JavaScript is disabled in your browser. Please enable JavaScript to view this website.
AB183911

Anti-CEP152 antibody

Be the first to review this product! Submit a review

|

(12 Publications)

Rabbit Polyclonal CEP152 antibody. Suitable for IP, WB, ICC/IF and reacts with Human samples. Cited in 12 publications. Immunogen corresponding to Recombinant Fragment Protein within Human CEP152 aa 50-300.

View Alternative Names

KIAA0912, CEP152, Centrosomal protein of 152 kDa, Cep152

4 Images
Immunocytochemistry/ Immunofluorescence - Anti-CEP152 antibody (AB183911)
  • ICC/IF

Supplier Data

Immunocytochemistry/ Immunofluorescence - Anti-CEP152 antibody (AB183911)

Immunofluorescent analysis of HeLa cells (fixed in 2% paraformaldehyde/culture medium at 37℃ for 30 min) labeling CEP152 with ab183911 at 1/2000 dilution. Right panel costained with Hoechst 33342 (blue) and alpha 1b tubulin antibody at 1/5000 dilution (red).

Immunocytochemistry/ Immunofluorescence - Anti-CEP152 antibody (AB183911)
  • ICC/IF

Supplier Data

Immunocytochemistry/ Immunofluorescence - Anti-CEP152 antibody (AB183911)

Immunofluorescence analysis of HeLa cells fixed in MeOH labelling CEP152 protein at cytoskeleton and cytoplasm using ab183911 at a 1/500 dilution (Green). alpha Tubulin, a cytoskeleton marker, stained by alpha Tubulin antibody used at a 1/1000 dilution (Red). DAPI was used for nuclear staining (Blue).

Immunoprecipitation - Anti-CEP152 antibody (AB183911)
  • IP

Supplier Data

Immunoprecipitation - Anti-CEP152 antibody (AB183911)

Immunoprecipitation of CEP152 protein from HeLa whole cell extracts using 5 µg of ab183911. Western blot analysis was performed using ab183911.

All lanes:

Immunoprecipitation - Anti-CEP152 antibody (ab183911) at 5 µg

Lane 1:

HeLa whole cell extract

Lane 2:

HeLa whole cell extract with Control IgG

Lane 3:

HeLa whole cell extract with ab183911

Secondary

All lanes:

EasyBlot anti Rabbit IgG

Predicted band size: 189 kDa

false

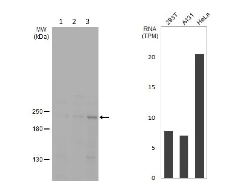
Western blot - Anti-CEP152 antibody (AB183911)
  • WB

Supplier Data

Western blot - Anti-CEP152 antibody (AB183911)

Samples were separated by 5% SDS-PAGE. Corresponding RNA expression data for the same cell lines are based on Human Protein Atlas program.

All lanes:

Western blot - Anti-CEP152 antibody (ab183911) at 1/500 dilution

Lane 1:

293T whole cell extracts at 30 µg

Lane 2:

A431 whole cell extracts at 30 µg

Lane 3:

HeLa whole cell extracts at 30 µg

Secondary

All lanes:

HRP-conjugated anti-rabbit IgG antibody

false

Key facts

Host species

Rabbit

Clonality

Polyclonal

Isotype

IgG

Carrier free

No

Reacts with

Human

Applications

WB, IP, ICC/IF

applications

Immunogen

Recombinant Fragment Protein within Human CEP152 aa 50-300. The exact immunogen used to generate this antibody is proprietary information.

