JavaScript is disabled in your browser. Please enable JavaScript to view this website.
AB259855

Anti-CENPB antibody [EPR24047-64]

  • BOND RX™ Validated
  • 20ul selling size
  • RabMAb
  • Recombinant
  • KO Validated
  • What is this?

Be the first to review this product! Submit a review

|

(4 Publications)

Anti-CENPB antibody [EPR24047-64] (ab259855) is a rabbit monoclonal antibody detecting CENPB in Western Blot, Flow Cytometry (Intra), Flow Cytometry, IP, IHC-P, ICC/IF. Suitable for Human, Mouse, Rat.

- KO validated for confirmed specificity
- Biophysical QC for unrivalled batch-batch consistency

View Alternative Names

Major centromere autoantigen B, Centromere protein B, CENP-B, CENPB

10 Images
Flow Cytometry (Intracellular) - Anti-CENPB antibody [EPR24047-64] (AB259855)
  • Flow Cyt (Intra)

Supplier Data

Flow Cytometry (Intracellular) - Anti-CENPB antibody [EPR24047-64] (AB259855)

Flow cytometric analysis of 4% paraformaldehyde fixed 90% methanol permeabilized HeLa (human cervix adenocarcinoma epithelial cell) cells labelling CENPB with ab259855 at 1/50 dilution (Red) compared with a Rabbit monoclonal IgG (ab172730) (Black) isotype control and an unlabelled control (cells without incubation with primary antibody and secondary antibody) (Blue). A Goat Anti-Rabbit IgG (Alexa Fluor® 488, ab150081) at 1/2000 dilution was used as the secondary antibody.

Immunocytochemistry/ Immunofluorescence - Anti-CENPB antibody [EPR24047-64] (AB259855)
  • ICC/IF

Supplier Data

Immunocytochemistry/ Immunofluorescence - Anti-CENPB antibody [EPR24047-64] (AB259855)

Immunofluorescent analysis of 4% Paraformaldehyde-fixed, 0.1% TritonX-100 permeabilized HeLa cells labelling CENPB with ab259855 at 1/50 dilution, followed by ab150081 Goat Anti-Rabbit IgG H&L (Alexa Fluor® 488) preadsorbed antibody at 1/1000 2 µg/mL dilution (Green). Confocal image showing centromere staining in HeLa cell line. is observed. ab195889 Anti-alpha Tubulin mouse monoclonal antibody - Microtubule Marker (Alexa Fluor® 594) was used to counterstain tubulin at 1/200 2.5µg/mL dilution (Red). The Nuclear counterstain was DAPI (Blue). Secondary antibody only control : Secondary antibody is ab150081 Goat Anti-Rabbit IgG H&L (Alexa Fluor® 488) preadsorbed at 1/1000 2 µg/mL dilution.

Immunohistochemistry (Formalin/PFA-fixed paraffin-embedded sections) - Anti-CENPB antibody [EPR24047-64] (AB259855)
  • IHC-P

Supplier Data

Immunohistochemistry (Formalin/PFA-fixed paraffin-embedded sections) - Anti-CENPB antibody [EPR24047-64] (AB259855)

