JavaScript is disabled in your browser. Please enable JavaScript to view this website.
AB193666

Anti-CENPC antibody [EPR15939]

4

(3 Reviews)

|

(5 Publications)

Rabbit Recombinant Monoclonal CENPC antibody. Suitable for IP, WB, Flow Cyt (Intra), IHC-P and reacts with Human, Mouse, Rat samples. Cited in 5 publications.

View Alternative Names

CENPC1, ICEN7, CENPC, Centromere protein C, CENP-C, Centromere autoantigen C, Centromere protein C 1, Interphase centromere complex protein 7, CENP-C 1

7 Images
Flow Cytometry (Intracellular) - Anti-CENPC antibody [EPR15939] (AB193666)
  • Flow Cyt (Intra)

Supplier Data

Flow Cytometry (Intracellular) - Anti-CENPC antibody [EPR15939] (AB193666)

Intracellular flow cytometric analysis of 2% paraformaldehyde-fixed K562 cells labeling CENPC with ab193666 at 1/400 dilution (red) compared with a rabbit monoclonal IgG isotype control (black) and an unlabelled control (cells without incubation with primary antibody and secondary antibody; blue). Goat anti rabbit IgG (FITC) at 1/150 dilution was used as the secondary antibody.

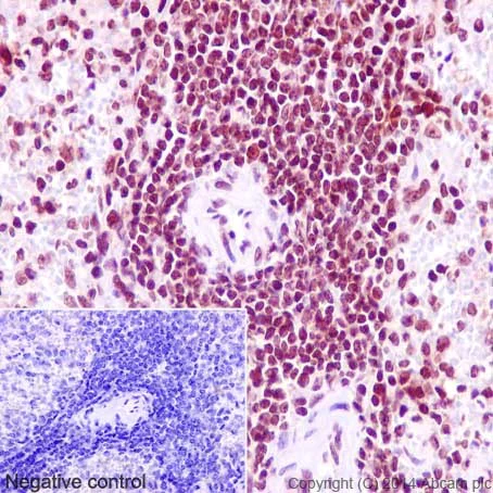
Immunohistochemistry (Formalin/PFA-fixed paraffin-embedded sections) - Anti-CENPC antibody [EPR15939] (AB193666)
  • IHC-P

Supplier Data

Immunohistochemistry (Formalin/PFA-fixed paraffin-embedded sections) - Anti-CENPC antibody [EPR15939] (AB193666)

Immunohistochemical analysis of paraffin-embedded human spleen tissue labeling CENPC with ab193666 at 1/1,000 dilution, followed by prediluted HRP polymer for Rabbit/Mouse IgG. Counter stained with hematoxylin.

Perform heat mediated antigen retrieval with Tris/EDTA buffer pH 9.0 before commencing with IHC staining protocol.

Immunoprecipitation - Anti-CENPC antibody [EPR15939] (AB193666)
  • IP

Supplier Data

Immunoprecipitation - Anti-CENPC antibody [EPR15939] (AB193666)

Western blot analysis of CENPC immunoprecipitated from Jurkat cell lysate using ab193666 at 1/100 dilution.

Secondary antibody : Goat Anti-Rabbit IgG, (H+L), Peroxidase conjugated at 1/1000 dilution.
Blocking/Dilution buffer : 5% NFDM/TBST.

All lanes:

Immunoprecipitation - Anti-CENPC antibody [EPR15939] (ab193666)

Predicted band size: 107 kDa

false

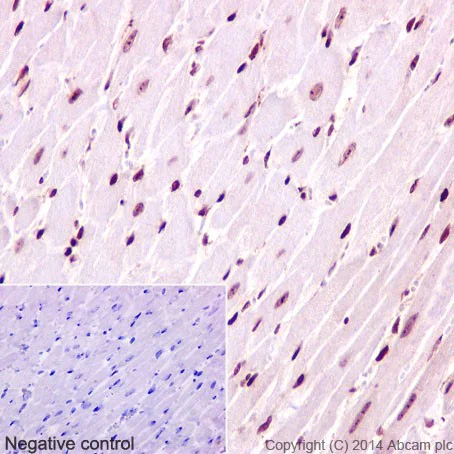
Immunohistochemistry (Formalin/PFA-fixed paraffin-embedded sections) - Anti-CENPC antibody [EPR15939] (AB193666)
  • IHC-P

