JavaScript is disabled in your browser. Please enable JavaScript to view this website.
AB228690

Anti-Centrin 3 antibody

Be the first to review this product! Submit a review

|

(4 Publications)

Rabbit Polyclonal Centrin 3 antibody. Suitable for WB, IHC-P, ICC/IF and reacts with Mouse, Rat, Human samples. Cited in 4 publications. Immunogen corresponding to Recombinant Fragment Protein within Human CETN3.

View Alternative Names

CEN3, CETN3, Centrin-3

4 Images
Immunocytochemistry/ Immunofluorescence - Anti-Centrin 3 antibody (AB228690)
  • ICC/IF

Supplier Data

Immunocytochemistry/ Immunofluorescence - Anti-Centrin 3 antibody (AB228690)

Methanol-fixed A549 (human lung carcinoma cell line) cells stained for Centrin 3 (green) using ab228690 at 1/1000 dilution in ICC/IF.

Nuclear counterstain : Hoechst 33342 (blue). alpha Tubulin was stained with an anti-alpha Tubulin antibody (red) at 1/500 dilution.

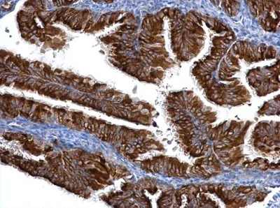
Immunohistochemistry (Formalin/PFA-fixed paraffin-embedded sections) - Anti-Centrin 3 antibody (AB228690)
  • IHC-P

Supplier Data

Immunohistochemistry (Formalin/PFA-fixed paraffin-embedded sections) - Anti-Centrin 3 antibody (AB228690)

Paraffin-embedded mouse cervix tissue stained for Centrin 3 using ab228690 at 1/500 dilution in immunohistochemical analysis.

Western blot - Anti-Centrin 3 antibody (AB228690)
  • WB

Supplier Data

Western blot - Anti-Centrin 3 antibody (AB228690)

15% SDS-PAGE gel.

All lanes:

Western blot - Anti-Centrin 3 antibody (ab228690) at 1/1000 dilution

Lane 1:

A549 (human lung carcinoma cell line) whole cell extract at 30 µg

Lane 2:

NCI-H1299 (human lung carcinoma cell line) whole cell extract at 30 µg

Lane 3:

HCT 116 (human colorectal carcinoma cell line) whole cell extract at 30 µg

Predicted band size: 20 kDa

false

Western blot - Anti-Centrin 3 antibody (AB228690)
  • WB

Supplier Data

Western blot - Anti-Centrin 3 antibody (AB228690)

15% SDS-PAGE gel.

All lanes:

Western blot - Anti-Centrin 3 antibody (ab228690) at 1/1000 dilution

Lane 1:

Neuro-2a (mouse neuroblastoma cell line) whole cell extract at 30 µg

Lane 2:

C8D30 whole cell extract at 30 µg

Lane 3:

NIH/3T3 (mouse embryo fibroblast cell line) whole cell extract at 30 µg

Lane 4:

RAW 264.7 (mouse macrophage cell line transformed with Abelson murine leukemia virus) whole cell extract at 30 µg

Lane 5:

C2C12 (mouse myoblast cell line) whole cell extract at 30 µg

Lane 6:

PC-12 (rat adrenal gland pheochromocytoma cell line) whole cell extract at 30 µg

Lane 7:

Rat2 (rat fibroblast cell line) whole cell extract at 30 µg

Predicted band size: 20 kDa

false

Key facts

Host species

Rabbit

Clonality

Polyclonal

Isotype

IgG

Carrier free

No

Reacts with

Mouse, Rat, Human

Applications

ICC/IF, WB, IHC-P

applications

Immunogen

Recombinant Fragment Protein within Human CETN3. The exact immunogen used to generate this antibody is proprietary information.