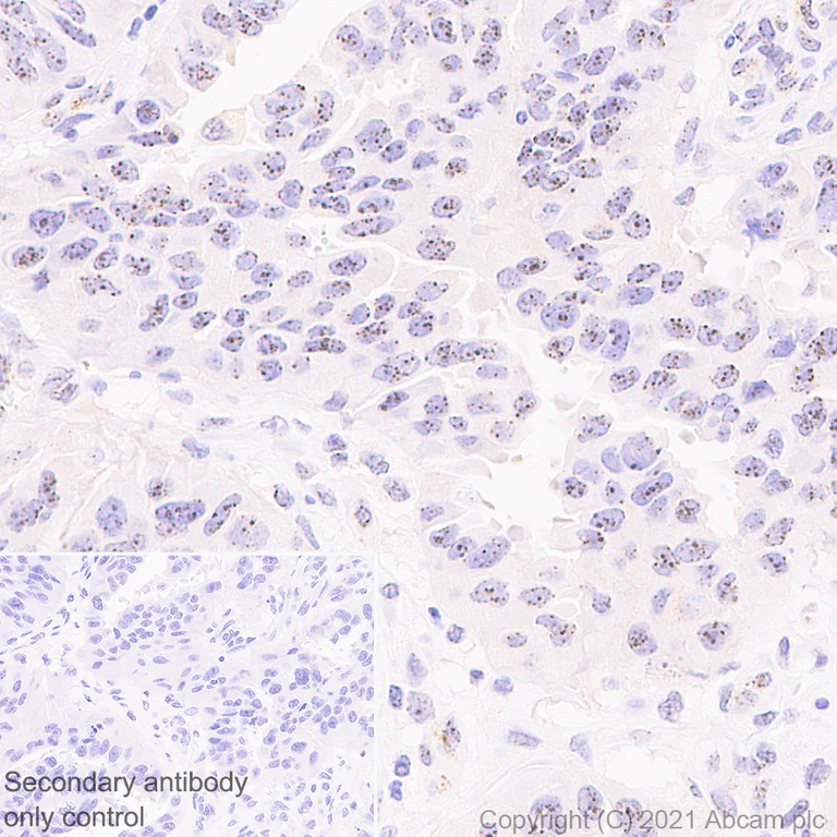
Immunohistochemical analysis of paraffin-embedded Human ovarian carcinoma tissue labelling CENPB with ab259855 at 1/100 (5.39 µg/mL) followed by a ready to use LeicaDS9800 (Bond™ Polymer Refine Detection) was used. Positive staining on centromere in human ovarian carcinoma (PMID : 12839935).The section was incubated with ab259855 for 30 mins at room temperature.The immunostaining was performed on a Leica Biosystems BOND® RX instrument Counterstained with Hematoxylin.

Secondary antibody only control : Secondary antibody is a ready to use LeicaDS9800 (Bond™ Polymer Refine Detection) was used.

Heat mediated antigen retrieval with Tris-EDTA buffer (pH 9.0, epitope retrieval solution2) for 20 mins.

Immunohistochemistry (Formalin/PFA-fixed paraffin-embedded sections) - Anti-CENPB antibody [EPR24047-64] (AB259855)
  • IHC-P

Supplier Data

Immunohistochemistry (Formalin/PFA-fixed paraffin-embedded sections) - Anti-CENPB antibody [EPR24047-64] (AB259855)

