JavaScript is disabled in your browser. Please enable JavaScript to view this website.
AB167477

Anti-CEACAM16 antibody [SU-9D5]

Be the first to review this product! Submit a review

|

(2 Publications)

Mouse Monoclonal CEACAM16 antibody. Carrier free. Suitable for Flow Cyt, IHC-P and reacts with Human, Mouse samples. Cited in 2 publications.

View Alternative Names

CEAL2, CEACAM16, Cell adhesion molecule CEACAM16, Carcinoembryonic antigen-like 2, Carcinoembryonic antigen-related cell adhesion molecule 16, CEA cell adhesion molecule 16

3 Images
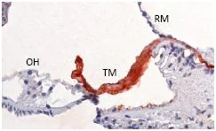
Immunohistochemistry (Formalin/PFA-fixed paraffin-embedded sections) - Anti-CEACAM16 antibody [SU-9D5] (AB167477)
  • IHC-P

Unknown

Immunohistochemistry (Formalin/PFA-fixed paraffin-embedded sections) - Anti-CEACAM16 antibody [SU-9D5] (AB167477)

Immunohistochemical analysis of paraffin-embedded adult transgenic mouse cochlea tissue with a Human CEACAM16 gene, labeling CEACAM16 with ab167477 at 4 μg/ml. Binding of biotinylated antibody was detected with horseradish peroxidase-coupled streptavidin and stained with 3-amino-9-ethylcarbazole. OH : Outer hair cells, TM : Tectorial membrane, RM : Reissner’s membrane.

Flow Cytometry - Anti-CEACAM16 antibody [SU-9D5] (AB167477)
  • Flow Cyt

Unknown

Flow Cytometry - Anti-CEACAM16 antibody [SU-9D5] (AB167477)

BOSC23 cells were transiently transfected with expression vectors containing either the cDNA of CEACAM1, CEACAM3, 4, 6, 8 19, or 20. Expression of the constructs was tested with monoclonal antibodies known to recognize the corresponding proteins (data not shown). An irrelevant monoclonal antibody served as a negative control (black curves). For specificity testing, ab167477 was tested on all CEACAM transfectants at 1.2 μg/106 cells. A positive signal was obtained only with CEACAM16 transfected cells (red curve).

Flow Cytometry - Anti-CEACAM16 antibody [SU-9D5] (AB167477)
  • Flow Cyt

Unknown

Flow Cytometry - Anti-CEACAM16 antibody [SU-9D5] (AB167477)

Flow cytometric analysis of BOSC23 cells transiently transfected with an expression vector encoding either CEACAM16 (red curve) or an irrelevant protein (control transfectant). ab167477 was used at 1.2 μg/106 cells and detection was with a PE- conjugated secondary antibody.

Key facts

Host species

Mouse

Clonality

Monoclonal

Clone number

SU-9D5

Isotype

IgG2b

Carrier free

Yes

Reacts with

Mouse, Human

Applications

Flow Cyt, IHC-P

applications

Immunogen

The exact immunogen used to generate this antibody is proprietary information.

Reactivity data

{ "title": "Reactivity Data", "filters": { "stats": ["", "Species", "Dilution Info", "Notes"], "tabs": { "all-applications": {"fullname" : "All Applications", "shortname": "All Applications"}, "FlowCyt" : {"fullname" : "Flow Cytometry", "shortname":"Flow Cyt"}, "IHCP" : {"fullname" : "Immunohistochemistry (Formalin/PFA-fixed paraffin-embedded sections)", "shortname":"IHC-P"} }, "product-promise": { "all": "all", "testedAndGuaranteed": "tested", "guaranteed": "expected", "predicted": "predicted", "notRecommended": "not-recommended" } }, "values": { "Human": { "FlowCyt-species-checked": "testedAndGuaranteed", "FlowCyt-species-dilution-info": "1.2 µg for 10^6 Cells", "FlowCyt-species-notes": "<p><a href='/en-us/products/primary-antibodies/mouse-igg2b-kappa-monoclonal-7e10g10-isotype-control-ab170192'>ab170192</a> - Mouse monoclonal IgG2b, is suitable for use as an isotype control with this antibody.</p>", "IHCP-species-checked": "guaranteed", "IHCP-species-dilution-info": "", "IHCP-species-notes": "" }, "Mouse": { "FlowCyt-species-checked": "guaranteed", "FlowCyt-species-dilution-info": "", "FlowCyt-species-notes": "", "IHCP-species-checked": "testedAndGuaranteed", "IHCP-species-dilution-info": "4 µg/mL", "IHCP-species-notes": "<p></p>" } } }

