JavaScript is disabled in your browser. Please enable JavaScript to view this website.
AB134058

Anti-CEACAM6 antibody [EPR4404(2)]

Be the first to review this product! Submit a review

|

(0 Publication)

Rabbit Recombinant Monoclonal CEAM6 antibody. Suitable for WB and reacts with Recombinant full length protein - Human, Human samples.

View Alternative Names

CD66c, NCA, CEACAM6, Cell adhesion molecule CEACAM6, Carcinoembryonic antigen-related cell adhesion molecule 6, Non-specific crossreacting antigen, Normal cross-reacting antigen, CEA cell adhesion molecule 6

2 Images
Western blot - Anti-CEACAM6 antibody [EPR4404(2)] (AB134058)
  • WB

Unknown

Western blot - Anti-CEACAM6 antibody [EPR4404(2)] (AB134058)

All lanes:

Western blot - Anti-CEACAM6 antibody [EPR4404(2)] (ab134058) at 1/10000 dilution

Lane 1:

MCF-7 cell lysate at 10 µg

Lane 2:

SW480 cell lysate at 10 µg

Lane 3:

HT-29 cell lysate at 10 µg

Lane 4:

A549 cell lysate at 10 µg

Lane 5:

BxPC-3 cell lysate at 10 µg

Secondary

All lanes:

HRP labelled goat anti-rabbit at 1/2000 dilution

Predicted band size: 37 kDa

false

Western blot - Anti-CEACAM6 antibody [EPR4404(2)] (AB134058)
  • WB

Lab

Western blot - Anti-CEACAM6 antibody [EPR4404(2)] (AB134058)

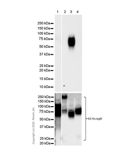
All lanes : Anti-CEACAM6 antibody [EPR4404(2)] (ab134058) at 1/1000 dilution Lane 1 : His-tagged human CEACAM1 recombinant protein (aa 35-428) Lane 2 : His-tagged human CEACAM3 recombinant protein (aa 35-252) Lane 3 : His-tagged human CEACAM5 recombinant protein (aa 35-586) Lane 4 : His-tagged human CEACAM6 recombinant protein (aa 35-320) Lane 5 : His-tagged human CEACAM8 recombinant protein (aa 35-320) Lysates/proteins at 20 ng per lane. Secondary All lanes : Goat Anti-Rabbit IgG H&L (HRP) (ab97051) at 1/100000 dilution Observed band size : 60 kDa Exposure time : 3 minute Blocking buffer and concentration : 5% NFDM/TBST Diluting buffer and concentration : 5% NFDM/TBST This antibody does not cross-react with human CEACAM1, CEACAM3, CEACAM5, or CEACAM8.

Lanes 1 - 5:

Western blot - Anti-CEACAM6 antibody [EPR4404(2)] - BSA and Azide free (<a href='/en-us/products/primary-antibodies/ceacam6-antibody-epr44042-bsa-and-azide-free-ab248662'>ab248662</a>) at 1/1000 dilution

Lanes 1 - 5:

Western blot - Anti-CEACAM6 antibody [EPR4404(2)] (ab134058) at 1/1000 dilution

Lane 1:

His-tagged human CEACAM1 recombinant protein (aa 35-428) at 20 ng

Lane 2:

His-tagged human CEACAM3 recombinant protein (aa 35-252) at 20 ng

Lane 3:

His-tagged human CEACAM5 recombinant protein (aa 35-586) at 20 ng

Lane 4:

His-tagged human CEACAM6 recombinant protein (aa 35-320) at 20 ng

Lane 5:

His-tagged human CEACAM8 recombinant protein (aa 35-320) at 20 ng

Secondary

All lanes:

Western blot - Goat Anti-Rabbit IgG H&L (HRP) (<a href='/en-us/products/secondary-antibodies/goat-rabbit-igg-h-l-hrp-ab97051'>ab97051</a>) at 1/100000 dilution

Predicted band size: 37 kDa

Observed band size: 60 kDa

false

Exposure time: 3min

  • Carrier free

    Anti-CEACAM6 antibody [EPR4404(2)] - BSA and Azide free

Key facts

Host species

Rabbit

Clonality

Monoclonal

Clone number

EPR4404(2)

Isotype

IgG

Carrier free

No

Reacts with

Human

Applications

WB

applications

Immunogen

The exact immunogen used to generate this antibody is proprietary information.

