JavaScript is disabled in your browser. Please enable JavaScript to view this website.
AB275033

Anti-CEACAM6 antibody [EPR23956-80] - BSA and Azide free

Be the first to review this product! Submit a review

|

(0 Publication)

Rabbit Recombinant Monoclonal CEAM6 antibody. Carrier free. Suitable for ICC/IF, IP, Flow Cyt, WB, IHC-P and reacts with Human samples.

View Alternative Names

CD66c, NCA, CEACAM6, Cell adhesion molecule CEACAM6, Carcinoembryonic antigen-related cell adhesion molecule 6, Non-specific crossreacting antigen, Normal cross-reacting antigen, CEA cell adhesion molecule 6

9 Images
Immunocytochemistry/ Immunofluorescence - Anti-CEACAM6 antibody [EPR23956-80] - BSA and Azide free (AB275033)
  • ICC/IF

Unknown

Immunocytochemistry/ Immunofluorescence - Anti-CEACAM6 antibody [EPR23956-80] - BSA and Azide free (AB275033)

This data was developed using ab275022, the same antibody clone in a different buffer formulation.

Immunofluorescent analysis of 4% paraformaldehyde-fixed, 0.1% Triton X-100 permeabilized BxPC-3 (human pancreas adenocarcinoma cell) cells labelling CEACAM6 with ab275022 at 1/500 (1.048 ug/ml) dilution, followed by ab150077 Goat Anti-Rabbit IgG H&L (Alexa Fluor® 488) antibody at 1/1000 dilution (Green). Confocal image showing membranous and cytoplamic staining in BxPC-3 cell line. Low expression control : LNCaP : PMID : 16204051. ab195889 Anti-alpha Tubulin mouse monoclonal antibody - Microtubule Marker (Alexa Fluor® 594) was used to counterstain tubulin at 1/200 dilution (Red). The counterstain was DAPI (Blue).

Secondary antibody only control : Secondary antibody is ab150077 Goat Anti-Rabbit IgG H&L (Alexa Fluor® 488) at 1/1000 dilution.

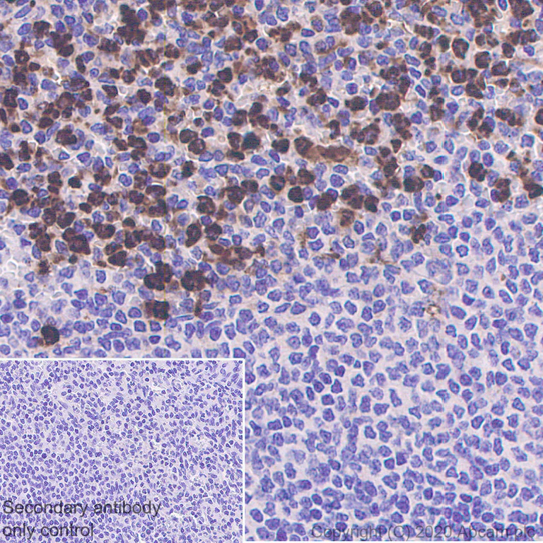
Immunohistochemistry (Formalin/PFA-fixed paraffin-embedded sections) - Anti-CEACAM6 antibody [EPR23956-80] - BSA and Azide free (AB275033)
  • IHC-P

Supplier Data

Immunohistochemistry (Formalin/PFA-fixed paraffin-embedded sections) - Anti-CEACAM6 antibody [EPR23956-80] - BSA and Azide free (AB275033)

This data was developed using ab275022, the same antibody clone in a different buffer formulation.

Immunohistochemical analysis of paraffin-embedded human spleen tissue labeling CEACAM6 with ab275022 at 1/2000 dilution followed by a ready to use Rabbit specific IHC polymer detection kit HRP/DAB (ab209101). Positive staining on human spleen. The section was incubated with ab275022 for 30 mins at room temperature. The immunostaining was performed on a Leica Biosystems BOND® RX instrument. Counterstained with Hematoxylin.

