JavaScript is disabled in your browser. Please enable JavaScript to view this website.
AB198230

Anti-CEBP Delta/CEBPD antibody

Be the first to review this product! Submit a review

|

(3 Publications)

Rabbit Polyclonal CEBP Delta/CEBPD antibody. Suitable for WB, IHC-P and reacts with Human samples. Cited in 3 publications. Immunogen corresponding to Synthetic Peptide within Human CEBPD.

View Alternative Names

CCAAT/enhancer-binding protein delta, C/EBP delta, Nuclear factor NF-IL6-beta, NF-IL6-beta, CEBPD

2 Images
Immunohistochemistry (Formalin/PFA-fixed paraffin-embedded sections) - Anti-CEBP Delta/CEBPD antibody (AB198230)
  • IHC-P

Supplier Data

Immunohistochemistry (Formalin/PFA-fixed paraffin-embedded sections) - Anti-CEBP Delta/CEBPD antibody (AB198230)

Immunohistochemical analysis of paraffin-embedded Human cervical cancer tissue labeling CEBP Delta/CEBPD with ab198230 at 1/40 dilution.

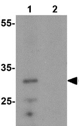
Western blot - Anti-CEBP Delta/CEBPD antibody (AB198230)
  • WB

Supplier Data

Western blot - Anti-CEBP Delta/CEBPD antibody (AB198230)

10% SDS-PAGE.

All lanes:

Western blot - Anti-CEBP Delta/CEBPD antibody (ab198230) at 1/300 dilution

All lanes:

LO2 cell lysate at 40 µg

Predicted band size: 28 kDa

false

Key facts

Host species

Rabbit

Clonality

Polyclonal

Isotype

IgG

Carrier free

No

Reacts with

Human

Applications

IHC-P, WB

applications

Immunogen

Synthetic Peptide within Human CEBPD. The exact immunogen used to generate this antibody is proprietary information.

P49716

Reactivity data

{ "title": "Reactivity Data", "filters": { "stats": ["", "Species", "Dilution Info", "Notes"], "tabs": { "all-applications": {"fullname" : "All Applications", "shortname": "All Applications"}, "WB" : {"fullname" : "Western blot", "shortname":"WB"}, "IHCP" : {"fullname" : "Immunohistochemistry (Formalin/PFA-fixed paraffin-embedded sections)", "shortname":"IHC-P"} }, "product-promise": { "all": "all", "testedAndGuaranteed": "tested", "guaranteed": "expected", "predicted": "predicted", "notRecommended": "not-recommended" } }, "values": { "Human": { "WB-species-checked": "testedAndGuaranteed", "WB-species-dilution-info": "1/200 - 1/1000", "WB-species-notes": "<p></p>", "IHCP-species-checked": "testedAndGuaranteed", "IHCP-species-dilution-info": "1/50 - 1/200", "IHCP-species-notes": "<p></p>" } } }

Properties and storage information

Form
Liquid
Purification technique
Affinity purification Immunogen
Storage buffer
pH: 7.4 Preservative: 0.05% Sodium azide Constituents: PBS, 50% Glycerol (glycerin, glycerine)
Shipped at conditions
Blue Ice
Appropriate short-term storage duration
1-2 weeks
Appropriate short-term storage conditions
+4°C
Appropriate long-term storage conditions
-20°C
Aliquoting information
Upon delivery aliquot
Storage information
Avoid freeze / thaw cycle

Supplementary information

This supplementary information is collated from multiple sources and compiled automatically.

CEBP Delta also known as CEBPD is a transcription factor belonging to the CCAAT/enhancer-binding protein family. This protein has a molecular mass of approximately 28 kDa. It is expressed in various tissues including liver adipose tissue and the immune system reflecting its involvement in distinct physiological processes. CEBPD contains a basic leucine zipper domain allowing it to bind to specific DNA sequences. It acts as a regulator of gene expression by influencing transcriptional activity thereby playing a significant role in controlling cellular differentiation and metabolic processes.
Biological function summary

CEBP Delta participates in multiple cellular functions including cell cycle regulation and immune response. It modulates proliferation differentiation and apoptosis being important for normal and stress-induced cellular functions. CEBPD forms homodimers or heterodimers with other members of the CEBP family enhancing its functional diversity. This dimerization allows CEBPD to adapt its regulatory role depending on the specific cellular environment and stimuli contributing to metabolic homeostasis and immune functions.

Pathways

CEBP Delta plays a role in pathways related to inflammatory responses and metabolic regulation. It is involved in the NF-κB pathway which is critical for the immune system's response to infection and inflammation working alongside proteins like RELA and NFKB1. Additionally it affects metabolic pathways by regulating genes responsible for lipid and glucose metabolism an action interconnected with other transcription factors like PPARs. Through these pathways CEBPD influences cellular responses to stress and energy requirements.

CEBP Delta has been implicated in cancer development and inflammatory diseases. Its dysregulation can contribute to tumorigenesis as CEBPD affects cell proliferation and apoptosis processes often disrupted in cancer. Research suggests a connection between CEBPD and the tumor-suppressing protein p53 indicating a possible regulatory relationship significant in cancer pathways. Furthermore abnormal expression of CEBPD associates with inflammatory disorders such as rheumatoid arthritis where it intersects with cytokines impacting the inflammatory response and joint degradation.

Product protocols

For this product, it's our understanding that no specific protocols are required. You can visit:

Target data

Transcription activator that recognizes two different DNA motifs : the CCAAT homology common to many promoters and the enhanced core homology common to many enhancers (PubMed : 16397300). Important transcription factor regulating the expression of genes involved in immune and inflammatory responses (PubMed : 16397300, PubMed : 1741402). Transcriptional activator that enhances IL6 transcription alone and as heterodimer with CEBPB (PubMed : 1741402).
See full target information CEBPD

Publications (3)

Recent publications for all applications. Explore the full list and refine your search

Molecular medicine reports 22:2263-2272 PubMed32705251

2020

Shikonin inhibits CEBPD downregulation in IL‑17‑treated HaCaT cells and in an imiquimod‑induced psoriasis model.

Applications

Unspecified application

Species

Unspecified reactive species

Xiao-Ou Lan,He-Xiao Wang,Rui-Qun Qi,Yuan-Yuan Xu,Ya-Jie Yu,Yang Yang,Hao Guo,Xing-Hua Gao,Long Geng

Molecular cancer research : MCR 18:216-228 PubMed31676720

2019

Dominant-Negative ATF5 Compromises Cancer Cell Survival by Targeting CEBPB and CEBPD.

Applications

Unspecified application

Species

Unspecified reactive species

Xiaotian Sun,Parvaneh Jefferson,Qing Zhou,James M Angelastro,Lloyd A Greene

International immunopharmacology 72:511-521 PubMed31075711

2019

Shikonin induces apoptosis and suppresses growth in keratinocytes via CEBP-δ upregulation.

Applications

Unspecified application

Species

Unspecified reactive species

Ya-Jie Yu,Yuan-Yuan Xu,Xiao-Ou Lan,Xiao-Ying Liu,Xiao-Lan Zhang,Xing-Hua Gao,Long Geng
View all publications

Product promise

We are committed to supporting your work with high-quality reagents, and we're here for you every step of the way. In the unlikely event that one of our products does not perform as expected, you're protected by our Product Promise.
For full details, please see our Terms & Conditions

Please note: All products are 'FOR RESEARCH USE ONLY. NOT FOR USE IN DIAGNOSTIC OR THERAPEUTIC PROCEDURES'.

For licensing inquiries, please contact partnerships@abcam.com