O94986

Reactivity data

{ "title": "Reactivity Data", "filters": { "stats": ["", "Species", "Dilution Info", "Notes"], "tabs": { "all-applications": {"fullname" : "All Applications", "shortname": "All Applications"}, "IP" : {"fullname" : "Immunoprecipitation", "shortname":"IP"}, "WB" : {"fullname" : "Western blot", "shortname":"WB"}, "ICCIF" : {"fullname" : "Immunocytochemistry/ Immunofluorescence", "shortname":"ICC/IF"} }, "product-promise": { "all": "all", "testedAndGuaranteed": "tested", "guaranteed": "expected", "predicted": "predicted", "notRecommended": "not-recommended" } }, "values": { "Human": { "IP-species-checked": "testedAndGuaranteed", "IP-species-dilution-info": "1/100 - 1/500", "IP-species-notes": "<p></p>", "WB-species-checked": "testedAndGuaranteed", "WB-species-dilution-info": "1/500 - 1/3000", "WB-species-notes": "<p></p>", "ICCIF-species-checked": "testedAndGuaranteed", "ICCIF-species-dilution-info": "1/100 - 1/1000", "ICCIF-species-notes": "<p></p>" } } }

Properties and storage information

Form
Liquid
Purification technique
Affinity purification Immunogen
Storage buffer
pH: 7 Preservative: 0.01% Thimerosal (merthiolate) Constituents: PBS, 20% Glycerol (glycerin, glycerine)
Shipped at conditions
Blue Ice
Appropriate short-term storage duration
1-2 weeks
Appropriate short-term storage conditions
+4°C
Appropriate long-term storage conditions
-20°C
Aliquoting information
Upon delivery aliquot
Storage information
Avoid freeze / thaw cycle

Supplementary information

This supplementary information is collated from multiple sources and compiled automatically.

CEP152 also known as centrosomal protein of 152 kDa is a component of the centrosome and plays a critical mechanical role in cell division. It weighs approximately 152 kilodaltons and is expressed in various tissues primarily during the cell cycle. CEP152 functions as a scaffold protein aiding in the recruitment and organization of other proteins involved in centrosome-related processes. These activities make it an essential player in maintaining centrosome integrity and ensuring the correct duplication of centrioles which are pivotal for proper spindle formation and chromosome segregation.
Biological function summary

The protein plays a significant role in the regulation of genomic stability and cell cycle progression. It forms part of a complex with other centrosomal proteins such as CEP63 which further enhances its role in centrosome duplication. This cooperation between proteins ensures that cells properly manage centrosome replication and prevent abnormalities that could lead to genomic instability. CEP152 also interacts with kinases to modulate centrosomal activities and help maintain genetic fidelity during cell division.

Pathways

CEP152 integrates into the centrosome cycle and DNA damage response pathways. The protein actively participates in centrosome assembly working in conjunction with proteins like CEP192 to control centriole duplication and maturation. Additionally CEP152 influences the ATR signaling pathway which is a critical pathway for responding to DNA damage and maintaining cell cycle checkpoints. Through these interactions CEP152 helps synchronize cell cycle events with DNA repair processes therefore ensuring cellular homeostasis.

CEP152 links to microcephalic primordial dwarfism and certain cancers. Mutations in CEP152 can lead to reduced brain size and associated developmental disorders connecting it with the disease condition microcephalic osteodysplastic primordial dwarfism type I (MOPD I). In cancer altered expressions of CEP152 have been implicated in tumorigenesis often due to its association with the misregulation of cell cycle pathways. The protein's connection to PLK4 a pivotal regulator of centriole duplication highlights its importance in maintaining centrosomal functions and its potential role in cancer when these processes go awry.

Product protocols

For this product, it's our understanding that no specific protocols are required. You can visit:

Target data

Necessary for centrosome duplication; the function seems also to involve CEP63, CDK5RAP2 and WDR62 through a stepwise assembled complex at the centrosome that recruits CDK2 required for centriole duplication (PubMed : 26297806). Acts as a molecular scaffold facilitating the interaction of PLK4 and CENPJ, 2 molecules involved in centriole formation (PubMed : 20852615, PubMed : 21059844). Proposed to snatch PLK4 away from PLK4 : CEP92 complexes in early G1 daughter centriole and to reposition PLK4 at the outer boundary of a newly forming CEP152 ring structure (PubMed : 24997597). Also plays a key role in deuterosome-mediated centriole amplification in multiciliated that can generate more than 100 centrioles (By similarity). Overexpression of CEP152 can drive amplification of centrioles (PubMed : 20852615).
See full target information CEP152

Publications (12)

Recent publications for all applications. Explore the full list and refine your search

Cell death discovery 9:4 PubMed36617578

2023

Inhibition of acetyl-CoA carboxylase impaired tubulin palmitoylation and induced spindle abnormalities.

