JavaScript is disabled in your browser. Please enable JavaScript to view this website.
AB227943

Anti-CEECAM1 antibody

Be the first to review this product! Submit a review

|

(1 Publication)

Rabbit Polyclonal CEECAM1 antibody. Suitable for WB, IHC-P and reacts with Mouse, Rat, Human samples. Cited in 1 publication. Immunogen corresponding to Recombinant Fragment Protein within Human CERCAM.

View Alternative Names

CEECAM1, GLT25D3, KIAA1502, CERCAM, Inactive glycosyltransferase 25 family member 3, Cerebral endothelial cell adhesion molecule

4 Images
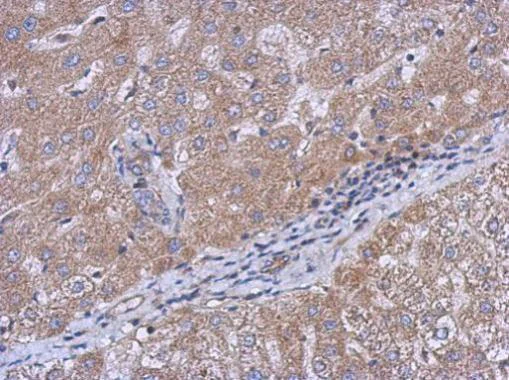
Immunohistochemistry (Formalin/PFA-fixed paraffin-embedded sections) - Anti-CEECAM1 antibody (AB227943)
  • IHC-P

Supplier Data

Immunohistochemistry (Formalin/PFA-fixed paraffin-embedded sections) - Anti-CEECAM1 antibody (AB227943)

Paraffin-embedded human hepatoma tissue stained for CEECAM1 using ab227943 at 1/500 dilution in immunohistochemical analysis.

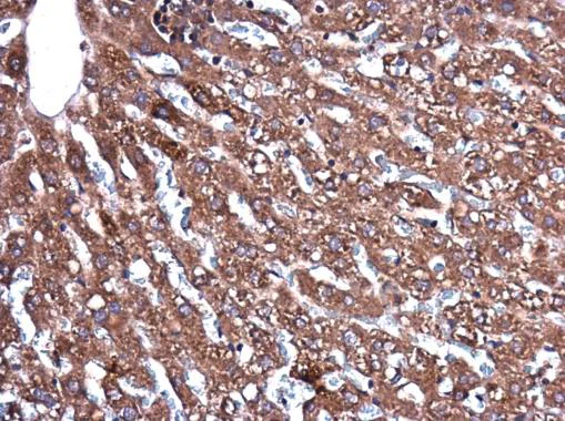
Immunohistochemistry (Formalin/PFA-fixed paraffin-embedded sections) - Anti-CEECAM1 antibody (AB227943)
  • IHC-P

Supplier Data

Immunohistochemistry (Formalin/PFA-fixed paraffin-embedded sections) - Anti-CEECAM1 antibody (AB227943)

Paraffin-embedded rat liver tissue stained for CEECAM1 using ab227943 at 1/500 dilution in immunohistochemical analysis.

Western blot - Anti-CEECAM1 antibody (AB227943)
  • WB

Supplier Data

Western blot - Anti-CEECAM1 antibody (AB227943)

7.5% SDS-PAGE gel.

All lanes:

Western blot - Anti-CEECAM1 antibody (ab227943) at 1/500 dilution

Lane 1:

GL261 whole cell lysate at 30 µg

Lane 2:

C8D30 whole cell lysate at 30 µg

Lane 3:

NIH/3T3 (mouse embryonic fibroblast cell line) whole cell lysate at 30 µg

Predicted band size: 68 kDa

false

Western blot - Anti-CEECAM1 antibody (AB227943)
  • WB

Supplier Data

Western blot - Anti-CEECAM1 antibody (AB227943)

7.5% SDS-PAGE gel.

All lanes:

Western blot - Anti-CEECAM1 antibody (ab227943) at 1/500 dilution

All lanes:

Mouse brain lysate at 50 µg

Predicted band size: 68 kDa

false

Key facts

Host species

Rabbit

Clonality

Polyclonal

Isotype

IgG

Carrier free

No

Reacts with

Mouse, Rat, Human

Applications

WB, IHC-P

applications

Immunogen

Recombinant Fragment Protein within Human CERCAM. The exact immunogen used to generate this antibody is proprietary information.

