JavaScript is disabled in your browser. Please enable JavaScript to view this website.
AB96755

Anti-Cellular Apoptosis Susceptibility/CSE1L antibody

5

(1 Review)

|

(13 Publications)

Rabbit Polyclonal Cellular Apoptosis Susceptibility/CSE1L antibody. Suitable for WB, IHC-P, ICC/IF and reacts with Mouse, Rat, Human samples. Cited in 13 publications. Immunogen corresponding to Recombinant Fragment Protein within Human CSE1L aa 200-450.

View Alternative Names

CAS, XPO2, CSE1L, Exportin-2, Exp2, Cellular apoptosis susceptibility protein, Chromosome segregation 1-like protein, Importin-alpha re-exporter

6 Images
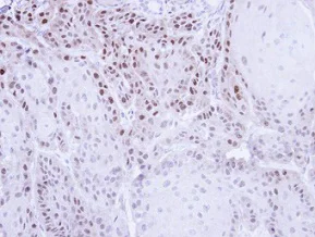
Immunohistochemistry (Formalin/PFA-fixed paraffin-embedded sections) - Anti-Cellular Apoptosis Susceptibility/CSE1L antibody (AB96755)
  • IHC-P

Unknown

Immunohistochemistry (Formalin/PFA-fixed paraffin-embedded sections) - Anti-Cellular Apoptosis Susceptibility/CSE1L antibody (AB96755)

Immunohistochemical analysis of paraffin-embedded Cal27 Xenograft using ab96755 at 1/500 dilution.

Immunocytochemistry/ Immunofluorescence - Anti-Cellular Apoptosis Susceptibility/CSE1L antibody (AB96755)
  • ICC/IF

Supplier Data

Immunocytochemistry/ Immunofluorescence - Anti-Cellular Apoptosis Susceptibility/CSE1L antibody (AB96755)

Immunofluorescence analysis of HeLa cells fixed in 4% paraformaldehyde at RT for 15 min labelling CSE1L protein at nucleus using ab96755 at a 1/1500 dilution (Green). phalloidin, a cytoskeleton marker, was stained at a 1/200 dilution (Red).
Scale bar= 10 µm.

Western blot - Anti-Cellular Apoptosis Susceptibility/CSE1L antibody (AB96755)
  • WB

Supplier Data

Western blot - Anti-Cellular Apoptosis Susceptibility/CSE1L antibody (AB96755)

Samples were separated by 7.5% SDS-PAGE.

All lanes:

Western blot - Anti-Cellular Apoptosis Susceptibility/CSE1L antibody (ab96755) at 1/5000 dilution

Lane 1:

293T whole cell lysates at 15 µg

Lane 2:

CSE1L shRNA transfected 293T whole cell lysates at 15 µg

Secondary

All lanes:

HRP-conjugated anti-rabbit IgG antibody

Predicted band size: 110 kDa

false

Western blot - Anti-Cellular Apoptosis Susceptibility/CSE1L antibody (AB96755)
  • WB

Supplier Data

Western blot - Anti-Cellular Apoptosis Susceptibility/CSE1L antibody (AB96755)

Samples were separated by 7.5% SDS-PAGE.

All lanes:

Western blot - Anti-Cellular Apoptosis Susceptibility/CSE1L antibody (ab96755) at 1/10000 dilution

Lane 1:

293T whole cell lysates at 30 µg

Lane 2:

A431 whole cell lysates at 30 µg

Lane 3:

HeLa whole cell lysates at 30 µg

Lane 4:

HepG2 whole cell lysates at 30 µg

Secondary

All lanes:

HRP-conjugated anti-rabbit IgG antibody

Predicted band size: 110 kDa

false

Western blot - Anti-Cellular Apoptosis Susceptibility/CSE1L antibody (AB96755)
  • WB

Supplier Data

Western blot - Anti-Cellular Apoptosis Susceptibility/CSE1L antibody (AB96755)

7.5% SDS-PAGE

All lanes:

Western blot - Anti-Cellular Apoptosis Susceptibility/CSE1L antibody (ab96755) at 1/10000 dilution

Lane 1:

NIH/3T3 whole cell lysate at 30 µg

Lane 2:

JC whole cell lysate at 30 µg

Lane 3:

BCL-1 whole cell lysate at 30 µg

Lane 4:

C2C12 whole cell lysate at 30 µg

Predicted band size: 110 kDa

false

Western blot - Anti-Cellular Apoptosis Susceptibility/CSE1L antibody (AB96755)
  • WB

Supplier Data

Western blot - Anti-Cellular Apoptosis Susceptibility/CSE1L antibody (AB96755)

7.5% SDS-PAGE

All lanes:

Western blot - Anti-Cellular Apoptosis Susceptibility/CSE1L antibody (ab96755) at 1/10000 dilution

Lane 1:

PC-12 whole cell lysate at 30 µg

Lane 2:

Rat2 whole cell lysate at 30 µg

Predicted band size: 110 kDa

false

Key facts

Host species

Rabbit

Clonality

Polyclonal

Isotype

IgG

Carrier free

No

Reacts with

Mouse, Rat, Human

Applications

ICC/IF, WB, IHC-P

applications

Immunogen

Recombinant Fragment Protein within Human CSE1L aa 200-450. The exact immunogen used to generate this antibody is proprietary information.

