JavaScript is disabled in your browser. Please enable JavaScript to view this website.
AB249746

Anti-CELF-6 antibody [EPR10155] - BSA and Azide free

Be the first to review this product! Submit a review

|

(0 Publication)

Rabbit Recombinant Monoclonal CELF-6 antibody. Carrier free. Suitable for IHC-P, WB, Flow Cyt (Intra) and reacts with Human samples.

View Alternative Names

BRUNOL6, CELF6, CUGBP Elav-like family member 6, CELF-6, Bruno-like protein 6, CUG-BP- and ETR-3-like factor 6, RNA-binding protein BRUNOL-6

3 Images
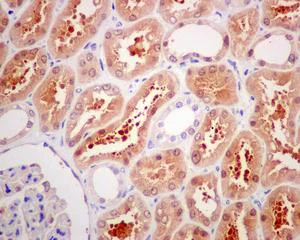
Immunohistochemistry (Formalin/PFA-fixed paraffin-embedded sections) - Anti-CELF-6 antibody [EPR10155] - BSA and Azide free (AB249746)
  • IHC-P

Supplier Data

Immunohistochemistry (Formalin/PFA-fixed paraffin-embedded sections) - Anti-CELF-6 antibody [EPR10155] - BSA and Azide free (AB249746)

This data was developed using ab173282, the same antibody clone in a different buffer formulation.

Immunohistochemical analysis of formalin-fixed, paraffin-embedded Human kidney tissue, labeling CELF-6 using ab173282 at a 1/50 dilution.

Perform heat mediated antigen retrieval with citrate buffer pH 6 before commencing with IHC staining protocol.

Flow Cytometry (Intracellular) - Anti-CELF-6 antibody [EPR10155] - BSA and Azide free (AB249746)
  • Flow Cyt (Intra)

Supplier Data

Flow Cytometry (Intracellular) - Anti-CELF-6 antibody [EPR10155] - BSA and Azide free (AB249746)

This data was developed using ab173282, the same antibody clone in a different buffer formulation.

Intracellular Flow Cytometry analysis of permeabilized 293T cells labeling CELF-6 (red), using ab173282 at a 1/10 dilution, or negative control rabbit IgG (green)

Western blot - Anti-CELF-6 antibody [EPR10155] - BSA and Azide free (AB249746)
  • WB

Supplier Data

Western blot - Anti-CELF-6 antibody [EPR10155] - BSA and Azide free (AB249746)

This data was developed using ab173282, the same antibody clone in a different buffer formulation.

All lanes:

Western blot - Anti-CELF-6 antibody [EPR10155] (<a href='/en-us/products/primary-antibodies/celf-6-antibody-epr10155-ab173282'>ab173282</a>) at 1/1000 dilution

Lane 1:

Human fetal kidney lysate at 10 µg

Lane 2:

Human fetal brain lysate at 10 µg

Lane 3:

HepG2 cell lysate at 10 µg

Lane 4:

293T cell lysate at 10 µg

Secondary

All lanes:

Goat anti-rabbit HRP at 1/2000 dilution

Predicted band size: 50 kDa

true

Key facts

Host species

Rabbit

Clonality

Monoclonal

Clone number

EPR10155

Isotype

IgG

Carrier free

Yes

Reacts with

Human

Applications

IHC-P, Flow Cyt (Intra), WB

applications

Immunogen

The exact immunogen used to generate this antibody is proprietary information.

Reactivity data

{ "title": "Reactivity Data", "filters": { "stats": ["", "Species", "Dilution Info", "Notes"], "tabs": { "all-applications": {"fullname" : "All Applications", "shortname": "All Applications"}, "IHCP" : {"fullname" : "Immunohistochemistry (Formalin/PFA-fixed paraffin-embedded sections)", "shortname":"IHC-P"}, "IP" : {"fullname" : "Immunoprecipitation", "shortname":"IP"}, "WB" : {"fullname" : "Western blot", "shortname":"WB"}, "ICCIF" : {"fullname" : "Immunocytochemistry/ Immunofluorescence", "shortname":"ICC/IF"}, "FlowCytIntra" : {"fullname" : "Flow Cytometry (Intracellular)", "shortname":"Flow Cyt (Intra)"} }, "product-promise": { "all": "all", "testedAndGuaranteed": "tested", "guaranteed": "expected", "predicted": "predicted", "notRecommended": "not-recommended" } }, "values": { "Human": { "IHCP-species-checked": "testedAndGuaranteed", "IHCP-species-dilution-info": "", "IHCP-species-notes": "<p>Use of a HRP/AP polymerized secondary antibody is recommended.</p>", "IP-species-checked": "notRecommended", "IP-species-dilution-info": "", "IP-species-notes": "<p></p>", "WB-species-checked": "testedAndGuaranteed", "WB-species-dilution-info": "", "WB-species-notes": "<p></p>", "ICCIF-species-checked": "notRecommended", "ICCIF-species-dilution-info": "", "ICCIF-species-notes": "<p></p>", "FlowCytIntra-species-checked": "testedAndGuaranteed", "FlowCytIntra-species-dilution-info": "", "FlowCytIntra-species-notes": "<p></p>" }, "Mouse": { "IHCP-species-checked": "predicted", "IHCP-species-dilution-info": "", "IHCP-species-notes": "", "IP-species-checked": "notRecommended", "IP-species-dilution-info": "", "IP-species-notes": "", "WB-species-checked": "predicted", "WB-species-dilution-info": "", "WB-species-notes": "", "ICCIF-species-checked": "notRecommended", "ICCIF-species-dilution-info": "", "ICCIF-species-notes": "", "FlowCytIntra-species-checked": "predicted", "FlowCytIntra-species-dilution-info": "", "FlowCytIntra-species-notes": "" }, "Rat": { "IHCP-species-checked": "predicted", "IHCP-species-dilution-info": "", "IHCP-species-notes": "", "IP-species-checked": "notRecommended", "IP-species-dilution-info": "", "IP-species-notes": "", "WB-species-checked": "predicted", "WB-species-dilution-info": "", "WB-species-notes": "", "ICCIF-species-checked": "notRecommended", "ICCIF-species-dilution-info": "", "ICCIF-species-notes": "", "FlowCytIntra-species-checked": "predicted", "FlowCytIntra-species-dilution-info": "", "FlowCytIntra-species-notes": "" } } }

