JavaScript is disabled in your browser. Please enable JavaScript to view this website.
AB232614

Anti-CENPC antibody [EPR15939] - BSA and Azide free

Be the first to review this product! Submit a review

|

(1 Publication)

Rabbit Recombinant Monoclonal CENPC antibody. Carrier free. Suitable for IP, WB, Flow Cyt (Intra), IHC-P and reacts with Human, Mouse, Rat samples. Cited in 1 publication.

View Alternative Names

CENPC1, ICEN7, CENPC, Centromere protein C, CENP-C, Centromere autoantigen C, Centromere protein C 1, Interphase centromere complex protein 7, CENP-C 1

4 Images
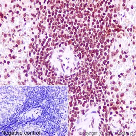
Immunohistochemistry (Formalin/PFA-fixed paraffin-embedded sections) - Anti-CENPC antibody [EPR15939] - BSA and Azide free (AB232614)
  • IHC-P

Supplier Data

Immunohistochemistry (Formalin/PFA-fixed paraffin-embedded sections) - Anti-CENPC antibody [EPR15939] - BSA and Azide free (AB232614)

Immunohistochemical analysis of paraffin-embedded human spleen tissue labeling CENPC with ab193666 at 1/1,000 dilution, followed by prediluted HRP polymer for Rabbit/Mouse IgG. Counter stained with hematoxylin.

This data was developed using the same antibody clone in a different buffer formulation containing PBS, BSA, glycerol, and sodium azide (ab193666).

Heat mediated antigen retrieval was performed with Tris/EDTA buffer pH 9.0 before commencing with IHC staining protocol.

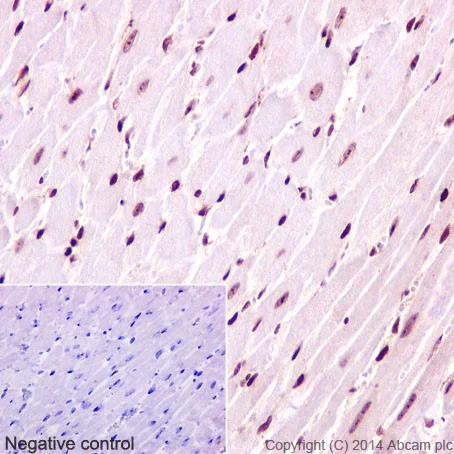
Immunohistochemistry (Formalin/PFA-fixed paraffin-embedded sections) - Anti-CENPC antibody [EPR15939] - BSA and Azide free (AB232614)
  • IHC-P

Supplier Data

Immunohistochemistry (Formalin/PFA-fixed paraffin-embedded sections) - Anti-CENPC antibody [EPR15939] - BSA and Azide free (AB232614)

Immunohistochemical analysis of paraffin-embedded Rat cardiac muscle tissue labeling CENPC with ab193666 at 1/1000 dilution (2μg/ml), followed by prediluted HRP Polymer for Rabbit/Mouse IgG. Counter stained with Hematoxylin.

This data was developed using the same antibody clone in a different buffer formulation containing PBS, BSA, glycerol, and sodium azide (ab193666).

Heat mediated antigen retrieval was performed with Tris/EDTA buffer pH 9.0 before commencing with IHC staining protocol.

Flow Cytometry (Intracellular) - Anti-CENPC antibody [EPR15939] - BSA and Azide free (AB232614)
  • Flow Cyt (Intra)

Supplier Data

Flow Cytometry (Intracellular) - Anti-CENPC antibody [EPR15939] - BSA and Azide free (AB232614)

Intracellular flow cytometric analysis of 2% paraformaldehyde-fixed K562 cells labeling CENPC with ab193666 at 1/400 dilution (red) compared with a rabbit monoclonal IgG isotype control (black) and an unlabelled control (cells without incubation with primary antibody and secondary antibody; blue). Goat anti rabbit IgG (FITC) at 1/150 dilution was used as the secondary antibody.

This data was developed using the same antibody clone in a different buffer formulation containing PBS, BSA, glycerol, and sodium azide (ab193666).

Immunoprecipitation - Anti-CENPC antibody [EPR15939] - BSA and Azide free (AB232614)
  • IP

Supplier Data

Immunoprecipitation - Anti-CENPC antibody [EPR15939] - BSA and Azide free (AB232614)

Western blot analysis of CENPC immunoprecipitated from Jurkat cell lysate using ab193666 at 1/100 dilution.