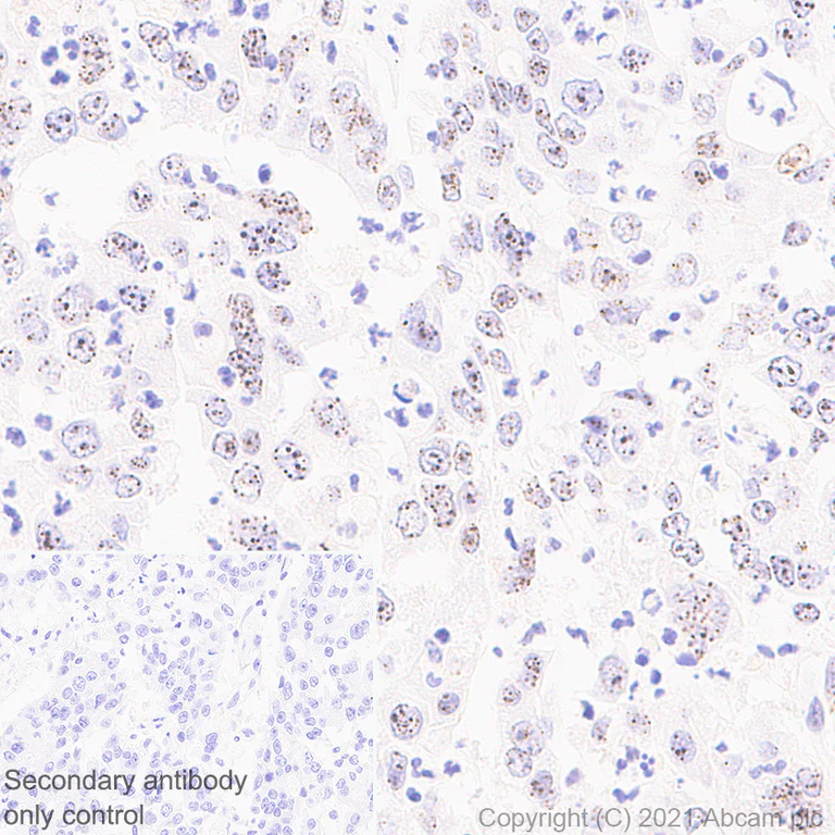
Immunohistochemical analysis of paraffin-embedded Human gastric cancer tissue labelling CENPB with ab259855 at 1/100 (5.39 μg/mL) followed by a ready to use LeicaDS9800 (Bond™ Polymer Refine Detection) was used. Positive staining on centromere in human gastric cancer (PMID : 12839935). The section was incubated with ab259855 for 30 mins at room temperature.The immunostaining was performed on a Leica Biosystems BOND® RX instrument Counterstained with Hematoxylin.

Secondary antibody only control : Secondary antibody is a ready to use LeicaDS9800 (Bond™ Polymer Refine Detection) was used.

Heat mediated antigen retrieval with Tris-EDTA buffer (pH 9.0, epitope retrieval solution2) for 20 mins.

Immunohistochemistry (Formalin/PFA-fixed paraffin-embedded sections) - Anti-CENPB antibody [EPR24047-64] (AB259855)
  • IHC-P

Lab

Immunohistochemistry (Formalin/PFA-fixed paraffin-embedded sections) - Anti-CENPB antibody [EPR24047-64] (AB259855)

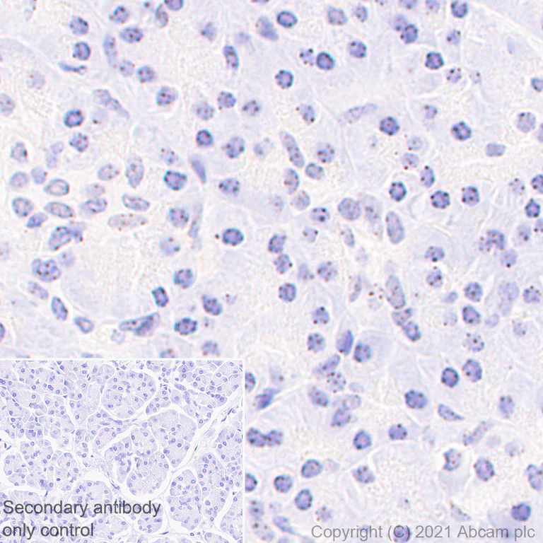
Immunohistochemical analysis of paraffin-embedded Human pancreas tissue labelling CENPB with ab259855 at 1/100 (5.39 μg/mL) followed by a ready to use LeicaDS9800 (Bond™ Polymer Refine Detection) was used. Positive staining on centromere in human pancreas (PMID : 12839935). The section was incubated with ab259855 for 30 mins at room temperature.The immunostaining was performed on a Leica Biosystems BOND® RX instrument Counterstained with Hematoxylin.

Secondary antibody only control : Secondary antibody is a ready to use LeicaDS9800 (Bond™ Polymer Refine Detection) was used.

Heat mediated antigen retrieval with Tris-EDTA buffer (pH 9.0, epitope retrieval solution2) for 20 mins.

