JavaScript is disabled in your browser. Please enable JavaScript to view this website.
AB251579

Anti-CENPF antibody [EPR20406] - BSA and Azide free

Be the first to review this product! Submit a review

|

(1 Publication)

Rabbit Recombinant Monoclonal CENPF antibody. Carrier free. Suitable for ICC/IF, IHC-P and reacts with Human samples. Cited in 1 publication.

View Alternative Names

Centromere protein F, CENP-F, AH antigen, Kinetochore protein CENPF, Mitosin, CENPF

4 Images
Immunocytochemistry/ Immunofluorescence - Anti-CENPF antibody [EPR20406] - BSA and Azide free (AB251579)
  • ICC/IF

Supplier Data

Immunocytochemistry/ Immunofluorescence - Anti-CENPF antibody [EPR20406] - BSA and Azide free (AB251579)

This data was developed using ab223847, the same antibody clone in a different buffer formulation.

Immunofluorescent analysis of 4% paraformaldehyde-fixed, 0.1% Triton X-100 permeabilized A549 (human lung carcinoma cell line) cells labeling CENPF with ab223847 at 1/100 dilution, followed by Goat Anti-Rabbit IgG H&L (Alexa Fluor® 488) (ab150077) secondary antibody at 1/1000 dilution (green). Confocal image showing positive staining on M phase of A549 cell line.

The nuclear counter stain is DAPI (blue). Tubulin is detected with Anti-alpha Tubulin antibody [DM1A] - Microtubule Marker (Alexa Fluor® 594) (ab195889) (red) at 1/200 dilution.

Secondary antibody only control : Used PBS instead of primary antibody, secondary antibody is Goat Anti-Rabbit IgG H&L (Alexa Fluor® 488) (ab150077) secondary antibody at 1/1000 dilution.

Immunohistochemistry (Formalin/PFA-fixed paraffin-embedded sections) - Anti-CENPF antibody [EPR20406] - BSA and Azide free (AB251579)
  • IHC-P

Supplier Data

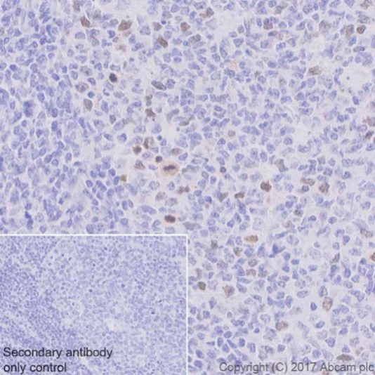
Immunohistochemistry (Formalin/PFA-fixed paraffin-embedded sections) - Anti-CENPF antibody [EPR20406] - BSA and Azide free (AB251579)

This data was developed using ab223847, the same antibody clone in a different buffer formulation.

Immunohistochemical analysis of paraffin-embedded human tonsil tissue labeling CENPF with ab223847 at 1/1000 dilution, followed by Goat Anti-Rabbit IgG H&L (HRP) Ready to use. Nuclear staining on some germinal center cells of human tonsil (PMID : 15933757). Counter stained with Hematoxylin.

Secondary antibody only control : Used PBS instead of primary antibody, secondary antibody is Goat Anti-Rabbit IgG H&L (HRP) Ready to use.

Perform heat mediated antigen retrieval with Tris/EDTA buffer pH 9.0 before commencing with IHC staining protocol.

Immunohistochemistry (Formalin/PFA-fixed paraffin-embedded sections) - Anti-CENPF antibody [EPR20406] - BSA and Azide free (AB251579)
  • IHC-P

Supplier Data

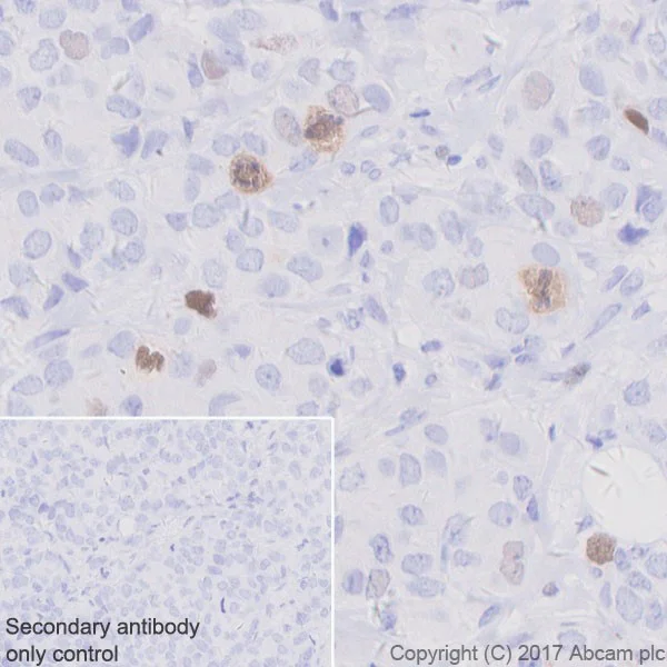
Immunohistochemistry (Formalin/PFA-fixed paraffin-embedded sections) - Anti-CENPF antibody [EPR20406] - BSA and Azide free (AB251579)

