JavaScript is disabled in your browser. Please enable JavaScript to view this website.
AB189012

Anti-CELSR3 antibody - N-terminal

Be the first to review this product! Submit a review

|

(2 Publications)

Rabbit Polyclonal CELSR3 antibody. N-terminal. Suitable for IHC-P and reacts with Human samples. Cited in 2 publications. Immunogen corresponding to Synthetic Peptide within Human CELSR3.

View Alternative Names

CDHF11, EGFL1, FMI1, KIAA0812, MEGF2, CELSR3, Cadherin EGF LAG seven-pass G-type receptor 3, Cadherin family member 11, Epidermal growth factor-like protein 1, Flamingo homolog 1, Multiple epidermal growth factor-like domains protein 2, EGF-like protein 1, hFmi1, Multiple EGF-like domains protein 2

1 Images
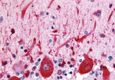
Immunohistochemistry (Formalin/PFA-fixed paraffin-embedded sections) - Anti-CELSR3 antibody - N-terminal (AB189012)
  • IHC-P

Supplier Data

Immunohistochemistry (Formalin/PFA-fixed paraffin-embedded sections) - Anti-CELSR3 antibody - N-terminal (AB189012)

Immunohistochemical analysis of formalin fixed, paraffin embedded human brain, Purkinje neurons tissue labeling CELSR3 with ab189012 at 15 μg/ml.

Key facts

Host species

Rabbit

Clonality

Polyclonal

Isotype

IgG

Carrier free

No

Reacts with

Human

Applications

IHC-P

applications

Immunogen

Synthetic Peptide within Human CELSR3. The exact immunogen used to generate this antibody is proprietary information.

Q9NYQ7

Specificity

BLAST analysis of the peptide immunogen showed no homology with other human proteins.

Reactivity data

{ "title": "Reactivity Data", "filters": { "stats": ["", "Species", "Dilution Info", "Notes"], "tabs": { "all-applications": {"fullname" : "All Applications", "shortname": "All Applications"}, "IHCP" : {"fullname" : "Immunohistochemistry (Formalin/PFA-fixed paraffin-embedded sections)", "shortname":"IHC-P"} }, "product-promise": { "all": "all", "testedAndGuaranteed": "tested", "guaranteed": "expected", "predicted": "predicted", "notRecommended": "not-recommended" } }, "values": { "Human": { "IHCP-species-checked": "testedAndGuaranteed", "IHCP-species-dilution-info": "4-15 µg/mL", "IHCP-species-notes": "<p></p> Perform heat-mediated antigen retrieval before commencing with IHC staining protocol." }, "Mouse": { "IHCP-species-checked": "predicted", "IHCP-species-dilution-info": "", "IHCP-species-notes": "" }, "Rat": { "IHCP-species-checked": "predicted", "IHCP-species-dilution-info": "", "IHCP-species-notes": "" }, "Cow": { "IHCP-species-checked": "predicted", "IHCP-species-dilution-info": "", "IHCP-species-notes": "" }, "Gorilla": { "IHCP-species-checked": "predicted", "IHCP-species-dilution-info": "", "IHCP-species-notes": "" }, "Horse": { "IHCP-species-checked": "predicted", "IHCP-species-dilution-info": "", "IHCP-species-notes": "" }, "Rabbit": { "IHCP-species-checked": "predicted", "IHCP-species-dilution-info": "", "IHCP-species-notes": "" } } }

Properties and storage information

Form
Liquid
Purification technique
Affinity purification Immunogen
Storage buffer
pH: 7.4 Preservative: 0.1% Sodium azide Constituents: PBS
Shipped at conditions
Blue Ice
Appropriate short-term storage duration
1-2 weeks
Appropriate short-term storage conditions
+4°C
Appropriate long-term storage conditions
-20°C
Aliquoting information
Upon delivery aliquot
Storage information
Avoid freeze / thaw cycle

Supplementary information

This supplementary information is collated from multiple sources and compiled automatically.