Secondary antibody : Goat Anti-Rabbit IgG, (H+L), Peroxidase conjugated at 1/1000 dilution.
Blocking/Dilution buffer : 5% NFDM/TBST.

This data was developed using the same antibody clone in a different buffer formulation containing PBS, BSA, glycerol, and sodium azide (ab193666).

All lanes:

Immunoprecipitation - Anti-CENPC antibody [EPR15939] (<a href='/en-us/products/primary-antibodies/cenpc-antibody-epr15939-ab193666'>ab193666</a>)

Predicted band size: 107 kDa

false

Key facts

Host species

Rabbit

Clonality

Monoclonal

Clone number

EPR15939

Isotype

IgG

Carrier free

Yes

Reacts with

Mouse, Rat, Human

Applications

WB, Flow Cyt (Intra), IP, IHC-P

applications

Immunogen

The exact immunogen used to generate this antibody is proprietary information.

Reactivity data

{ "title": "Reactivity Data", "filters": { "stats": ["", "Species", "Dilution Info", "Notes"], "tabs": { "all-applications": {"fullname" : "All Applications", "shortname": "All Applications"}, "IP" : {"fullname" : "Immunoprecipitation", "shortname":"IP"}, "WB" : {"fullname" : "Western blot", "shortname":"WB"}, "FlowCytIntra" : {"fullname" : "Flow Cytometry (Intracellular)", "shortname":"Flow Cyt (Intra)"}, "IHCP" : {"fullname" : "Immunohistochemistry (Formalin/PFA-fixed paraffin-embedded sections)", "shortname":"IHC-P"} }, "product-promise": { "all": "all", "testedAndGuaranteed": "tested", "guaranteed": "expected", "predicted": "predicted", "notRecommended": "not-recommended" } }, "values": { "Human": { "IP-species-checked": "testedAndGuaranteed", "IP-species-dilution-info": "", "IP-species-notes": "<p></p> Perform heat-mediated antigen retrieval with Tris/EDTA buffer pH 9.0 before commencing with IHC staining protocol.", "WB-species-checked": "guaranteed", "WB-species-dilution-info": "", "WB-species-notes": "<p></p>", "FlowCytIntra-species-checked": "testedAndGuaranteed", "FlowCytIntra-species-dilution-info": "", "FlowCytIntra-species-notes": "<p></p>", "IHCP-species-checked": "testedAndGuaranteed", "IHCP-species-dilution-info": "", "IHCP-species-notes": "<p></p> Perform heat-mediated antigen retrieval with Tris/EDTA buffer pH 9.0 before commencing with IHC staining protocol." }, "Mouse": { "IP-species-checked": "predicted", "IP-species-dilution-info": "", "IP-species-notes": "", "WB-species-checked": "guaranteed", "WB-species-dilution-info": "", "WB-species-notes": "<p></p>", "FlowCytIntra-species-checked": "predicted", "FlowCytIntra-species-dilution-info": "", "FlowCytIntra-species-notes": "", "IHCP-species-checked": "predicted", "IHCP-species-dilution-info": "", "IHCP-species-notes": "" }, "Rat": { "IP-species-checked": "predicted", "IP-species-dilution-info": "", "IP-species-notes": "", "WB-species-checked": "guaranteed", "WB-species-dilution-info": "", "WB-species-notes": "<p></p>", "FlowCytIntra-species-checked": "predicted", "FlowCytIntra-species-dilution-info": "", "FlowCytIntra-species-notes": "", "IHCP-species-checked": "predicted", "IHCP-species-dilution-info": "", "IHCP-species-notes": "" } } }

Product details

ab232614 is the carrier-free version of ab193666.

Patented technology
Our RabMAb® technology is a patented hybridoma-based technology for making rabbit monoclonal antibodies. For details on our patents, please refer to RabMAb® patents.

What are the advantages of a recombinant monoclonal antibody?
This product is a recombinant monoclonal antibody, which offers several advantages including:

  • - High batch-to-batch consistency and reproducibility
  • - Improved sensitivity and specificity
  • - Long-term security of supply
  • - Animal-free batch production

For more information, read more on recombinant antibodies.