Properties and storage information

Form
Liquid
Purification technique
Affinity purification Protein G
Purification notes
ab167477 was purified by protein G affinity chromatography from cell culture supernatants and verified by SDS-PAGE.
Storage buffer
pH: 7.2 Constituents: PBS
Shipped at conditions
Blue Ice
Appropriate short-term storage duration
1-2 weeks
Appropriate short-term storage conditions
+4°C
Appropriate long-term storage conditions
-20°C
Aliquoting information
Upon delivery aliquot

Supplementary information

This supplementary information is collated from multiple sources and compiled automatically.

CEACAM16 also known as Carcinoembryonic Antigen-Related Cell Adhesion Molecule 16 has a significant role in the auditory system. The protein has a mass approximately of 48 kDa and it is expressed mainly in the inner ear specifically within the cochlear and vestibular systems. CEACAM16 localizes at the tectorial membrane and is part of the structure involved in sensory hair cell function. Its expression is essential for the proper organization and mechanics of the tectorial membrane which contributes to sound perception.
Biological function summary

CEACAM16 interacts with other proteins to maintain auditory function. It is part of a complex that includes tectorial membrane proteins like TECTA (alpha-tectorin) and OTOA (otoancorin). CEACAM16 supports the structural integrity of the tectorial membrane facilitating the transmission of sound-induced vibrations to sensory hair cells. This interaction is critical for the proper mechanotransduction processes essential for hearing.

Pathways

CEACAM16 plays a role in hearing-related molecular pathways. It interacts within the mechanotransduction pathway which is important for converting mechanical sound stimuli into electrical signals in the ear. CEACAM16 also relates to pathways concerning extracellular matrix organization as it helps to maintain the tectorial membrane structure. Proteins such as collagen and other tectorial membrane components like TECTA and TECTB (beta-tectorin) are closely related within these pathways directly influencing auditory transduction efficiency.

CEACAM16 mutations or dysfunctions can lead to non-syndromic hearing loss. Mutations affecting CEACAM16 have been linked with autosomal dominant progressive hearing loss known as DFNA4B. This type of hearing impairment often involves mutations impacting the mechanotransduction pathway. Furthermore CEACAM16 has associations with proteins involved in genetic forms of deafness such as TECTA further illustrating its importance in maintaining auditory health.

Product protocols

For this product, it's our understanding that no specific protocols are required. You can visit:

Target data

Required for proper hearing, plays a role in maintaining the integrity of the tectorial membrane.
See full target information CEACAM16

Publications (2)

Recent publications for all applications. Explore the full list and refine your search

Cell reports 36:109594 PubMed34433068

2021

Modulation of motor behavior by the mesencephalic locomotor region.

Applications

Unspecified application

Species

Unspecified reactive species

Daniel Dautan,Adrienn Kovács,Tsogbadrakh Bayasgalan,Miguel A Diaz-Acevedo,Balazs Pal,Juan Mena-Segovia

ACS synthetic biology 8:207-215 PubMed30682244

2019

Application of mRNA Arrays for the Production of mCherry Reporter-Protein Arrays for Quantitative Gene Expression Analysis.

Applications

Unspecified application

Species

Unspecified reactive species

Masoud Norouzi,Andrew R Pickford,Louise E Butt,Helen A Vincent,Anastasia J Callaghan
View all publications

Product promise

We are committed to supporting your work with high-quality reagents, and we're here for you every step of the way. In the unlikely event that one of our products does not perform as expected, you're protected by our Product Promise.
For full details, please see our Terms & Conditions

Please note: All products are 'FOR RESEARCH USE ONLY. NOT FOR USE IN DIAGNOSTIC OR THERAPEUTIC PROCEDURES'.

For licensing inquiries, please contact partnerships@abcam.com