JavaScript is disabled in your browser. Please enable JavaScript to view this website.
AB323567

Anti-CENPA antibody [EPR26697-213]

Be the first to review this product! Submit a review

|

(0 Publication)

Rabbit Recombinant Monoclonal CENPA antibody. Suitable for ICC/IF, WB and reacts with Human, Mouse samples.

View Alternative Names

Histone H3-like centromeric protein A, Centromere autoantigen A, Centromere protein A, CENP-A, CENPA

5 Images
Immunocytochemistry/ Immunofluorescence - Anti-CENPA antibody [EPR26697-213] (AB323567)
  • ICC/IF

Supplier Data

Immunocytochemistry/ Immunofluorescence - Anti-CENPA antibody [EPR26697-213] (AB323567)

Immunofluorescent analysis of 100% methanol-fixed, 0.1% TritonX-100 permeabilized HeLa (human cervical adenocarcinoma epithelial cell) cells labelling CENPA with ab323567 at 1/8000 (0.065 ug/ml) dilution, followed by ab150081 Goat Anti-Rabbit IgG H&L (Alexa Fluor® 488) preadsorbed antibody at 1/1000 2 ug/ml dilution (Green).

Confocal image showing nuclear staining in HeLa cells, and centromeric staining at M phase (shown in green). The counterstain was observed in magenta. Nuclear DNA was labelled with DAPI (shown in blue). Image was taken with a confocal microscope (Leica-Microsystems, TCS SP8).

ab195889 Anti-alpha Tubulin mouse monoclonal antibody - Microtubule Marker (Alexa Fluor® 594) was used to counterstain tubulin at 1/200 2.5ug/ml dilution (Magenta). The Nuclear counterstain was DAPI (Blue).

Secondary antibody only control : Secondary antibody is ab150081 Goat Anti-Rabbit IgG H&L (Alexa Fluor® 488) preadsorbed at 1/1000 2 ug/ml dilution.

Immunocytochemistry/ Immunofluorescence - Anti-CENPA antibody [EPR26697-213] (AB323567)
  • ICC/IF

Supplier Data

Immunocytochemistry/ Immunofluorescence - Anti-CENPA antibody [EPR26697-213] (AB323567)

Immunofluorescent analysis of 100% methanol-fixed, 0.1% TritonX-100 permeabilized NIH/3T3 (mouse embryonic fibroblast) cells labelling CENPA with ab323567 at 1/8000 (0.065 ug/ml) dilution, followed by ab150081 Goat Anti-Rabbit IgG H&L (Alexa Fluor® 488) preadsorbed antibody at 1/1000 2 ug/ml dilution (Green).

Confocal image showing nuclear staining in NIH/3T3 cells, and centromeric staining at M phase (shown in green). The counterstain was observed in magenta. Nuclear DNA was labelled with DAPI (shown in blue). Image was taken with a confocal microscope (Leica-Microsystems, TCS SP8).

ab195889 Anti-alpha Tubulin mouse monoclonal antibody - Microtubule Marker (Alexa Fluor® 594) was used to counterstain tubulin at 1/200 2.5ug/ml dilution (Magenta). The Nuclear counterstain was DAPI (Blue).

Secondary antibody only control : Secondary antibody is ab150081 Goat Anti-Rabbit IgG H&L (Alexa Fluor® 488) preadsorbed at 1/1000 2 ug/ml dilution.

Western blot - Anti-CENPA antibody [EPR26697-213] (AB323567)
  • WB

Supplier Data

Western blot - Anti-CENPA antibody [EPR26697-213] (AB323567)

Blocking and diluting buffer and concentration : 5% NFDM/TBST.

In Western blot, Anti-GAPDH antibody [EPR16891] - Loading Control (ab181602) staining at 1/200000 dilution.

All lanes:

Western blot - Anti-CENPA antibody [EPR26697-213] (ab323567) at 1/1000 dilution

Lane 1:

Human lymph node tissue lysate at 40 µg

Lane 2:

Mouse testis tissue lysate at 40 µg

Lane 3:

Mouse breast tissue lysate at 40 µg

Secondary

All lanes:

Western blot - Goat Anti-Rabbit IgG H&L (HRP) (<a href='/en-us/products/secondary-antibodies/goat-rabbit-igg-h-l-hrp-ab97051'>ab97051</a>) at 1/100000 dilution

false

Exposure time: 180s

Western blot - Anti-CENPA antibody [EPR26697-213] (AB323567)
  • WB

Supplier Data

Western blot - Anti-CENPA antibody [EPR26697-213] (AB323567)

Blocking and diluting buffer and concentration : 5% NFDM/TBST.

To minimize protein degradation, cells were lysed immediately after harvest and then applied to a gel and transfer membrane for Western blotting as soon as possible.

In Western blot, Anti-GAPDH antibody [EPR16891] - Loading Control (ab181602) staining at 1/200000 dilution.

