JavaScript is disabled in your browser. Please enable JavaScript to view this website.
AB246886

Anti-CECR1 antibody

Be the first to review this product! Submit a review

|

(1 Publication)

Rabbit Polyclonal CECR1 antibody. Suitable for IHC-P, WB and reacts with Human samples. Cited in 1 publication. Immunogen corresponding to Recombinant Fragment Protein within Human ADA2 aa 350 to C-terminus.

View Alternative Names

ADGF, CECR1, IDGFL, ADA2, Adenosine deaminase 2, Cat eye syndrome critical region protein 1

5 Images
Immunohistochemistry (Formalin/PFA-fixed paraffin-embedded sections) - Anti-CECR1 antibody (AB246886)
  • IHC-P

Supplier Data

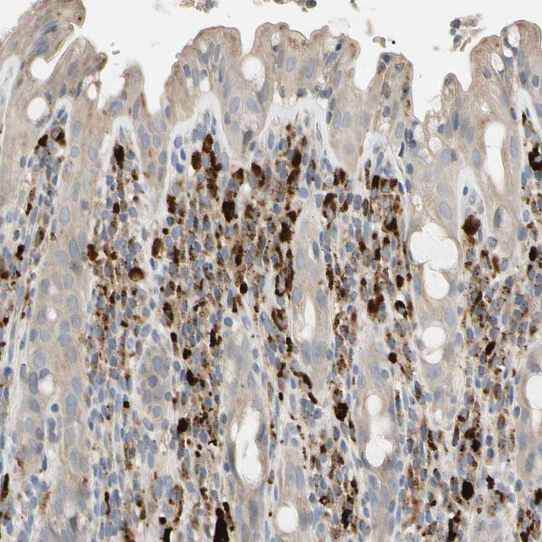
Immunohistochemistry (Formalin/PFA-fixed paraffin-embedded sections) - Anti-CECR1 antibody (AB246886)

Paraffin-embedded human rectum tissue stained for CECR1 using ab246886 at 1/50 dilution in immunohistochemical analysis.

Immunohistochemistry (Formalin/PFA-fixed paraffin-embedded sections) - Anti-CECR1 antibody (AB246886)
  • IHC-P

Supplier Data

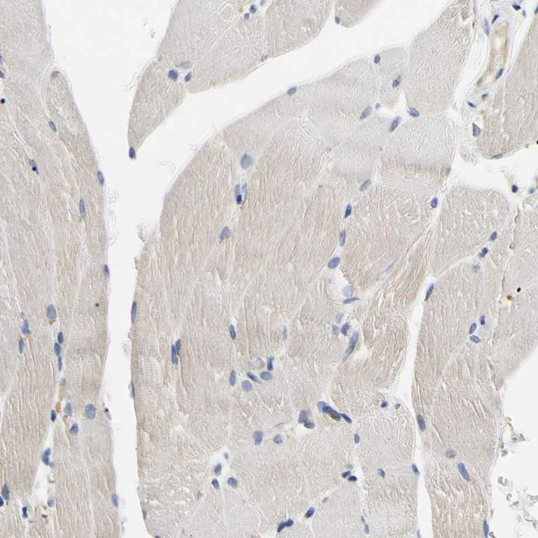
Immunohistochemistry (Formalin/PFA-fixed paraffin-embedded sections) - Anti-CECR1 antibody (AB246886)

Paraffin-embedded human skeletal muscle tissue stained for CECR1 using ab246886 at 1/50 dilution in immunohistochemical analysis.

