JavaScript is disabled in your browser. Please enable JavaScript to view this website.
AB246861

Anti-CEBPE antibody

Be the first to review this product! Submit a review

|

(4 Publications)

Rabbit Polyclonal CEBPE antibody. Suitable for IHC-P, WB, ICC/IF and reacts with Human samples. Cited in 4 publications. Immunogen corresponding to Recombinant Fragment Protein within Human CEBPE aa 1-150.

View Alternative Names

CCAAT/enhancer-binding protein epsilon, C/EBP epsilon, CEBPE

4 Images
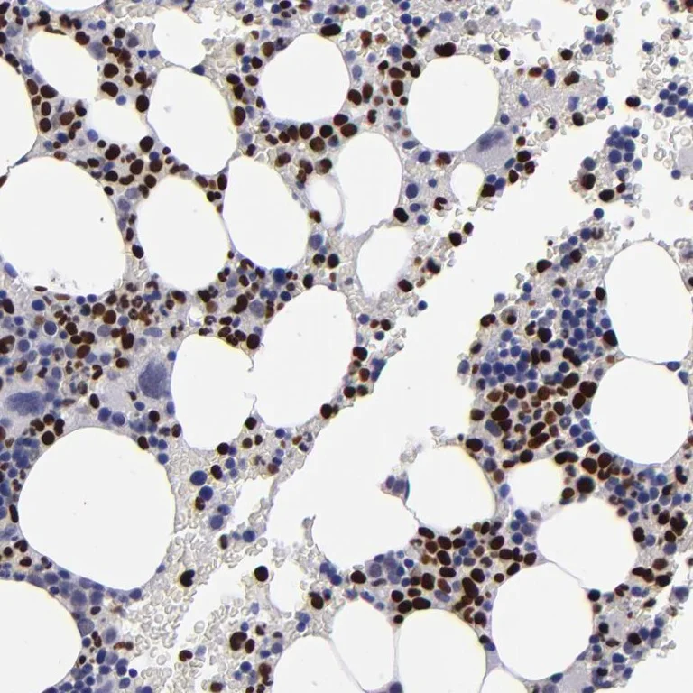
Immunohistochemistry (Formalin/PFA-fixed paraffin-embedded sections) - Anti-CEBPE antibody (AB246861)
  • IHC-P

Unknown

Immunohistochemistry (Formalin/PFA-fixed paraffin-embedded sections) - Anti-CEBPE antibody (AB246861)

Paraffin-embedded human bone marrow tissue stained for CEBPE using ab246861 at 1/50 dilution in immunohistochemical analysis.

Immunohistochemistry (Formalin/PFA-fixed paraffin-embedded sections) - Anti-CEBPE antibody (AB246861)
  • IHC-P

Unknown

Immunohistochemistry (Formalin/PFA-fixed paraffin-embedded sections) - Anti-CEBPE antibody (AB246861)

Paraffin-embedded human cerebral cortex tissue stained for CEBPE using ab246861 at 1/50 dilution in immunohistochemical analysis. Low expression, as expected.

Western blot - Anti-CEBPE antibody (AB246861)
  • WB

Unknown

Western blot - Anti-CEBPE antibody (AB246861)

All lanes:

Western blot - Anti-CEBPE antibody (ab246861) at 0.4 µg

Lane 1:

Vector only transfected HEK-293T (human epithelial cell line from embryonic kidney transformed with large T antigen) whole cell lysate

Lane 2:

CEBPE with C-terminal myc-DDK tag overexpressed in HEK-293T, whole cell lysate

Predicted band size: 31 kDa

false

Immunocytochemistry/ Immunofluorescence - Anti-CEBPE antibody (AB246861)
  • ICC/IF

Unknown

Immunocytochemistry/ Immunofluorescence - Anti-CEBPE antibody (AB246861)

PFA-fixed, Triton X-100 permeabilized U-251 MG (human brain glioma cell line) cells stained for CEBPE (green) using ab246861 at 4 μg/ml in ICC/IF.

Key facts

Host species

Rabbit

Clonality

Polyclonal

Isotype

IgG

Carrier free

No

Reacts with

Human

Applications

WB, ICC/IF, IHC-P

applications

Immunogen

Recombinant Fragment Protein within Human CEBPE aa 1-150. The exact immunogen used to generate this antibody is proprietary information.

Q15744

Reactivity data

{ "title": "Reactivity Data", "filters": { "stats": ["", "Species", "Dilution Info", "Notes"], "tabs": { "all-applications": {"fullname" : "All Applications", "shortname": "All Applications"}, "IHCP" : {"fullname" : "Immunohistochemistry (Formalin/PFA-fixed paraffin-embedded sections)", "shortname":"IHC-P"}, "WB" : {"fullname" : "Western blot", "shortname":"WB"}, "ICCIF" : {"fullname" : "Immunocytochemistry/ Immunofluorescence", "shortname":"ICC/IF"} }, "product-promise": { "all": "all", "testedAndGuaranteed": "tested", "guaranteed": "expected", "predicted": "predicted", "notRecommended": "not-recommended" } }, "values": { "Human": { "IHCP-species-checked": "testedAndGuaranteed", "IHCP-species-dilution-info": "1/50 - 1/200", "IHCP-species-notes": "<p></p> Perform heat-mediated antigen retrieval with citrate buffer pH 6 before commencing with IHC staining protocol.", "WB-species-checked": "testedAndGuaranteed", "WB-species-dilution-info": "0.04-0.4 µg/mL", "WB-species-notes": "<p></p>", "ICCIF-species-checked": "testedAndGuaranteed", "ICCIF-species-dilution-info": "0.25-2 µg/mL", "ICCIF-species-notes": "<p>Fixation/Permeabilization: PFA/Triton X-100.</p>" }, "Mouse": { "IHCP-species-checked": "predicted", "IHCP-species-dilution-info": "", "IHCP-species-notes": "", "WB-species-checked": "predicted", "WB-species-dilution-info": "", "WB-species-notes": "", "ICCIF-species-checked": "predicted", "ICCIF-species-dilution-info": "", "ICCIF-species-notes": "" }, "Rat": { "IHCP-species-checked": "predicted", "IHCP-species-dilution-info": "", "IHCP-species-notes": "", "WB-species-checked": "predicted", "WB-species-dilution-info": "", "WB-species-notes": "", "ICCIF-species-checked": "predicted", "ICCIF-species-dilution-info": "", "ICCIF-species-notes": "" }, "Sheep": { "IHCP-species-checked": "predicted", "IHCP-species-dilution-info": "", "IHCP-species-notes": "", "WB-species-checked": "predicted", "WB-species-dilution-info": "", "WB-species-notes": "", "ICCIF-species-checked": "predicted", "ICCIF-species-dilution-info": "", "ICCIF-species-notes": "" } } }