Immunoprecipitation - Anti-CENPB antibody [EPR24047-64] (AB259855)
  • IP

Supplier Data

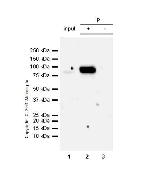
Immunoprecipitation - Anti-CENPB antibody [EPR24047-64] (AB259855)

CENPB was immunoprecipitated from 0.35 mg HeLa (human cervix adenocarcinoma epithelial cell) whole cell lysate 10 μg with ab259855 at 1/30 dilution (2 μg in 0.35mg lysates). Western blot was performed on the immunoprecipitate using ab259855 at 1/1000 dilution. VeriBlot for IP secondary antibody (HRP) (ab131366) was used at 1/5000 dilution.

Lane 1 : HeLa (human cervix adenocarcinoma epithelial cell) whole cell lysate 10 ug

Lane 2 : ab259855 IP in HeLa whole cell lysate

Lane 3 : Rabbit monoclonal IgG (ab172730) instead of ab259855 in HeLa whole cell lysate

Blocking and dilution buffer and concentration : 5% NFDM/TBST.

Exposure time : 15 seconds.

All lanes:

Immunoprecipitation - Anti-CENPB antibody [EPR24047-64] (ab259855)

Predicted band size: 65 kDa

false

Immunoprecipitation - Anti-CENPB antibody [EPR24047-64] (AB259855)
  • IP

Supplier Data

Immunoprecipitation - Anti-CENPB antibody [EPR24047-64] (AB259855)

CENPB was immunoprecipitated from 0.35 mg NIH/3T3 (mouse embryonic fibroblast) whole cell lysate 10 μg with ab259855 at 1/30 dilution (2 μg in 0.35mg lysates). Western blot was performed on the immunoprecipitate using ab259855 at 1/1000 dilution. VeriBlot for IP secondary antibody (HRP) (ab131366) was used at 1/5000 dilution.

Lane 1 : NIH/3T3 (mouse embryonic fibroblast) whole cell lysate 10 ug
Lane 2 : ab259855 IP in NIH/3T3 whole cell lysate
Lane 3 : Rabbit monoclonal IgG (ab172730) instead of ab259855 in NIH/3T3 whole cell lysate

Blocking and dilution buffer and concentration : 5% NFDM/TBST.

Exposure time : 3 minutes

All lanes:

Immunoprecipitation - Anti-CENPB antibody [EPR24047-64] (ab259855)

Predicted band size: 65 kDa

false

Western blot - Anti-CENPB antibody [EPR24047-64] (AB259855)
  • WB

Lab

Western blot - Anti-CENPB antibody [EPR24047-64] (AB259855)

Blocking and diluting buffer and concentration : 5% NFDM/TBST. Lysates were made freshly and used in WB test immediately to minimize protein degradation. Fresh lysates are preferred in this product. Exposure time : 3 minutes

All lanes:

Western blot - Anti-CENPB antibody [EPR24047-64] (ab259855) at 1/1000 dilution

Lane 1:

HeLa (Human cervix adenocarcinoma epithelial cell) whole cell lysate

Lane 2:

HEK-293T (human embryonic kidney epithelial cell) whole cell lysate

Lane 2:

Western blot - Human CENPB knockout A-431 cell line (<a href='/en-us/products/cell-lines/human-cenpb-knockout-a-431-cell-line-ab274919'>ab274919</a>)

Lane 3:

NIH/3T3 (mouse embryonic fibroblast) whole cell lysate

Lane 4:

PC-12 (rat adrenal gland pheochromocytoma) whole cell lysate

Secondary

Lane 1:

Goat Anti-Rabbit IgG, (H+L), Peroxidase conjugated

Lanes 2 - 4:

Western blot - Goat Anti-Rabbit IgG H&L (HRP) (<a href='/en-us/products/secondary-antibodies/goat-rabbit-igg-h-l-hrp-ab97051'>ab97051</a>) at 1/50000 dilution

