JavaScript is disabled in your browser. Please enable JavaScript to view this website.
AB255910

Anti-CEACAM6 antibody [1H7-4B] - BSA and Azide free

Be the first to review this product! Submit a review

|

(0 Publication)

Mouse Recombinant Monoclonal CEAM6 antibody. Carrier free. Suitable for WB, IHC-P and reacts with Human samples.

View Alternative Names

CD66c, NCA, CEACAM6, Cell adhesion molecule CEACAM6, Carcinoembryonic antigen-related cell adhesion molecule 6, Non-specific crossreacting antigen, Normal cross-reacting antigen, CEA cell adhesion molecule 6

3 Images
Immunohistochemistry (Formalin/PFA-fixed paraffin-embedded sections) - Anti-CEACAM6 antibody [1H7-4B] - BSA and Azide free (AB255910)
  • IHC-P

Supplier Data

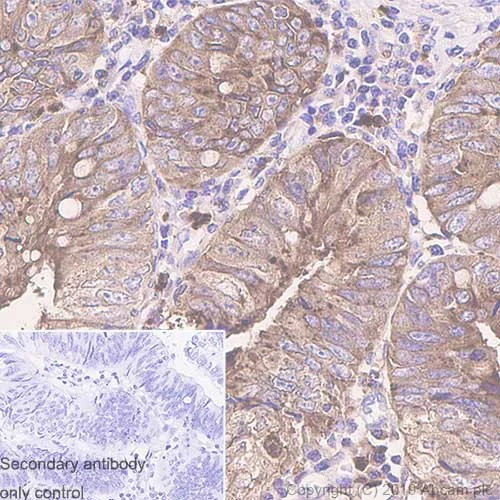
Immunohistochemistry (Formalin/PFA-fixed paraffin-embedded sections) - Anti-CEACAM6 antibody [1H7-4B] - BSA and Azide free (AB255910)

Immunohistochemical analysis of paraffin-embedded human colon tissue labeling CEACAM6 with ab254157 at 0.207μg/ml, followed by Goat Anti-Mouse IgG H&L (HRP polymer) (ab214879) ready to use. Positive staining on the human colon is observed. Counter stained with hematoxylin.
Secondary antibody only control : Used PBS instead of primary antibody, secondary antibody is Goat Anti-Mouse IgG H&L (HRP polymer) (ab214879) ready to use.

Heat mediated antigen retrieval using ab93684 (Tris/EDTA buffer, pH 9.0).

This data was developed using the same antibody clone in a different buffer formulation containing PBS, BSA, glycerol, and sodium azide (ab254157).

Immunohistochemistry (Formalin/PFA-fixed paraffin-embedded sections) - Anti-CEACAM6 antibody [1H7-4B] - BSA and Azide free (AB255910)
  • IHC-P

Supplier Data

Immunohistochemistry (Formalin/PFA-fixed paraffin-embedded sections) - Anti-CEACAM6 antibody [1H7-4B] - BSA and Azide free (AB255910)

Immunohistochemical analysis of paraffin-embedded human colon carcinoma tissue labeling CEACAM6 with ab254157 at 0.207μg/ml, followed by a Goat Anti-Mouse IgG H&L (HRP polymer) (ab214879) ready to use. Positive staining on the human colon carcinoma is observed. Counter stained with hematoxylin.
Secondary antibody only control : Used PBS instead of primary antibody, secondary antibody is Goat Anti-Mouse IgG H&L (HRP polymer) (ab214879) ready to use.

Heat mediated antigen retrieval using ab93684 (Tris/EDTA buffer, pH 9.0).

This data was developed using the same antibody clone in a different buffer formulation containing PBS, BSA, glycerol, and sodium azide (ab254157).

Western blot - Anti-CEACAM6 antibody [1H7-4B] - BSA and Azide free (AB255910)
  • WB

Supplier Data

Western blot - Anti-CEACAM6 antibody [1H7-4B] - BSA and Azide free (AB255910)

Blocking and dilution buffer : 5% NFDM/TBST.

Exposure times.

Lane1 : 15 seconds; Lane2 : 5.5 seconds.

CEACAM6 protein (95 kd) was observed. The molecular weight is consistent with that has been described in the literature (PMID : 24040308).

All lanes:

Western blot - Anti-CEACAM6 antibody [1H7-4B] (<a href='/en-us/products/primary-antibodies/ceacam6-antibody-1h7-4b-ab254157'>ab254157</a>) at 0.413 µg/mL

Lane 1:

HT-29 (human colorectal adenocarcinoma epithelial cell), whole cell lysate at 20 µg

Lane 2:

A549 (human lung carcinoma epithelial cell), whole cell lysate at 20 µg

Secondary

All lanes:

Peroxidase-Conjugated Goat anti-Mouse IgG (H+L) at 1/10000 dilution

Predicted band size: 37 kDa

Observed band size: 95 kDa

false

Key facts

Host species

Mouse

Clonality

Monoclonal

Clone number

1H7-4B

Isotype

IgG1

Carrier free

Yes

Reacts with

Human

Applications

WB, IHC-P

applications

Immunogen

The exact immunogen used to generate this antibody is proprietary information.

