JavaScript is disabled in your browser. Please enable JavaScript to view this website.
AB264305

Anti-CEBP Beta antibody

Be the first to review this product! Submit a review

|

(3 Publications)

Rabbit Polyclonal CEBP Beta antibody. Suitable for IHC-P, IP, WB and reacts with Human samples. Cited in 3 publications. Immunogen corresponding to Synthetic Peptide within Human CEBPB aa 50-100.

View Alternative Names

TCF5, PP9092, CEBPB, CCAAT/enhancer-binding protein beta, C/EBP beta, Liver activator protein, Liver-enriched inhibitory protein, Nuclear factor NF-IL6, Transcription factor 5, LAP, LIP, TCF-5

3 Images
Western blot - Anti-CEBP Beta antibody (AB264305)
  • WB

Supplier Data

Western blot - Anti-CEBP Beta antibody (AB264305)

Cells prepared using NETN lysis buffer.

4-20% SDS-PAGE.

All lanes:

Western blot - Anti-CEBP Beta antibody (ab264305) at 0.1 µg/mL

Lane 1:

HeLa whole cell lysate at 50 µg

Lane 2:

HeLa whole cell lysate at 15 µg

Lane 3:

HeLa whole cell lysate at 5 µg

Lane 4:

HEK-293T whole cell lysate at 50 µg

Lane 5:

Jurkat whole cell lysate at 50 µg

Secondary

All lanes:

Goat anti-Rabbit Light Chain HRP Conjugate

Predicted band size: 36 kDa

false

Exposure time: 3min

Immunoprecipitation - Anti-CEBP Beta antibody (AB264305)
  • IP

Supplier Data

Immunoprecipitation - Anti-CEBP Beta antibody (AB264305)

CEBP Beta was immunoprecipitated from 1mg of HeLa (Human epithelial cell line from cervix adenocarcinoma) whole cell lysate with ab264305 at 6 μg per reaction. Western blot was performed from the immunoprecipitate using ab264305 at 1 μg/ml.

Lane 1 : ab264305 IP in HeLa whole cell lysate.
Lane 2 : Control IgG.

Exposure time : 3 mins.

Cells prepared using NETN lysis buffer.

All lanes:

Immunoprecipitation - Anti-CEBP Beta antibody (ab264305)

Predicted band size: 36 kDa

false

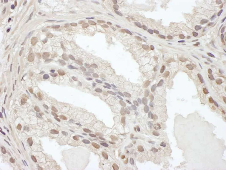
Immunohistochemistry (Formalin/PFA-fixed paraffin-embedded sections) - Anti-CEBP Beta antibody (AB264305)
  • IHC-P

Unknown

Immunohistochemistry (Formalin/PFA-fixed paraffin-embedded sections) - Anti-CEBP Beta antibody (AB264305)

Immunohistochemical analysis of formalin-fixed, paraffin-embedded human prostate carcinoma tissue labeling CEBP Beta with ab264305 at 1/1,000 dilution. Detection : DAB.

Key facts

Host species

Rabbit

Clonality

Polyclonal

Isotype

IgG

Carrier free

No

Reacts with

Human

Applications

IP, IHC-P, WB

applications

Immunogen

Synthetic Peptide within Human CEBPB aa 50-100. The exact immunogen used to generate this antibody is proprietary information.

