JavaScript is disabled in your browser. Please enable JavaScript to view this website.
AB188912

Anti-CELSR1 antibody - Extracellular domain

Be the first to review this product! Submit a review

|

(1 Publication)

Rabbit Polyclonal CELSR1 antibody. Extracellular domain. Suitable for IHC-P and reacts with Human samples. Cited in 1 publication. Immunogen corresponding to Synthetic Peptide within Human CELSR1.

View Alternative Names

CDHF9, FMI2, CELSR1, Cadherin EGF LAG seven-pass G-type receptor 1, Cadherin family member 9, Flamingo homolog 2, hFmi2

1 Images
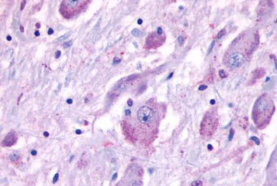
Immunohistochemistry (Formalin/PFA-fixed paraffin-embedded sections) - Anti-CELSR1 antibody - Extracellular domain (AB188912)
  • IHC-P

Supplier Data

Immunohistochemistry (Formalin/PFA-fixed paraffin-embedded sections) - Anti-CELSR1 antibody - Extracellular domain (AB188912)

Immunohistochemical analysis of formalin-fixed, paraffin-embedded Human brain tissue labeling CELSR1 with ab188912 at 15μg/ml.

Key facts

Host species

Rabbit

Clonality

Polyclonal

Isotype

IgG

Carrier free

No

Reacts with

Human

Applications

IHC-P

applications

Immunogen

Synthetic Peptide within Human CELSR1. The exact immunogen used to generate this antibody is proprietary information.

Q9NYQ6

Specificity

BLAST analysis of the peptide immunogen showed no homology with other Human proteins.

Reactivity data

{ "title": "Reactivity Data", "filters": { "stats": ["", "Species", "Dilution Info", "Notes"], "tabs": { "all-applications": {"fullname" : "All Applications", "shortname": "All Applications"}, "IHCP" : {"fullname" : "Immunohistochemistry (Formalin/PFA-fixed paraffin-embedded sections)", "shortname":"IHC-P"} }, "product-promise": { "all": "all", "testedAndGuaranteed": "tested", "guaranteed": "expected", "predicted": "predicted", "notRecommended": "not-recommended" } }, "values": { "Human": { "IHCP-species-checked": "testedAndGuaranteed", "IHCP-species-dilution-info": "8-15 µg/mL", "IHCP-species-notes": "<p></p> Perform heat-mediated antigen retrieval before commencing with IHC staining protocol." } } }

Properties and storage information

Form
Liquid
Purification technique
Affinity purification Immunogen
Storage buffer
pH: 7.4 Preservative: 0.1% Sodium azide Constituents: PBS
Shipped at conditions
Blue Ice
Appropriate short-term storage duration
1-2 weeks
Appropriate short-term storage conditions
+4°C
Appropriate long-term storage conditions
-20°C
Aliquoting information
Upon delivery aliquot
Storage information
Avoid freeze / thaw cycle

Supplementary information

This supplementary information is collated from multiple sources and compiled automatically.

CELSR1 also known as Cadherin EGF LAG seven-pass G-type receptor 1 is a member of the adhesion G-protein-coupled receptors family. Its molecular mass is approximately 350 kDa. The protein consists of several cadherin repeats and EGF-like domains playing a critical role in cell signaling and adhesion. CELSR1 is mainly expressed in the central nervous system and certain epithelial tissues contributing significantly to cellular interactions and positioning during development.
Biological function summary

CELSR1 is an important component of the planar cell polarity (PCP) signaling pathway. It acts as a part of a receptor complex that is important for the regulation of cell orientation and coordinated tissue patterning. This protein through its interaction with other PCP components helps in establishing cellular asymmetry and polarity within tissues. CELSR1 regulates developmental processes in various tissues making it a significant player in embryogenesis and organogenesis.

Pathways

CELSR1 integrates into the non-canonical Wnt/PCP signaling pathway influencing cellular processes such as migration and polarity. It interacts closely with proteins like Frizzled and Dishevelled to propagate signaling within this pathway. Additionally CELSR1's functions are connected with the Flamingo cadherins variously affecting cellular alignment and directional movement important for functioning tissues and organs.

Defects in CELSR1 can lead to congenital malformations such as neural tube defects and craniorachischisis. The protein's altered expression or dysfunction is linked to cancer development especially in tumors where cell polarity and adhesion are disrupted. CELSR1's relationship with proteins like Vangl and Dishevelled in disease contexts highlights its role in maintaining cellular integrity and tissue homeostasis and when perturbed contributes to pathogenesis.

Product protocols

For this product, it's our understanding that no specific protocols are required. You can visit:

Target data

Receptor that may have an important role in cell/cell signaling during nervous system formation.
See full target information CELSR1

Publications (1)

Recent publications for all applications. Explore the full list and refine your search

Cellular signalling 52:147-154 PubMed30213686

2018

Ligand-mediated dephosphorylation signaling for MAP kinase.

Applications

Unspecified application

Species

Unspecified reactive species

Nataliia V Shults,Faisal S Almansour,Vladyslava Rybka,Dante I Suzuki,Yuichiro J Suzuki
View all publications

Product promise

We are committed to supporting your work with high-quality reagents, and we're here for you every step of the way. In the unlikely event that one of our products does not perform as expected, you're protected by our Product Promise.
For full details, please see our Terms & Conditions

Please note: All products are 'FOR RESEARCH USE ONLY. NOT FOR USE IN DIAGNOSTIC OR THERAPEUTIC PROCEDURES'.

For licensing inquiries, please contact partnerships@abcam.com