JavaScript is disabled in your browser. Please enable JavaScript to view this website.
AB322044

Anti-CELSR1 antibody [EPR26770-192] - BSA and Azide free

Be the first to review this product! Submit a review

|

(0 Publication)

Rabbit Recombinant Monoclonal CELSR1 antibody. Carrier free. Suitable for Dot, IHC-P, WB and reacts with Recombinant fragment - Human, Mouse, Human samples.

View Alternative Names

CDHF9, FMI2, CELSR1, Cadherin EGF LAG seven-pass G-type receptor 1, Cadherin family member 9, Flamingo homolog 2, hFmi2

7 Images
Immunohistochemistry (Formalin/PFA-fixed paraffin-embedded sections) - Anti-CELSR1 antibody [EPR26770-192] - BSA and Azide free (AB322044)
  • IHC-P

Supplier Data

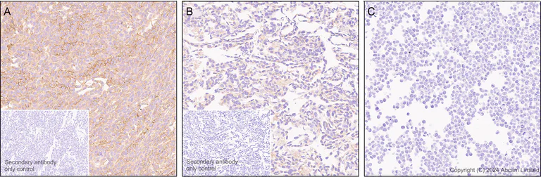
Immunohistochemistry (Formalin/PFA-fixed paraffin-embedded sections) - Anti-CELSR1 antibody [EPR26770-192] - BSA and Azide free (AB322044)

This data was developed using ab322043, the same antibody clone in a different buffer formulation.

Immunohistochemical analysis of paraffin-embedded (A) FaDu (human pharyngeal carcinoma epithelial cell) cell pellet, (B) A431 (human epidermoid carcinoma epithelial cell) cell pellet and (C) K-562 (human chronic myelogenous leukemia lymphoblast) cell pellet labeling CELSR1 with ab322043 at 1/50 (10.36 μg/ml) dilution, followed by a ready to use Goat Anti-Rabbit IgG H&L (HRP).

Positive staining on (A) FaDu cell pellet and (B) A431 cell pellet, no staining on (C) K-562 cell pellet.
The section was incubated with ab322043 at 4°C overnight.

Counterstained with Hematoxylin.

Secondary antibody only control : Secondary antibody is a ready to use Goat Anti-Rabbit IgG H&L (HRP).

Heat mediated antigen retrieval was performed with ab93678 (citrate buffer, pH 6.0)

Immunohistochemistry (Formalin/PFA-fixed paraffin-embedded sections) - Anti-CELSR1 antibody [EPR26770-192] - BSA and Azide free (AB322044)
  • IHC-P

Supplier Data

Immunohistochemistry (Formalin/PFA-fixed paraffin-embedded sections) - Anti-CELSR1 antibody [EPR26770-192] - BSA and Azide free (AB322044)

This data was developed using ab322043, the same antibody clone in a different buffer formulation.

Immunohistochemical analysis of paraffin-embedded E14.5 mouse embryo brain tissue labeling CELSR1 with ab322043 at 1/100 (5.18 ug/ml) dilution, followed by a ready to use Rabbit specific IHC polymer detection kit HRP/DAB (ab209101).

Positive staining on mouse E14.5 mouse embryo brain (PMID : 11891983).
The section was incubated with ab322043 for 30 mins at room temperature.
The immunostaining was performed on a Leica Biosystems BOND® RX instrument

Counterstained with Hematoxylin.

Secondary antibody only control : Secondary antibody is a ready to use Rabbit specific IHC polymer detection kit HRP/DAB (ab209101).

Heat mediated antigen retrieval was performed with Tris-EDTA buffer (pH 9.0, Epitope Retrieval Solution2) for 20 mins

Western blot - Anti-CELSR1 antibody [EPR26770-192] - BSA and Azide free (AB322044)
  • WB

Supplier Data

Western blot - Anti-CELSR1 antibody [EPR26770-192] - BSA and Azide free (AB322044)

This data was developed using ab322043, the same antibody clone in a different buffer formulation.