This data was developed using ab223847, the same antibody clone in a different buffer formulation.

Immunohistochemical analysis of paraffin-embedded human breast cancer tissue labeling CENPF with ab223847 at 1/1000 dilution, followed by Goat Anti-Rabbit IgG H&L (HRP) Ready to use. Sporadically positive staining on tumor cells of human breast cancer. Counter stained with Hematoxylin.

Secondary antibody only control : Used PBS instead of primary antibody, secondary antibody is Goat Anti-Rabbit IgG H&L (HRP) Ready to use.

Perform heat mediated antigen retrieval with Tris/EDTA buffer pH 9.0 before commencing with IHC staining protocol.

Immunocytochemistry/ Immunofluorescence - Anti-CENPF antibody [EPR20406] - BSA and Azide free (AB251579)
  • ICC/IF

Supplier Data

Immunocytochemistry/ Immunofluorescence - Anti-CENPF antibody [EPR20406] - BSA and Azide free (AB251579)

This data was developed using ab223847, the same antibody clone in a different buffer formulation.

Immunofluorescent analysis of 4% paraformaldehyde-fixed, 0.1% Triton X-100 permeabilized HeLa (human epithelial cell line from cervix adenocarcinoma) cells labeling CENPF with ab223847 at 1/100 dilution, followed by Goat Anti-Rabbit IgG H&L (Alexa Fluor® 488) (ab150077) secondary antibody at 1/1000 dilution (green). Confocal image showing positive staining on M phase of HeLa cell line.

The nuclear counter stain is DAPI (blue). Tubulin is detected with Anti-alpha Tubulin antibody [DM1A] - Microtubule Marker (Alexa Fluor® 594) (ab195889) (red) at 1/200 dilution.

Secondary antibody only control : Used PBS instead of primary antibody, secondary antibody is Goat Anti-Rabbit IgG H&L (Alexa Fluor® 488) (ab150077) secondary antibody at 1/1000 dilution.

Key facts

Host species

Rabbit

Clonality

Monoclonal

Clone number

EPR20406

Isotype

IgG

Carrier free

Yes

Reacts with

Human

Applications

IHC-P, ICC/IF

applications

Immunogen

The exact immunogen used to generate this antibody is proprietary information.

Reactivity data

{ "title": "Reactivity Data", "filters": { "stats": ["", "Species", "Dilution Info", "Notes"], "tabs": { "all-applications": {"fullname" : "All Applications", "shortname": "All Applications"}, "ICCIF" : {"fullname" : "Immunocytochemistry/ Immunofluorescence", "shortname":"ICC/IF"}, "IHCP" : {"fullname" : "Immunohistochemistry (Formalin/PFA-fixed paraffin-embedded sections)", "shortname":"IHC-P"} }, "product-promise": { "all": "all", "testedAndGuaranteed": "tested", "guaranteed": "expected", "predicted": "predicted", "notRecommended": "not-recommended" } }, "values": { "Human": { "ICCIF-species-checked": "testedAndGuaranteed", "ICCIF-species-dilution-info": "", "ICCIF-species-notes": "<p></p>", "IHCP-species-checked": "testedAndGuaranteed", "IHCP-species-dilution-info": "", "IHCP-species-notes": "<p></p>" } } }

Product details

ab251579 is the carrier-free version of ab223847.

Patented technology
Our RabMAb® technology is a patented hybridoma-based technology for making rabbit monoclonal antibodies. For details on our patents, please refer to RabMAb® patents.

What are the advantages of a recombinant monoclonal antibody?
This product is a recombinant monoclonal antibody, which offers several advantages including:

  • - High batch-to-batch consistency and reproducibility
  • - Improved sensitivity and specificity
  • - Long-term security of supply
  • - Animal-free batch production

For more information, read more on recombinant antibodies.

