JavaScript is disabled in your browser. Please enable JavaScript to view this website.
AB217622

Anti-CENPA antibody

1

(1 Review)

|

(4 Publications)

Rabbit Polyclonal CENPA antibody. Suitable for IHC-P and reacts with Human samples. Cited in 4 publications. Immunogen corresponding to Synthetic Peptide within Human CENPA aa 50 to C-terminus conjugated to Keyhole Limpet Haemocyanin.

View Alternative Names

Histone H3-like centromeric protein A, Centromere autoantigen A, Centromere protein A, CENP-A, CENPA

1 Images
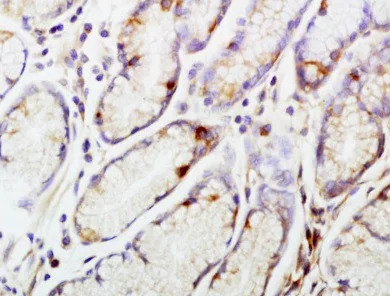
Immunohistochemistry (Formalin/PFA-fixed paraffin-embedded sections) - Anti-CENPA antibody (AB217622)
  • IHC-P

Supplier Data

Immunohistochemistry (Formalin/PFA-fixed paraffin-embedded sections) - Anti-CENPA antibody (AB217622)

Immunohistochemical analysis of formalin-fixed, paraffin-embedded human gastric carcinoma tissue labeling CENPA with ab217622 at 1/200 dilution followed by conjugation to the secondary antibody and DAB staining.

Key facts

Host species

Rabbit

Clonality

Polyclonal

Isotype

IgG

Carrier free

No

Reacts with

Human

Applications

IHC-P

applications

Immunogen

Synthetic Peptide within Human CENPA aa 50 to C-terminus conjugated to Keyhole Limpet Haemocyanin. The exact immunogen used to generate this antibody is proprietary information.

P49450

Reactivity data

{ "title": "Reactivity Data", "filters": { "stats": ["", "Species", "Dilution Info", "Notes"], "tabs": { "all-applications": {"fullname" : "All Applications", "shortname": "All Applications"}, "IHCP" : {"fullname" : "Immunohistochemistry (Formalin/PFA-fixed paraffin-embedded sections)", "shortname":"IHC-P"} }, "product-promise": { "all": "all", "testedAndGuaranteed": "tested", "guaranteed": "expected", "predicted": "predicted", "notRecommended": "not-recommended" } }, "values": { "Human": { "IHCP-species-checked": "testedAndGuaranteed", "IHCP-species-dilution-info": "1/100 - 1/500", "IHCP-species-notes": "<p></p>" }, "Mouse": { "IHCP-species-checked": "predicted", "IHCP-species-dilution-info": "", "IHCP-species-notes": "" }, "Rat": { "IHCP-species-checked": "predicted", "IHCP-species-dilution-info": "", "IHCP-species-notes": "" } } }

Properties and storage information

Form
Liquid
Purification technique
Affinity purification Protein A
Storage buffer
pH: 7.4 Preservative: 0.02% Proclin 300 Constituents: 50% Glycerol (glycerin, glycerine), 48.98% TBS, 1X, 1% BSA
Shipped at conditions
Blue Ice
Appropriate short-term storage duration
1-2 weeks
Appropriate short-term storage conditions
+4°C
Appropriate long-term storage conditions
-20°C
Aliquoting information
Upon delivery aliquot
Storage information
Avoid freeze / thaw cycle

Supplementary information

This supplementary information is collated from multiple sources and compiled automatically.

CENPA also known as Centromere Protein A is an essential component of the centromere specifically during cell division. It represents a histone H3 variant with an approximate mass of 17 kDa. This protein is expressed at the centromere regions of chromosomes where it substitutes conventional histone H3. CENPA facilitates the assembly of the kinetochore an important structure for chromosome segregation. Scientists also refer to this protein as CENP-A often in conjunction with studies involving anti-centromere antibodies and centromere staining.
Biological function summary

CENPA plays a central role in accurate chromosome segregation during mitosis and meiosis. It incorporates into nucleosomes at the centromere replacing standard histone H3 to promote kinetochore formation. CENPA is part of a larger protein complex known as the centromere. This complex propelled by CENPA drives proper attachment of chromosomes to spindle microtubules preventing aneuploidy.