Blocking and diluting buffer and concentration : 5% NFDM/TBST.

The expression profile/ molecular weight observed is consistent with what has been described in the literature(PMID : 23481196), This antibody can recognize 2 isoforms of CELSR1 and isoforms have different molecular weight.

Low expression : K-562 (PMID : 35839778), 293T

In Western blot, Anti-Vinculin antibody [EPR8185] (ab129002) staining at 1/10000 dilution.

All lanes:

Western blot - Anti-CELSR1 antibody [EPR26770-192] (<a href='/en-us/products/primary-antibodies/celsr1-antibody-epr26770-192-ab322043'>ab322043</a>) at 1/1000 dilution

Lane 1:

FaDu (human pharyngeal carcinoma epithelial cell) whole cell lysate at 20 µg

Lane 2:

A431 (human epidermoid carcinoma epithelial cell) whole cell lysate at 20 µg

Lane 3:

K-562 (human chronic myelogenous leukemia lymphoblast) whole cell lysate at 20 µg

Lane 4:

293T (human embryonic kidney epithelial cell) whole cell lysate at 20 µg

Secondary

All lanes:

Western blot - Goat Anti-Rabbit IgG H&L (HRP) (<a href='/en-us/products/secondary-antibodies/goat-rabbit-igg-h-l-hrp-ab97051'>ab97051</a>) at 1/100000 dilution

Observed band size: 160-300 kDa,124 kDa

false

Exposure time: 180s

Western blot - Anti-CELSR1 antibody [EPR26770-192] - BSA and Azide free (AB322044)
  • WB

Supplier Data

Western blot - Anti-CELSR1 antibody [EPR26770-192] - BSA and Azide free (AB322044)

This data was developed using ab322043, the same antibody clone in a different buffer formulation.

Blocking and diluting buffer and concentration : 5% NFDM/TBST.

Negative control : Testis, spleen (PMID : 9339365).

To minimize protein degradation, tissues (lanes 1-2 and Lanes 4-5) were lysed immediately after harvest and then applied to a gel and transfer membrane for Western blotting as soon as possible.

In Western blot, Anti-GAPDH antibody [EPR16891] - Loading Control (ab181602) staining at 1/200000 dilution.

All lanes:

Western blot - Anti-CELSR1 antibody [EPR26770-192] (<a href='/en-us/products/primary-antibodies/celsr1-antibody-epr26770-192-ab322043'>ab322043</a>) at 1/1000 dilution

Lane 1:

Mouse E11.5 brain tissue lysate at 20 µg

Lane 2:

Mouse E17 midbrain tissue lysate at 20 µg

Lane 3:

Mouse E14.5 brain tissue lysate at 20 µg

Lane 4:

Mouse testis tissue lysate at 20 µg

Lane 5:

Mouse spleen tissue lysate at 20 µg

Secondary

All lanes:

Western blot - Goat Anti-Rabbit IgG H&L (HRP) (<a href='/en-us/products/secondary-antibodies/goat-rabbit-igg-h-l-hrp-ab97051'>ab97051</a>) at 1/20000 dilution

Observed band size: 300 kDa,36 kDa

false

Exposure time: 180s

Immunohistochemistry (Formalin/PFA-fixed paraffin-embedded sections) - Anti-CELSR1 antibody [EPR26770-192] - BSA and Azide free (AB322044)
  • IHC-P