Secondary antibody only control : Secondary antibody is ready to use Rabbit specific IHC polymer detection kit HRP/DAB (ab209101).

Heat mediated antigen retrieval with Tris-EDTA buffer (pH 9.0, epitope retrieval solution2) for 20 mins.

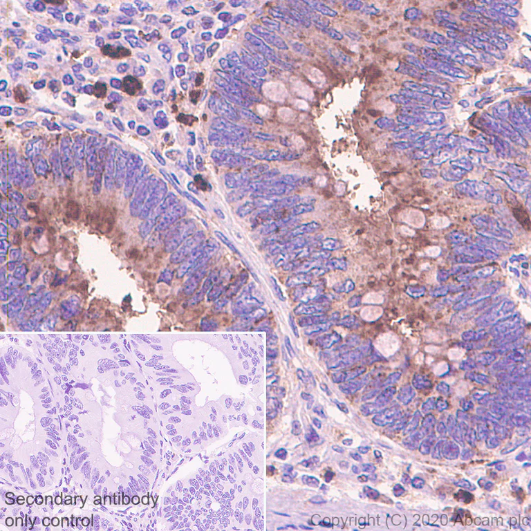
Immunohistochemistry (Formalin/PFA-fixed paraffin-embedded sections) - Anti-CEACAM6 antibody [EPR23956-80] - BSA and Azide free (AB275033)
  • IHC-P

Unknown

Immunohistochemistry (Formalin/PFA-fixed paraffin-embedded sections) - Anti-CEACAM6 antibody [EPR23956-80] - BSA and Azide free (AB275033)

This data was developed using ab275022, the same antibody clone in a different buffer formulation.

Immunohistochemical analysis of paraffin-embedded human colon cancer tissue labeling CEACAM6 with ab275022 at 1/2000 (0.262 ug/ml) followed by a ready to use Rabbit specific IHC polymer detection kit HRP/DAB (ab209101). Positive staining on human colon cancer (PMID : 27284373). The section was incubated with ab275022 for 30 mins at room temperature.The immunostaining was performed on a Leica Biosystems BOND® RX instrument Counterstained with Hematoxylin.

Secondary antibody only control : Secondary antibody is ready to use Rabbit specific IHC polymer detection kit HRP/DAB (ab209101).

Heat mediated antigen retrieval with Tris-EDTA buffer (pH 9.0, epitope retrieval solution2) for 20 mins

Flow Cytometry - Anti-CEACAM6 antibody [EPR23956-80] - BSA and Azide free (AB275033)
  • Flow Cyt

Unknown

Flow Cytometry - Anti-CEACAM6 antibody [EPR23956-80] - BSA and Azide free (AB275033)

This data was developed using ab275022, the same antibody clone in a different buffer formulation.

Flow cytometric analysis of LNCaP (human prostate carcinoma epithelial cell, Left) / BxPC-3 (human pancreas adenocarcinoma epithelial cell, Right) cells labelling CEACAM6 with ab275022 at 1/500 dilution (0.1ug) (Red) compared with a Rabbit monoclonal IgG (ab172730) isotype control (Black) and an unlabelled control (cells without incubation with primary antibody and secondary antibody) (Blue).

Goat anti rabbit IgG (Alexa Fluor® 488, ab150077) at 1/2000 dilution was used as the secondary antibody.

Negative control : LNCaP.

Gated on viable cells.

Immunoprecipitation - Anti-CEACAM6 antibody [EPR23956-80] - BSA and Azide free (AB275033)
  • IP

Unknown

Immunoprecipitation - Anti-CEACAM6 antibody [EPR23956-80] - BSA and Azide free (AB275033)

This data was developed using ab275022, the same antibody clone in a different buffer formulation.