Conjugation ready
Our carrier-free antibodies are typically supplied in a PBS-only formulation, purified and free of BSA, sodium azide and glycerol. This conjugation-ready format is designed for use with fluorochromes, metal isotopes, oligonucleotides, and enzymes, which makes them ideal for antibody labelling, functional and cell-based assays, flow-based assays (e.g. mass cytometry) and Multiplex Imaging applications.

Use our conjugation kits for antibody conjugates that are ready-to-use in as little as 20 minutes with 1 minute hands-on-time and 100% antibody recovery: available for fluorescent dyes, HRP, biotin and gold.

Compatibility
This product is compatible with the Maxpar® Antibody Labeling Kit from Fluidigm, without the need for antibody preparation. Maxpar® is a trademark of Fluidigm Canada Inc.

Properties and storage information

Form
Liquid
Storage buffer
pH: 7.2 - 7.4 Constituents: PBS
Shipped at conditions
Blue Ice
Appropriate short-term storage conditions
+4°C
Appropriate long-term storage conditions
+4°C
Storage information
Do Not Freeze

Supplementary information

This supplementary information is collated from multiple sources and compiled automatically.

CENPF also known as centromere protein F or mitosin is a significant kinetochore-associated protein. It has a molecular mass of approximately 367 kDa. Expressed chiefly in the nucleus CENPF displays elevated levels during cell division particularly mitosis. The protein accumulates at the nuclear matrix during the G2 phase of the cell cycle and moves to the kinetochores in mitosis highlighting its role in cell cycle regulation.
Biological function summary

It plays a role in chromosome segregation and spindle attachment during cell division. CENPF associates with various cellular complexes including the nuclear matrix and kinetochores. Its function is critical to maintaining stability and proper chromosome movement during mitosis. This involvement ensures accurate chromosomal alignment and segregation preventing genomic instability in daughter cells.

Pathways

CENPF plays an essential role in the regulation of the mitotic cell cycle and chromosomal dynamics. The protein interfaces with several elements in pathways like the spindle assembly checkpoint. It interacts notably with proteins such as CENP-E and other kinetochore constituents. These interactions safeguard the precise attachment of microtubules to the kinetochores facilitating proper cell cycle progression and division.

Alterations in CENPF expression and function have been linked to cancer and congenital heart defects. Dysregulation of CENPF can lead to chromosomal instability a known hallmark of many cancers. Additionally its interactions with proteins like CENP-E and Bub1 further relate to its involvement in the proper execution of cell cycle checkpoints. Such associations make CENPF a potential target for therapeutic interventions in related disorders.

Product protocols

For this product, it's our understanding that no specific protocols are required. You can visit:

Target data

Required for kinetochore function and chromosome segregation in mitosis. Required for kinetochore localization of dynein, LIS1, NDE1 and NDEL1. Regulates recycling of the plasma membrane by acting as a link between recycling vesicles and the microtubule network though its association with STX4 and SNAP25. Acts as a potential inhibitor of pocket protein-mediated cellular processes during development by regulating the activity of RB proteins during cell division and proliferation. May play a regulatory or permissive role in the normal embryonic cardiomyocyte cell cycle and in promoting continued mitosis in transformed, abnormally dividing neonatal cardiomyocytes. Interaction with RB directs embryonic stem cells toward a cardiac lineage. Involved in the regulation of DNA synthesis and hence cell cycle progression, via its C-terminus. Has a potential role regulating skeletal myogenesis and in cell differentiation in embryogenesis. Involved in dendritic cell regulation of T-cell immunity against chlamydia.
See full target information Centromere protein F

Publications (1)

Recent publications for all applications. Explore the full list and refine your search

Genetics in medicine : official journal of the American College of Medical Genetics 24:1821-1830 PubMed35616648

2022

Cancer Risk C (CR-C), a functional genomics test is a sensitive and rapid test for germline mismatch repair deficiency.

Applications

Unspecified application

Species

Unspecified reactive species

Ishraq Alim,Johnny Loke,Sarah Yam,Allyson S Templeton,Polly Newcomb,Noralane M Lindor,Rish K Pai,Mark A Jenkins,Daniel D Buchanan,Steven Gallinger,Susan Klugman,Harry Ostrer
View all publications

Product promise

We are committed to supporting your work with high-quality reagents, and we're here for you every step of the way. In the unlikely event that one of our products does not perform as expected, you're protected by our Product Promise.
For full details, please see our Terms & Conditions

Please note: All products are 'FOR RESEARCH USE ONLY. NOT FOR USE IN DIAGNOSTIC OR THERAPEUTIC PROCEDURES'.

For licensing inquiries, please contact partnerships@abcam.com