All lanes:

Western blot - Anti-CENPA antibody [EPR26697-213] (ab323567) at 1/1000 dilution

Lane 1:

HeLa (human cervical adenocarcinoma epithelial cell) whole cell lysate at 20 µg

Lane 2:

NIH/3T3 (mouse embryonic fibroblast) whole cell lysate at 20 µg

Secondary

All lanes:

Western blot - Goat Anti-Rabbit IgG H&L (HRP) (<a href='/en-us/products/secondary-antibodies/goat-rabbit-igg-h-l-hrp-ab97051'>ab97051</a>) at 1/20000 dilution

false

Exposure time: 180s

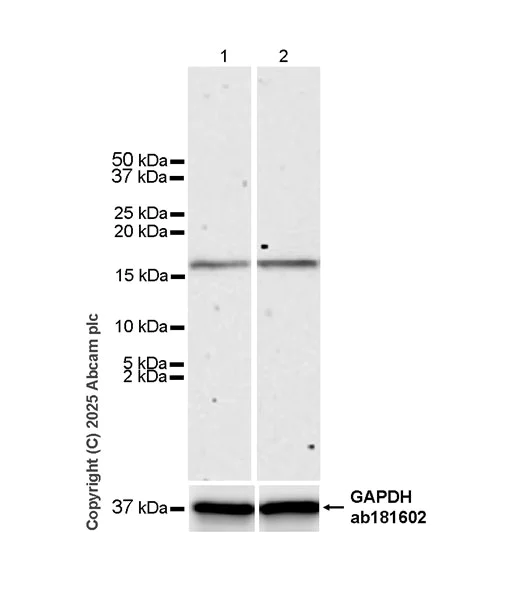
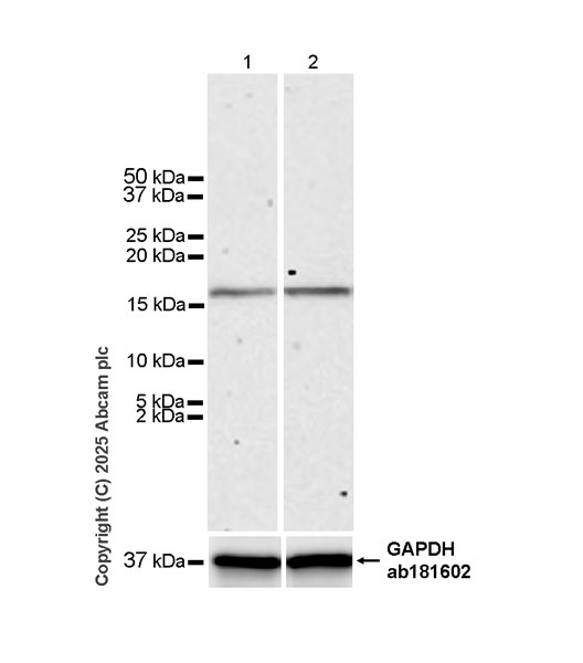
Western blot - Anti-CENPA antibody [EPR26697-213] (AB323567)
  • WB

Supplier Data

Western blot - Anti-CENPA antibody [EPR26697-213] (AB323567)

Blocking and diluting buffer and concentration : 5% NFDM/TBST.

In Western blot, Anti-GAPDH antibody [EPR16891] - Loading Control (ab181602) staining at 1/200000 dilution.

All lanes:

Western blot - Anti-CENPA antibody [EPR26697-213] (ab323567) at 1/1000 dilution

Lane 1:

HEK-293 (human embryonic kidney epithelial cell) transfected with scrambled siRNA control whole cell lysate at 20 µg

Lane 2:

HEK-293 transfected with siRNA specifically targeting CENPA whole cell lysate at 20 µg

Secondary

All lanes:

Western blot - Goat Anti-Rabbit IgG H&L (HRP) (<a href='/en-us/products/secondary-antibodies/goat-rabbit-igg-h-l-hrp-ab97051'>ab97051</a>) at 1/20000 dilution

Observed band size: 17 kDa,36 kDa

false

Exposure time: 180s

Key facts

Host species

Rabbit

Clonality

Monoclonal

Clone number

EPR26697-213

Isotype

IgG

Carrier free

No

Reacts with

Human, Mouse

Applications

WB, ICC/IF

applications

Immunogen

The exact immunogen used to generate this antibody is proprietary information.