CELSR3 also known as Cadherin EGF LAG seven-pass G-type receptor 3 is a transmembrane protein involved in signal transduction within cells. It belongs to the adhesion G-protein-coupled receptor family and plays an important role in maintaining cell position and adhesion. CELSR3 is typically expressed in the central nervous system particularly in the brain. The molecular mass of CELSR3 is approximately 383 kDa. It shows a wide expression pattern in the developing nervous system which suggests its role in neural development and maintenance.
Biological function summary

CELSR3 influences neuronal connectivity and axonal guidance during nervous system development. It functions as part of a receptor complex important for cadherin-mediated cell-cell adhesion. The protein's interactions with other cell-surface molecules facilitate the precise patterning of neural circuits in the brain. This process ensures the correct targeting and networking of axons necessary for functional neural pathways.

Pathways

CELSR3 plays a significant role in the planar cell polarity (PCP) and Wnt signaling pathways. These pathways are essential for coordinating cellular orientation and directional growth during tissue and organ formation. CELSR3 interacts with key proteins such as Dishevelled (DVL) in the PCP pathway and aligns with components of the Wnt pathway including Frizzled receptors to regulate neuronal positioning and orientation.

CELSR3 has a connection to neurodevelopmental disorders and cancer. Alterations in CELSR3 expression or function can lead to conditions such as schizophrenia and glioblastoma. In these conditions CELSR3 may interact with other proteins like VANGL2 and FZD3 which are also implicated in disease-related pathways. Understanding CELSR3's role in these disorders highlights its importance in therapeutic targeting and disease management.

Product protocols

For this product, it's our understanding that no specific protocols are required. You can visit:

Target data

Receptor that may have an important role in cell/cell signaling during nervous system formation.
See full target information CELSR3

Publications (2)

Recent publications for all applications. Explore the full list and refine your search

NPJ genomic medicine 9:18 PubMed38429302

2024

Bi-allelic variants in CELSR3 are implicated in central nervous system and urinary tract anomalies.

Applications

Unspecified application

Species

Unspecified reactive species

Jil D Stegmann,Jeshurun C Kalanithy,Gabriel C Dworschak,Nina Ishorst,Enrico Mingardo,Filipa M Lopes,Yee Mang Ho,Phillip Grote,Tobias T Lindenberg,Öznur Yilmaz,Khadija Channab,Steve Seltzsam,Shirlee Shril,Friedhelm Hildebrandt,Felix Boschann,André Heinen,Angad Jolly,Katherine Myers,Kim McBride,Mir Reza Bekheirnia,Nasim Bekheirnia,Marcello Scala,Manuela Morleo,Vincenzo Nigro,Annalaura Torella,Michele Pinelli,Valeria Capra,Andrea Accogli,Silvia Maitz,Alice Spano,Rory J Olson,Eric W Klee,Brendan C Lanpher,Se Song Jang,Jong-Hee Chae,Philipp Steinbauer,Dietmar Rieder,Andreas R Janecke,Julia Vodopiutz,Ida Vogel,Jenny Blechingberg,Jennifer L Cohen,Kacie Riley,Victoria Klee,Laurence E Walsh,Matthias Begemann,Miriam Elbracht,Thomas Eggermann,Arzu Stoppe,Kyra Stuurman,Marjon van Slegtenhorst,Tahsin Stefan Barakat,Maureen S Mulhern,Tristan T Sands,Cheryl Cytrynbaum,Rosanna Weksberg,Federica Isidori,Tommaso Pippucci,Giulia Severi,Francesca Montanari,Michael C Kruer,Somayeh Bakhtiari,Hossein Darvish,Heiko Reutter,Gregor Hagelueken,Matthias Geyer,Adrian S Woolf,Jennifer E Posey,James R Lupski,Benjamin Odermatt,Alina C Hilger

Physiological reports 9:e14696 PubMed33463897

2021

Klotho retards renal fibrosis through targeting mitochondrial dysfunction and cellular senescence in renal tubular cells.

Applications

Unspecified application

Species

Unspecified reactive species

Jinhua Miao,Jiewu Huang,Congwei Luo,Huiyun Ye,Xian Ling,Qinyu Wu,Weiwei Shen,Lili Zhou
View all publications

Product promise

We are committed to supporting your work with high-quality reagents, and we're here for you every step of the way. In the unlikely event that one of our products does not perform as expected, you're protected by our Product Promise.
For full details, please see our Terms & Conditions

Please note: All products are 'FOR RESEARCH USE ONLY. NOT FOR USE IN DIAGNOSTIC OR THERAPEUTIC PROCEDURES'.

For licensing inquiries, please contact partnerships@abcam.com