JavaScript is disabled in your browser. Please enable JavaScript to view this website.
AB206431

Anti-CEACAM1 + CEACAM6 antibody [EPR19878]

Be the first to review this product! Submit a review

|

(1 Publication)

Rabbit Recombinant Monoclonal CEAM1 antibody. Suitable for WB, IHC-P and reacts with Human samples. Cited in 1 publication.

View Alternative Names

CD66a, BGP, BGP1, CEACAM1, Cell adhesion molecule CEACAM1, Biliary glycoprotein 1, Carcinoembryonic antigen-related cell adhesion molecule 1, BGP-1, CEA cell adhesion molecule 1

6 Images
Immunohistochemistry (Formalin/PFA-fixed paraffin-embedded sections) - Anti-CEACAM1 + CEACAM6 antibody [EPR19878] (AB206431)
  • IHC-P

Supplier Data

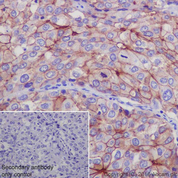
Immunohistochemistry (Formalin/PFA-fixed paraffin-embedded sections) - Anti-CEACAM1 + CEACAM6 antibody [EPR19878] (AB206431)

Immunohistochemical analysis of paraffin-embedded human liver cancer tissue labeling CEACAM1 + CEACAM6 with ab206431 at 1/4000 dilution followed by Goat Anti-Rabbit IgG H&L (HRP) (ab97051) at 1/500 dilution.

Membrane staining on human liver cancer is observed.

Counter stained with Hematoxylin.

Secondary antibody only control : Used PBS instead of primary antibody secondary antibody is Goat Anti-Rabbit IgG H&L (HRP) (ab97051) at 1/500 dilution.

Perform heat mediated antigen retrieval with Tris/EDTA buffer pH 9.0 before commencing with IHC staining protocol.

Immunohistochemistry (Formalin/PFA-fixed paraffin-embedded sections) - Anti-CEACAM1 + CEACAM6 antibody [EPR19878] (AB206431)
  • IHC-P

Supplier Data

Immunohistochemistry (Formalin/PFA-fixed paraffin-embedded sections) - Anti-CEACAM1 + CEACAM6 antibody [EPR19878] (AB206431)

Immunohistochemical analysis of paraffin-embedded human colon tissue labeling CEACAM1 + CEACAM6 with ab206431 at 1/4000 dilution followed by Goat Anti-Rabbit IgG H&L (HRP) (ab97051) at 1/500 dilution.

Brush border staining on human colon is observed.

Counter stained with Hematoxylin.

Secondary antibody only control : Used PBS instead of primary antibody secondary antibody is Goat Anti-Rabbit IgG H&L (HRP) (ab97051) at 1/500 dilution.

Perform heat mediated antigen retrieval with Tris/EDTA buffer pH 9.0 before commencing with IHC staining protocol.

Western blot - Anti-CEACAM1 + CEACAM6 antibody [EPR19878] (AB206431)
  • WB

Supplier Data

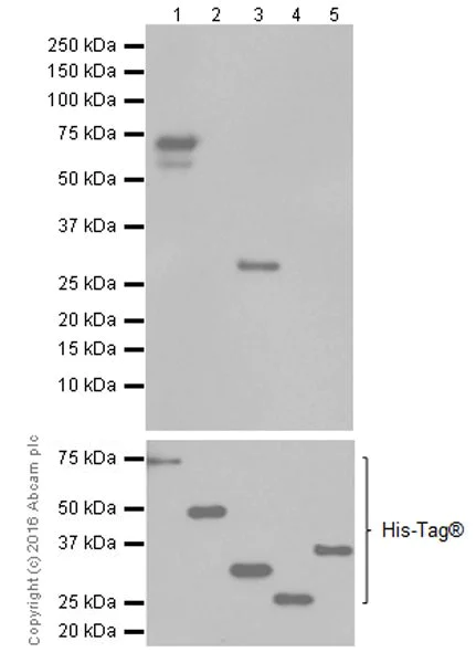
Western blot - Anti-CEACAM1 + CEACAM6 antibody [EPR19878] (AB206431)

Blocking/Dilution buffer : 5% NFDM/TBST.

Human CEACAM1 recombinant protein contains aa35-428 with GST-tag and His-Tag®. Human CEACAM5, CEACAM6, CEACAM7, CEACAM8 recombinant proteins contain aa35-422, aa35-326, aa35-326 and aa35-335 respectively, and all with a His-Tag®.