O15182

Reactivity data

{ "title": "Reactivity Data", "filters": { "stats": ["", "Species", "Dilution Info", "Notes"], "tabs": { "all-applications": {"fullname" : "All Applications", "shortname": "All Applications"}, "WB" : {"fullname" : "Western blot", "shortname":"WB"}, "IHCP" : {"fullname" : "Immunohistochemistry (Formalin/PFA-fixed paraffin-embedded sections)", "shortname":"IHC-P"}, "ICCIF" : {"fullname" : "Immunocytochemistry/ Immunofluorescence", "shortname":"ICC/IF"} }, "product-promise": { "all": "all", "testedAndGuaranteed": "tested", "guaranteed": "expected", "predicted": "predicted", "notRecommended": "not-recommended" } }, "values": { "Human": { "WB-species-checked": "testedAndGuaranteed", "WB-species-dilution-info": "1/500 - 1/3000", "WB-species-notes": "<p></p>", "IHCP-species-checked": "guaranteed", "IHCP-species-dilution-info": "", "IHCP-species-notes": "", "ICCIF-species-checked": "testedAndGuaranteed", "ICCIF-species-dilution-info": "1/100 - 1/1000", "ICCIF-species-notes": "<p></p>" }, "Mouse": { "WB-species-checked": "testedAndGuaranteed", "WB-species-dilution-info": "1/500 - 1/3000", "WB-species-notes": "<p></p>", "IHCP-species-checked": "testedAndGuaranteed", "IHCP-species-dilution-info": "1/100 - 1/1000", "IHCP-species-notes": "<p></p>", "ICCIF-species-checked": "guaranteed", "ICCIF-species-dilution-info": "", "ICCIF-species-notes": "" }, "Rat": { "WB-species-checked": "testedAndGuaranteed", "WB-species-dilution-info": "1/500 - 1/3000", "WB-species-notes": "<p></p>", "IHCP-species-checked": "guaranteed", "IHCP-species-dilution-info": "", "IHCP-species-notes": "", "ICCIF-species-checked": "guaranteed", "ICCIF-species-dilution-info": "", "ICCIF-species-notes": "" }, "Cow": { "WB-species-checked": "predicted", "WB-species-dilution-info": "", "WB-species-notes": "", "IHCP-species-checked": "predicted", "IHCP-species-dilution-info": "", "IHCP-species-notes": "", "ICCIF-species-checked": "predicted", "ICCIF-species-dilution-info": "", "ICCIF-species-notes": "" }, "Rhesus monkey": { "WB-species-checked": "predicted", "WB-species-dilution-info": "", "WB-species-notes": "", "IHCP-species-checked": "predicted", "IHCP-species-dilution-info": "", "IHCP-species-notes": "", "ICCIF-species-checked": "predicted", "ICCIF-species-dilution-info": "", "ICCIF-species-notes": "" } } }

Properties and storage information

Form
Liquid
Purification technique
Affinity purification Immunogen
Storage buffer
pH: 7 Preservative: 0.01% Thimerosal (merthiolate) Constituents: PBS, 20% Glycerol (glycerin, glycerine)
Shipped at conditions
Blue Ice
Appropriate short-term storage duration
1-2 weeks
Appropriate short-term storage conditions
+4°C
Appropriate long-term storage conditions
-20°C
Aliquoting information
Upon delivery aliquot
Storage information
Avoid freeze / thaw cycle

Product protocols

For this product, it's our understanding that no specific protocols are required. You can visit:

Target data

Plays a fundamental role in microtubule-organizing center structure and function.. As a component of the TREX-2 complex, involved in the export of mRNAs to the cytoplasm through the nuclear pores.
See full target information CETN3

Publications (4)

Recent publications for all applications. Explore the full list and refine your search

Cell communication and signaling : CCS 23:246 PubMed40437612

2025

Identification of genetically engineered strategies to manipulate nano-platforms presenting immunotherapeutic ligands for alleviating primary ovarian insufficiency progression.

Applications

Unspecified application

Species

Unspecified reactive species

Guannan Zhou,Yuanyuan Gu,Menglei Zhang,Jingxin Ding,Guanming Lu,Keqin Hua,Fang Shen

Proceedings of the National Academy of Sciences of the United States of America 121:e2402849121 PubMed39705313

2024

Docetaxel response in BRCA1,p53-deficient mammary tumor cells is affected by Huntingtin and BAP1.

Applications

Unspecified application

Species

Unspecified reactive species

Martín González-Fernández,Carmen Perry,Nora Merete Gerhards,Paola Francica,Sven Rottenberg

iScience 27:109785 PubMed38746663

2024

Aurora-A condensation mediated by BuGZ aids its mitotic centrosome functions.

Applications

Unspecified application

Species

Unspecified reactive species

Hui Zheng,Qiaoqiao Zhang,Xing Liu,Fan Shi,Fengrui Yang,Shengqi Xiang,Hao Jiang

Communications biology 5:89 PubMed35075261

2022

Planar polarity in primate cone photoreceptors: a potential role in Stiles Crawford effect phototropism.

Applications

Unspecified application

Species

Unspecified reactive species

Anna Verschueren,Leyna Boucherit,Ulisse Ferrari,Stéphane Fouquet,Céline Nouvel-Jaillard,Michel Paques,Serge Picaud,José-Alain Sahel
View all publications

Product promise

We are committed to supporting your work with high-quality reagents, and we're here for you every step of the way. In the unlikely event that one of our products does not perform as expected, you're protected by our Product Promise.
For full details, please see our Terms & Conditions

Please note: All products are 'FOR RESEARCH USE ONLY. NOT FOR USE IN DIAGNOSTIC OR THERAPEUTIC PROCEDURES'.

For licensing inquiries, please contact partnerships@abcam.com