Conjugation ready
Our carrier-free antibodies are typically supplied in a PBS-only formulation, purified and free of BSA, sodium azide and glycerol. This conjugation-ready format is designed for use with fluorochromes, metal isotopes, oligonucleotides, and enzymes, which makes them ideal for antibody labelling, functional and cell-based assays, flow-based assays (e.g. mass cytometry) and Multiplex Imaging applications.

Use our conjugation kits for antibody conjugates that are ready-to-use in as little as 20 minutes with 1 minute hands-on-time and 100% antibody recovery: available for fluorescent dyes, HRP, biotin and gold.

Compatibility
This product is compatible with the Maxpar® Antibody Labeling Kit from Fluidigm, without the need for antibody preparation. Maxpar® is a trademark of Fluidigm Canada Inc.

Properties and storage information

Form
Liquid
Purification technique
Affinity purification Protein A
Storage buffer
pH: 7.2 - 7.4 Constituents: PBS
Shipped at conditions
Blue Ice
Appropriate short-term storage conditions
+4°C
Appropriate long-term storage conditions
+4°C
Storage information
Do Not Freeze

Supplementary information

This supplementary information is collated from multiple sources and compiled automatically.

The centromere protein C (CENP-C) plays an important mechanical role in the assembly of the kinetochore a protein structure on chromosomes. Alternative names for this protein include MCM21R and Centromere protein C 1. CENP-C acts as a structural platform bringing together specific components needed for chromosome segregation during cell division. Its mass is approximately 140 kDa. CENP-C is expressed in a broad range of cell types especially in dividing cells or tissues with high turnover rates.
Biological function summary

This protein is essential for the proper attachment of chromosomes to spindle microtubules. CENP-C interacts as a core component of the larger constitutive centromere-associated network (CCAN) complex. This complex contributes to the stability and function of the centromere. Additionally centromeres require CENP-C for correct kinetochore assembly ensuring accurate chromosome alignment and separation during mitosis and meiosis.

Pathways

CENP-C contributes to the mitotic spindle assembly checkpoint and the cell cycle pathway. The interaction with other centromere proteins such as CENP-A CENP-B and CENP-H is significant for proper centromere structure and kinetochore attachment. By doing so these interactions facilitate the checkpoint pathways that prevent premature progression into anaphase until all chromosomes are properly aligned.

Alterations in CENP-C levels or functions associate with cancers and chromosomal instability syndromes. In cancer abnormal CENP-C expression can lead to errors in chromosome segregation contributing to aneuploidy. CENP-C's relationship with proteins like CENP-A emphasizes its role in maintaining chromosomal stability linking it to malignancies where such stability is compromised.

Product protocols

For this product, it's our understanding that no specific protocols are required. You can visit:

Target data

Component of the CENPA-NAC (nucleosome-associated) complex, a complex that plays a central role in assembly of kinetochore proteins, mitotic progression and chromosome segregation. The CENPA-NAC complex recruits the CENPA-CAD (nucleosome distal) complex and may be involved in incorporation of newly synthesized CENPA into centromeres. CENPC recruits DNA methylation and DNMT3B to both centromeric and pericentromeric satellite repeats and regulates the histone code in these regions.
See full target information CENPC

Publications (1)

Recent publications for all applications. Explore the full list and refine your search

Cell biology and toxicology 41:103 PubMed40515797

2025

GelMA hydrogel-loaded extracellular vesicles derived from keratinocytes promote skin microvasculature regeneration and wound healing in diabetic mice through activation of the PDGF-induced PI3K/AKT pathway.

Applications

Unspecified application

Species

Unspecified reactive species

Qian Li,Leilei Zhou,Wenqiang Li,Weiheng Zhao,Weimin Chen,Mohammed S AlQranei,Jiarui Bi,Ping Huang
View all publications

Product promise

We are committed to supporting your work with high-quality reagents, and we're here for you every step of the way. In the unlikely event that one of our products does not perform as expected, you're protected by our Product Promise.
For full details, please see our Terms & Conditions

Please note: All products are 'FOR RESEARCH USE ONLY. NOT FOR USE IN DIAGNOSTIC OR THERAPEUTIC PROCEDURES'.

For licensing inquiries, please contact partnerships@abcam.com