All lanes:

Western blot - Anti-CEACAM1 + CEACAM6 antibody [EPR19878] (ab206431) at 1/1000 dilution

Lane 1:

Human CEACAM1 recombinant protein at 0.01 µg

Lane 2:

Human CEACAM5 recombinant protein at 0.01 µg

Lane 3:

Human CEACAM6 recombinant protein at 0.01 µg

Lane 4:

Human CEACAM7 recombinant protein at 0.01 µg

Lane 5:

Human CEACAM8 recombinant protein at 0.01 µg

Secondary

All lanes:

Western blot - Goat Anti-Rabbit IgG H&L (HRP) (<a href='/en-us/products/secondary-antibodies/goat-rabbit-igg-h-l-hrp-ab97051'>ab97051</a>) at 1/100000 dilution

Predicted band size: 57 kDa

false

Exposure time: 1s

Western blot - Anti-CEACAM1 + CEACAM6 antibody [EPR19878] (AB206431)
  • WB

Supplier Data

Western blot - Anti-CEACAM1 + CEACAM6 antibody [EPR19878] (AB206431)

Blocking/Dilution buffer : 5% NFDM/TBST.

Exposure time : Lane 1 : 1 minute; Lane 2 : 3 seconds; Lane 3 : 30 seconds; Lane 4 : 15 seconds.

The molecular weight observed is consistent with what has been described in the literature (PMID : 19244123, PMID : 10751340, PMID : 17081782).

All lanes:

Western blot - Anti-CEACAM1 + CEACAM6 antibody [EPR19878] (ab206431) at 1/1000 dilution

Lane 1:

Human fetal liver tissue lysate at 10 µg

Lane 2:

HepG2 (Human liver hepatocellular carcinoma cell line) whole cell lysate at 10 µg

Lane 3:

A549 (Human lung carcinoma cell line) whole cell lysate at 10 µg

Lane 4:

HT-29 (Human colorectal adenocarcinoma cell line) whole cell lysate at 10 µg

Secondary

All lanes:

Western blot - Goat Anti-Rabbit IgG H&L (HRP) (<a href='/en-us/products/secondary-antibodies/goat-rabbit-igg-h-l-hrp-ab97051'>ab97051</a>) at 1/100000 dilution

Predicted band size: 57 kDa

Observed band size: 110-150 kDa

false

Western blot - Anti-CEACAM1 + CEACAM6 antibody [EPR19878] (AB206431)
  • WB

Supplier Data

Western blot - Anti-CEACAM1 + CEACAM6 antibody [EPR19878] (AB206431)

Blocking/Dilution buffer : 5% NFDM/TBST.

Exposure time : Lane 1 : 1 second; Lane 2 : 3 minutes.

The molecular weight observed is consistent with what has been described in the literature (PMID : 19244123, PMID : 10751340, PMID : 17081782).

All lanes:

Western blot - Anti-CEACAM1 + CEACAM6 antibody [EPR19878] (ab206431) at 1/1000 dilution

Lane 1:

BxPC-3 (Human pancreas adenocarcinoma cell line) whole cell lysate at 10 µg

Lane 2:

Human kidney tissue lysate at 10 µg

Secondary

All lanes:

Western blot - Goat Anti-Rabbit IgG H&L (HRP) (<a href='/en-us/products/secondary-antibodies/goat-rabbit-igg-h-l-hrp-ab97051'>ab97051</a>) at 1/100000 dilution

Predicted band size: 57 kDa

Observed band size: 110-150 kDa,75-90 kDa

false

Western blot - Anti-CEACAM1 + CEACAM6 antibody [EPR19878] (AB206431)
  • WB

Supplier Data

Western blot - Anti-CEACAM1 + CEACAM6 antibody [EPR19878] (AB206431)

Blocking/Dilution buffer : 5% NFDM/TBST.

HUVEC does not express CEACAM 6 and PC-3 does not express CEACAM 1 (PMID : 22918079, PMID : 10359532).

All lanes:

Western blot - Anti-CEACAM1 + CEACAM6 antibody [EPR19878] (ab206431) at 1/1000 dilution

Lane 1:

HUVEC (Human umbilical vein endothelial cell line) whole cell lysate at 10 µg

Lane 2:

PC-3 (Human prostate adenocarcinoma cell line) whole cell lysate at 10 µg

Secondary

All lanes:

Western blot - Goat Anti-Rabbit IgG H&L (HRP) (<a href='/en-us/products/secondary-antibodies/goat-rabbit-igg-h-l-hrp-ab97051'>ab97051</a>) at 1/100000 dilution

Predicted band size: 16 kDa,57 kDa

Observed band size: 13 kDa

false

Exposure time: 3min

  • Carrier free

    Anti-CEACAM1+CEACAM6 antibody [EPR19878] - BSA and Azide free

Key facts

Host species

Rabbit

Clonality

Monoclonal

Clone number

EPR19878

Isotype

IgG

Carrier free

No

Reacts with

Human

Applications

IHC-P, WB

applications

Immunogen

The exact immunogen used to generate this antibody is proprietary information.

