JavaScript is disabled in your browser. Please enable JavaScript to view this website.
AB283312

Anti-Cellubrevin antibody [EPR25065-16]

  • BOND RX™ Validated
  • 20ul selling size
  • RabMAb
  • Recombinant
  • What is this?

Be the first to review this product! Submit a review

|

(1 Publication)

Rabbit Recombinant Monoclonal Cellubrevin antibody. Suitable for ICC/IF, IP, WB, Flow Cyt (Intra), IHC-P and reacts with Mouse, Rat samples. Cited in 1 publication.

View Alternative Names

Syb3, Vamp3, Vesicle-associated membrane protein 3, VAMP-3, Cellubrevin, Synaptobrevin-3, CEB

11 Images
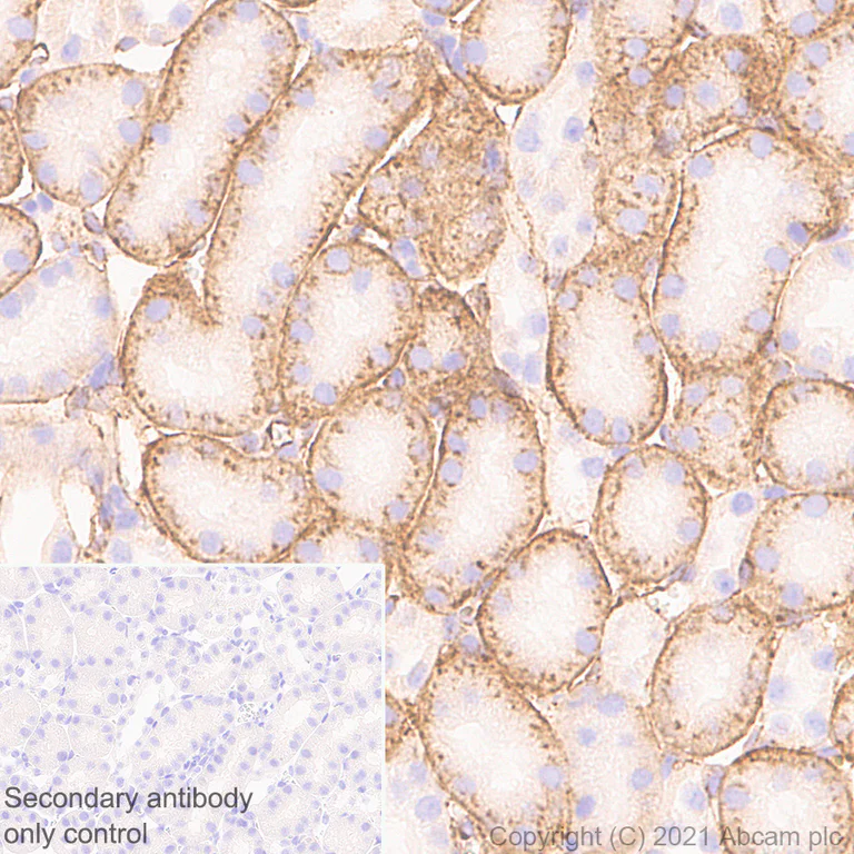
Immunohistochemistry (Formalin/PFA-fixed paraffin-embedded sections) - Anti-Cellubrevin antibody [EPR25065-16] (AB283312)
  • IHC-P

Supplier Data

Immunohistochemistry (Formalin/PFA-fixed paraffin-embedded sections) - Anti-Cellubrevin antibody [EPR25065-16] (AB283312)

Immunohistochemical analysis of paraffin-embedded Mouse kidney tissue labelling Cellubrevin with ab283312 at 1/2000 (0.287 ug/ml) followed by a ready to use LeicaDS9800 (Bond™ Polymer Refine Detection). Positive staining in mouse kidney. The section was incubated with ab283312 for 30 mins at room temperature. The immunostaining was performed on a Leica Biosystems BOND® RX instrument Counterstained with Hematoxylin.

Secondary antibody only control : Secondary antibody is a ready to use LeicaDS9800 (Bond™ Polymer Refine Detection).

Heat mediated antigen retrieval with Tris-EDTA buffer (pH 9.0, epitope retrieval solution2) for 20 mins.

