JavaScript is disabled in your browser. Please enable JavaScript to view this website.
AB251459

Anti-CEACAM1+CEACAM6 antibody [EPR19878] - BSA and Azide free

Be the first to review this product! Submit a review

|

(1 Publication)

Rabbit Recombinant Monoclonal CEAM1 antibody. Carrier free. Suitable for WB, IHC-P and reacts with Human, Recombinant full length protein - Human samples. Cited in 1 publication.

View Alternative Names

CD66a, BGP, BGP1, CEACAM1, Cell adhesion molecule CEACAM1, Biliary glycoprotein 1, Carcinoembryonic antigen-related cell adhesion molecule 1, BGP-1, CEA cell adhesion molecule 1, CD66c, NCA, CEACAM6, Cell adhesion molecule CEACAM6, Carcinoembryonic antigen-related cell adhesion molecule 6, Non-specific crossreacting antigen, Normal cross-reacting antigen, CEA cell adhesion molecule 6

6 Images
Immunohistochemistry (Formalin/PFA-fixed paraffin-embedded sections) - Anti-CEACAM1+CEACAM6 antibody [EPR19878] - BSA and Azide free (AB251459)
  • IHC-P

Supplier Data

Immunohistochemistry (Formalin/PFA-fixed paraffin-embedded sections) - Anti-CEACAM1+CEACAM6 antibody [EPR19878] - BSA and Azide free (AB251459)

This data was developed using ab206431, the same antibody clone in a different buffer formulation.

Immunohistochemical analysis of paraffin-embedded human liver cancer tissue labeling CEACAM1 + CEACAM6 with ab206431 at 1/4000 dilution, followed by Goat Anti-Rabbit IgG H&L (HRP) (ab97051) at 1/500 dilution.

Membrane staining on human liver cancer is observed.

Counter stained with Hematoxylin.

Secondary antibody only control : Used PBS instead of primary antibody, secondary antibody is Goat Anti-Rabbit IgG H&L (HRP) (ab97051) at 1/500 dilution.

Perform heat mediated antigen retrieval with Tris/EDTA buffer pH 9.0 before commencing with IHC staining protocol.

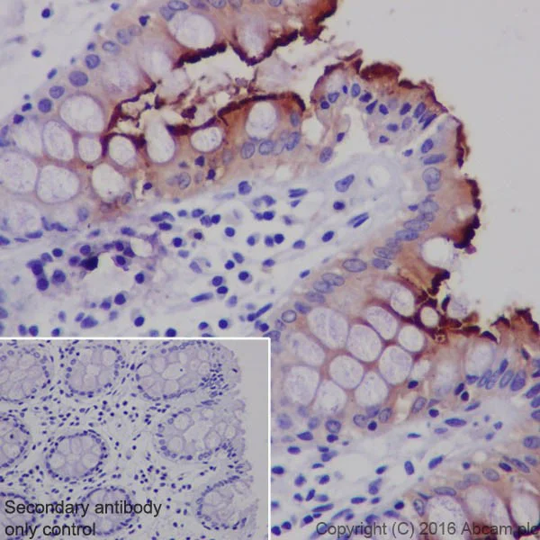
Immunohistochemistry (Formalin/PFA-fixed paraffin-embedded sections) - Anti-CEACAM1+CEACAM6 antibody [EPR19878] - BSA and Azide free (AB251459)
  • IHC-P

Supplier Data

Immunohistochemistry (Formalin/PFA-fixed paraffin-embedded sections) - Anti-CEACAM1+CEACAM6 antibody [EPR19878] - BSA and Azide free (AB251459)

This data was developed using ab206431, the same antibody clone in a different buffer formulation.

Immunohistochemical analysis of paraffin-embedded human colon tissue labeling CEACAM1 + CEACAM6 with ab206431 at 1/4000 dilution, followed by Goat Anti-Rabbit IgG H&L (HRP) (ab97051) at 1/500 dilution.

Brush border staining on human colon is observed.

Counter stained with Hematoxylin.

Secondary antibody only control : Used PBS instead of primary antibody, secondary antibody is Goat Anti-Rabbit IgG H&L (HRP) (ab97051) at 1/500 dilution.