Supplier Data

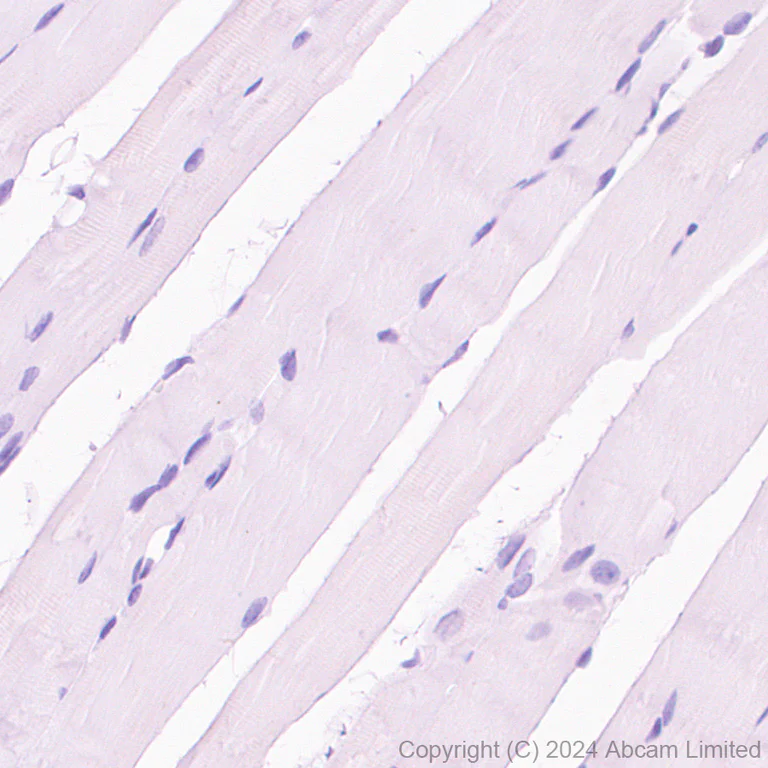
Immunohistochemistry (Formalin/PFA-fixed paraffin-embedded sections) - Anti-CELSR1 antibody [EPR26770-192] - BSA and Azide free (AB322044)

This data was developed using ab322043, the same antibody clone in a different buffer formulation.

Immunohistochemical analysis of paraffin-embedded Mouse skeletal muscle tissue labeling CELSR1 with ab322043 at 1/100 (5.18 ug/ml) dilution, followed by a ready to use Rabbit specific IHC polymer detection kit HRP/DAB (ab209101).

Negative control : No staining on mouse skeletal muscle.
The section was incubated with ab322043 for 30 mins at room temperature.
The immunostaining was performed on a Leica Biosystems BOND® RX instrument

Counterstained with Hematoxylin.

Secondary antibody only control : Secondary antibody is a ready to use Rabbit specific IHC polymer detection kit HRP/DAB (ab209101).

Heat mediated antigen retrieval was performed with Tris-EDTA buffer (pH 9.0, Epitope Retrieval Solution2) for 20 mins

Immunohistochemistry (Formalin/PFA-fixed paraffin-embedded sections) - Anti-CELSR1 antibody [EPR26770-192] - BSA and Azide free (AB322044)
  • IHC-P

Supplier Data

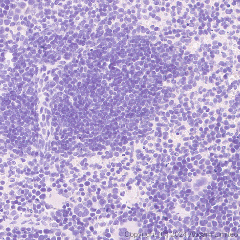
Immunohistochemistry (Formalin/PFA-fixed paraffin-embedded sections) - Anti-CELSR1 antibody [EPR26770-192] - BSA and Azide free (AB322044)

This data was developed using ab322043, the same antibody clone in a different buffer formulation.

Immunohistochemical analysis of paraffin-embedded Mouse spleen tissue labeling CELSR1 with ab322043 at 1/100 (5.18 ug/ml) dilution, followed by a ready to use Rabbit specific IHC polymer detection kit HRP/DAB (ab209101).

Negative control : No staining on mouse spleen (PMID : 9339365).
The section was incubated with ab322043 for 30 mins at room temperature.
The immunostaining was performed on a Leica Biosystems BOND® RX instrument

Counterstained with Hematoxylin.

Secondary antibody only control : Secondary antibody is a ready to use Rabbit specific IHC polymer detection kit HRP/DAB (ab209101).

Heat mediated antigen retrieval was performed with Tris-EDTA buffer (pH 9.0, Epitope Retrieval Solution2) for 20 mins

Dot Blot - Anti-CELSR1 antibody [EPR26770-192] - BSA and Azide free (AB322044)
  • Dot

Supplier Data

Dot Blot - Anti-CELSR1 antibody [EPR26770-192] - BSA and Azide free (AB322044)

This data was developed using ab322043, the same antibody clone in a different buffer formulation.