P17676

Reactivity data

{ "title": "Reactivity Data", "filters": { "stats": ["", "Species", "Dilution Info", "Notes"], "tabs": { "all-applications": {"fullname" : "All Applications", "shortname": "All Applications"}, "IHCP" : {"fullname" : "Immunohistochemistry (Formalin/PFA-fixed paraffin-embedded sections)", "shortname":"IHC-P"}, "IP" : {"fullname" : "Immunoprecipitation", "shortname":"IP"}, "WB" : {"fullname" : "Western blot", "shortname":"WB"} }, "product-promise": { "all": "all", "testedAndGuaranteed": "tested", "guaranteed": "expected", "predicted": "predicted", "notRecommended": "not-recommended" } }, "values": { "Human": { "IHCP-species-checked": "testedAndGuaranteed", "IHCP-species-dilution-info": "1/500.00000 - 1/2000.00000", "IHCP-species-notes": "<p></p>", "IP-species-checked": "testedAndGuaranteed", "IP-species-dilution-info": "2.00000-10.00000 µg/mg of lysate", "IP-species-notes": "<p></p>", "WB-species-checked": "testedAndGuaranteed", "WB-species-dilution-info": "1/2000.00000 - 1/10000.00000", "WB-species-notes": "<p></p>" }, "Mouse": { "IHCP-species-checked": "predicted", "IHCP-species-dilution-info": "", "IHCP-species-notes": "", "IP-species-checked": "predicted", "IP-species-dilution-info": "", "IP-species-notes": "", "WB-species-checked": "predicted", "WB-species-dilution-info": "", "WB-species-notes": "" }, "Rat": { "IHCP-species-checked": "predicted", "IHCP-species-dilution-info": "", "IHCP-species-notes": "", "IP-species-checked": "predicted", "IP-species-dilution-info": "", "IP-species-notes": "", "WB-species-checked": "predicted", "WB-species-dilution-info": "", "WB-species-notes": "" }, "Cow": { "IHCP-species-checked": "predicted", "IHCP-species-dilution-info": "", "IHCP-species-notes": "", "IP-species-checked": "predicted", "IP-species-dilution-info": "", "IP-species-notes": "", "WB-species-checked": "predicted", "WB-species-dilution-info": "", "WB-species-notes": "" } } }

You may be interested in:

AB233631

Human CEBPB ELISA Kit

0

0 Reviews

View product

We recommend this product because it’s often used in the same experiment or related research.

We advise that you always check the datasheet to ensure it fits your experiments, or contact ourtechnical teamfor help.

Properties and storage information

Form
Liquid
Purification technique
Affinity purification Immunogen
Storage buffer
pH: 7 - 8 Preservative: 0.09% Sodium azide Constituents: Tris citrate/phosphate
Shipped at conditions
Blue Ice
Appropriate short-term storage duration
1-2 weeks
Appropriate short-term storage conditions
+4°C
Appropriate long-term storage conditions
-20°C
Aliquoting information
Upon delivery aliquot
Storage information
Avoid freeze / thaw cycle

Supplementary information

This supplementary information is collated from multiple sources and compiled automatically.

CEBP Beta also known as CCAAT/enhancer binding protein beta or C/EBPβ is a transcription factor that regulates gene expression in various tissues. It has a molecular mass of approximately 35 kDa. CEBP Beta is expressed in liver adipose tissue and immune cells among others. It binds to DNA at specific CCAAT motifs and regulates transcription of genes involved in immune response metabolism and differentiation.
Biological function summary

CEBP Beta plays important roles in cellular differentiation proliferation and immune function. CEBP Beta is part of the CEBP family of transcription factors which form homo- or hetero-dimers to function effectively often with other family members like CEBP Alpha. Its activity governs important processes in hematopoiesis and adipogenesis. This transcription factor is therefore essential in the regulation of energy homeostasis and immune response influencing the expression of various cytokines and acute-phase proteins.

Pathways

CEBP Beta integrates signals in key biological pathways such as the JAK-STAT and NF-kB pathways. Activation via cytokine signaling CEBP Beta interacts with STAT proteins to modulate gene expression linked to inflammatory responses. It has a significant role in the NF-kB pathway where it cooperates with Rel proteins to regulate genes involved in immune and stress responses including TNF and IL-1.

CEBP Beta is implicated in conditions such as acute myeloid leukemia (AML) and obesity-related complications. Abnormal regulation of CEBP Beta can contribute to leukemogenesis by altering the expression of cell cycle and differentiation genes. Additionally CEBP Beta's role in lipid storage and insulin sensitivity links it to metabolic disorders such as Type 2 diabetes. Interactions with proteins like PPAR gamma in adipose tissues influence these disease processes.

Product protocols

For this product, it's our understanding that no specific protocols are required. You can visit:

Target data

Important transcription factor regulating the expression of genes involved in immune and inflammatory responses (PubMed : 12048245, PubMed : 1741402, PubMed : 18647749, PubMed : 9374525). Also plays a significant role in adipogenesis, as well as in the gluconeogenic pathway, liver regeneration, and hematopoiesis. The consensus recognition site is 5'-T[TG]NNGNAA[TG]-3'. Its functional capacity is governed by protein interactions and post-translational protein modifications. During early embryogenesis, plays essential and redundant roles with CEBPA. Has a promitotic effect on many cell types such as hepatocytes and adipocytes but has an antiproliferative effect on T-cells by repressing MYC expression, facilitating differentiation along the T-helper 2 lineage. Binds to regulatory regions of several acute-phase and cytokines genes and plays a role in the regulation of acute-phase reaction and inflammation. Also plays a role in intracellular bacteria killing (By similarity). During adipogenesis, is rapidly expressed and, after activation by phosphorylation, induces CEBPA and PPARG, which turn on the series of adipocyte genes that give rise to the adipocyte phenotype. The delayed transactivation of the CEBPA and PPARG genes by CEBPB appears necessary to allow mitotic clonal expansion and thereby progression of terminal differentiation (PubMed : 20829347). Essential for female reproduction because of a critical role in ovarian follicle development (By similarity). Restricts osteoclastogenesis : together with NFE2L1; represses expression of DSPP during odontoblast differentiation (By similarity).. Isoform 2. Essential for gene expression induction in activated macrophages. Plays a major role in immune responses such as CD4(+) T-cell response, granuloma formation and endotoxin shock. Not essential for intracellular bacteria killing.. Isoform 3. Acts as a dominant negative through heterodimerization with isoform 2 (PubMed : 11741938). Promotes osteoblast differentiation and osteoclastogenesis (By similarity).
See full target information CEBPB

Publications (3)

Recent publications for all applications. Explore the full list and refine your search

Journal of translational medicine 20:148 PubMed35365168

2022

CircZDBF2 up-regulates RNF145 by ceRNA model and recruits CEBPB to accelerate oral squamous cell carcinoma progression via NFκB signaling pathway.

Applications

Unspecified application

Species

Unspecified reactive species

Liang Rong,Bo Chen,Ke Liu,Bingyao Liu,Xinyao He,Juan Liu,Junxia Li,Maodian He,Lei Zhu,Ke Liu,Xiaolei Shi,Yi Shuai,Lei Jin

Frontiers in endocrinology 12:675834 PubMed34526965

2021

Berberine Acts on C/EBPβ/lncRNA Gas5/miR-18a-5p Loop to Decrease the Mitochondrial ROS Generation in HK-2 Cells.

Applications

Unspecified application

Species

Unspecified reactive species

Jiang Xu,Linqing Liu,Lin Gan,Yuanyuan Hu,Ping Xiang,Yan Xing,Jie Zhu,Shandong Ye

Molecular human reproduction : PubMed33507306

2021

Nuclear factor-kappa B signaling in endometriotic stromal cells is not inhibited by progesterone owing to an aberrant endoplasmic reticulum stress response: a possible role for an altered inflammatory process in endometriosis.

Applications

Unspecified application

Species

Unspecified reactive species

JongYeob Choi,MinWha Jo,EunYoung Lee,Dong-Yun Lee,DooSeok Choi
View all publications

Product promise

We are committed to supporting your work with high-quality reagents, and we're here for you every step of the way. In the unlikely event that one of our products does not perform as expected, you're protected by our Product Promise.
For full details, please see our Terms & Conditions

Associated Products

Select an associated product type
Alternative Product
Primary Antibodies

AB15049

Anti-CEBP Beta antibody [18F8]

primary-antibodies

cebp-beta-antibody-18f8-ab15049

0

(0 reviews)

Alternative Product
Primary Antibodies

AB15050

Anti-CEBP Beta antibody [1H7]

primary-antibodies

cebp-beta-antibody-1h7-ab15050

0

(0 reviews)

Alternative Product
Primary Antibodies

AB237415

Alexa Fluor® 647 Anti-CEBP Beta antibody [E299]

primary-antibodies

alexa-fluor-647-cebp-beta-antibody-e299-ab237415

0

(0 reviews)

Alternative Product
Primary Antibodies

AB32358

Anti-CEBP Beta antibody [E299] - C-terminal

primary-antibodies

cebp-beta-antibody-e299-c-terminal-ab32358

5

(7 reviews)

Alternative Product
Primary Antibodies

AB237414

Alexa Fluor® 488 Anti-CEBP Beta antibody [E299] - C-terminal

primary-antibodies

alexa-fluor-488-cebp-beta-antibody-e299-c-terminal-ab237414

0

(0 reviews)

Alternative Product
Primary Antibodies

AB220813

Anti-CEBP Beta antibody [E299] - BSA and Azide free

primary-antibodies

cebp-beta-antibody-e299-bsa-and-azide-free-ab220813

0

(0 reviews)

Please note: All products are 'FOR RESEARCH USE ONLY. NOT FOR USE IN DIAGNOSTIC OR THERAPEUTIC PROCEDURES'.

For licensing inquiries, please contact partnerships@abcam.com