CEACAM6 was immunoprecipitated from 0.35 mg BxPC-3 (human pancreas adenocarcinoma epithelial cell) whole cell lysate with ab275022 at 1/30 dilution (2ug in 0.35mg lysates). Western blot was performed on the immunoprecipitate using ab275022 at 1/2000 dilution. VeriBlot for IP Detection Reagent (HRP)(ab131366) was used at 1/5000 dilution.

Lane 1 : BxPC-3 (human pancreas adenocarcinoma epithelial cell) whole cell lysate 10 ug

Lane 2 : ab275022 IP in BxPC-3 whole cell lysate

Lane 3 : Rabbit monoclonal IgG (ab172730) instead of ab275022 in BxPC-3 whole cell lysate

Blocking and dilution buffer and concentration : 5% NFDM/TBST.

Exposure time : 3 seconds.

All lanes:

Immunoprecipitation - Anti-CEACAM6 antibody [EPR23956-80] (<a href='/en-us/products/primary-antibodies/ceacam6-antibody-epr23956-80-ab275022'>ab275022</a>)

Predicted band size: 37 kDa

Observed band size: 40-100 kDa

false

Immunoprecipitation - Anti-CEACAM6 antibody [EPR23956-80] - BSA and Azide free (AB275033)
  • IP

Unknown

Immunoprecipitation - Anti-CEACAM6 antibody [EPR23956-80] - BSA and Azide free (AB275033)

This data was developed using ab275022, the same antibody clone in a different buffer formulation.

CEACAM6 was immunoprecipitated from 0.35 mg A549 (human lung carcinoma epithelial cell) whole cell lysate with ab275022 at 1/30 dilution (2ug in 0.35mg lysates). Western blot was performed on the immunoprecipitate using ab275022 at 1/2000 dilution. VeriBlot for IP Detection Reagent (HRP)(ab131366) was used at 1/5000 dilution.

Lane 1 : A549 (human lung carcinoma epithelial cell) whole cell lysate 10 ug

Lane 2 : ab275022 IP in A549 whole cell lysate

Lane 3 : Rabbit monoclonal IgG (ab172730) instead of ab275022 in A549 whole cell lysate

Blocking and dilution buffer and concentration : 5% NFDM/TBST.

Exposure time : 3 seconds.

All lanes:

Immunoprecipitation - Anti-CEACAM6 antibody [EPR23956-80] (<a href='/en-us/products/primary-antibodies/ceacam6-antibody-epr23956-80-ab275022'>ab275022</a>)

Predicted band size: 37 kDa

Observed band size: 40-100 kDa

false

Western blot - Anti-CEACAM6 antibody [EPR23956-80] - BSA and Azide free (AB275033)
  • WB

Unknown

Western blot - Anti-CEACAM6 antibody [EPR23956-80] - BSA and Azide free (AB275033)

This data was developed using ab275022, the same antibody clone in a different buffer formulation.

Blocking and dilution buffer : 5% NFDM/TBST.

Exposure times : Lanes 1-2 : 15 seconds; Lane3 : 3 seconds; Lane 4 : 26 seconds.

The molecular weight observed is consistent with what has been described in the literature (PMID : 19244123, 28892050, 16204051).

Low expression control : LNCaP (PMID : 16204051).

All lanes:

Western blot - Anti-CEACAM6 antibody [EPR23956-80] (<a href='/en-us/products/primary-antibodies/ceacam6-antibody-epr23956-80-ab275022'>ab275022</a>) at 1/1000 dilution

Lane 1:

A549 (human lung carcinoma epithelial cell) whole cell lysate at 20 µg

Lane 2:

LNCaP (human prostate carcinoma epithelial cell) whole cell lysate at 20 µg

Lane 3:

BxPC-3 (human pancreas adenocarcinoma epithelial cell) whole cell lysate at 20 µg

Lane 4:

LoVo (human colorectal adenocarcinoma epithelial cell) whole cell lysate at 20 µg