Supplier Data

Immunohistochemistry (Formalin/PFA-fixed paraffin-embedded sections) - Anti-CENPC antibody [EPR15939] (AB193666)

Immunohistochemical analysis of paraffin-embedded Rat cardiac muscle tissue labeling CENPC with ab193666 at 1/1000 dilution (2μg/ml), followed by prediluted HRP Polymer for Rabbit/Mouse IgG. Counter stained with Hematoxylin.

Perform heat mediated antigen retrieval with Tris/EDTA buffer pH 9.0 before commencing with IHC staining protocol.

Western blot - Anti-CENPC antibody [EPR15939] (AB193666)
  • WB

Supplier Data

Western blot - Anti-CENPC antibody [EPR15939] (AB193666)

Blocking/Dilution buffer : 5% NFDM/TBST.

All lanes:

Western blot - Anti-CENPC antibody [EPR15939] (ab193666) at 1/10000 dilution

All lanes:

K562 cell lysate at 10 µg

Secondary

All lanes:

Goat Anti-Rabbit IgG, (H+L), Peroxidase conjugated at 1/1000 dilution

Predicted band size: 107 kDa

Observed band size: 107 kDa

false

Western blot - Anti-CENPC antibody [EPR15939] (AB193666)
  • WB

Supplier Data

Western blot - Anti-CENPC antibody [EPR15939] (AB193666)

Blocking/Dilution buffer : 5% NFDM/TBST.

All lanes:

Western blot - Anti-CENPC antibody [EPR15939] (ab193666) at 1/5000 dilution

Lane 1:

Jurkat cell lysate at 20 µg

Lane 2:

A431 cell lysate at 20 µg

Secondary

All lanes:

Goat Anti-Rabbit IgG, (H+L), Peroxidase conjugated at 1/1000 dilution

Predicted band size: 107 kDa

Observed band size: 107 kDa

false

Western blot - Anti-CENPC antibody [EPR15939] (AB193666)
  • WB

Supplier Data

Western blot - Anti-CENPC antibody [EPR15939] (AB193666)

Blocking/Dilution buffer : 5% NFDM/TBST.

All lanes:

Western blot - Anti-CENPC antibody [EPR15939] (ab193666) at 1/1000 dilution

All lanes:

NIH/3T3 cell lysate at 10 µg

Secondary

All lanes:

Goat Anti-Rabbit IgG, (H+L), Peroxidase conjugated at 1/1000 dilution

Predicted band size: 107 kDa

Observed band size: 107 kDa

false

  • Carrier free

    Anti-CENPC antibody [EPR15939] - BSA and Azide free

Key facts

Host species

Rabbit

Clonality

Monoclonal

Clone number

EPR15939

Isotype

IgG

Carrier free

No

Reacts with

Mouse, Rat, Human

Applications

IHC-P, WB, IP, Flow Cyt (Intra)

applications

Immunogen

The exact immunogen used to generate this antibody is proprietary information.