Reactivity data

{ "title": "Reactivity Data", "filters": { "stats": ["", "Species", "Dilution Info", "Notes"], "tabs": { "all-applications": {"fullname" : "All Applications", "shortname": "All Applications"}, "FlowCyt" : {"fullname" : "Flow Cytometry", "shortname":"Flow Cyt"}, "WB" : {"fullname" : "Western blot", "shortname":"WB"}, "ICCIF" : {"fullname" : "Immunocytochemistry/ Immunofluorescence", "shortname":"ICC/IF"}, "IHCP" : {"fullname" : "Immunohistochemistry (Formalin/PFA-fixed paraffin-embedded sections)", "shortname":"IHC-P"} }, "product-promise": { "all": "all", "testedAndGuaranteed": "tested", "guaranteed": "expected", "predicted": "predicted", "notRecommended": "not-recommended" } }, "values": { "Human": { "FlowCyt-species-checked": "notRecommended", "FlowCyt-species-dilution-info": "", "FlowCyt-species-notes": "<p></p>", "WB-species-checked": "testedAndGuaranteed", "WB-species-dilution-info": "0.413 µg/mL", "WB-species-notes": "<p></p>", "ICCIF-species-checked": "notRecommended", "ICCIF-species-dilution-info": "", "ICCIF-species-notes": "<p></p>", "IHCP-species-checked": "testedAndGuaranteed", "IHCP-species-dilution-info": "0.207 µg/mL", "IHCP-species-notes": "<p></p>" } } }

Product details

ab255910 is the carrier-free version of ab254157.

What are the advantages of a recombinant monoclonal antibody?
This product is a recombinant monoclonal antibody, which offers several advantages including:

  • - High batch-to-batch consistency and reproducibility
  • - Improved sensitivity and specificity
  • - Long-term security of supply
  • - Animal-free batch production

For more information, read more on recombinant antibodies.

Want a custom formulation?
This antibody clone is manufactured by Abcam. If you require a custom buffer formulation or conjugation for your experiments, please contact orders@abcam.com

Conjugation ready
Our carrier-free antibodies are typically supplied in a PBS-only formulation, purified and free of BSA, sodium azide and glycerol. This conjugation-ready format is designed for use with fluorochromes, metal isotopes, oligonucleotides, and enzymes, which makes them ideal for antibody labelling, functional and cell-based assays, flow-based assays (e.g. mass cytometry) and Multiplex Imaging applications.

Use our conjugation kits for antibody conjugates that are ready-to-use in as little as 20 minutes with 1 minute hands-on-time and 100% antibody recovery: available for fluorescent dyes, HRP, biotin and gold.

Compatibility
This product is compatible with the Maxpar® Antibody Labeling Kit from Fluidigm, without the need for antibody preparation. Maxpar® is a trademark of Fluidigm Canada Inc.

Properties and storage information

Form
Liquid
Purification technique
Affinity purification Protein A
Storage buffer
pH: 7.2 - 7.4 Constituents: PBS
Shipped at conditions
Blue Ice
Appropriate short-term storage conditions
+4°C
Appropriate long-term storage conditions
+4°C
Storage information
Do Not Freeze

Supplementary information

This supplementary information is collated from multiple sources and compiled automatically.

CEACAM6 also known as 9a6 CEACAM-6 and 1h7 is a cell surface glycoprotein weighing approximately 35-40 kDa. The protein plays a mechanical role as an intercellular adhesion molecule. It displays broad expression across multiple tissues with high levels found in epithelial cells of the gastrointestinal tract respiratory tract and in leukocytes.
Biological function summary

CEACAM6 acts in cell signaling and adhesion processes. It often forms complexes with other members of the CEACAM family such as CEACAM5. This protein is involved in the regulation of cell-cell adhesion which impacts cell migration and organization. It also influences immune reactions by modulating the interactions between pathogens and host cells.

Pathways

CEACAM6 integrates into pathways associated with cell adhesion and immune regulation. It engages in the PI3K-Akt signaling pathway tightly interacting with proteins such as CEACAM1 and CEACAM5. Through these interactions CEACAM6 plays an essential role in cell survival proliferation and immune responses.

CEACAM6 shows significant links with cancer especially colorectal and pancreatic cancers. Overexpression of this protein correlates with tumor progression and metastasis. Additionally in inflammatory bowel disease CEACAM6 association with CEACAM7 often results in altered epithelial barrier function contributing to disease pathogenesis.

Product protocols

For this product, it's our understanding that no specific protocols are required. You can visit:

Target data

Cell surface glycoprotein that plays a role in cell adhesion and tumor progression (PubMed : 10910050, PubMed : 11590190, PubMed : 1378450, PubMed : 16204051, PubMed : 2022629, PubMed : 2803308, PubMed : 8776764). Intercellular adhesion occurs in a calcium- and fibronectin-independent manner (PubMed : 16204051, PubMed : 2022629). Mediates homophilic and heterophilic cell adhesion with other carcinoembryonic antigen-related cell adhesion molecules, such as CEACAM5 and CEACAM8 (PubMed : 11590190, PubMed : 16204051, PubMed : 2022629, PubMed : 2803308, PubMed : 8776764). Heterophilic interaction with CEACAM8 occurs in activated neutrophils (PubMed : 8776764). Plays a role in neutrophil adhesion to cytokine-activated endothelial cells (PubMed : 1378450). Plays a role in cell migration and cell adhesion to endothelial cells (PubMed : 16204051).
See full target information CEACAM6

Product promise

We are committed to supporting your work with high-quality reagents, and we're here for you every step of the way. In the unlikely event that one of our products does not perform as expected, you're protected by our Product Promise.
For full details, please see our Terms & Conditions

Please note: All products are 'FOR RESEARCH USE ONLY. NOT FOR USE IN DIAGNOSTIC OR THERAPEUTIC PROCEDURES'.

For licensing inquiries, please contact partnerships@abcam.com