Secondary

All lanes:

Western blot - Goat Anti-Rabbit IgG H&L (HRP) (<a href='/en-us/products/secondary-antibodies/goat-rabbit-igg-h-l-hrp-ab97051'>ab97051</a>) at 1/100000 dilution

Predicted band size: 37 kDa

Observed band size: 40-100 kDa

false

Western blot - Anti-CEACAM6 antibody [EPR23956-80] - BSA and Azide free (AB275033)
  • WB

Unknown

Western blot - Anti-CEACAM6 antibody [EPR23956-80] - BSA and Azide free (AB275033)

This data was developed using ab275022, the same antibody clone in a different buffer formulation.

Blocking and dilution buffer : 5% NFDM/TBST.

Exposure time : 26 seconds.

The molecular weight observed is consistent with what has been described in the literature (PMID : 19244123, 28892050, 16204051).

All lanes:

Western blot - Anti-CEACAM6 antibody [EPR23956-80] (<a href='/en-us/products/primary-antibodies/ceacam6-antibody-epr23956-80-ab275022'>ab275022</a>) at 1/1000 dilution

All lanes:

Human lung tissue lysate at 20 µg

Secondary

All lanes:

VeriBlot for IP secondary antibody(HRP)(<a href='/en-us/products/reagents/veriblot-for-ip-detection-reagent-hrp-ab131366'>ab131366</a>) at 1/1000 dilution

Predicted band size: 37 kDa

Observed band size: 40-100 kDa

false

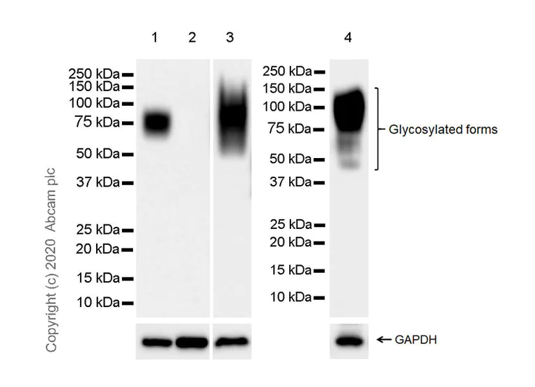
Western blot - Anti-CEACAM6 antibody [EPR23956-80] - BSA and Azide free (AB275033)
  • WB

Unknown

Western blot - Anti-CEACAM6 antibody [EPR23956-80] - BSA and Azide free (AB275033)

This data was developed using ab275022, the same antibody clone in a different buffer formulation.

Blocking and dilution buffer : 5% NFDM/TBST.

Exposure time : 15 seconds.

The other family members have lower homology than the tested proteins.

All lanes:

Western blot - Anti-CEACAM6 antibody [EPR23956-80] (<a href='/en-us/products/primary-antibodies/ceacam6-antibody-epr23956-80-ab275022'>ab275022</a>) at 1/1000 dilution

Lane 1:

His-tagged human CEACAM6 recombinant protein, 20ng

Lane 2:

His-tagged human CEACAM1 recombinant protein (aa35-428), 20ng

Lane 3:

His-tagged human CEACAM5 recombinant protein (aa35-685), 20ng

Secondary

All lanes:

Goat Anti-Rabbit IgG, (H+L), Peroxidase conjugated (<a href='/en-us/products/secondary-antibodies/goat-rabbit-igg-h-l-hrp-ab97051'>ab97051</a>) at 1/100000 dilution

Predicted band size: 37 kDa

false

  • 519 Alexa Fluor® 488

    Alexa Fluor® 488 Anti-CEACAM6 antibody [EPR23956-80]

  • Unconjugated

    Anti-CEACAM6 antibody [EPR23956-80]

  • 665 Alexa Fluor® 647

    Alexa Fluor® 647 Anti-CEACAM6 antibody [EPR23956-80]

  • 578 PE

    PE Anti-CEACAM6 antibody [EPR23956-80]

Key facts

Host species

Rabbit

Clonality

Monoclonal

Clone number

EPR23956-80

Isotype

IgG

Carrier free

Yes

Reacts with

Human

Applications

IHC-P, IP, Flow Cyt, WB, ICC/IF

applications

Immunogen

The exact immunogen used to generate this antibody is proprietary information.