Perform heat mediated antigen retrieval with Tris/EDTA buffer pH 9.0 before commencing with IHC staining protocol.

Western blot - Anti-CEACAM1+CEACAM6 antibody [EPR19878] - BSA and Azide free (AB251459)
  • WB

Supplier Data

Western blot - Anti-CEACAM1+CEACAM6 antibody [EPR19878] - BSA and Azide free (AB251459)

This data was developed using ab206431, the same antibody clone in a different buffer formulation.

Blocking and dilution buffer : 5% NFDM/TBST.

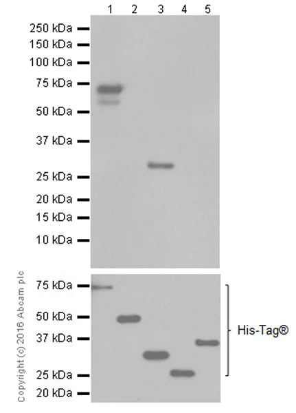
Human CEACAM1 recombinant protein contains aa35-428 with GST-tag and His-Tag®. Human CEACAM5, CEACAM6, CEACAM7, CEACAM8 recombinant proteins contain aa35-422, aa35-326, aa35-326 and aa35-335 respectively, and all with a His-Tag®.

All lanes:

Western blot - Anti-CEACAM1 + CEACAM6 antibody [EPR19878] (<a href='/en-us/products/primary-antibodies/ceacam1-ceacam6-antibody-epr19878-ab206431'>ab206431</a>) at 1/1000 dilution

Lane 1:

Human CEACAM1 recombinant protein at 0.01 µg

Lane 2:

Human CEACAM5 recombinant protein at 0.01 µg

Lane 3:

Human CEACAM6 recombinant protein at 0.01 µg

Lane 4:

Human CEACAM7 recombinant protein at 0.01 µg

Lane 5:

Human CEACAM8 recombinant protein at 0.01 µg

Secondary

All lanes:

Western blot - Goat Anti-Rabbit IgG H&L (HRP) (<a href='/en-us/products/secondary-antibodies/goat-rabbit-igg-h-l-hrp-ab97051'>ab97051</a>) at 1/100000 dilution

Predicted band size: 57 kDa

false

Exposure time: 1s

Western blot - Anti-CEACAM1+CEACAM6 antibody [EPR19878] - BSA and Azide free (AB251459)
  • WB

Supplier Data

Western blot - Anti-CEACAM1+CEACAM6 antibody [EPR19878] - BSA and Azide free (AB251459)

This data was developed using ab206431, the same antibody clone in a different buffer formulation.

Blocking and dilution buffer : 5% NFDM/TBST.

Exposure times : Lane 1 : 1 minute; Lane 2 : 3 seconds; Lane 3 : 30 seconds; Lane 4 : 15 seconds.

The molecular weight observed is consistent with what has been described in the literature (PMID : 19244123; 10751340; 17081782).

All lanes:

Western blot - Anti-CEACAM1 + CEACAM6 antibody [EPR19878] (<a href='/en-us/products/primary-antibodies/ceacam1-ceacam6-antibody-epr19878-ab206431'>ab206431</a>) at 1/1000 dilution

Lane 1:

Human fetal liver tissue lysate at 10 µg

Lane 2:

HepG2 (Human liver hepatocellular carcinoma cell line) whole cell lysate at 10 µg

Lane 3:

A549 (Human lung carcinoma cell line) whole cell lysate at 10 µg

Lane 4:

HT-29 (Human colorectal adenocarcinoma cell line) whole cell lysate at 10 µg

Secondary

All lanes:

Western blot - Goat Anti-Rabbit IgG H&L (HRP) (<a href='/en-us/products/secondary-antibodies/goat-rabbit-igg-h-l-hrp-ab97051'>ab97051</a>) at 1/100000 dilution

Predicted band size: 57 kDa

Observed band size: 110-150 kDa

false

Western blot - Anti-CEACAM1+CEACAM6 antibody [EPR19878] - BSA and Azide free (AB251459)
  • WB

Supplier Data

Western blot - Anti-CEACAM1+CEACAM6 antibody [EPR19878] - BSA and Azide free (AB251459)

This data was developed using ab206431, the same antibody clone in a different buffer formulation.