Flow Cytometry (Intracellular) - Anti-Cellubrevin antibody [EPR25065-16] (AB283312)
  • Flow Cyt (Intra)

Supplier Data

Flow Cytometry (Intracellular) - Anti-Cellubrevin antibody [EPR25065-16] (AB283312)

Flow cytometric analysis of 4% paraformaldehyde fixed 90% methanol permeabilized NIH/3T3 (Mouse embryonic fibroblast) cells labelling Cellubrevin with ab283312 at 1/500 dilution (0.1ug) (Red) compared with a Rabbit monoclonal IgG (ab172730) (Black) isotype control and an unlabelled control (cells without incubation with primary antibody and secondary antibody) (Blue). A Goat F(ab')2 Anti-Rabbit IgG (DyLight® 488, ab98507) at 1/500 dilution was used as the secondary antibody.

Immunocytochemistry/ Immunofluorescence - Anti-Cellubrevin antibody [EPR25065-16] (AB283312)
  • ICC/IF

Supplier Data

Immunocytochemistry/ Immunofluorescence - Anti-Cellubrevin antibody [EPR25065-16] (AB283312)

Immunofluorescent analysis of 4% Paraformaldehyde-fixed, 0.1% TritonX-100 permeabilized Neuro-2a cells labelling Cellubrevin with ab283312 at 1/500 (11.46 ug/ml) dilution, followed by ab150081 Goat Anti-Rabbit IgG H&L (Alexa Fluor® 488) preadsorbed antibody at 1/1000 (2 ug/ml) dilution (Green). Confocal image showing cytoplasmic staining in Neuro-2a cell line. ab195889 Anti-alpha Tubulin mouse monoclonal antibody - Microtubule Marker (Alexa Fluor® 594) was used to counterstain tubulin at 1/200 (2.5 ug/ml) dilution (Red). The Nuclear counterstain was DAPI (Blue).

Secondary antibody only control : Secondary antibody is ab150081 Goat Anti-Rabbit IgG H&L (Alexa Fluor® 488) preadsorbed at 1/1000 (2 ug/ml) dilution.

Immunohistochemistry (Formalin/PFA-fixed paraffin-embedded sections) - Anti-Cellubrevin antibody [EPR25065-16] (AB283312)
  • IHC-P

Supplier Data

Immunohistochemistry (Formalin/PFA-fixed paraffin-embedded sections) - Anti-Cellubrevin antibody [EPR25065-16] (AB283312)

Immunohistochemical analysis of paraffin-embedded Mouse testis tissue labelling Cellubrevin with ab283312 at 1/2000 (0.287 ug/ml) followed by a ready to use LeicaDS9800 (Bond™ Polymer Refine Detection). Positive staining in mouse testis. The section was incubated with ab283312 for 30 mins at room temperature. The immunostaining was performed on a Leica Biosystems BOND® RX instrument Counterstained with Hematoxylin.

Secondary antibody only control : Secondary antibody is a ready to use LeicaDS9800 (Bond™ Polymer Refine Detection).

Heat mediated antigen retrieval with Tris-EDTA buffer (pH 9.0, epitope retrieval solution2) for 20 mins.

Flow Cytometry (Intracellular) - Anti-Cellubrevin antibody [EPR25065-16] (AB283312)
  • Flow Cyt (Intra)

Supplier Data

Flow Cytometry (Intracellular) - Anti-Cellubrevin antibody [EPR25065-16] (AB283312)

Flow cytometric analysis of 4% paraformaldehyde fixed 90% methanol permeabilized PC-12 (Rat adrenal gland pheochromocytoma) cells labelling Cellubrevin with ab283312 at 1/500 dilution (0.1ug) (Red) compared with a Rabbit monoclonal IgG (ab172730) (Black) isotype control and an unlabelled control (cells without incubation with primary antibody and secondary antibody) (Blue). A Goat F(ab')2 Anti-Rabbit IgG (DyLight® 488, ab98507) at 1/500 dilution was used as the secondary antibody.

Immunohistochemistry (Formalin/PFA-fixed paraffin-embedded sections) - Anti-Cellubrevin antibody [EPR25065-16] (AB283312)
  • IHC-P

Supplier Data

Immunohistochemistry (Formalin/PFA-fixed paraffin-embedded sections) - Anti-Cellubrevin antibody [EPR25065-16] (AB283312)

Immunohistochemical analysis of paraffin-embedded Rat testis tissue labelling Cellubrevin with ab283312 at 1/5000 (0.1146 ug/ml) followed by a ready to use LeicaDS9800 (Bond™ Polymer Refine Detection). Cytoplasmic staining in rat testis. The section was incubated with ab283312 for 30 mins at room temperature. The immunostaining was performed on a Leica Biosystems BOND® RX instrument Counterstained with Hematoxylin.