Applications

Unspecified application

Species

Unspecified reactive species

Chieh-Ting Fang,Hsiao-Hui Kuo,Oyundari Amartuvshin,Hwei-Jan Hsu,Sih-Long Liu,Jhong-Syuan Yao,Ling-Huei Yih

eLife 11: PubMed35787744

2022

Self-assembly of pericentriolar material in interphase cells lacking centrioles.

Applications

Unspecified application

Species

Unspecified reactive species

Fangrui Chen,Jingchao Wu,Malina K Iwanski,Daphne Jurriens,Arianna Sandron,Milena Pasolli,Gianmarco Puma,Jannes Z Kromhout,Chao Yang,Wilco Nijenhuis,Lukas C Kapitein,Florian Berger,Anna Akhmanova

The Journal of cell biology 220: PubMed33983387

2021

TRIM37 prevents formation of condensate-organized ectopic spindle poles to ensure mitotic fidelity.

Applications

Unspecified application

Species

Unspecified reactive species

Franz Meitinger,Dong Kong,Midori Ohta,Arshad Desai,Karen Oegema,Jadranka Loncarek

Nature 585:440-446 PubMed32908304

2020

TRIM37 controls cancer-specific vulnerability to PLK4 inhibition.

Applications

Unspecified application

Species

Unspecified reactive species

Franz Meitinger,Midori Ohta,Kian-Yong Lee,Sadanori Watanabe,Robert L Davis,John V Anzola,Ruth Kabeche,David A Jenkins,Andrew K Shiau,Arshad Desai,Karen Oegema

Cell death & disease 11:715 PubMed32873777

2020

HSP70 regulates Eg5 distribution within the mitotic spindle and modulates the cytotoxicity of Eg5 inhibitors.

Applications

Unspecified application

Species

Unspecified reactive species

Chieh-Ting Fang,Hsiao-Hui Kuo,Shao-Chun Hsu,Ling-Huei Yih

Science (New York, N.Y.) 364: PubMed31249032

2019

A liquid-like spindle domain promotes acentrosomal spindle assembly in mammalian oocytes.

Applications

Unspecified application

Species

Unspecified reactive species

Chun So,K Bianka Seres,Anna M Steyer,Eike Mönnich,Dean Clift,Anastasija Pejkovska,Wiebke Möbius,Melina Schuh

Cell division 14:4 PubMed31110557

2019

HSP70 is required for the proper assembly of pericentriolar material and function of mitotic centrosomes.

Applications

Unspecified application

Species

Unspecified reactive species

Chieh-Ting Fang,Hsiao-Hui Kuo,Shao-Chun Hsu,Ling-Huei Yih

Journal of cell science 132: PubMed30814333

2019

PCNT is critical for the association and conversion of centrioles to centrosomes during mitosis.

Applications

Unspecified application

Species

Unspecified reactive species

Jaeyoun Kim,Jeongjin Kim,Kunsoo Rhee

Cell death & disease 9:571 PubMed29752437

2018

Caspase-mediated cleavage of the centrosomal proteins during apoptosis.

Applications

Unspecified application

Species

Unspecified reactive species

Mi Young Seo,Kunsoo Rhee

The Journal of cell biology 217:2463-2483 PubMed29712735

2018

Uncoordinated centrosome cycle underlies the instability of non-diploid somatic cells in mammals.

Applications

Unspecified application

Species

Unspecified reactive species

Kan Yaguchi,Takahiro Yamamoto,Ryo Matsui,Yuki Tsukada,Atsuko Shibanuma,Keiko Kamimura,Toshiaki Koda,Ryota Uehara
View all publications

Product promise

We are committed to supporting your work with high-quality reagents, and we're here for you every step of the way. In the unlikely event that one of our products does not perform as expected, you're protected by our Product Promise.
For full details, please see our Terms & Conditions

Please note: All products are 'FOR RESEARCH USE ONLY. NOT FOR USE IN DIAGNOSTIC OR THERAPEUTIC PROCEDURES'.

For licensing inquiries, please contact partnerships@abcam.com