Reactivity data

{ "title": "Reactivity Data", "filters": { "stats": ["", "Species", "Dilution Info", "Notes"], "tabs": { "all-applications": {"fullname" : "All Applications", "shortname": "All Applications"}, "ICCIF" : {"fullname" : "Immunocytochemistry/ Immunofluorescence", "shortname":"ICC/IF"}, "IP" : {"fullname" : "Immunoprecipitation", "shortname":"IP"}, "FlowCyt" : {"fullname" : "Flow Cytometry", "shortname":"Flow Cyt"}, "WB" : {"fullname" : "Western blot", "shortname":"WB"}, "IHCP" : {"fullname" : "Immunohistochemistry (Formalin/PFA-fixed paraffin-embedded sections)", "shortname":"IHC-P"} }, "product-promise": { "all": "all", "testedAndGuaranteed": "tested", "guaranteed": "expected", "predicted": "predicted", "notRecommended": "not-recommended" } }, "values": { "Human": { "ICCIF-species-checked": "testedAndGuaranteed", "ICCIF-species-dilution-info": "", "ICCIF-species-notes": "<p></p>", "IP-species-checked": "testedAndGuaranteed", "IP-species-dilution-info": "", "IP-species-notes": "<p></p>", "FlowCyt-species-checked": "testedAndGuaranteed", "FlowCyt-species-dilution-info": "", "FlowCyt-species-notes": "<p></p>", "WB-species-checked": "testedAndGuaranteed", "WB-species-dilution-info": "", "WB-species-notes": "<p></p>", "IHCP-species-checked": "testedAndGuaranteed", "IHCP-species-dilution-info": "", "IHCP-species-notes": "<p></p>" }, "Mouse": { "ICCIF-species-checked": "notRecommended", "ICCIF-species-dilution-info": "", "ICCIF-species-notes": "", "IP-species-checked": "notRecommended", "IP-species-dilution-info": "", "IP-species-notes": "", "FlowCyt-species-checked": "notRecommended", "FlowCyt-species-dilution-info": "", "FlowCyt-species-notes": "", "WB-species-checked": "notRecommended", "WB-species-dilution-info": "", "WB-species-notes": "<p></p>", "IHCP-species-checked": "notRecommended", "IHCP-species-dilution-info": "", "IHCP-species-notes": "<p></p>" }, "Rat": { "ICCIF-species-checked": "notRecommended", "ICCIF-species-dilution-info": "", "ICCIF-species-notes": "", "IP-species-checked": "notRecommended", "IP-species-dilution-info": "", "IP-species-notes": "", "FlowCyt-species-checked": "notRecommended", "FlowCyt-species-dilution-info": "", "FlowCyt-species-notes": "", "WB-species-checked": "notRecommended", "WB-species-dilution-info": "", "WB-species-notes": "<p></p>", "IHCP-species-checked": "notRecommended", "IHCP-species-dilution-info": "", "IHCP-species-notes": "<p></p>" } } }

Product details

ab275033 is the carrier-free version of ab275022.

Patented technology
Our RabMAb® technology is a patented hybridoma-based technology for making rabbit monoclonal antibodies. For details on our patents, please refer to RabMAb® patents.

What are the advantages of a recombinant monoclonal antibody?
This product is a recombinant monoclonal antibody, which offers several advantages including:

  • - High batch-to-batch consistency and reproducibility
  • - Improved sensitivity and specificity
  • - Long-term security of supply
  • - Animal-free batch production

For more information, read more on recombinant antibodies.