Dot blot analysis of CELSR1 using ab322043 at 1 : 1000 (0.518 ug/ml) followed by a Goat Anti-Rabbit IgG, (H+L), Peroxidase conjugated (ab97051) at 1 : 100,000 dilution.

Lane1 : LIF/His-tagged human CELSR1 protein fragment
Lane2 : LIF-tagged human CELSR2 protein fragment
Lane3 : LIF/His-tagged human CELSR3 protein fragment

Blocking and diluting buffer and concentration : 5% NFDM/TBST.

This antibody doesn't cross-react with Human CELSR2 and CELSR3.

All lanes:

Dot Blot - Anti-CELSR1 antibody [EPR26770-192] (<a href='/en-us/products/primary-antibodies/celsr1-antibody-epr26770-192-ab322043'>ab322043</a>) at 1/1000 dilution

Lane 1:

LIF/His-tagged human CELSR1 protein fragment at 20 ng

Lane 2:

LIF-tagged human CELSR2 protein fragment at 20 ng

Lane 3:

LIF/His-tagged human CELSR3 protein fragment at 20 ng

Secondary

All lanes:

Dot Blot - Goat Anti-Rabbit IgG H&L (HRP) (<a href='/en-us/products/secondary-antibodies/goat-rabbit-igg-h-l-hrp-ab97051'>ab97051</a>) at 1/100000 dilution

false

Exposure time: 180s

Key facts

Host species

Rabbit

Clonality

Monoclonal

Clone number

EPR26770-192

Isotype

IgG

Carrier free

Yes

Reacts with

Mouse, Human

Applications

WB, IHC-P, Dot

applications

Immunogen

The exact immunogen used to generate this antibody is proprietary information.

Specificity

<p>The recommendation of Human IHC-P is based on cell pellets.</p>

Reactivity data

{ "title": "Reactivity Data", "filters": { "stats": ["", "Species", "Dilution Info", "Notes"], "tabs": { "all-applications": {"fullname" : "All Applications", "shortname": "All Applications"}, "Dot" : {"fullname" : "Dot Blot", "shortname":"Dot"}, "IHCP" : {"fullname" : "Immunohistochemistry (Formalin/PFA-fixed paraffin-embedded sections)", "shortname":"IHC-P"}, "WB" : {"fullname" : "Western blot", "shortname":"WB"} }, "product-promise": { "all": "all", "testedAndGuaranteed": "tested", "guaranteed": "expected", "predicted": "predicted", "notRecommended": "not-recommended" } }, "values": { "Human": { "Dot-species-checked": "guaranteed", "Dot-species-dilution-info": "", "Dot-species-notes": "", "IHCP-species-checked": "testedAndGuaranteed", "IHCP-species-dilution-info": "", "IHCP-species-notes": "<p></p> Perform heat-mediated antigen retrieval with citrate buffer pH 6 before commencing with IHC staining protocol.", "WB-species-checked": "testedAndGuaranteed", "WB-species-dilution-info": "", "WB-species-notes": "<p></p>" }, "Mouse": { "Dot-species-checked": "guaranteed", "Dot-species-dilution-info": "", "Dot-species-notes": "", "IHCP-species-checked": "testedAndGuaranteed", "IHCP-species-dilution-info": "", "IHCP-species-notes": "<p></p> Perform heat-mediated antigen retrieval with Tris/EDTA buffer pH 9.0 before commencing with IHC staining protocol.", "WB-species-checked": "testedAndGuaranteed", "WB-species-dilution-info": "", "WB-species-notes": "<p></p>" }, "Recombinant fragment - Human": { "Dot-species-checked": "testedAndGuaranteed", "Dot-species-dilution-info": "", "Dot-species-notes": "<p></p>", "IHCP-species-checked": "notRecommended", "IHCP-species-dilution-info": "", "IHCP-species-notes": "", "WB-species-checked": "notRecommended", "WB-species-dilution-info": "", "WB-species-notes": "" } } }

Product details

ab322044 is the carrier-free version of ab322043.