Secondary antibody only control : Secondary antibody is a ready to use LeicaDS9800 (Bond™ Polymer Refine Detection).

Heat mediated antigen retrieval with Tris-EDTA buffer (pH 9.0, epitope retrieval solution2) for 20 mins.

Immunoprecipitation - Anti-Cellubrevin antibody [EPR25065-16] (AB283312)
  • IP

Supplier Data

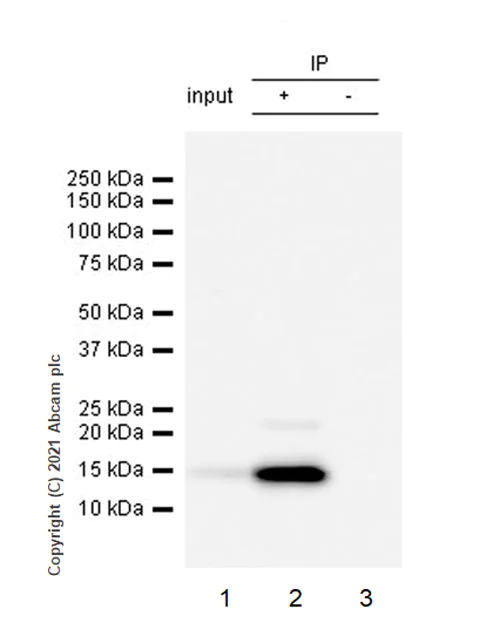
Immunoprecipitation - Anti-Cellubrevin antibody [EPR25065-16] (AB283312)

Cellubrevin was immunoprecipitated from 0.35 mg Rat testis tissue lysate 10ug with ab283312 at 1/30 dilution (2ug in 0.35mg lysates). Western blot was performed on the immunoprecipitate using ab283312 at 1/1000 dilution. VeriBlot for IP secondary antibody(HRP)(ab131366) was used at 1/5000 dilution.

Lane 1 : Rat testis tissue lysate 10ug

Lane 2 : ab283312 IP in Rat testis tissue lysate

Lane 3 : Rabbit monoclonal IgG (ab172730) instead of ab283312 in rat testis tissue lysate

Blocking and dilution buffer and concentration : 5% NFDM/TBST.

Exposure time : 3 seconds.

All lanes:

Immunoprecipitation - Anti-Cellubrevin antibody [EPR25065-16] (ab283312)

Predicted band size: 11 kDa

Observed band size: 15 kDa

false

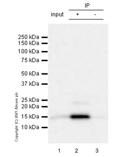
Immunoprecipitation - Anti-Cellubrevin antibody [EPR25065-16] (AB283312)
  • IP

Supplier Data

Immunoprecipitation - Anti-Cellubrevin antibody [EPR25065-16] (AB283312)

Cellubrevin was immunoprecipitated from 0.35 mg Mouse testis tissue lysate 10ug with ab283312 at 1/30 dilution (2ug in 0.35mg lysates). Western blot was performed on the immunoprecipitate using ab283312 at 1/1000 dilution. VeriBlot for IP secondary antibody(HRP)(ab131366) was used at 1/5000 dilution.

Lane 1 : Mouse testis tissue lysate 10ug

Lane 2 : ab283312 IP in Mouse testis tissue lysate

Lane 3 : Rabbit monoclonal IgG (ab172730) instead of ab283312 in mouse testis tissue lysate

Blocking and dilution buffer and concentration : 5% NFDM/TBST.

Exposure time : 5 seconds.

All lanes:

Immunoprecipitation - Anti-Cellubrevin antibody [EPR25065-16] (ab283312)

Predicted band size: 11 kDa

Observed band size: 15 kDa

false

Western blot - Anti-Cellubrevin antibody [EPR25065-16] (AB283312)
  • WB

Lab

Western blot - Anti-Cellubrevin antibody [EPR25065-16] (AB283312)

Blocking and diluting buffer and concentration : 5% NFDM/TBST

The blot of lane 1 & 2 was developed using a higher sensitivity ECL substrate.

Exposure time : Lane 1&2 : 3 minutes;

Lane 3 : 103 seconds.