Blocking and dilution buffer : 5% NFDM/TBST.

Exposure times : Lane 1 : 1 second; Lane 2 : 3 minutes.

The molecular weight observed is consistent with what has been described in the literature (PMID : 19244123, 10751340, 17081782).

All lanes:

Western blot - Anti-CEACAM1 + CEACAM6 antibody [EPR19878] (<a href='/en-us/products/primary-antibodies/ceacam1-ceacam6-antibody-epr19878-ab206431'>ab206431</a>) at 1/1000 dilution

Lane 1:

BxPC-3 (Human pancreas adenocarcinoma cell line) whole cell lysate at 10 µg

Lane 2:

Human kidney tissue lysate at 10 µg

Secondary

All lanes:

Western blot - Goat Anti-Rabbit IgG H&L (HRP) (<a href='/en-us/products/secondary-antibodies/goat-rabbit-igg-h-l-hrp-ab97051'>ab97051</a>) at 1/100000 dilution

Predicted band size: 57 kDa

Observed band size: 110-150 kDa,75-90 kDa

false

Western blot - Anti-CEACAM1+CEACAM6 antibody [EPR19878] - BSA and Azide free (AB251459)
  • WB

Supplier Data

Western blot - Anti-CEACAM1+CEACAM6 antibody [EPR19878] - BSA and Azide free (AB251459)

This data was developed using ab206431, the same antibody clone in a different buffer formulation.

Blocking and dilution buffer : 5% NFDM/TBST.

HUVEC does not express CEACAM 6 and PC-3 does not express CEACAM 1 (PMID : 22918079, 10359532).

All lanes:

Western blot - Anti-CEACAM1 + CEACAM6 antibody [EPR19878] (<a href='/en-us/products/primary-antibodies/ceacam1-ceacam6-antibody-epr19878-ab206431'>ab206431</a>) at 1/1000 dilution

Lane 1:

HUVEC (Human umbilical vein endothelial cell line) whole cell lysate at 10 µg

Lane 2:

PC-3 (Human prostate adenocarcinoma cell line) whole cell lysate at 10 µg

Secondary

All lanes:

Western blot - Goat Anti-Rabbit IgG H&L (HRP) (<a href='/en-us/products/secondary-antibodies/goat-rabbit-igg-h-l-hrp-ab97051'>ab97051</a>) at 1/100000 dilution

Predicted band size: 16 kDa,57 kDa

Observed band size: 13 kDa

false

Exposure time: 3min

Key facts

Host species

Rabbit

Clonality

Monoclonal

Clone number

EPR19878

Isotype

IgG

Carrier free

Yes

Reacts with

Human

Applications

IHC-P, WB

applications

Immunogen

The exact immunogen used to generate this antibody is proprietary information.

Reactivity data

{ "title": "Reactivity Data", "filters": { "stats": ["", "Species", "Dilution Info", "Notes"], "tabs": { "all-applications": {"fullname" : "All Applications", "shortname": "All Applications"}, "WB" : {"fullname" : "Western blot", "shortname":"WB"}, "IHCP" : {"fullname" : "Immunohistochemistry (Formalin/PFA-fixed paraffin-embedded sections)", "shortname":"IHC-P"} }, "product-promise": { "all": "all", "testedAndGuaranteed": "tested", "guaranteed": "expected", "predicted": "predicted", "notRecommended": "not-recommended" } }, "values": { "Human": { "WB-species-checked": "testedAndGuaranteed", "WB-species-dilution-info": "", "WB-species-notes": "<p></p>", "IHCP-species-checked": "testedAndGuaranteed", "IHCP-species-dilution-info": "", "IHCP-species-notes": "<p></p>" }, "Recombinant full length protein - Human": { "WB-species-checked": "testedAndGuaranteed", "WB-species-dilution-info": "", "WB-species-notes": "<p></p>", "IHCP-species-checked": "notRecommended", "IHCP-species-dilution-info": "", "IHCP-species-notes": "" } } }

Product details

ab251459 is the carrier-free version of ab206431.

Patented technology
Our RabMAb® technology is a patented hybridoma-based technology for making rabbit monoclonal antibodies. For details on our patents, please refer to RabMAb® patents.