Patented technology
Our RabMAb® technology is a patented hybridoma-based technology for making rabbit monoclonal antibodies. For details on our patents, please refer to RabMAb® patents.

What are the advantages of a recombinant monoclonal antibody?
This product is a recombinant monoclonal antibody, which offers several advantages including:

  • - High batch-to-batch consistency and reproducibility
  • - Improved sensitivity and specificity
  • - Long-term security of supply
  • - Animal-free batch production

For more information, read more on recombinant antibodies.

Conjugation ready
Our carrier-free antibodies are typically supplied in a PBS-only formulation, purified and free of BSA, sodium azide and glycerol. This conjugation-ready format is designed for use with fluorochromes, metal isotopes, oligonucleotides, and enzymes, which makes them ideal for antibody labelling, functional and cell-based assays, flow-based assays (e.g. mass cytometry) and Multiplex Imaging applications.

Use our conjugation kits for antibody conjugates that are ready-to-use in as little as 20 minutes with 1 minute hands-on-time and 100% antibody recovery: available for fluorescent dyes, HRP, biotin and gold.

Compatibility
This product is compatible with the Maxpar® Antibody Labeling Kit from Fluidigm, without the need for antibody preparation. Maxpar® is a trademark of Fluidigm Canada Inc.

Properties and storage information

Form
Liquid
Purification technique
Affinity purification Protein A
Storage buffer
pH: 7.2 - 7.4 Constituents: 100% PBS
Shipped at conditions
Blue Ice
Appropriate short-term storage conditions
+4°C
Appropriate long-term storage conditions
+4°C

Supplementary information

This supplementary information is collated from multiple sources and compiled automatically.

CELSR1 also known as Cadherin EGF LAG seven-pass G-type receptor 1 is a member of the adhesion G-protein-coupled receptors family. Its molecular mass is approximately 350 kDa. The protein consists of several cadherin repeats and EGF-like domains playing a critical role in cell signaling and adhesion. CELSR1 is mainly expressed in the central nervous system and certain epithelial tissues contributing significantly to cellular interactions and positioning during development.
Biological function summary

CELSR1 is an important component of the planar cell polarity (PCP) signaling pathway. It acts as a part of a receptor complex that is important for the regulation of cell orientation and coordinated tissue patterning. This protein through its interaction with other PCP components helps in establishing cellular asymmetry and polarity within tissues. CELSR1 regulates developmental processes in various tissues making it a significant player in embryogenesis and organogenesis.

Pathways

CELSR1 integrates into the non-canonical Wnt/PCP signaling pathway influencing cellular processes such as migration and polarity. It interacts closely with proteins like Frizzled and Dishevelled to propagate signaling within this pathway. Additionally CELSR1's functions are connected with the Flamingo cadherins variously affecting cellular alignment and directional movement important for functioning tissues and organs.

Defects in CELSR1 can lead to congenital malformations such as neural tube defects and craniorachischisis. The protein's altered expression or dysfunction is linked to cancer development especially in tumors where cell polarity and adhesion are disrupted. CELSR1's relationship with proteins like Vangl and Dishevelled in disease contexts highlights its role in maintaining cellular integrity and tissue homeostasis and when perturbed contributes to pathogenesis.

Product protocols

For this product, it's our understanding that no specific protocols are required. You can visit:

Target data

Receptor that may have an important role in cell/cell signaling during nervous system formation.
See full target information CELSR1

Product promise

We are committed to supporting your work with high-quality reagents, and we're here for you every step of the way. In the unlikely event that one of our products does not perform as expected, you're protected by our Product Promise.
For full details, please see our Terms & Conditions

Please note: All products are 'FOR RESEARCH USE ONLY. NOT FOR USE IN DIAGNOSTIC OR THERAPEUTIC PROCEDURES'.

For licensing inquiries, please contact partnerships@abcam.com