All lanes:

Western blot - Anti-Cellubrevin antibody [EPR25065-16] (ab283312) at 1/1000 dilution

Lane 1:

NIH/3T3 (mouse embryonic fibroblast) whole cell lysate at 20 µg

Lane 2:

Neuro-2a (mouse neuroblastoma neuroblast) whole cell lysate at 20 µg

Lane 3:

4T1 (mouse mammary gland carcinoma epithelial cell) whole cell lysate at 20 µg

Secondary

All lanes:

Goat Anti-Rabbit IgG, (H+L), Peroxidase conjugated (<a href='/en-us/products/secondary-antibodies/goat-rabbit-igg-h-l-hrp-ab97051'>ab97051</a>) at 1/100000 dilution

Predicted band size: 11 kDa

Observed band size: 15 kDa

false

Western blot - Anti-Cellubrevin antibody [EPR25065-16] (AB283312)
  • WB

Lab

Western blot - Anti-Cellubrevin antibody [EPR25065-16] (AB283312)

Blocking and diluting buffer and concentration : 5% NFDM/TBSTLow expression : rat liver (PMID : 8332193)

Exposure time : 103 seconds

All lanes:

Western blot - Anti-Cellubrevin antibody [EPR25065-16] (ab283312) at 1/1000 dilution

Lane 1:

Rat testis tissue lysate at 20 µg

Lane 2:

Rat liver tissue lysate at 40 µg

Lane 3:

Rat skeletal muscle tissue lysate at 20 µg

Lane 4:

PC-12 (rat adrenal gland pheochromocytoma), whole cell lysate at 20 µg

Secondary

All lanes:

Goat Anti-Rabbit IgG, (H+L), Peroxidase conjugated (<a href='/en-us/products/secondary-antibodies/goat-rabbit-igg-h-l-hrp-ab97051'>ab97051</a>) at 1/100000 dilution

Predicted band size: 11 kDa

Observed band size: 15 kDa

false

Western blot - Anti-Cellubrevin antibody [EPR25065-16] (AB283312)
  • WB

Lab

Western blot - Anti-Cellubrevin antibody [EPR25065-16] (AB283312)

Blocking and diluting buffer and concentration : 5% NFDM/TBST

The expression profile observed is consistent with what has been described in the literature (PMID : 8332193)

Exposure time : 103 seconds.

All lanes:

Western blot - Anti-Cellubrevin antibody [EPR25065-16] (ab283312) at 1/1000 dilution

Lane 1:

Mouse testis tissue lysate at 20 µg

Lane 2:

Mouse liver tissue lysate at 40 µg

Lane 3:

Mouse skeletal muscle tissue lysate at 20 µg

Secondary

All lanes:

Goat Anti-Rabbit IgG, (H+L), Peroxidase conjugated (<a href='/en-us/products/secondary-antibodies/goat-rabbit-igg-h-l-hrp-ab97051'>ab97051</a>) at 1/100000 dilution

Predicted band size: 11 kDa

Observed band size: 15 kDa

false

  • Carrier free

    Anti-Cellubrevin antibody [EPR25065-16] - BSA and Azide free

Key facts

Host species

Rabbit

Clonality

Monoclonal

Clone number

EPR25065-16

Isotype

IgG

Carrier free

No

Reacts with

Rat, Mouse

Applications

ICC/IF, IP, WB, IHC-P, Flow Cyt (Intra)

applications

Immunogen

The exact immunogen used to generate this antibody is proprietary information.