Conjugation ready
Our carrier-free antibodies are typically supplied in a PBS-only formulation, purified and free of BSA, sodium azide and glycerol. This conjugation-ready format is designed for use with fluorochromes, metal isotopes, oligonucleotides, and enzymes, which makes them ideal for antibody labelling, functional and cell-based assays, flow-based assays (e.g. mass cytometry) and Multiplex Imaging applications.

Use our conjugation kits for antibody conjugates that are ready-to-use in as little as 20 minutes with 1 minute hands-on-time and 100% antibody recovery: available for fluorescent dyes, HRP, biotin and gold.

Compatibility
This product is compatible with the Maxpar® Antibody Labeling Kit from Fluidigm, without the need for antibody preparation. Maxpar® is a trademark of Fluidigm Canada Inc.

Properties and storage information

Form
Liquid
Purification technique
Affinity purification Protein A
Storage buffer
Constituents: PBS
Shipped at conditions
Blue Ice
Appropriate short-term storage conditions
+4°C
Appropriate long-term storage conditions
+4°C
Storage information
Do Not Freeze

Supplementary information

This supplementary information is collated from multiple sources and compiled automatically.

CEACAM6 also known as 9a6 CEACAM-6 and 1h7 is a cell surface glycoprotein weighing approximately 35-40 kDa. The protein plays a mechanical role as an intercellular adhesion molecule. It displays broad expression across multiple tissues with high levels found in epithelial cells of the gastrointestinal tract respiratory tract and in leukocytes.
Biological function summary

CEACAM6 acts in cell signaling and adhesion processes. It often forms complexes with other members of the CEACAM family such as CEACAM5. This protein is involved in the regulation of cell-cell adhesion which impacts cell migration and organization. It also influences immune reactions by modulating the interactions between pathogens and host cells.

Pathways

CEACAM6 integrates into pathways associated with cell adhesion and immune regulation. It engages in the PI3K-Akt signaling pathway tightly interacting with proteins such as CEACAM1 and CEACAM5. Through these interactions CEACAM6 plays an essential role in cell survival proliferation and immune responses.

CEACAM6 shows significant links with cancer especially colorectal and pancreatic cancers. Overexpression of this protein correlates with tumor progression and metastasis. Additionally in inflammatory bowel disease CEACAM6 association with CEACAM7 often results in altered epithelial barrier function contributing to disease pathogenesis.

Product protocols

For this product, it's our understanding that no specific protocols are required. You can visit:

Target data

Cell surface glycoprotein that plays a role in cell adhesion and tumor progression (PubMed : 10910050, PubMed : 11590190, PubMed : 1378450, PubMed : 16204051, PubMed : 2022629, PubMed : 2803308, PubMed : 8776764). Intercellular adhesion occurs in a calcium- and fibronectin-independent manner (PubMed : 16204051, PubMed : 2022629). Mediates homophilic and heterophilic cell adhesion with other carcinoembryonic antigen-related cell adhesion molecules, such as CEACAM5 and CEACAM8 (PubMed : 11590190, PubMed : 16204051, PubMed : 2022629, PubMed : 2803308, PubMed : 8776764). Heterophilic interaction with CEACAM8 occurs in activated neutrophils (PubMed : 8776764). Plays a role in neutrophil adhesion to cytokine-activated endothelial cells (PubMed : 1378450). Plays a role in cell migration and cell adhesion to endothelial cells (PubMed : 16204051).
See full target information CEACAM6

Product promise

We are committed to supporting your work with high-quality reagents, and we're here for you every step of the way. In the unlikely event that one of our products does not perform as expected, you're protected by our Product Promise.
For full details, please see our Terms & Conditions

Please note: All products are 'FOR RESEARCH USE ONLY. NOT FOR USE IN DIAGNOSTIC OR THERAPEUTIC PROCEDURES'.

For licensing inquiries, please contact partnerships@abcam.com