P55060

Reactivity data

{ "title": "Reactivity Data", "filters": { "stats": ["", "Species", "Dilution Info", "Notes"], "tabs": { "all-applications": {"fullname" : "All Applications", "shortname": "All Applications"}, "WB" : {"fullname" : "Western blot", "shortname":"WB"}, "IHCP" : {"fullname" : "Immunohistochemistry (Formalin/PFA-fixed paraffin-embedded sections)", "shortname":"IHC-P"}, "ICCIF" : {"fullname" : "Immunocytochemistry/ Immunofluorescence", "shortname":"ICC/IF"} }, "product-promise": { "all": "all", "testedAndGuaranteed": "tested", "guaranteed": "expected", "predicted": "predicted", "notRecommended": "not-recommended" } }, "values": { "Human": { "WB-species-checked": "testedAndGuaranteed", "WB-species-dilution-info": "1/1000 - 1/20000", "WB-species-notes": "<p></p>", "IHCP-species-checked": "testedAndGuaranteed", "IHCP-species-dilution-info": "1/100 - 1/2000", "IHCP-species-notes": "<p>Suggested antigen retrieval using heat mediated 10mM Citrate buffer (pH6.0) or Tris-EDTA buffer (pH 8.0)</p>", "ICCIF-species-checked": "testedAndGuaranteed", "ICCIF-species-dilution-info": "1/100 - 1/1000", "ICCIF-species-notes": "<p></p>" }, "Mouse": { "WB-species-checked": "testedAndGuaranteed", "WB-species-dilution-info": "1/1000 - 1/20000", "WB-species-notes": "<p></p>", "IHCP-species-checked": "guaranteed", "IHCP-species-dilution-info": "", "IHCP-species-notes": "", "ICCIF-species-checked": "guaranteed", "ICCIF-species-dilution-info": "", "ICCIF-species-notes": "" }, "Rat": { "WB-species-checked": "testedAndGuaranteed", "WB-species-dilution-info": "1/1000 - 1/20000", "WB-species-notes": "<p></p>", "IHCP-species-checked": "guaranteed", "IHCP-species-dilution-info": "", "IHCP-species-notes": "", "ICCIF-species-checked": "guaranteed", "ICCIF-species-dilution-info": "", "ICCIF-species-notes": "" }, "Cow": { "WB-species-checked": "predicted", "WB-species-dilution-info": "", "WB-species-notes": "", "IHCP-species-checked": "predicted", "IHCP-species-dilution-info": "", "IHCP-species-notes": "", "ICCIF-species-checked": "predicted", "ICCIF-species-dilution-info": "", "ICCIF-species-notes": "" }, "Zebrafish": { "WB-species-checked": "predicted", "WB-species-dilution-info": "", "WB-species-notes": "", "IHCP-species-checked": "predicted", "IHCP-species-dilution-info": "", "IHCP-species-notes": "", "ICCIF-species-checked": "predicted", "ICCIF-species-dilution-info": "", "ICCIF-species-notes": "" } } }

Properties and storage information

Form
Liquid
Purification technique
Affinity purification Immunogen
Storage buffer
pH: 7 Preservative: 0.025% Proclin 300 Constituents: PBS, 20% Glycerol (glycerin, glycerine)
Shipped at conditions
Blue Ice
Appropriate short-term storage duration
1-2 weeks
Appropriate short-term storage conditions
+4°C
Appropriate long-term storage conditions
-20°C
Aliquoting information
Upon delivery aliquot
Storage information
Avoid freeze / thaw cycle

Product protocols

For this product, it's our understanding that no specific protocols are required. You can visit:

Target data

Export receptor for importin-alpha. Mediates importin-alpha re-export from the nucleus to the cytoplasm after import substrates (cargos) have been released into the nucleoplasm. In the nucleus binds cooperatively to importin-alpha and to the GTPase Ran in its active GTP-bound form. Docking of this trimeric complex to the nuclear pore complex (NPC) is mediated through binding to nucleoporins. Upon transit of a nuclear export complex into the cytoplasm, disassembling of the complex and hydrolysis of Ran-GTP to Ran-GDP (induced by RANBP1 and RANGAP1, respectively) cause release of the importin-alpha from the export receptor. CSE1L/XPO2 then return to the nuclear compartment and mediate another round of transport. The directionality of nuclear export is thought to be conferred by an asymmetric distribution of the GTP- and GDP-bound forms of Ran between the cytoplasm and nucleus.
See full target information CSE1L

Publications (13)

Recent publications for all applications. Explore the full list and refine your search

Frontiers in pharmacology 15:1435282 PubMed39415837

2024

Angiotensin 1 peptide-conjugated CdSe/ZnS quantum dots for cardiac-specific hydrogen sulfide targeted therapy in myocardial ischemia-reperfusion injury.