Reactivity data

{ "title": "Reactivity Data", "filters": { "stats": ["", "Species", "Dilution Info", "Notes"], "tabs": { "all-applications": {"fullname" : "All Applications", "shortname": "All Applications"}, "IHCP" : {"fullname" : "Immunohistochemistry (Formalin/PFA-fixed paraffin-embedded sections)", "shortname":"IHC-P"}, "WB" : {"fullname" : "Western blot", "shortname":"WB"} }, "product-promise": { "all": "all", "testedAndGuaranteed": "tested", "guaranteed": "expected", "predicted": "predicted", "notRecommended": "not-recommended" } }, "values": { "Human": { "IHCP-species-checked": "notRecommended", "IHCP-species-dilution-info": "1/2000", "IHCP-species-notes": "<p></p>", "WB-species-checked": "testedAndGuaranteed", "WB-species-dilution-info": "1/1000 - 1/50000", "WB-species-notes": "<p></p>" }, "Recombinant full length protein - Human": { "IHCP-species-checked": "notRecommended", "IHCP-species-dilution-info": "", "IHCP-species-notes": "", "WB-species-checked": "testedAndGuaranteed", "WB-species-dilution-info": "1/1000 - 1/50000", "WB-species-notes": "<p></p>" }, "Transfected cell line - Human": { "IHCP-species-checked": "notRecommended", "IHCP-species-dilution-info": "1/2000", "IHCP-species-notes": "<p></p>", "WB-species-checked": "notRecommended", "WB-species-dilution-info": "", "WB-species-notes": "" } } }

Product details

Species reactivity
Mouse, Rat: We have preliminary internal testing data to indicate this antibody may not react with these species.
Please contact us for more information.

Patented technology
Our RabMAb® technology is a patented hybridoma-based technology for making rabbit monoclonal antibodies. For details on our patents, please refer to RabMAb® patents.

What are the advantages of a recombinant monoclonal antibody?
This product is a recombinant monoclonal antibody, which offers several advantages including:

  • - High batch-to-batch consistency and reproducibility
  • - Improved sensitivity and specificity
  • - Long-term security of supply
  • - Animal-free batch production

For more information, read more on recombinant antibodies.

Properties and storage information

Form
Liquid
Purity
Tissue culture supernatant
Storage buffer
pH: 7.2 - 7.4 Preservative: 0.05% Sodium azide Constituents: 50% Tissue culture supernatant, 40% Glycerol (glycerin, glycerine), 9.85% Tris glycine, 0.1% BSA
Shipped at conditions
Blue Ice
Appropriate short-term storage conditions
+4°C
Appropriate long-term storage conditions
-20°C
Storage information
Stable for 12 months at -20°C

Supplementary information

This supplementary information is collated from multiple sources and compiled automatically.

CEACAM6 also known as 9a6 CEACAM-6 and 1h7 is a cell surface glycoprotein weighing approximately 35-40 kDa. The protein plays a mechanical role as an intercellular adhesion molecule. It displays broad expression across multiple tissues with high levels found in epithelial cells of the gastrointestinal tract respiratory tract and in leukocytes.
Biological function summary

CEACAM6 acts in cell signaling and adhesion processes. It often forms complexes with other members of the CEACAM family such as CEACAM5. This protein is involved in the regulation of cell-cell adhesion which impacts cell migration and organization. It also influences immune reactions by modulating the interactions between pathogens and host cells.

Pathways

CEACAM6 integrates into pathways associated with cell adhesion and immune regulation. It engages in the PI3K-Akt signaling pathway tightly interacting with proteins such as CEACAM1 and CEACAM5. Through these interactions CEACAM6 plays an essential role in cell survival proliferation and immune responses.

CEACAM6 shows significant links with cancer especially colorectal and pancreatic cancers. Overexpression of this protein correlates with tumor progression and metastasis. Additionally in inflammatory bowel disease CEACAM6 association with CEACAM7 often results in altered epithelial barrier function contributing to disease pathogenesis.

Product protocols

For this product, it's our understanding that no specific protocols are required. You can visit:

Target data

Cell surface glycoprotein that plays a role in cell adhesion and tumor progression (PubMed : 10910050, PubMed : 11590190, PubMed : 1378450, PubMed : 16204051, PubMed : 2022629, PubMed : 2803308, PubMed : 8776764). Intercellular adhesion occurs in a calcium- and fibronectin-independent manner (PubMed : 16204051, PubMed : 2022629). Mediates homophilic and heterophilic cell adhesion with other carcinoembryonic antigen-related cell adhesion molecules, such as CEACAM5 and CEACAM8 (PubMed : 11590190, PubMed : 16204051, PubMed : 2022629, PubMed : 2803308, PubMed : 8776764). Heterophilic interaction with CEACAM8 occurs in activated neutrophils (PubMed : 8776764). Plays a role in neutrophil adhesion to cytokine-activated endothelial cells (PubMed : 1378450). Plays a role in cell migration and cell adhesion to endothelial cells (PubMed : 16204051).
See full target information CEACAM6

Product promise

We are committed to supporting your work with high-quality reagents, and we're here for you every step of the way. In the unlikely event that one of our products does not perform as expected, you're protected by our Product Promise.
For full details, please see our Terms & Conditions

Please note: All products are 'FOR RESEARCH USE ONLY. NOT FOR USE IN DIAGNOSTIC OR THERAPEUTIC PROCEDURES'.

For licensing inquiries, please contact partnerships@abcam.com