p></p> Perform heat-mediated antigen retrieval with Tris/EDTA buffer pH 9.0 before commencing with IHC staining protocol.", "ICCIF-species-checked": "notRecommended", "ICCIF-species-dilution-info": "", "ICCIF-species-notes": "", "WB-species-checked": "notRecommended", "WB-species-dilution-info": "", "WB-species-notes": "", "IP-species-checked": "notRecommended", "IP-species-dilution-info": "", "IP-species-notes": "", "FlowCyt-species-checked": "notRecommended", "FlowCyt-species-dilution-info": "", "FlowCyt-species-notes": "" } } }

Product details

Patented technology
Our RabMAb® technology is a patented hybridoma-based technology for making rabbit monoclonal antibodies. For details on our patents, please refer to RabMAb® patents.

What are recombinant multiclonals?
Recombinant multiclonals are a mixture of recombinant antibodies co-expressed from a library of heavy and light chains. They offer several advantages including:

  • - The sensitivity of polyclonal antibodies by recognising multiple epitopes
  • - High batch-to-batch consistency and reproducibility
  • - Improved sensitivity and specificity
  • - Long-term security of supply
  • - Animal-free batch production

View our range of recombinant multiclonal antibodies.

Properties and storage information

Form
Liquid
Purification technique
Affinity purification Protein A
Storage buffer
pH: 7.2 - 7.4 Preservative: 0.01% Sodium azide Constituents: PBS, 40% Glycerol (glycerin, glycerine), 0.05% BSA
Shipped at conditions
Blue Ice
Appropriate short-term storage duration
1-2 weeks
Appropriate short-term storage conditions
+4°C
Appropriate long-term storage conditions
-20°C
Aliquoting information
Upon delivery aliquot
Storage information
Avoid freeze / thaw cycle

Product protocols

For this product, it's our understanding that no specific protocols are required. You can visit:

Target data

Isoform 1. Cell adhesion protein that mediates homophilic cell adhesion in a calcium-independent manner (By similarity). Plays a role as coinhibitory receptor in immune response, insulin action and functions also as an activator during angiogenesis (PubMed : 18424730, PubMed : 23696226, PubMed : 25363763). Its coinhibitory receptor function is phosphorylation- and PTPN6 -dependent, which in turn, suppress signal transduction of associated receptors by dephosphorylation of their downstream effectors. Plays a role in immune response, of T cells, natural killer (NK) and neutrophils (PubMed : 18424730, PubMed : 23696226). Upon TCR/CD3 complex stimulation, inhibits TCR-mediated cytotoxicity by blocking granule exocytosis by mediating homophilic binding to adjacent cells, allowing interaction with and phosphorylation by LCK and interaction with the TCR/CD3 complex which recruits PTPN6 resulting in dephosphorylation of CD247 and ZAP70 (PubMed : 18424730). Also inhibits T cell proliferation and cytokine production through inhibition of JNK cascade and plays a crucial role in regulating autoimmunity and anti-tumor immunity by inhibiting T cell through its interaction with HAVCR2 (PubMed : 25363763). Upon natural killer (NK) cells activation, inhibit KLRK1-mediated cytolysis of CEACAM1-bearing tumor cells by trans-homophilic interactions with CEACAM1 on the target cell and lead to cis-interaction between CEACAM1 and KLRK1, allowing PTPN6 recruitment and then VAV1 dephosphorylation (PubMed : 23696226). Upon neutrophils activation negatively regulates IL1B production by recruiting PTPN6 to a SYK-TLR4-CEACAM1 complex, that dephosphorylates SYK, reducing the production of reactive oxygen species (ROS) and lysosome disruption, which in turn, reduces the activity of the inflammasome. Down-regulates neutrophil production by acting as a coinhibitory receptor for CSF3R by down-regulating the CSF3R-STAT3 pathway through recruitment of PTPN6 that dephosphorylates CSF3R (By similarity). Also regulates insulin action by promoting INS clearance and regulating lipogenesis in liver through regulating insulin signaling (By similarity). Upon INS stimulation, undergoes phosphorylation by INSR leading to INS clearance by increasing receptor-mediated insulin endocytosis. This inernalization promotes interaction with FASN leading to receptor-mediated insulin degradation and to reduction of FASN activity leading to negative regulation of fatty acid synthesis. INSR-mediated phosphorylation also provokes a down-regulation of cell proliferation through SHC1 interaction resulting in decrease coupling of SHC1 to the MAPK3/ERK1-MAPK1/ERK2 and phosphatidylinositol 3-kinase pathways (By similarity). Functions as activator in angiogenesis by promoting blood vessel remodeling through endothelial cell differentiation and migration and in arteriogenesis by increasing the number of collateral arteries and collateral vessel calibers after ischemia. Also regulates vascular permeability through the VEGFR2 signaling pathway resulting in control of nitric oxide production (By similarity). Down-regulates cell growth in response to EGF through its interaction with SHC1 that mediates interaction with EGFR resulting in decrease coupling of SHC1 to the MAPK3/ERK1-MAPK1/ERK2 pathway (By similarity). Negatively regulates platelet aggregation by decreasing platelet adhesion on type I collagen through the GPVI-FcRgamma complex (By similarity). Inhibits cell migration and cell scattering through interaction with FLNA; interferes with the interaction of FLNA with RALA (PubMed : 16291724). Mediates bile acid transport activity in a phosphorylation dependent manner (By similarity). Negatively regulates osteoclastogenesis (By similarity).. Isoform 8. Cell adhesion protein that mediates homophilic cell adhesion in a calcium-independent manner (By similarity). Promotes populations of T cells regulating IgA production and secretion associated with control of the commensal microbiota and resistance to enteropathogens (By similarity).
See full target information CEACAM1

Additional targets

CEACAM5,CEACAM6,CEACAM8

Product promise

We are committed to supporting your work with high-quality reagents, and we're here for you every step of the way. In the unlikely event that one of our products does not perform as expected, you're protected by our Product Promise.
For full details, please see our Terms & Conditions

Please note: All products are 'FOR RESEARCH USE ONLY. NOT FOR USE IN DIAGNOSTIC OR THERAPEUTIC PROCEDURES'.

For licensing inquiries, please contact partnerships@abcam.com