Product details

ab249746 is the carrier-free version of ab173282.

Patented technology
Our RabMAb® technology is a patented hybridoma-based technology for making rabbit monoclonal antibodies. For details on our patents, please refer to RabMAb® patents.

What are the advantages of a recombinant monoclonal antibody?
This product is a recombinant monoclonal antibody, which offers several advantages including:

  • - High batch-to-batch consistency and reproducibility
  • - Improved sensitivity and specificity
  • - Long-term security of supply
  • - Animal-free batch production

For more information, read more on recombinant antibodies.

Conjugation ready
Our carrier-free antibodies are typically supplied in a PBS-only formulation, purified and free of BSA, sodium azide and glycerol. This conjugation-ready format is designed for use with fluorochromes, metal isotopes, oligonucleotides, and enzymes, which makes them ideal for antibody labelling, functional and cell-based assays, flow-based assays (e.g. mass cytometry) and Multiplex Imaging applications.

Use our conjugation kits for antibody conjugates that are ready-to-use in as little as 20 minutes with 1 minute hands-on-time and 100% antibody recovery: available for fluorescent dyes, HRP, biotin and gold.

Compatibility
This product is compatible with the Maxpar® Antibody Labeling Kit from Fluidigm, without the need for antibody preparation. Maxpar® is a trademark of Fluidigm Canada Inc.

Properties and storage information

Form
Liquid
Purification technique
Affinity purification Protein A
Storage buffer
pH: 7.2 - 7.4 Constituents: PBS
Shipped at conditions
Blue Ice
Appropriate short-term storage conditions
+4°C
Appropriate long-term storage conditions
+4°C
Storage information
Do Not Freeze

Supplementary information

This supplementary information is collated from multiple sources and compiled automatically.

CELF-6 also known as CUGBP Elav-like family member 6 is a protein with a mass of approximately 55 kDa. This protein is part of the CELF family which includes members like CELF-5. CELF-6 is mainly expressed in the brain and plays roles involving post-transcriptional regulation of gene expression. It functions through binding RNA elements specifically regulating alternative splicing mRNA editing and translation. This protein significantly impacts RNA processing events helping maintain proper cellular function.
Biological function summary

CELF-6 participates in controlling neuronal cell differentiation and function. It acts as a dynamic RNA-binding protein that can form part of larger ribonucleoprotein complexes influencing the fate of specific mRNAs. Through regulation of mRNA splicing and stability CELF-6 ensures that neurons develop and function properly. Studies have noted its substantial role in brain development where it affects the expression of genes essential for neuronal pathways.

Pathways

CELF-6 influences post-transcriptional gene expression in neural tissues. CELF-6 is significantly involved in the MBNL1-mediated alternative splicing pathway and is known to modulate splicing activities. Its role overlaps with proteins like CELF which also participate in splicing and RNA processing regulation. The interactions between CELF proteins within these pathways highlight complex regulatory networks essential for proper RNA metabolism and neural function.

CELF-6 has been linked to neurodevelopmental disorders specifically autism spectrum disorder (ASD). Abnormal expression or function of CELF-6 can lead to disrupted neural gene expression linked to ASD. Comparisons with other CELF proteins especially CELF-1 underline their collective influence on neural health. Furthermore CELF-6 alterations have been associated with epilepsy suggesting its critical role in neural excitability and signaling. Studies continue to explore the extent to which CELF-6 and its interactions contribute to the pathophysiology of such disorders.

Product protocols

For this product, it's our understanding that no specific protocols are required. You can visit:

Target data

RNA-binding protein implicated in the regulation of pre-mRNA alternative splicing. Mediates exon inclusion and/or exclusion in pre-mRNA that are subject to tissue-specific and developmentally regulated alternative splicing. Specifically activates exon 5 inclusion of TNNT2 in a muscle-specific splicing enhancer (MSE)-dependent manner. Promotes also exon exclusion of INSR pre-mRNA.
See full target information CELF6

Product promise

We are committed to supporting your work with high-quality reagents, and we're here for you every step of the way. In the unlikely event that one of our products does not perform as expected, you're protected by our Product Promise.
For full details, please see our Terms & Conditions

Please note: All products are 'FOR RESEARCH USE ONLY. NOT FOR USE IN DIAGNOSTIC OR THERAPEUTIC PROCEDURES'.

For licensing inquiries, please contact partnerships@abcam.com