Immunohistochemistry (Formalin/PFA-fixed paraffin-embedded sections) - Anti-CECR1 antibody (AB246886)
  • IHC-P

Supplier Data

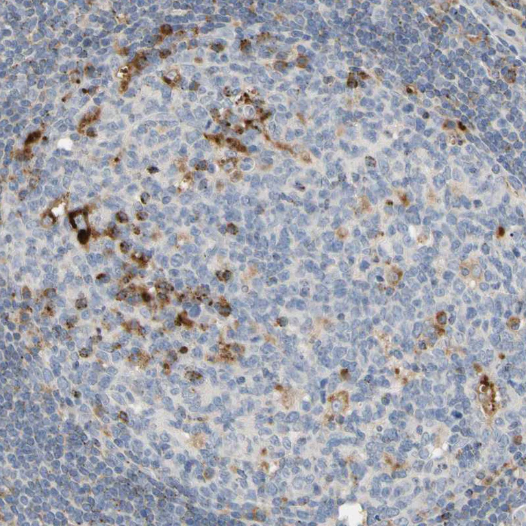
Immunohistochemistry (Formalin/PFA-fixed paraffin-embedded sections) - Anti-CECR1 antibody (AB246886)

Paraffin-embedded human tonsil tissue stained for CECR1 using ab246886 at 1/50 dilution in immunohistochemical analysis.

Immunohistochemistry (Formalin/PFA-fixed paraffin-embedded sections) - Anti-CECR1 antibody (AB246886)
  • IHC-P

Supplier Data

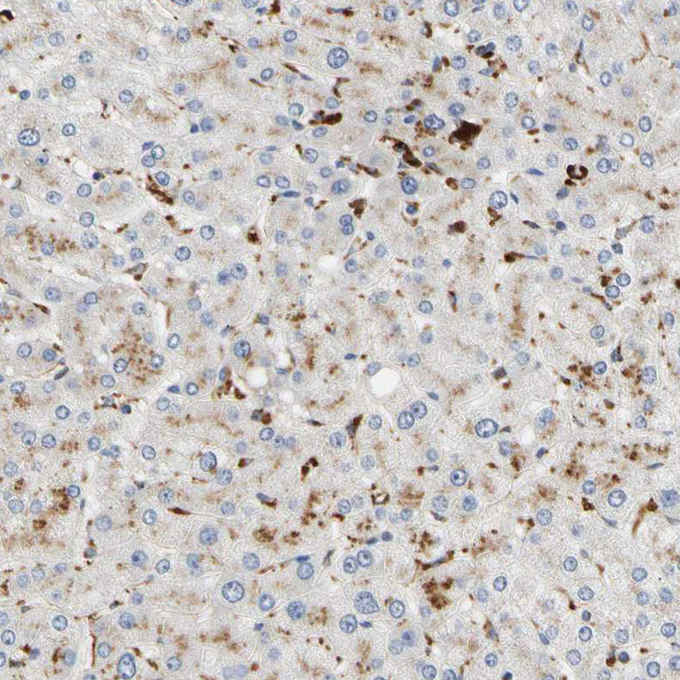
Immunohistochemistry (Formalin/PFA-fixed paraffin-embedded sections) - Anti-CECR1 antibody (AB246886)

Paraffin-embedded human liver tissue stained for CECR1 using ab246886 at 1/50 dilution in immunohistochemical analysis.

Western blot - Anti-CECR1 antibody (AB246886)
  • WB

Unknown

Western blot - Anti-CECR1 antibody (AB246886)

All lanes:

Western blot - Anti-CECR1 antibody (ab246886) at 0.4 µg/mL

All lanes:

MOLT-4 (human lymphoblastic leukemia cell line) whole cell lysate

Predicted band size: 59 kDa

false

Key facts

Host species

Rabbit

Clonality

Polyclonal

Isotype

IgG

Carrier free

No

Reacts with

Human

Applications

IHC-P, WB

applications

Immunogen

Recombinant Fragment Protein within Human ADA2 aa 350 to C-terminus. The exact immunogen used to generate this antibody is proprietary information.