What are the advantages of a recombinant monoclonal antibody?
This product is a recombinant monoclonal antibody, which offers several advantages including:

  • - High batch-to-batch consistency and reproducibility
  • - Improved sensitivity and specificity
  • - Long-term security of supply
  • - Animal-free batch production

For more information, read more on recombinant antibodies.

Conjugation ready
Our carrier-free antibodies are typically supplied in a PBS-only formulation, purified and free of BSA, sodium azide and glycerol. This conjugation-ready format is designed for use with fluorochromes, metal isotopes, oligonucleotides, and enzymes, which makes them ideal for antibody labelling, functional and cell-based assays, flow-based assays (e.g. mass cytometry) and Multiplex Imaging applications.

Use our conjugation kits for antibody conjugates that are ready-to-use in as little as 20 minutes with 1 minute hands-on-time and 100% antibody recovery: available for fluorescent dyes, HRP, biotin and gold.

Compatibility
This product is compatible with the Maxpar® Antibody Labeling Kit from Fluidigm, without the need for antibody preparation. Maxpar® is a trademark of Fluidigm Canada Inc.

Properties and storage information

Form
Liquid
Purification technique
Affinity purification Protein A
Storage buffer
pH: 7.2 - 7.4 Constituents: PBS
Shipped at conditions
Blue Ice
Appropriate short-term storage conditions
+4°C
Appropriate long-term storage conditions
+4°C
Storage information
Do Not Freeze

Supplementary information

This supplementary information is collated from multiple sources and compiled automatically.

CEACAM1 also known as CD66a and CEACAM6 commonly referred to as CD66c are members of the carcinoembryonic antigen-related cell adhesion molecule (CEACAM) family. CEACAM1 is a glycoprotein with a molecular mass of approximately 120 kDa while CEACAM6 has a molecular mass around 90 kDa. Both proteins are expressed on the surface of epithelial cells leukocytes and certain tumor cells. They function as cellular adhesion molecules mediating homophilic and heterophilic interactions which play a role in cellular communication and tissue architecture.
Biological function summary

CEACAM1 and CEACAM6 participate in immune response modulation and tumor progression. CEACAM1 can form a complex through its long cytoplasmic tail interacting with signaling proteins such as SHP-1 and SHP-2 influencing cell proliferation and apoptosis. CEACAM6 lacks a cytoplasmic domain interacting mainly through its extracellular region impacting cell adhesion and migration. Both proteins exhibit inhibitory functions on immune responses affecting the activity of immune cells such as neutrophils and T cells.

Pathways

CEACAM1 and CEACAM6 interact within key signaling cascades such as those involving the Src family kinases and PI3K/Akt signaling. In the context of immune signaling CEACAM1 associates with PD-1 signaling pathways influencing immune checkpoint control and potentially attenuating T cell activation. CEACAM6 interacts with integrins which are essential for cell adhesion and signaling pathways that regulate cell survival and migration.

CEACAM1 and CEACAM6 have associations with cancer and inflammatory bowel disease. Overexpression of CEACAM6 correlates with several types of cancer including colorectal and pancreatic cancer where it influences tumor cell survival and metastatic potential. CEACAM1 plays a role in the immune tolerance breakdown seen in inflammatory bowel diseases affecting mucosal immune responses. Both proteins are linked through their interaction with the immune system's regulatory proteins including PD-L1 in cancer highlighting their potential as therapeutic targets.

Product protocols

For this product, it's our understanding that no specific protocols are required. You can visit:

Target data

Isoform 1. Cell adhesion protein that mediates homophilic cell adhesion in a calcium-independent manner (By similarity). Plays a role as coinhibitory receptor in immune response, insulin action and functions also as an activator during angiogenesis (PubMed : 18424730, PubMed : 23696226, PubMed : 25363763). Its coinhibitory receptor function is phosphorylation- and PTPN6 -dependent, which in turn, suppress signal transduction of associated receptors by dephosphorylation of their downstream effectors. Plays a role in immune response, of T cells, natural killer (NK) and neutrophils (PubMed : 18424730, PubMed : 23696226). Upon TCR/CD3 complex stimulation, inhibits TCR-mediated cytotoxicity by blocking granule exocytosis by mediating homophilic binding to adjacent cells, allowing interaction with and phosphorylation by LCK and interaction with the TCR/CD3 complex which recruits PTPN6 resulting in dephosphorylation of CD247 and ZAP70 (PubMed : 18424730). Also inhibits T cell proliferation and cytokine production through inhibition of JNK cascade and plays a crucial role in regulating autoimmunity and anti-tumor immunity by inhibiting T cell through its interaction with HAVCR2 (PubMed : 25363763). Upon natural killer (NK) cells activation, inhibit KLRK1-mediated cytolysis of CEACAM1-bearing tumor cells by trans-homophilic interactions with CEACAM1 on the target cell and lead to cis-interaction between CEACAM1 and KLRK1, allowing PTPN6 recruitment and then VAV1 dephosphorylation (PubMed : 23696226). Upon neutrophils activation negatively regulates IL1B production by recruiting PTPN6 to a SYK-TLR4-CEACAM1 complex, that dephosphorylates SYK, reducing the production of reactive oxygen species (ROS) and lysosome disruption, which in turn, reduces the activity of the inflammasome. Down-regulates neutrophil production by acting as a coinhibitory receptor for CSF3R by down-regulating the CSF3R-STAT3 pathway through recruitment of PTPN6 that dephosphorylates CSF3R (By similarity). Also regulates insulin action by promoting INS clearance and regulating lipogenesis in liver through regulating insulin signaling (By similarity). Upon INS stimulation, undergoes phosphorylation by INSR leading to INS clearance by increasing receptor-mediated insulin endocytosis. This inernalization promotes interaction with FASN leading to receptor-mediated insulin degradation and to reduction of FASN activity leading to negative regulation of fatty acid synthesis. INSR-mediated phosphorylation also provokes a down-regulation of cell proliferation through SHC1 interaction resulting in decrease coupling of SHC1 to the MAPK3/ERK1-MAPK1/ERK2 and phosphatidylinositol 3-kinase pathways (By similarity). Functions as activator in angiogenesis by promoting blood vessel remodeling through endothelial cell differentiation and migration and in arteriogenesis by increasing the number of collateral arteries and collateral vessel calibers after ischemia. Also regulates vascular permeability through the VEGFR2 signaling pathway resulting in control of nitric oxide production (By similarity). Down-regulates cell growth in response to EGF through its interaction with SHC1 that mediates interaction with EGFR resulting in decrease coupling of SHC1 to the MAPK3/ERK1-MAPK1/ERK2 pathway (By similarity). Negatively regulates platelet aggregation by decreasing platelet adhesion on type I collagen through the GPVI-FcRgamma complex (By similarity). Inhibits cell migration and cell scattering through interaction with FLNA; interferes with the interaction of FLNA with RALA (PubMed : 16291724). Mediates bile acid transport activity in a phosphorylation dependent manner (By similarity). Negatively regulates osteoclastogenesis (By similarity).. Isoform 8. Cell adhesion protein that mediates homophilic cell adhesion in a calcium-independent manner (By similarity). Promotes populations of T cells regulating IgA production and secretion associated with control of the commensal microbiota and resistance to enteropathogens (By similarity).
See full target information CEACAM1

Additional targets

CEACAM6

Publications (1)

Recent publications for all applications. Explore the full list and refine your search

Scientific reports 14:26521 PubMed39489850

2024

GABPA inhibits tumorigenesis in clear cell renal cell carcinoma by regulating ferroptosis through ACSL4.

Applications

Unspecified application

Species

Unspecified reactive species

Yaqian Wu,Zonglong Wu,Mengfei Yao,Li Liu,Yimeng Song,Lulin Ma,Cheng Liu
View all publications

Product promise

We are committed to supporting your work with high-quality reagents, and we're here for you every step of the way. In the unlikely event that one of our products does not perform as expected, you're protected by our Product Promise.
For full details, please see our Terms & Conditions

Please note: All products are 'FOR RESEARCH USE ONLY. NOT FOR USE IN DIAGNOSTIC OR THERAPEUTIC PROCEDURES'.

For licensing inquiries, please contact partnerships@abcam.com