Lanes 2 - 3:

Goat Anti-Rabbit IgG, (H+L), Peroxidase conjugated at 1/50000 dilution

Lane 4:

Goat Anti-Rabbit IgG, (H+L), Peroxidase conjugated (<a href='/en-us/products/secondary-antibodies/goat-rabbit-igg-h-l-hrp-ab97051'>ab97051</a>) at 1/50000 dilution

Predicted band size: 65 kDa

false

Western blot - Anti-CENPB antibody [EPR24047-64] (AB259855)
  • WB

Lab

Western blot - Anti-CENPB antibody [EPR24047-64] (AB259855)

Lanes 1-4 : Merged signal (red and green). Green - ab259855 observed at 75 kDa. Red - loading control ab8245 observed at 36 kDa.

Blocking and diluting buffer and concentration : Intercept® (TBS) Blocking Buffer diluted with an equal volume of 0.1% TBST.

ab259855 Anti-CENPB antibody [EPR24047-64] was shown to specifically react with CENPB in wild-type A431 cells. Loss of signal was observed when the knockout cell line ab274919 (knockout cell lysate ab274977) was used. Wild-type and CENPB knockout samples were subjected to SDS-PAGE. ab259855 and Anti-GAPDH antibody [6C5] - Loading Control (ab8245) were incubated at 4°C overnight at 1 in 1000 dilution and 1 in 20000 dilution respectively. Blots were developed with Goat anti-Rabbit IgG H&L (IRDye® 800CW) preadsorbed (ab216773) and Goat anti-Mouse IgG H&L (IRDye® 680RD) preadsorbed (ab216776) secondary antibodies at 1 in 10000 dilution for 1 hour at room temperature before imaging.

Fresh lysates are preferred in this product.

All lanes:

Western blot - Anti-CENPB antibody [EPR24047-64] (ab259855) at 1/1000 dilution

Lane 1:

Wild-type A431 (human epidermoid carcinoma epithelial cell) whole cell lysate

Lane 2:

CENPB knockout A431 whole cell lysate

Lane 3:

Jurkat (human T cell leukemia T lymphocyte) whole cell lysate

Lane 4:

HeLa (human cervix adenocarcinoma epithelial cell) whole cell lysate

Secondary

All lanes:

Western blot - Goat anti-Mouse IgG H&L (IRDye® 680RD) preadsorbed (<a href='/en-us/products/secondary-antibodies/goat-mouse-igg-h-l-irdye-680rd-preadsorbed-ab216776'>ab216776</a>) at 1/10000 dilution

Predicted band size: 65 kDa

false

Western blot - Anti-CENPB antibody [EPR24047-64] (AB259855)
  • WB

Lab

Western blot - Anti-CENPB antibody [EPR24047-64] (AB259855)

Blocking and diluting buffer and concentration : Intercept® (TBS) Blocking Buffer diluted with an equal volume of 0.1% TBS

Lanes 1-4 : Merged signal (red and green). Green - ab259855 observed at 75 kDa. Red - loading control ab8245 observed at 36 kDa.

ab259855 Anti-CENPB antibody [EPR24047-64] was shown to specifically react with CENPB in wild-type A431 cells. Loss of signal was observed when the knockout cell line ab274919 (knockout cell lysate ab274977) was used. Wild-type and CENPB knockout samples were subjected to SDS-PAGE. ab259855 and Anti-GAPDH antibody [6C5] - Loading Control (ab8245) were incubated at 4°C overnight at 1 in 1000 dilution and 1 in 20000 dilution respectively. Blots were developed with Goat anti-Rabbit IgG H&L (IRDye® 800CW) preadsorbed (ab216773) and Goat anti-Mouse IgG H&L (IRDye® 680RD) preadsorbed (ab216776) secondary antibodies at 1 in 10000 dilution for 1 hour at room temperature before imaging.

Fresh lysates are preferred in this product.