Reactivity data

{ "title": "Reactivity Data", "filters": { "stats": ["", "Species", "Dilution Info", "Notes"], "tabs": { "all-applications": {"fullname" : "All Applications", "shortname": "All Applications"}, "WB" : {"fullname" : "Western blot", "shortname":"WB"}, "IHCP" : {"fullname" : "Immunohistochemistry (Formalin/PFA-fixed paraffin-embedded sections)", "shortname":"IHC-P"}, "FlowCyt" : {"fullname" : "Flow Cytometry", "shortname":"Flow Cyt"} }, "product-promise": { "all": "all", "testedAndGuaranteed": "tested", "guaranteed": "expected", "predicted": "predicted", "notRecommended": "not-recommended" } }, "values": { "Human": { "WB-species-checked": "testedAndGuaranteed", "WB-species-dilution-info": "1/1000", "WB-species-notes": "<p></p>", "IHCP-species-checked": "testedAndGuaranteed", "IHCP-species-dilution-info": "1/4000", "IHCP-species-notes": "<p></p>", "FlowCyt-species-checked": "notRecommended", "FlowCyt-species-dilution-info": "", "FlowCyt-species-notes": "<p></p>" } } }

Product details

Patented technology
Our RabMAb® technology is a patented hybridoma-based technology for making rabbit monoclonal antibodies. For details on our patents, please refer to RabMAb® patents.

What are the advantages of a recombinant monoclonal antibody?
This product is a recombinant monoclonal antibody, which offers several advantages including:

  • - High batch-to-batch consistency and reproducibility
  • - Improved sensitivity and specificity
  • - Long-term security of supply
  • - Animal-free batch production

For more information, read more on recombinant antibodies.

Properties and storage information

Form
Liquid
Purification technique
Affinity purification Protein A
Storage buffer
pH: 7.2 - 7.4 Preservative: 0.01% Sodium azide Constituents: PBS, 40% Glycerol (glycerin, glycerine), 0.05% BSA
Shipped at conditions
Blue Ice
Appropriate short-term storage duration
1-2 weeks
Appropriate short-term storage conditions
+4°C
Appropriate long-term storage conditions
-20°C
Aliquoting information
Upon delivery aliquot
Storage information
Avoid freeze / thaw cycle

Supplementary information

This supplementary information is collated from multiple sources and compiled automatically.

Carcinoembryonic antigen-related cell adhesion molecules 1 and 6 (CEACAM1 and CEACAM6) are members of the immunoglobulin superfamily. CEACAM1 known also as CD66a or BGP has a mass of approximately 110 kDa. CEACAM6 also referred to as CD66c or NCA is around 37 kDa. Both proteins are broadly expressed on epithelial cells in tissues like the colon and lung. CEACAM1 shows higher diversity in isoforms due to alternative splicing allowing it to modulate diverse functions depending on its form. CEACAM6 expression is typically found on cells of the gastrointestinal tract and in granulocytes.
Biological function summary

CEACAM1 and CEACAM6 act as cell adhesion molecules. These proteins help mediate intercellular adhesion and communication which plays a role in maintaining tissue organization and integrity. CEACAM1 is part of complexes involved in intracellular signaling influencing processes like cell proliferation and apoptosis. CEACAM6 lacks significant intracellular signaling domains but contributes to pathogen binding and immune response modulation. Their ability to bind with other CEACAM family members helps regulate cell-cell and cell-matrix interactions.

Pathways

The CEACAM1 and CEACAM6 proteins play roles in key signaling pathways such as the MAPK/ERK and PI3K/AKT pathways. CEACAM1 links to the MAPK/ERK pathway through its ITIM domain modulating cell growth and survival. CEACAM6 interacts with various kinases influencing the PI3K/AKT pathway aiding in cell migration and evasion of apoptosis. Together these proteins participate in pathways that coordinate cell adhesion and signal transduction sharing connections with proteins like beta-catenin.

CEACAM1 and CEACAM6 have strong associations with cancer development especially colorectal and lung cancers. CEACAM1 plays a role in tumor progression by affecting immune cell function and vascular growth. Its downregulation often links with the tumor’s ability to evade the immune system. CEACAM6 overexpression correlates with tumor invasiveness and poor prognosis impacting its connection to effector proteins such as integrins. Both proteins present potential targets for therapeutic strategies due to their involvement in cancer-related mechanisms.