Applications

Unspecified application

Species

Unspecified reactive species

Qing Wang,Xiaofei Xue,Pei Wang,Yue Yu,Jun Wang,Qixia Jiang,Jian Xiao

The Journal of cell biology 223: PubMed38241019

2024

Mechanism of exportin retention in the cell nucleus.

Applications

Unspecified application

Species

Unspecified reactive species

Larisa E Kapinos,Joanna Kalita,Elena Kassianidou,Chantal Rencurel,Roderick Y H Lim

Developmental cell 57:1712-1727.e9 PubMed35809563

2022

A ROS-dependent mechanism promotes CDK2 phosphorylation to drive progression through S phase.

Applications

Unspecified application

Species

Unspecified reactive species

Dilyana Georgieva Kirova,Kristyna Judasova,Julia Vorhauser,Thomas Zerjatke,Jacky Kieran Leung,Ingmar Glauche,Jörg Mansfeld

Communications biology 5:483 PubMed35590097

2022

SARS-CoV-2 ORF6 disrupts nucleocytoplasmic trafficking to advance viral replication.

Applications

Unspecified application

Species

Unspecified reactive species

Yoichi Miyamoto,Yumi Itoh,Tatsuya Suzuki,Tomohisa Tanaka,Yusuke Sakai,Masaru Koido,Chiaki Hata,Cai-Xia Wang,Mayumi Otani,Kohji Moriishi,Taro Tachibana,Yoichiro Kamatani,Yoshihiro Yoneda,Toru Okamoto,Masahiro Oka

Journal of cell science 134: PubMed33912945

2021

On the asymmetric partitioning of nucleocytoplasmic transport - recent insights and open questions.

Applications

Unspecified application

Species

Unspecified reactive species

Joanna Kalita,Larisa E Kapinos,Roderick Y H Lim

Frontiers in oncology 11:660955 PubMed33842377

2021

FLVCR1 Predicts Poor Prognosis and Promotes Malignant Phenotype in Esophageal Squamous Cell Carcinoma Upregulating CSE1L.

Applications

Unspecified application

Species

Unspecified reactive species

Suna Zhou,Mingxin Zhang,Chao Zhou,Yinnan Meng,Haihua Yang,Wenguang Ye

Cancer research 81:1853-1867 PubMed33531375

2021

Fragmentation of Small-Cell Lung Cancer Regulatory States in Heterotypic Microenvironments.

Applications

Unspecified application

Species

Unspecified reactive species

Dylan L Schaff,Shambhavi Singh,Kee-Beom Kim,Matthew D Sutcliffe,Kwon-Sik Park,Kevin A Janes

Scientific reports 10:18640 PubMed33122699

2020

Transportin-2 plays a critical role in nucleocytoplasmic shuttling of oestrogen receptor-α.

Applications

Unspecified application

Species

Unspecified reactive species

Tetsuji Moriyama,Yoshihiro Yoneda,Masahiro Oka,Masami Yamada

Life sciences 254:117699 PubMed32437793

2020

LncRNA Oprm1 overexpression attenuates myocardial ischemia/reperfusion injury by increasing endogenous hydrogen sulfide via Oprm1/miR-30b-5p/CSE axis.

Applications

Unspecified application

Species

Unspecified reactive species

Xiaomin Hu,Bojiang Liu,Peng Wu,Yuheng Lang,Tong Li

Aging 10:2062-2078 PubMed30144787

2018

LncRNA BANCR promotes tumorigenesis and enhances adriamycin resistance in colorectal cancer.

Applications

Unspecified application

Species

Unspecified reactive species

Siping Ma,Dongxiang Yang,Yanlong Liu,Yongpeng Wang,Tao Lin,Yanxi Li,Shihua Yang,Wanchuan Zhang,Rui Zhang
View all publications

Product promise

We are committed to supporting your work with high-quality reagents, and we're here for you every step of the way. In the unlikely event that one of our products does not perform as expected, you're protected by our Product Promise.
For full details, please see our Terms & Conditions

Please note: All products are 'FOR RESEARCH USE ONLY. NOT FOR USE IN DIAGNOSTIC OR THERAPEUTIC PROCEDURES'.

For licensing inquiries, please contact partnerships@abcam.com