Reactivity data

{ "title": "Reactivity Data", "filters": { "stats": ["", "Species", "Dilution Info", "Notes"], "tabs": { "all-applications": {"fullname" : "All Applications", "shortname": "All Applications"}, "IP" : {"fullname" : "Immunoprecipitation", "shortname":"IP"}, "WB" : {"fullname" : "Western blot", "shortname":"WB"}, "FlowCytIntra" : {"fullname" : "Flow Cytometry (Intracellular)", "shortname":"Flow Cyt (Intra)"}, "IHCP" : {"fullname" : "Immunohistochemistry (Formalin/PFA-fixed paraffin-embedded sections)", "shortname":"IHC-P"} }, "product-promise": { "all": "all", "testedAndGuaranteed": "tested", "guaranteed": "expected", "predicted": "predicted", "notRecommended": "not-recommended" } }, "values": { "Human": { "IP-species-checked": "testedAndGuaranteed", "IP-species-dilution-info": "1/100", "IP-species-notes": "<p></p>", "WB-species-checked": "testedAndGuaranteed", "WB-species-dilution-info": "1/1000 - 1/10000", "WB-species-notes": "<p></p>", "FlowCytIntra-species-checked": "testedAndGuaranteed", "FlowCytIntra-species-dilution-info": "1/400", "FlowCytIntra-species-notes": "<p><a href='/en-us/products/primary-antibodies/rabbit-igg-monoclonal-epr25a-isotype-control-ab172730'>ab172730</a> - Rabbit monoclonal IgG, is suitable for use as an isotype control with this antibody.</p>", "IHCP-species-checked": "testedAndGuaranteed", "IHCP-species-dilution-info": "1/500 - 1/1000", "IHCP-species-notes": "<p></p> Perform heat-mediated antigen retrieval with Tris/EDTA buffer pH 9.0 before commencing with IHC staining protocol." }, "Mouse": { "IP-species-checked": "guaranteed", "IP-species-dilution-info": "", "IP-species-notes": "", "WB-species-checked": "testedAndGuaranteed", "WB-species-dilution-info": "1/1000 - 1/10000", "WB-species-notes": "<p></p>", "FlowCytIntra-species-checked": "guaranteed", "FlowCytIntra-species-dilution-info": "", "FlowCytIntra-species-notes": "", "IHCP-species-checked": "guaranteed", "IHCP-species-dilution-info": "", "IHCP-species-notes": "" }, "Rat": { "IP-species-checked": "guaranteed", "IP-species-dilution-info": "", "IP-species-notes": "", "WB-species-checked": "guaranteed", "WB-species-dilution-info": "", "WB-species-notes": "", "FlowCytIntra-species-checked": "guaranteed", "FlowCytIntra-species-dilution-info": "", "FlowCytIntra-species-notes": "", "IHCP-species-checked": "testedAndGuaranteed", "IHCP-species-dilution-info": "1/500 - 1/1000", "IHCP-species-notes": "<p></p> Perform heat-mediated antigen retrieval with Tris/EDTA buffer pH 9.0 before commencing with IHC staining protocol." } } }

Product details

Patented technology
Our RabMAb® technology is a patented hybridoma-based technology for making rabbit monoclonal antibodies. For details on our patents, please refer to RabMAb® patents.

What are the advantages of a recombinant monoclonal antibody?
This product is a recombinant monoclonal antibody, which offers several advantages including:

  • - High batch-to-batch consistency and reproducibility
  • - Improved sensitivity and specificity
  • - Long-term security of supply
  • - Animal-free batch production

For more information, read more on recombinant antibodies.

Properties and storage information

Form
Liquid
Purification technique
Affinity purification Protein A
Storage buffer
pH: 7.2 - 7.4 Preservative: 0.01% Sodium azide Constituents: PBS, 40% Glycerol (glycerin, glycerine), 0.05% BSA
Shipped at conditions
Blue Ice
Appropriate short-term storage duration
1-2 weeks
Appropriate short-term storage conditions
+4°C
Appropriate long-term storage conditions
-20°C
Aliquoting information
Upon delivery aliquot
Storage information
Avoid freeze / thaw cycle

Supplementary information

This supplementary information is collated from multiple sources and compiled automatically.

The centromere protein C (CENP-C) plays an important mechanical role in the assembly of the kinetochore a protein structure on chromosomes. Alternative names for this protein include MCM21R and Centromere protein C 1. CENP-C acts as a structural platform bringing together specific components needed for chromosome segregation during cell division. Its mass is approximately 140 kDa. CENP-C is expressed in a broad range of cell types especially in dividing cells or tissues with high turnover rates.
Biological function summary

This protein is essential for the proper attachment of chromosomes to spindle microtubules. CENP-C interacts as a core component of the larger constitutive centromere-associated network (CCAN) complex. This complex contributes to the stability and function of the centromere. Additionally centromeres require CENP-C for correct kinetochore assembly ensuring accurate chromosome alignment and separation during mitosis and meiosis.