All lanes:

Western blot - Anti-CENPB antibody [EPR24047-64] (ab259855) at 1/1000 dilution

Lane 1:

Wild-type A431 (human epidermoid carcinoma epithelial cell) whole cell lysate

Lane 2:

CENPB knockout A431 whole cell lysate

Lane 3:

Jurkat (human T cell leukemia T lymphocyte) whole cell lysate

Lane 4:

HeLa (human cervix adenocarcinoma epithelial cell) whole cell lysate

Secondary

All lanes:

Goat Anti-Rabbit IgG H&L (IRDye® 800CW) (<a href='/en-us/products/secondary-antibodies/goat-rabbit-igg-h-l-irdye-800cw-preadsorbed-ab216773'>ab216773</a>) and Goat Anti-Mouse IgG H&L (IRDye® 680RD) (<a href='/en-us/products/secondary-antibodies/goat-mouse-igg-h-l-irdye-680rd-preadsorbed-ab216776'>ab216776</a>) at 1/10000 dilution

Predicted band size: 65 kDa

false

Key facts

Host species

Rabbit

Clonality

Monoclonal

Clone number

EPR24047-64

Isotype

IgG

Carrier free

No

Reacts with

Rat, Human, Mouse

Applications

WB, ICC/IF, IP, IHC-P, Flow Cyt (Intra)

applications

Immunogen

The exact immunogen used to generate this antibody is proprietary information.

Reactivity data

{ "title": "Reactivity Data", "filters": { "stats": ["", "Species", "Dilution Info", "Notes"], "tabs": { "all-applications": {"fullname" : "All Applications", "shortname": "All Applications"}, "ICCIF" : {"fullname" : "Immunocytochemistry/ Immunofluorescence", "shortname":"ICC/IF"}, "IP" : {"fullname" : "Immunoprecipitation", "shortname":"IP"}, "FlowCytIntra" : {"fullname" : "Flow Cytometry (Intracellular)", "shortname":"Flow Cyt (Intra)"}, "WB" : {"fullname" : "Western blot", "shortname":"WB"}, "IHCP" : {"fullname" : "Immunohistochemistry (Formalin/PFA-fixed paraffin-embedded sections)", "shortname":"IHC-P"} }, "product-promise": { "all": "all", "testedAndGuaranteed": "tested", "guaranteed": "expected", "predicted": "predicted", "notRecommended": "not-recommended" } }, "values": { "Human": { "ICCIF-species-checked": "testedAndGuaranteed", "ICCIF-species-dilution-info": "1/50", "ICCIF-species-notes": "<p></p>", "IP-species-checked": "testedAndGuaranteed", "IP-species-dilution-info": "1/30", "IP-species-notes": "<p></p>", "FlowCytIntra-species-checked": "testedAndGuaranteed", "FlowCytIntra-species-dilution-info": "1/50", "FlowCytIntra-species-notes": "<p></p>", "WB-species-checked": "testedAndGuaranteed", "WB-species-dilution-info": "1/1000", "WB-species-notes": "<p></p>", "IHCP-species-checked": "testedAndGuaranteed", "IHCP-species-dilution-info": "1/100", "IHCP-species-notes": "<p></p>" }, "Mouse": { "ICCIF-species-checked": "notRecommended", "ICCIF-species-dilution-info": "1/50", "ICCIF-species-notes": "<p></p>", "IP-species-checked": "testedAndGuaranteed", "IP-species-dilution-info": "1/30", "IP-species-notes": "<p></p>", "FlowCytIntra-species-checked": "notRecommended", "FlowCytIntra-species-dilution-info": "1/50", "FlowCytIntra-species-notes": "<p></p>", "WB-species-checked": "testedAndGuaranteed", "WB-species-dilution-info": "1/1000", "WB-species-notes": "<p></p>", "IHCP-species-checked": "notRecommended", "IHCP-species-dilution-info": "1/100", "IHCP-species-notes": "<p></p>" }, "Rat": { "ICCIF-species-checked": "guaranteed", "ICCIF-species-dilution-info": "", "ICCIF-species-notes": "", "IP-species-checked": "guaranteed", "IP-species-dilution-info": "", "IP-species-notes": "", "FlowCytIntra-species-checked": "guaranteed", "FlowCytIntra-species-dilution-info": "", "FlowCytIntra-species-notes": "", "WB-species-checked": "testedAndGuaranteed", "WB-species-dilution-info": "1/1000", "WB-species-notes": "<p></p>", "IHCP-species-checked": "notRecommended", "IHCP-species-dilution-info": "1/100", "IHCP-species-notes": "<p></p>" } } }

