JavaScript is disabled in your browser. Please enable JavaScript to view this website.
AB229705

Anti-CEP192 antibody - C-terminal

Be the first to review this product! Submit a review

|

(1 Publication)

Rabbit Polyclonal CEP192 antibody. C-terminal. Suitable for WB, IHC-P and reacts with Human samples. Cited in 1 publication. Immunogen corresponding to Recombinant Fragment Protein within Human CEP192.

View Alternative Names

KIAA1569, PP8407, CEP192, Centrosomal protein of 192 kDa, Cep192, Cep192/SPD-2

2 Images
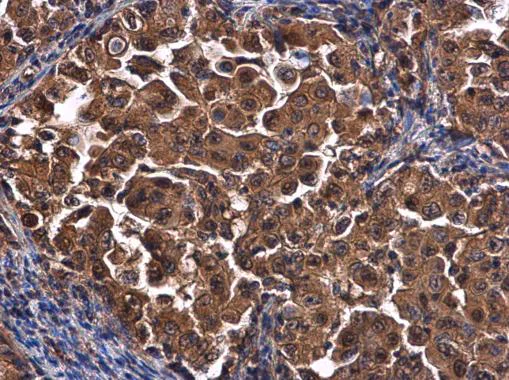
Immunohistochemistry (Formalin/PFA-fixed paraffin-embedded sections) - Anti-CEP192 antibody - C-terminal (AB229705)
  • IHC-P

Supplier Data

Immunohistochemistry (Formalin/PFA-fixed paraffin-embedded sections) - Anti-CEP192 antibody - C-terminal (AB229705)

Paraffin-embedded human lung cancer tissue stained for CEP192 using ab229705 at 1/500 dilution in immunohistochemical analysis.

Western blot - Anti-CEP192 antibody - C-terminal (AB229705)
  • WB

Supplier Data

Western blot - Anti-CEP192 antibody - C-terminal (AB229705)

5% SDS-PAGE gel.

All lanes:

Western blot - Anti-CEP192 antibody - C-terminal (ab229705) at 1/1000 dilution

Lane 1:

HEK-293T (human epithelial cell line from embryonic kidney transformed with large T antigen) whole cell extract at 30 µg

Lane 2:

A431 (human epidermoid carcinoma cell line) whole cell extract at 30 µg

Lane 3:

HeLa (human epithelial cell line from cervix adenocarcinoma) whole cell extract at 30 µg

Lane 4:

HepG2 (human liver hepatocellular carcinoma cell line) whole cell extract at 30 µg

Predicted band size: 213 kDa

false

Key facts

Host species

Rabbit

Clonality

Polyclonal

Isotype

IgG

Carrier free

No

Reacts with

Human

Applications

WB, IHC-P

applications

Immunogen

Recombinant Fragment Protein within Human CEP192. The exact immunogen used to generate this antibody is proprietary information.

Q8TEP8

Reactivity data

{ "title": "Reactivity Data", "filters": { "stats": ["", "Species", "Dilution Info", "Notes"], "tabs": { "all-applications": {"fullname" : "All Applications", "shortname": "All Applications"}, "WB" : {"fullname" : "Western blot", "shortname":"WB"}, "IHCP" : {"fullname" : "Immunohistochemistry (Formalin/PFA-fixed paraffin-embedded sections)", "shortname":"IHC-P"} }, "product-promise": { "all": "all", "testedAndGuaranteed": "tested", "guaranteed": "expected", "predicted": "predicted", "notRecommended": "not-recommended" } }, "values": { "Human": { "WB-species-checked": "testedAndGuaranteed", "WB-species-dilution-info": "1/500 - 1/3000", "WB-species-notes": "<p></p>", "IHCP-species-checked": "testedAndGuaranteed", "IHCP-species-dilution-info": "1/100 - 1/1000", "IHCP-species-notes": "<p></p>" } } }

Properties and storage information

Form
Liquid
Purification technique
Affinity purification Immunogen
Storage buffer
pH: 7 Preservative: 0.025% Proclin 300 Constituents: PBS, 20% Glycerol (glycerin, glycerine)
Shipped at conditions
Blue Ice
Appropriate short-term storage duration
1-2 weeks
Appropriate short-term storage conditions
+4°C
Appropriate long-term storage conditions
-20°C
Aliquoting information
Upon delivery aliquot
Storage information
Avoid freeze / thaw cycle

Supplementary information

This supplementary information is collated from multiple sources and compiled automatically.

CEP192 also known as centrosome protein 192kDa is a significant protein for centrosome and spindle organization during cell division. CEP192 with a molecular weight of approximately 192 kDa is expressed widely in human tissues particularly in proliferative cells. Its expression is tightly regulated during the cell cycle peaking during G2/M phase to facilitate its primary functions in centrosome maturation and spindle assembly.
Biological function summary

CEP192 plays a critical role in centrosome function by recruiting and regulating other centrosomal proteins such as PLK1 and Aurora A which are essential for mitotic spindle formation. It serves as a scaffold at the centrosome enabling the formation of protein complexes that initiate microtubule nucleation. Through these mechanisms CEP192 ensures proper chromosome segregation and cell division preventing genomic instability.

Pathways

CEP192 integrates into critical processes such as mitotic spindle assembly and the cell cycle progression. It interacts closely with pathways involving PLK1 and Aurora A which are key regulators of mitotic entry and exit. These pathways ensure fine-tuning of centrosomal activities ensuring accurate mitotic spindle formation and successful mitoticiency.

Alterations in CEP192 expression or function are associated with cancer and microcephaly. In oncology abnormal CEP192 activity can lead to aneuploidy and tumor development due to its critical role in centrosome amplification and chromosomal instability. Additionally CEP192 dysfunction has connections with microcephaly often linked with mutations in genes like STIL and ASH causing severe reductions in brain size due to impaired centrosome function during neurogenesis.

Product protocols

For this product, it's our understanding that no specific protocols are required. You can visit:

Target data

Required for mitotic centrosome maturation and bipolar spindle assembly (PubMed : 17980596, PubMed : 18207742, PubMed : 25042804). Appears to be a major regulator of pericentriolar material (PCM) recruitment, centrosome maturation, and centriole duplication (PubMed : 17980596, PubMed : 18207742, PubMed : 25042804). Centrosome-specific activating scaffold for AURKA and PLK1 (PubMed : 25042804).
See full target information CEP192

Publications (1)

Recent publications for all applications. Explore the full list and refine your search

Scientific reports 15:19179 PubMed40450055

2025

c-Myc-dependent LAMP3 regulates the proliferation, metastasis and metabolic reprogramming of tongue squamous cell carcinoma.

Applications

Unspecified application

Species

Unspecified reactive species

Jing Feng,Wei He,Jin Fang
View all publications

Product promise

We are committed to supporting your work with high-quality reagents, and we're here for you every step of the way. In the unlikely event that one of our products does not perform as expected, you're protected by our Product Promise.
For full details, please see our Terms & Conditions

Please note: All products are 'FOR RESEARCH USE ONLY. NOT FOR USE IN DIAGNOSTIC OR THERAPEUTIC PROCEDURES'.

For licensing inquiries, please contact partnerships@abcam.com