Q5T4B2

Reactivity data

{ "title": "Reactivity Data", "filters": { "stats": ["", "Species", "Dilution Info", "Notes"], "tabs": { "all-applications": {"fullname" : "All Applications", "shortname": "All Applications"}, "WB" : {"fullname" : "Western blot", "shortname":"WB"}, "IHCP" : {"fullname" : "Immunohistochemistry (Formalin/PFA-fixed paraffin-embedded sections)", "shortname":"IHC-P"} }, "product-promise": { "all": "all", "testedAndGuaranteed": "tested", "guaranteed": "expected", "predicted": "predicted", "notRecommended": "not-recommended" } }, "values": { "Human": { "WB-species-checked": "guaranteed", "WB-species-dilution-info": "", "WB-species-notes": "", "IHCP-species-checked": "testedAndGuaranteed", "IHCP-species-dilution-info": "1/100 - 1/1000", "IHCP-species-notes": "<p></p>" }, "Mouse": { "WB-species-checked": "testedAndGuaranteed", "WB-species-dilution-info": "1/500 - 1/3000", "WB-species-notes": "<p></p>", "IHCP-species-checked": "guaranteed", "IHCP-species-dilution-info": "", "IHCP-species-notes": "" }, "Rat": { "WB-species-checked": "guaranteed", "WB-species-dilution-info": "", "WB-species-notes": "", "IHCP-species-checked": "testedAndGuaranteed", "IHCP-species-dilution-info": "1/100 - 1/1000", "IHCP-species-notes": "<p></p>" }, "Cow": { "WB-species-checked": "predicted", "WB-species-dilution-info": "", "WB-species-notes": "", "IHCP-species-checked": "predicted", "IHCP-species-dilution-info": "", "IHCP-species-notes": "" } } }

Properties and storage information

Form
Liquid
Purification technique
Affinity purification Immunogen
Storage buffer
pH: 7 Preservative: 0.01% Thimerosal (merthiolate) Constituents: 20% Glycerol (glycerin, glycerine), 1.21% Tris, 0.75% Glycine
Shipped at conditions
Blue Ice
Appropriate short-term storage duration
1-2 weeks
Appropriate short-term storage conditions
+4°C
Appropriate long-term storage conditions
-20°C
Aliquoting information
Upon delivery aliquot
Storage information
Avoid freeze / thaw cycle

Supplementary information

This supplementary information is collated from multiple sources and compiled automatically.

CEECAM1 also known as Carcinoembryonic Antigen-Related Cell Adhesion Molecule 1 has a molecular mass of approximately 37-45 kDa. This glycoprotein belongs to the immunoglobulin superfamily and facilitates cell adhesion processes. CEECAM1 is mainly expressed in epithelial cells of several tissues including the gastrointestinal tract liver and lungs. It plays roles in cellular adhesion and signaling which are important for maintaining structural integrity and communication between cells.
Biological function summary

CEECAM1 participates in modulating immune responses and cellular proliferation. This protein interacts with other molecules at the cell surface to form complexes that influence cell signaling pathways. CEECAM1's involvement in processes such as cell adhesion and migration makes it significant in tissue architecture and homeostasis. Through these functions CEECAM1 has an influence on both normal physiological processes and pathological conditions.

Pathways

CEECAM1 is actively involved in the MAPK and PI3K/AKT signaling pathways. These pathways are critical for transmitting signals related to growth survival and differentiation of cells. In the MAPK pathway CEECAM1 interacts with proteins like ERK which regulates various cellular activities. Within the PI3K/AKT pathway CEECAM1 can influence activity impacting cell cycle progression and apoptosis. Its interactions within these pathways link CEECAM1 to a broader network of cellular functions.

CEECAM1 has associations with cancer progression and inflammatory diseases. In various cancers such as colorectal cancer CEECAM1 expression levels can change influencing tumor progression and metastasis. It often interacts with proteins like CEA (Carcinoembryonic Antigen) which is involved in tumorigenesis. In inflammatory diseases CEECAM1's role in modulating immune responses can alter inflammatory pathways affecting tissue damage and repair mechanisms. Understanding CEECAM1's role in these diseases continues to be an area of active research.

Product protocols

For this product, it's our understanding that no specific protocols are required. You can visit:

Target data

Probable cell adhesion protein involved in leukocyte transmigration across the blood-brain barrier. Does not express any beta-galactosyltransferase activity in vitro.
See full target information CERCAM

Publications (1)

Recent publications for all applications. Explore the full list and refine your search

Epigenetics 15:1348-1360 PubMed32594836

2020

Relationship between redox potential of glutathione and DNA methylation level in liver of newborn guinea pigs.

Applications

Unspecified application

Species

Unspecified reactive species

Angela Mungala Lengo,Clémence Guiraut,Ibrahim Mohamed,Jean-Claude Lavoie
View all publications

Product promise

We are committed to supporting your work with high-quality reagents, and we're here for you every step of the way. In the unlikely event that one of our products does not perform as expected, you're protected by our Product Promise.
For full details, please see our Terms & Conditions

Please note: All products are 'FOR RESEARCH USE ONLY. NOT FOR USE IN DIAGNOSTIC OR THERAPEUTIC PROCEDURES'.

For licensing inquiries, please contact partnerships@abcam.com