Product details

What is this antibody validated in?
Anti-CENPB antibody [EPR24047-64] (ab259855) is a rabbit recombinant monoclonal antibody and is validated for use in Western Blot (WB), Flow Cytometry (Intra), Flow Cytometry (Flow Cyt), Immunoprecipitation (IP), Immunohistochemistry (IHC-P), Immunocytochemistry/immunofluorescence (ICC/IF) in Human, Mouse, Rat samples.

What is the molecular weight of CENPB?
Anti-CENPB [EPR24047-64] (ab259855) specifically detects a band for CENPB (UniProt: P07199) at a molecular weight of 65kDa.

Trial sizes available!
Test your antibody or perform pre-screening before committing to a larger quantity. Sold in 10µl. Discover our selection of trial-size antibodies.

Specificity confirmed
The specificity of Anti-CENPB antibody [EPR24047-64] (ab259855) has been confirmed by Western blot testing in CENPB Knockout A431 cells.

Other related products
We have a range of other formats of antibody clone [EPR24047-64] also available for your convenience: ab259855, Carrier free - ab284394, Alexa Fluor® 488 - ab300674, Alexa Fluor® 647 - ab300733

Patented technology
Our RabMAb® technology is a patented hybridoma-based technology for making rabbit monoclonal antibodies. For details on our patents, please refer to RabMAb® patents.

What are the advantages of a recombinant monoclonal antibody?
This product is a recombinant monoclonal antibody, which offers several advantages including:

  • - High batch-to-batch consistency and reproducibility
  • - Improved sensitivity and specificity
  • - Long-term security of supply
  • - Animal-free batch production

For more information, read more on recombinant antibodies.

Properties and storage information

Form
Liquid
Purification technique
Affinity purification Protein A
Storage buffer
pH: 7.2 - 7.4 Preservative: 0.01% Sodium azide Constituents: PBS, 40% Glycerol (glycerin, glycerine), 0.05% BSA
Shipped at conditions
Blue Ice
Appropriate short-term storage duration
1-2 weeks
Appropriate short-term storage conditions
+4°C
Appropriate long-term storage conditions
-20°C
Aliquoting information
Upon delivery aliquot
Storage information
Avoid freeze / thaw cycle

Supplementary information

This supplementary information is collated from multiple sources and compiled automatically.

CENP-B also known as Centromere Protein B is a protein with a molecular weight of approximately 80 kDa. It binds to the centromeric DNA and plays a critical role in centromere formation and function. CENP-B is heavily expressed in dividing cells particularly in tissues where cell proliferation is high such as bone marrow and epithelial tissues. Researchers often use tools like anti-CENP-B antibodies and CENP-B ELISA kits to study its expression in various experimental settings.
Biological function summary

CENP-B participates in the assembly of the centromere protein complex contributing to the stability and maintenance of the centromere structure during cell division. It acts as a foundation for kinetochore nucleation ensuring proper chromosome segregation. CENP-B is involved in the formation of the CENP-A nucleosome complex important for accurate chromosomal alignment and separation.