Properties and storage information

Form
Liquid
Purification technique
Affinity purification Immunogen
Storage buffer
pH: 7.2 Preservative: 0.02% Sodium azide Constituents: PBS, 40% Glycerol (glycerin, glycerine)
Shipped at conditions
Blue Ice
Appropriate short-term storage duration
1-2 weeks
Appropriate short-term storage conditions
+4°C
Appropriate long-term storage conditions
-20°C
Aliquoting information
Upon delivery aliquot
Storage information
Avoid freeze / thaw cycle

Supplementary information

This supplementary information is collated from multiple sources and compiled automatically.

The protein CEBPE also known as CCAAT/enhancer-binding protein epsilon acts as a transcription factor. It plays a role in overseeing the expression of genes involved in granulocytic differentiation. CEBPE has a molecular mass of approximately 32 kDa. Expression occurs mainly in hematopoietic tissues where it supports the regulation of immune system components and cell cycle processes necessary for the maturation of specific white blood cells like granulocytes.
Biological function summary

CEBPE serves as an important regulator in myeloid cell differentiation and development. It functions within a multiprotein complex that helps influence the transcription regulation of its target genes. This target ensures proper development and differentiation of granulocytes by transcriptionally activating genes important for these processes. This activity highlights its role in maintaining normal immune function and response.

Pathways

CEBPE integrates into several hematopoietic differentiation and signaling pathways. The granulocyte differentiation pathway heavily relies on its transcriptional activity. CEBPE interacts with other critical transcription factors such as PU.1 and GATA-1 to modulate the expression of lineage-specific genes. It helps coordinate the transcriptional cascade that terminates in fully differentiated functionally competent granulocytes.

Mutations or misregulation of CEBPE link to specific types of immune disorders and leukemia particularly acute myeloid leukemia (AML). Altered CEBPE expression interferes with granulocyte maturation leading to pathological conditions. In these diseases the protein cooperates with factors like RUNX1 to disturb normal hematopoietic pathways resulting in unchecked cell proliferation or maturation arrest characteristic of leukemic phenotypes.

Product protocols

For this product, it's our understanding that no specific protocols are required. You can visit:

Target data

Transcriptional activator (PubMed : 26019275). C/EBP are DNA-binding proteins that recognize two different motifs : the CCAAT homology common to many promoters and the enhanced core homology common to many enhancers. Required for the promyelocyte-myelocyte transition in myeloid differentiation (PubMed : 10359588).
See full target information CEBPE

Publications (4)

Recent publications for all applications. Explore the full list and refine your search

Cancer informatics 23:11769351241275877 PubMed39238655

2024

Comprehensive Analysis of CCAAT/Enhancer Binding Protein Family in Ovarian Cancer.

Applications

Unspecified application

Species

Unspecified reactive species

Jiahong Tan,Daoqi Wang,Wei Dong,Lei Nian,Fen Zhang,Han Zhao,Jie Zhang,Yun Feng

Cancers 15: PubMed37568827

2023

YY1 Knockdown Relieves the Differentiation Block and Restores Apoptosis in AML Cells.

Applications

Unspecified application

Species

Unspecified reactive species

Nelida Ines Noguera,Serena Travaglini,Stefania Scalea,Caterina Catalanotto,Anna Reale,Michele Zampieri,Alessandra Zaza,Maria Rosaria Ricciardi,Daniela Francesca Angelini,Agostino Tafuri,Tiziana Ottone,Maria Teresa Voso,Giuseppe Zardo

Cellular & molecular immunology 19:619-633 PubMed35301470

2022

Induction of functional neutrophils from mouse fibroblasts by thymidine through enhancement of Tet3 activity.

Applications

Unspecified application

Species

Unspecified reactive species

Buqing Ye,Liuliu Yang,Benyu Liu,Nian Liu,Dongdong Fan,Huimu Li,Lei Sun,Ying Du,Shuo Wang,Yong Tian,Zusen Fan

Oncology reports 46: PubMed34528699

2021

Quantitative global proteome and phosphorylome analyses reveal potential biomarkers in kidney cancer.

Applications

Unspecified application

Species

Unspecified reactive species

Liwei Xu,Zeyi Lu,Shicheng Yu,Gonghui Li,Yuanlei Chen
View all publications

Product promise

We are committed to supporting your work with high-quality reagents, and we're here for you every step of the way. In the unlikely event that one of our products does not perform as expected, you're protected by our Product Promise.
For full details, please see our Terms & Conditions

Please note: All products are 'FOR RESEARCH USE ONLY. NOT FOR USE IN DIAGNOSTIC OR THERAPEUTIC PROCEDURES'.

For licensing inquiries, please contact partnerships@abcam.com