Reactivity data

{ "title": "Reactivity Data", "filters": { "stats": ["", "Species", "Dilution Info", "Notes"], "tabs": { "all-applications": {"fullname" : "All Applications", "shortname": "All Applications"}, "ICCIF" : {"fullname" : "Immunocytochemistry/ Immunofluorescence", "shortname":"ICC/IF"}, "WB" : {"fullname" : "Western blot", "shortname":"WB"}, "ChIPseq" : {"fullname" : "ChIP-sequencing", "shortname":"ChIP-seq"}, "IP" : {"fullname" : "Immunoprecipitation", "shortname":"IP"}, "ChICCUTRUNseq" : {"fullname" : "ChIC/CUT&RUN sequencing", "shortname":"ChIC/CUT&RUN-seq"} }, "product-promise": { "all": "all", "testedAndGuaranteed": "tested", "guaranteed": "expected", "predicted": "predicted", "notRecommended": "not-recommended" } }, "values": { "Human": { "ICCIF-species-checked": "testedAndGuaranteed", "ICCIF-species-dilution-info": "1/8000", "ICCIF-species-notes": "<p></p>", "WB-species-checked": "testedAndGuaranteed", "WB-species-dilution-info": "1/1000", "WB-species-notes": "<p></p>", "ChIPseq-species-checked": "notRecommended", "ChIPseq-species-dilution-info": "", "ChIPseq-species-notes": "<p></p>", "IP-species-checked": "notRecommended", "IP-species-dilution-info": "", "IP-species-notes": "<p></p>", "ChICCUTRUNseq-species-checked": "notRecommended", "ChICCUTRUNseq-species-dilution-info": "", "ChICCUTRUNseq-species-notes": "<p></p>" }, "Mouse": { "ICCIF-species-checked": "testedAndGuaranteed", "ICCIF-species-dilution-info": "1/8000", "ICCIF-species-notes": "<p></p>", "WB-species-checked": "testedAndGuaranteed", "WB-species-dilution-info": "1/1000", "WB-species-notes": "<p></p>", "ChIPseq-species-checked": "notRecommended", "ChIPseq-species-dilution-info": "", "ChIPseq-species-notes": "<p></p>", "IP-species-checked": "notRecommended", "IP-species-dilution-info": "", "IP-species-notes": "<p></p>", "ChICCUTRUNseq-species-checked": "notRecommended", "ChICCUTRUNseq-species-dilution-info": "", "ChICCUTRUNseq-species-notes": "<p></p>" } } }

Product details

Patented technology
Our RabMAb® technology is a patented hybridoma-based technology for making rabbit monoclonal antibodies. For details on our patents, please refer to RabMAb® patents.

What are the advantages of a recombinant monoclonal antibody?
This product is a recombinant monoclonal antibody, which offers several advantages including:

  • - High batch-to-batch consistency and reproducibility
  • - Improved sensitivity and specificity
  • - Long-term security of supply
  • - Animal-free batch production

For more information, read more on recombinant antibodies.

Properties and storage information

Form
Liquid
Purification technique
Affinity purification Protein A
Storage buffer
pH: 7.2 - 7.4 Preservative: 0.01% Sodium azide Constituents: PBS, 40% Glycerol (glycerin, glycerine), 0.05% BSA
Shipped at conditions
Blue Ice
Appropriate short-term storage duration
1-2 weeks
Appropriate short-term storage conditions
+4°C
Appropriate long-term storage conditions
-20°C
Aliquoting information
Upon delivery aliquot
Storage information
Avoid freeze / thaw cycle

Product protocols

For this product, it's our understanding that no specific protocols are required. You can visit:

Target data

Histone H3-like nucleosomal protein that is specifically found in centromeric nucleosomes (PubMed : 11756469, PubMed : 14667408, PubMed : 15282608, PubMed : 15475964, PubMed : 15702419, PubMed : 17651496, PubMed : 19114591, PubMed : 20739937, PubMed : 27499292, PubMed : 7962047, PubMed : 9024683). Replaces conventional H3 in the nucleosome core of centromeric chromatin that serves as an assembly site for the inner kinetochore (PubMed : 18072184). The presence of CENPA subtly modifies the nucleosome structure and the way DNA is wrapped around the nucleosome and gives rise to protruding DNA ends that are less well-ordered and rigid compared to nucleosomes containing histone H3 (PubMed : 26878239, PubMed : 27499292). May serve as an epigenetic mark that propagates centromere identity through replication and cell division (PubMed : 15282608, PubMed : 15475964, PubMed : 20739937, PubMed : 21478274, PubMed : 26878239). Required for recruitment and assembly of kinetochore proteins, and as a consequence required for progress through mitosis, chromosome segregation and cytokinesis (PubMed : 11756469, PubMed : 14667408, PubMed : 18072184, PubMed : 23818633, PubMed : 25556658, PubMed : 27499292).
See full target information CENPA

Product promise

We are committed to supporting your work with high-quality reagents, and we're here for you every step of the way. In the unlikely event that one of our products does not perform as expected, you're protected by our Product Promise.
For full details, please see our Terms & Conditions

Please note: All products are 'FOR RESEARCH USE ONLY. NOT FOR USE IN DIAGNOSTIC OR THERAPEUTIC PROCEDURES'.

For licensing inquiries, please contact partnerships@abcam.com