JavaScript is disabled in your browser. Please enable JavaScript to view this website.
AB196606

Anti-CEACAM3 antibody

Be the first to review this product! Submit a review

|

(2 Publications)

Rabbit Polyclonal CEAM3 antibody. Suitable for WB, IHC-P and reacts with Human, Mouse samples. Cited in 2 publications. Immunogen corresponding to Recombinant Fragment Protein within Human CEACAM3.

View Alternative Names

CD66d, CD66D, CGM1, CEACAM3, Cell adhesion molecule CEACAM3, Carcinoembryonic antigen CGM1, Carcinoembryonic antigen-related cell adhesion molecule 3, CEA cell adhesion molecule 3

4 Images
Immunohistochemistry (Formalin/PFA-fixed paraffin-embedded sections) - Anti-CEACAM3 antibody (AB196606)
  • IHC-P

Supplier Data

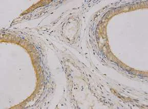
Immunohistochemistry (Formalin/PFA-fixed paraffin-embedded sections) - Anti-CEACAM3 antibody (AB196606)

Immunohistochemical analysis of paraffin-embedded human epididymis labeling CEACAM3 using ab196606 at 1/100 dilution

Immunohistochemistry (Formalin/PFA-fixed paraffin-embedded sections) - Anti-CEACAM3 antibody (AB196606)
  • IHC-P

Supplier Data

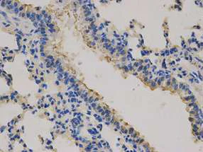
Immunohistochemistry (Formalin/PFA-fixed paraffin-embedded sections) - Anti-CEACAM3 antibody (AB196606)

Immunohistochemical analysis of paraffin-embedded human lung labeling CEACAM3 using ab196606 at 1/100 dilution.

Immunohistochemistry (Formalin/PFA-fixed paraffin-embedded sections) - Anti-CEACAM3 antibody (AB196606)
  • IHC-P

Supplier Data

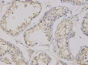
Immunohistochemistry (Formalin/PFA-fixed paraffin-embedded sections) - Anti-CEACAM3 antibody (AB196606)

Immunohistochemical analysis of paraffin-embedded human testis labeling CEACAM3 using ab196606 at 1/100 dilution.

Western blot - Anti-CEACAM3 antibody (AB196606)
  • WB

Supplier Data

Western blot - Anti-CEACAM3 antibody (AB196606)

All lanes:

Western blot - Anti-CEACAM3 antibody (ab196606) at 1/500 dilution

Lane 1:

A549 cell lysate

Lane 2:

HT29 cell lysate

Lane 3:

Mouse liver lysate

Lane 4:

Mouse lung lysate

Lane 5:

Mouse testis lysate

Predicted band size: 27 kDa

false

Key facts

Host species

Rabbit

Clonality

Polyclonal

Isotype

IgG

Carrier free

No

Reacts with

Mouse, Human

Applications

IHC-P, WB

applications

Immunogen

Recombinant Fragment Protein within Human CEACAM3. The exact immunogen used to generate this antibody is proprietary information.

P40198

Reactivity data

{ "title": "Reactivity Data", "filters": { "stats": ["", "Species", "Dilution Info", "Notes"], "tabs": { "all-applications": {"fullname" : "All Applications", "shortname": "All Applications"}, "WB" : {"fullname" : "Western blot", "shortname":"WB"}, "IHCP" : {"fullname" : "Immunohistochemistry (Formalin/PFA-fixed paraffin-embedded sections)", "shortname":"IHC-P"} }, "product-promise": { "all": "all", "testedAndGuaranteed": "tested", "guaranteed": "expected", "predicted": "predicted", "notRecommended": "not-recommended" } }, "values": { "Human": { "WB-species-checked": "testedAndGuaranteed", "WB-species-dilution-info": "1/500 - 1/2000", "WB-species-notes": "<p></p>", "IHCP-species-checked": "testedAndGuaranteed", "IHCP-species-dilution-info": "1/50 - 1/200", "IHCP-species-notes": "<p></p>" }, "Mouse": { "WB-species-checked": "testedAndGuaranteed", "WB-species-dilution-info": "1/500 - 1/2000", "WB-species-notes": "<p></p>", "IHCP-species-checked": "guaranteed", "IHCP-species-dilution-info": "", "IHCP-species-notes": "" } } }