Reactivity data

{ "title": "Reactivity Data", "filters": { "stats": ["", "Species", "Dilution Info", "Notes"], "tabs": { "all-applications": {"fullname" : "All Applications", "shortname": "All Applications"}, "ICCIF" : {"fullname" : "Immunocytochemistry/ Immunofluorescence", "shortname":"ICC/IF"}, "IP" : {"fullname" : "Immunoprecipitation", "shortname":"IP"}, "WB" : {"fullname" : "Western blot", "shortname":"WB"}, "IHCFr" : {"fullname" : "Immunohistochemistry (Frozen sections)", "shortname":"IHC-Fr"}, "FlowCytIntra" : {"fullname" : "Flow Cytometry (Intracellular)", "shortname":"Flow Cyt (Intra)"}, "IHCP" : {"fullname" : "Immunohistochemistry (Formalin/PFA-fixed paraffin-embedded sections)", "shortname":"IHC-P"} }, "product-promise": { "all": "all", "testedAndGuaranteed": "tested", "guaranteed": "expected", "predicted": "predicted", "notRecommended": "not-recommended" } }, "values": { "Human": { "ICCIF-species-checked": "notRecommended", "ICCIF-species-dilution-info": "", "ICCIF-species-notes": "", "IP-species-checked": "notRecommended", "IP-species-dilution-info": "", "IP-species-notes": "", "WB-species-checked": "notRecommended", "WB-species-dilution-info": "1/1000", "WB-species-notes": "<p></p>", "IHCFr-species-checked": "notRecommended", "IHCFr-species-dilution-info": "", "IHCFr-species-notes": "", "FlowCytIntra-species-checked": "notRecommended", "FlowCytIntra-species-dilution-info": "", "FlowCytIntra-species-notes": "", "IHCP-species-checked": "notRecommended", "IHCP-species-dilution-info": "1/2000", "IHCP-species-notes": "<p></p>" }, "Mouse": { "ICCIF-species-checked": "testedAndGuaranteed", "ICCIF-species-dilution-info": "1/500", "ICCIF-species-notes": "<p></p>", "IP-species-checked": "testedAndGuaranteed", "IP-species-dilution-info": "1/30", "IP-species-notes": "<p></p>", "WB-species-checked": "testedAndGuaranteed", "WB-species-dilution-info": "1/1000", "WB-species-notes": "<p></p>", "IHCFr-species-checked": "notRecommended", "IHCFr-species-dilution-info": "", "IHCFr-species-notes": "<p></p>", "FlowCytIntra-species-checked": "testedAndGuaranteed", "FlowCytIntra-species-dilution-info": "1/500", "FlowCytIntra-species-notes": "<p></p>", "IHCP-species-checked": "testedAndGuaranteed", "IHCP-species-dilution-info": "1/2000", "IHCP-species-notes": "<p></p>" }, "Rat": { "ICCIF-species-checked": "guaranteed", "ICCIF-species-dilution-info": "", "ICCIF-species-notes": "", "IP-species-checked": "testedAndGuaranteed", "IP-species-dilution-info": "1/30", "IP-species-notes": "<p></p>", "WB-species-checked": "testedAndGuaranteed", "WB-species-dilution-info": "1/1000", "WB-species-notes": "<p></p>", "IHCFr-species-checked": "notRecommended", "IHCFr-species-dilution-info": "", "IHCFr-species-notes": "<p></p>", "FlowCytIntra-species-checked": "testedAndGuaranteed", "FlowCytIntra-species-dilution-info": "1/500", "FlowCytIntra-species-notes": "<p></p>", "IHCP-species-checked": "testedAndGuaranteed", "IHCP-species-dilution-info": "1/2000", "IHCP-species-notes": "<p></p>" } } }

Product details

Patented technology
Our RabMAb® technology is a patented hybridoma-based technology for making rabbit monoclonal antibodies. For details on our patents, please refer to RabMAb® patents.

What are the advantages of a recombinant monoclonal antibody?
This product is a recombinant monoclonal antibody, which offers several advantages including:

  • - High batch-to-batch consistency and reproducibility
  • - Improved sensitivity and specificity
  • - Long-term security of supply
  • - Animal-free batch production

For more information, read more on recombinant antibodies.

Properties and storage information

Form
Liquid
Purification technique
Affinity purification Protein A
Storage buffer
pH: 7.2 - 7.4 Preservative: 0.01% Sodium azide Constituents: PBS, 40% Glycerol (glycerin, glycerine), 0.05% BSA
Shipped at conditions
Blue Ice
Appropriate short-term storage duration
1-2 weeks
Appropriate short-term storage conditions
+4°C
Appropriate long-term storage conditions
-20°C
Aliquoting information
Upon delivery aliquot
Storage information
Avoid freeze / thaw cycle

Product protocols

For this product, it's our understanding that no specific protocols are required. You can visit:

Target data

SNARE involved in vesicular transport from the late endosomes to the trans-Golgi network.
See full target information Vamp3

Publications (1)

Recent publications for all applications. Explore the full list and refine your search

Methods in molecular biology (Clifton, N.J.) 2887:135-147 PubMed39806151

2025

Assays of Platelet SNARE-actin Interactions.

Applications

Unspecified application

Species

Unspecified reactive species

Kamil Woronowicz,Robert Flaumenhaft
View all publications

Product promise

We are committed to supporting your work with high-quality reagents, and we're here for you every step of the way. In the unlikely event that one of our products does not perform as expected, you're protected by our Product Promise.
For full details, please see our Terms & Conditions

Please note: All products are 'FOR RESEARCH USE ONLY. NOT FOR USE IN DIAGNOSTIC OR THERAPEUTIC PROCEDURES'.

For licensing inquiries, please contact partnerships@abcam.com