Pathways

CENP-C contributes to the mitotic spindle assembly checkpoint and the cell cycle pathway. The interaction with other centromere proteins such as CENP-A CENP-B and CENP-H is significant for proper centromere structure and kinetochore attachment. By doing so these interactions facilitate the checkpoint pathways that prevent premature progression into anaphase until all chromosomes are properly aligned.

Alterations in CENP-C levels or functions associate with cancers and chromosomal instability syndromes. In cancer abnormal CENP-C expression can lead to errors in chromosome segregation contributing to aneuploidy. CENP-C's relationship with proteins like CENP-A emphasizes its role in maintaining chromosomal stability linking it to malignancies where such stability is compromised.

Product protocols

For this product, it's our understanding that no specific protocols are required. You can visit:

Target data

Component of the CENPA-NAC (nucleosome-associated) complex, a complex that plays a central role in assembly of kinetochore proteins, mitotic progression and chromosome segregation. The CENPA-NAC complex recruits the CENPA-CAD (nucleosome distal) complex and may be involved in incorporation of newly synthesized CENPA into centromeres. CENPC recruits DNA methylation and DNMT3B to both centromeric and pericentromeric satellite repeats and regulates the histone code in these regions.
See full target information CENPC

Publications (5)

Recent publications for all applications. Explore the full list and refine your search

The Journal of cell biology 223: PubMed38625077

2024

Determinants of minor satellite RNA function in chromosome segregation in mouse embryonic stem cells.

Applications

Unspecified application

Species

Unspecified reactive species

Yung-Li Chen,Alisha N Jones,Amy Crawford,Michael Sattler,Andreas Ettinger,Maria-Elena Torres-Padilla

Molecular cell 82:4018-4032.e9 PubMed36332605

2022

LncRNA CCTT-mediated RNA-DNA and RNA-protein interactions facilitate the recruitment of CENP-C to centromeric DNA during kinetochore assembly.

Applications

Unspecified application

Species

Unspecified reactive species

Chong Zhang,Dongpeng Wang,Yajing Hao,Shuheng Wu,Jianjun Luo,Yuanchao Xue,Di Wang,Guohong Li,Lihui Liu,Changwei Shao,Huiyan Li,Jinfeng Yuan,Maoxiang Zhu,Xiang-Dong Fu,Xiao Yang,Runsheng Chen,Yan Teng

EMBO reports 22:e52061 PubMed34423893

2021

Non-redundant functions of H2A.Z.1 and H2A.Z.2 in chromosome segregation and cell cycle progression.

Applications

Unspecified application

Species

Unspecified reactive species

Raquel Sales-Gil,Dorothee C Kommer,Ines J de Castro,Hasnat A Amin,Veronica Vinciotti,Cristina Sisu,Paola Vagnarelli

Journal of immunology research 2021:4610494 PubMed33604391

2021

Immunization with CENP-C Causes Aberrant Chromosome Segregation during Oocyte Meiosis in Mice.

Applications

Unspecified application

Species

Unspecified reactive species

Jiao Fan,Yang Liu,Yiping Zhong

Molecular cytogenetics 9:28 PubMed27011768

2016

Active centromere and chromosome identification in fixed cell lines.

Applications

ICC/IF

Species

Human

Thian T Beh,Ruth N MacKinnon,Paul Kalitsis
View all publications

Product promise

We are committed to supporting your work with high-quality reagents, and we're here for you every step of the way. In the unlikely event that one of our products does not perform as expected, you're protected by our Product Promise.
For full details, please see our Terms & Conditions

Please note: All products are 'FOR RESEARCH USE ONLY. NOT FOR USE IN DIAGNOSTIC OR THERAPEUTIC PROCEDURES'.

For licensing inquiries, please contact partnerships@abcam.com