Q9NZK5

Reactivity data

{ "title": "Reactivity Data", "filters": { "stats": ["", "Species", "Dilution Info", "Notes"], "tabs": { "all-applications": {"fullname" : "All Applications", "shortname": "All Applications"}, "IHCP" : {"fullname" : "Immunohistochemistry (Formalin/PFA-fixed paraffin-embedded sections)", "shortname":"IHC-P"}, "WB" : {"fullname" : "Western blot", "shortname":"WB"} }, "product-promise": { "all": "all", "testedAndGuaranteed": "tested", "guaranteed": "expected", "predicted": "predicted", "notRecommended": "not-recommended" } }, "values": { "Human": { "IHCP-species-checked": "testedAndGuaranteed", "IHCP-species-dilution-info": "1/50 - 1/200", "IHCP-species-notes": "<p></p> Perform heat-mediated antigen retrieval with citrate buffer pH 6 before commencing with IHC staining protocol.", "WB-species-checked": "testedAndGuaranteed", "WB-species-dilution-info": "0.04-0.4 µg/mL", "WB-species-notes": "<p></p>" } } }

Properties and storage information

Form
Liquid
Purification technique
Affinity purification Immunogen
Storage buffer
pH: 7.2 Preservative: 0.02% Sodium azide Constituents: PBS, 40% Glycerol (glycerin, glycerine)
Shipped at conditions
Blue Ice
Appropriate short-term storage duration
1-2 weeks
Appropriate short-term storage conditions
+4°C
Appropriate long-term storage conditions
-20°C
Aliquoting information
Upon delivery aliquot
Storage information
Avoid freeze / thaw cycle

Supplementary information

This supplementary information is collated from multiple sources and compiled automatically.

The protein CECR1 also known as adenosine deaminase 2 (ADA2) plays a role in the conversion of adenosine to inosine. It has a molecular weight of about 57 kDa. CECR1 shows expression in various tissues including the liver spleen and blood cells particularly in the bone marrow. It is an important protein for vascular integrity and immune regulation.
Biological function summary

Adenosine deaminase 2 contributes to the development and maintenance of blood vessels. CECR1 belongs to the adenosine deaminase family and it is involved in modulating extracellular adenosine levels. It affects angiogenesis which is the process of new blood vessel formation. This protein exists as part of a larger molecular complex that interacts with other enzymes and structural proteins to influence cellular responses to inflammation and damage.

Pathways

Several important biological activities involve CECR1 including the innate immune response and the regulation of inflammatory pathways. In the adenosine signaling pathway CECR1 partners with proteins like CD39 and CD73 to regulate purinergic signaling and immune cell activity. This regulation contributes to controlling inflammation and tissue repair processes highlighting its role in maintaining homeostasis within these pathways.

Malfunction or deficiency of CECR1 links to conditions such as systemic vasculitis and early-onset stroke. CECR1 mutations can lead to adenosine deaminase 2 deficiency (DADA2) a genetic disorder causing vascular and immune dysfunction. This disorder often associates with altered levels of pro-inflammatory cytokines and aberrations in related proteins like TNF-alpha underpinning the pathological outcomes observed in affected individuals.

Product protocols

For this product, it's our understanding that no specific protocols are required. You can visit:

Target data

Adenosine deaminase that may contribute to the degradation of extracellular adenosine, a signaling molecule that controls a variety of cellular responses. Requires elevated adenosine levels for optimal enzyme activity. Binds to cell surfaces via proteoglycans and may play a role in the regulation of cell proliferation and differentiation, independently of its enzyme activity.
See full target information ADA2

Publications (1)

Recent publications for all applications. Explore the full list and refine your search

International journal of molecular sciences 24: PubMed36613882

2022

Ladinin 1 Shortens Survival via Promoting Proliferation and Enhancing Invasiveness in Lung Adenocarcinoma.

Applications

Unspecified application

Species

Unspecified reactive species

Chao-Yuan Chang,Yung-Chi Huang,Hung-Hsing Chiang,Yu-Yuan Wu,Kuan-Li Wu,Yung-Yun Chang,Lian-Xiu Liu,Ying-Ming Tsai,Ya-Ling Hsu
View all publications

Product promise

We are committed to supporting your work with high-quality reagents, and we're here for you every step of the way. In the unlikely event that one of our products does not perform as expected, you're protected by our Product Promise.
For full details, please see our Terms & Conditions

Please note: All products are 'FOR RESEARCH USE ONLY. NOT FOR USE IN DIAGNOSTIC OR THERAPEUTIC PROCEDURES'.

For licensing inquiries, please contact partnerships@abcam.com