Properties and storage information

Form
Liquid
Purification technique
Affinity purification Immunogen
Storage buffer
pH: 7.4 Preservative: 0.02% Sodium azide Constituents: PBS, 50% Glycerol (glycerin, glycerine), 0.87% Sodium chloride
Shipped at conditions
Blue Ice
Appropriate short-term storage duration
1-2 weeks
Appropriate short-term storage conditions
+4°C
Appropriate long-term storage conditions
-20°C
Aliquoting information
Upon delivery aliquot
Storage information
Avoid freeze / thaw cycle

Supplementary information

This supplementary information is collated from multiple sources and compiled automatically.

CEACAM3 also known as CD66d is a membrane protein involved in cell adhesion and immune response. It weighs approximately 29 kDa and belongs to the carcinoembryonic antigen (CEA) family. CEACAM3 primarily expresses on granulocytes especially neutrophils. It plays a role in cellular interactions contributing to the body's defense against certain pathogens.
Biological function summary

CEACAM3 facilitates immune surveillance by enabling neutrophils to recognize and engulf bacteria through opsonin-independent phagocytosis. It interacts with the actin cytoskeleton dynamics although it does not form a larger protein complex. CEACAM3 binds to specific bacterial adhesins helping initiate a rapid immune response which is essential in eliminating pathogens at sites of infection.

Pathways

CEACAM3 is involved in the regulation of phagocytosis and inflammation. It activates a signaling cascade that includes proteins such as Src-family kinases and small GTPases like Rac and Cdc42 which are important for actin reorganization and engulfment of bacteria. These pathways support cellular processes essential for neutrophil-mediated clearance of infectious agents enhancing the body's ability to control bacterial infections.

Research implicates CEACAM3 in certain bacterial infections and inflammatory conditions. Dysregulation or functional impairment can lead to chronic inflammation or excessive tissue damage. CEACAM1 a related protein can modulate immune responses alongside CEACAM3 suggesting potential overlaps in their functions and impacts in these disease contexts. Understanding CEACAM3's role can help in developing therapies that target these pathways to treat bacterial infections and manage inflammation.

Product protocols

For this product, it's our understanding that no specific protocols are required. You can visit:

Target data

Major granulocyte receptor mediating recognition and efficient opsonin-independent phagocytosis of CEACAM-binding microorganisms, including Neissiria, Moxarella and Haemophilus species, thus playing an important role in the clearance of pathogens by the innate immune system. Responsible for RAC1 stimulation in the course of pathogen phagocytosis.
See full target information CEACAM3

Publications (2)

Recent publications for all applications. Explore the full list and refine your search

Nature communications 15:3813 PubMed38714682

2024

Replication competent HIV-guided CRISPR screen identifies antiviral factors including targets of the accessory protein Nef.

Applications

Unspecified application

Species

Unspecified reactive species

Caterina Prelli Bozzo,Alexandre Laliberté,Aurora De Luna,Chiara Pastorio,Kerstin Regensburger,Stefan Krebs,Alexander Graf,Helmut Blum,Meta Volcic,Konstantin M J Sparrer,Frank Kirchhoff

Cancer genomics & proteomics 20:30-39 PubMed36581340

2022

Rab27b, a Regulator of Exosome Secretion, Is Associated With Peritoneal Metastases in Gastric Cancer.

Applications

Unspecified application

Species

Unspecified reactive species

Sho Nambara,Takaaki Masuda,Kosuke Hirose,Qingjiang Hu,Taro Tobo,Yuki Ozato,Junji Kurashige,Yoshiki Hiraki,Yuichi Hisamatsu,Tomohiro Iguchi,Keishi Sugimachi,Eiji Oki,Tomoharu Yoshizumi,Koshi Mimori
View all publications

Product promise

We are committed to supporting your work with high-quality reagents, and we're here for you every step of the way. In the unlikely event that one of our products does not perform as expected, you're protected by our Product Promise.
For full details, please see our Terms & Conditions

Please note: All products are 'FOR RESEARCH USE ONLY. NOT FOR USE IN DIAGNOSTIC OR THERAPEUTIC PROCEDURES'.

For licensing inquiries, please contact partnerships@abcam.com