Pathways

The kinetochore pathway and the chromosome segregation pathway both involve CENPA significantly. It functions in tandem with other centromeric proteins such as CENP-B and CENP-C which work collaboratively to sustain centromere integrity. CENPA interacts with these proteins to orchestrate correct alignment and separation of chromosomes integrating it into the foundational architecture of genetic stability.

CENPA has association with several chromosomal instability syndromes. Misregulation or mutation of this protein may contribute to cancer progression where improper chromosome segregation is an important factor. It also connects to other proteins like CENP-H implicated in malignancies due to errors in chromosome transmission. Additionally autoimmune diseases often involve centromere antibodies highlighting the connection of CENPA to disorders such as systemic sclerosis.

Product protocols

For this product, it's our understanding that no specific protocols are required. You can visit:

Target data

Histone H3-like nucleosomal protein that is specifically found in centromeric nucleosomes (PubMed : 11756469, PubMed : 14667408, PubMed : 15282608, PubMed : 15475964, PubMed : 15702419, PubMed : 17651496, PubMed : 19114591, PubMed : 20739937, PubMed : 27499292, PubMed : 7962047, PubMed : 9024683). Replaces conventional H3 in the nucleosome core of centromeric chromatin that serves as an assembly site for the inner kinetochore (PubMed : 18072184). The presence of CENPA subtly modifies the nucleosome structure and the way DNA is wrapped around the nucleosome and gives rise to protruding DNA ends that are less well-ordered and rigid compared to nucleosomes containing histone H3 (PubMed : 26878239, PubMed : 27499292). May serve as an epigenetic mark that propagates centromere identity through replication and cell division (PubMed : 15282608, PubMed : 15475964, PubMed : 20739937, PubMed : 21478274, PubMed : 26878239). Required for recruitment and assembly of kinetochore proteins, and as a consequence required for progress through mitosis, chromosome segregation and cytokinesis (PubMed : 11756469, PubMed : 14667408, PubMed : 18072184, PubMed : 23818633, PubMed : 25556658, PubMed : 27499292).
See full target information CENPA

Publications (4)

Recent publications for all applications. Explore the full list and refine your search

Scientific reports 15:26672 PubMed40696131

2025

The P4HB/LGALS3BP/NF-kB axis promotes the progression of MIA to IAC in lung adenocarcinoma.

Applications

Unspecified application

Species

Unspecified reactive species

Guang Mu,Wenhao Zhang,Yan Gu,Hongchang Wang,Jingjing Huang,Chengyu Bian,Ke Wei,Yang Xia,Jun Wang

Biomedicines 12: PubMed39200236

2024

The Impact of DAXX, HJURP and CENPA Expression in Uveal Melanoma Carcinogenesis and Associations with Clinicopathological Parameters.

Applications

Unspecified application

Species

Unspecified reactive species

Alexandros Pergaris,Georgia Levidou,Georgios Mandrakis,Maria-Ioanna Christodoulou,Michail V Karamouzis,Jerzy Klijanienko,Stamatios Theocharis

International journal of molecular sciences 23: PubMed35955489

2022

Unraveling the Role of Histone Variant CENP-A and Chaperone HJURP Expression in Thymic Epithelial Neoplasms.

Applications

Unspecified application

Species

Unspecified reactive species

Georgia Levidou,Konstantinos Palamaris,Alexandros G Sykaras,Georgios Andreadakis,Christos Masaoutis,Irene Theochari,Penelope Korkolopoulou,Dimitra Rontogianni,Stamatios Theocharis

Digestive surgery 39:24-31 PubMed34788753

2021

Identification and Validation of Hub Genes Predicting Prognosis of Hepatocellular Carcinoma.

Applications

Unspecified application

Species

Unspecified reactive species

Ziyan Chen,Haitao Yu,Lijun Wu,Sina Zhang,Zhihui Lin,Tuo Deng,Bangjie He,Zhengping Yu,Gang Chen,Fang Wu
View all publications

Product promise

We are committed to supporting your work with high-quality reagents, and we're here for you every step of the way. In the unlikely event that one of our products does not perform as expected, you're protected by our Product Promise.
For full details, please see our Terms & Conditions

Please note: All products are 'FOR RESEARCH USE ONLY. NOT FOR USE IN DIAGNOSTIC OR THERAPEUTIC PROCEDURES'.

For licensing inquiries, please contact partnerships@abcam.com