Product protocols

For this product, it's our understanding that no specific protocols are required. You can visit:

Target data

Isoform 1. Cell adhesion protein that mediates homophilic cell adhesion in a calcium-independent manner (By similarity). Plays a role as coinhibitory receptor in immune response, insulin action and functions also as an activator during angiogenesis (PubMed : 18424730, PubMed : 23696226, PubMed : 25363763). Its coinhibitory receptor function is phosphorylation- and PTPN6 -dependent, which in turn, suppress signal transduction of associated receptors by dephosphorylation of their downstream effectors. Plays a role in immune response, of T cells, natural killer (NK) and neutrophils (PubMed : 18424730, PubMed : 23696226). Upon TCR/CD3 complex stimulation, inhibits TCR-mediated cytotoxicity by blocking granule exocytosis by mediating homophilic binding to adjacent cells, allowing interaction with and phosphorylation by LCK and interaction with the TCR/CD3 complex which recruits PTPN6 resulting in dephosphorylation of CD247 and ZAP70 (PubMed : 18424730). Also inhibits T cell proliferation and cytokine production through inhibition of JNK cascade and plays a crucial role in regulating autoimmunity and anti-tumor immunity by inhibiting T cell through its interaction with HAVCR2 (PubMed : 25363763). Upon natural killer (NK) cells activation, inhibit KLRK1-mediated cytolysis of CEACAM1-bearing tumor cells by trans-homophilic interactions with CEACAM1 on the target cell and lead to cis-interaction between CEACAM1 and KLRK1, allowing PTPN6 recruitment and then VAV1 dephosphorylation (PubMed : 23696226). Upon neutrophils activation negatively regulates IL1B production by recruiting PTPN6 to a SYK-TLR4-CEACAM1 complex, that dephosphorylates SYK, reducing the production of reactive oxygen species (ROS) and lysosome disruption, which in turn, reduces the activity of the inflammasome. Down-regulates neutrophil production by acting as a coinhibitory receptor for CSF3R by down-regulating the CSF3R-STAT3 pathway through recruitment of PTPN6 that dephosphorylates CSF3R (By similarity). Also regulates insulin action by promoting INS clearance and regulating lipogenesis in liver through regulating insulin signaling (By similarity). Upon INS stimulation, undergoes phosphorylation by INSR leading to INS clearance by increasing receptor-mediated insulin endocytosis. This inernalization promotes interaction with FASN leading to receptor-mediated insulin degradation and to reduction of FASN activity leading to negative regulation of fatty acid synthesis. INSR-mediated phosphorylation also provokes a down-regulation of cell proliferation through SHC1 interaction resulting in decrease coupling of SHC1 to the MAPK3/ERK1-MAPK1/ERK2 and phosphatidylinositol 3-kinase pathways (By similarity). Functions as activator in angiogenesis by promoting blood vessel remodeling through endothelial cell differentiation and migration and in arteriogenesis by increasing the number of collateral arteries and collateral vessel calibers after ischemia. Also regulates vascular permeability through the VEGFR2 signaling pathway resulting in control of nitric oxide production (By similarity). Down-regulates cell growth in response to EGF through its interaction with SHC1 that mediates interaction with EGFR resulting in decrease coupling of SHC1 to the MAPK3/ERK1-MAPK1/ERK2 pathway (By similarity). Negatively regulates platelet aggregation by decreasing platelet adhesion on type I collagen through the GPVI-FcRgamma complex (By similarity). Inhibits cell migration and cell scattering through interaction with FLNA; interferes with the interaction of FLNA with RALA (PubMed : 16291724). Mediates bile acid transport activity in a phosphorylation dependent manner (By similarity). Negatively regulates osteoclastogenesis (By similarity).. Isoform 8. Cell adhesion protein that mediates homophilic cell adhesion in a calcium-independent manner (By similarity). Promotes populations of T cells regulating IgA production and secretion associated with control of the commensal microbiota and resistance to enteropathogens (By similarity).
See full target information CEACAM1

Additional targets

CEACAM6

Publications (1)

Recent publications for all applications. Explore the full list and refine your search

Journal of the American Society of Nephrology : JASN 31:2263-2277 PubMed32646856

2020

Lipocalin-2 Exacerbates Lupus Nephritis by Promoting Th1 Cell Differentiation.

Applications

Unspecified application

Species

Unspecified reactive species

Weiwei Chen,Wenchao Li,Zhuoya Zhang,Xiaojun Tang,Shufang Wu,Genhong Yao,Kang Li,Dandan Wang,Yuemei Xu,Ruihai Feng,Xiaoxiao Duan,Xiangshan Fan,Liwei Lu,WanJun Chen,Chaojun Li,Lingyun Sun
View all publications

Product promise

We are committed to supporting your work with high-quality reagents, and we're here for you every step of the way. In the unlikely event that one of our products does not perform as expected, you're protected by our Product Promise.
For full details, please see our Terms & Conditions

Please note: All products are 'FOR RESEARCH USE ONLY. NOT FOR USE IN DIAGNOSTIC OR THERAPEUTIC PROCEDURES'.

For licensing inquiries, please contact partnerships@abcam.com