Pathways

CENP-B is essential in the mitotic spindle assembly and chromosome segregation pathways. This protein interacts with CENP-A a variant histone which integrates into centromeric nucleosomes to initiate the formation of functional kinetochores. Additionally CENP-B interacts with CENP-C facilitating the recruitment of other centromere-associated proteins needed for chromosome dynamics during mitosis.

CENP-B is primarily associated with autoimmune disorders such as systemic sclerosis (scleroderma). Patients with these conditions often produce anti-CENP-B antibodies which serve as diagnostic markers. Moreover CENP-B's dysregulation links to chromosomal instability a contributor to cancer. Research has shown connections between CENP-B and related proteins like CENP-A in the context of chromosomal aneuploidies and malignancies.

Product protocols

For this product, it's our understanding that no specific protocols are required. You can visit:

Target data

Interacts with centromeric heterochromatin in chromosomes and binds to a specific 17 bp subset of alphoid satellite DNA, called the CENP-B box (PubMed : 11726497). May organize arrays of centromere satellite DNA into a higher-order structure which then directs centromere formation and kinetochore assembly in mammalian chromosomes (Probable).
See full target information CENPB

Publications (4)

Recent publications for all applications. Explore the full list and refine your search

Nature communications 16:8609 PubMed41022764

2025

Direct circMAN1A2(2,3,4,5)-CENPB mRNA interaction regulates cell proliferation and cancer progression.

Applications

Unspecified application

Species

Unspecified reactive species

Mei Cao,Guo-Hua Yuan,Shi-Meng Cao,Yu-Xin Liu,Chu-Xiao Liu,Yi-Feng Xu,Jia Wei,Yi-Lin Guo,Ling-Ling Chen,Li Yang

Chromosome research : an international journal on the molecular, supramolecular and evolutionary aspects of chromosome biology 33:20 PubMed40958016

2025

CENP-A is diluted during bovine spermatogenesis and is maintained at internally positioned centromere clusters in mature bull sperm.

Applications

Unspecified application

Species

Unspecified reactive species

Miriama Štiavnická,Anna Ní Nualláin,Caitríona M Collins,Elaine M Dunleavy

Nature genetics 57:2509-2521 PubMed40908343

2025

DNA methylation influences human centromere positioning and function.

Applications

Unspecified application

Species

Unspecified reactive species

Catalina Salinas-Luypaert,Danilo Dubocanin,Rosa Jooyoung Lee,Lorena Andrade Ruiz,Riccardo Gamba,Marine Grison,Leonid Velikovsky,Annapaola Angrisani,Andrea Scelfo,Yuan Xu,Marie Dumont,Viviana Barra,Therese Wilhelm,Guillaume Velasco,Marialucrezia Losito,René Wardenaar,Claire Francastel,Floris Foijer,Geert J P L Kops,Karen H Miga,Nicolas Altemose,Daniele Fachinetti

Cell reports 42:112484 PubMed37163373

2023

MND1 and PSMC3IP control PARP inhibitor sensitivity in mitotic cells.

Applications

Unspecified application

Species

Unspecified reactive species

Anabel Zelceski,Paola Francica,Lea Lingg,Merve Mutlu,Colin Stok,Martin Liptay,John Alexander,Joseph S Baxter,Rachel Brough,Aditi Gulati,Syed Haider,Maya Raghunandan,Feifei Song,Sandhya Sridhar,Josep V Forment,Mark J O'Connor,Barry R Davies,Marcel A T M van Vugt,Dragomir B Krastev,Stephen J Pettitt,Andrew N J Tutt,Sven Rottenberg,Christopher J Lord
View all publications

Product promise

We are committed to supporting your work with high-quality reagents, and we're here for you every step of the way. In the unlikely event that one of our products does not perform as expected, you're protected by our Product Promise.
For full details, please see our Terms & Conditions

Please note: All products are 'FOR RESEARCH USE ONLY. NOT FOR USE IN DIAGNOSTIC OR THERAPEUTIC PROCEDURES'.

For licensing inquiries, please contact partnerships@abcam.com