JavaScript is disabled in your browser. Please enable JavaScript to view this website.
AB314668

Anti-Ceruloplasmin antibody [EPR28432-1]

Be the first to review this product! Submit a review

|

(0 Publication)

Rabbit Recombinant Monoclonal Ceruloplasmin antibody. Suitable for WB and reacts with Human, Mouse, Rat samples.

View Alternative Names

Ceruloplasmin, Cuproxidase ceruloplasmin, Ferroxidase ceruloplasmin, Glutathione peroxidase ceruloplasmin, Glutathione-dependent peroxiredoxin ceruloplasmin, CP

4 Images
Western blot - Anti-Ceruloplasmin antibody [EPR28432-1] (AB314668)
  • WB

Supplier Data

Western blot - Anti-Ceruloplasmin antibody [EPR28432-1] (AB314668)

Blocking and diluting buffer and concentration : 5% NFDM/TBST Deglycosylation induced a shift in the observed molecular weight from 150 kDa and 135 kDa to 135 kDa and 115 kDa.

All lanes:

Western blot - Anti-Ceruloplasmin antibody [EPR28432-1] (ab314668) at 1/1000 dilution

Lane 1:

Untreated human plasma at 20 µg

Lane 2:

Human plasma treated with Protein Deglycosylation Peptide:N-glycosidase F (PNGase F) at 20 µg

Secondary

All lanes:

Western blot - Goat Anti-Rabbit IgG H&L (HRP) (<a href='/en-us/products/secondary-antibodies/goat-rabbit-igg-h-l-hrp-ab97051'>ab97051</a>) at 1/100000 dilution

Observed band size: 150 kDa,135 kDa,115 kDa

false

Exposure time: 3.25s

Western blot - Anti-Ceruloplasmin antibody [EPR28432-1] (AB314668)
  • WB

Supplier Data

Western blot - Anti-Ceruloplasmin antibody [EPR28432-1] (AB314668)

Blocking and diluting buffer and concentration : 5% NFDM/TBST Low expression : skeletal muscle(PMID : 8690795) The band (130 kDa) beneath the target band (150 kDa) may be additional transcript products (PMID : 36595688, 2355023, 19690651). In Western blot, Anti-GAPDH antibody [EPR16891] - Loading Control (ab181602) staining at 1/200000 dilution.

All lanes:

Western blot - Anti-Ceruloplasmin antibody [EPR28432-1] (ab314668) at 1/1000 dilution

Lane 1:

Human plasma at 20 µg

Lane 2:

Human skeletal muscle tissue lysate at 20 µg

Secondary

All lanes:

Western blot - Goat Anti-Rabbit IgG H&L (HRP) (<a href='/en-us/products/secondary-antibodies/goat-rabbit-igg-h-l-hrp-ab97051'>ab97051</a>) at 1/100000 dilution

Observed band size: 150 kDa

false

Exposure time: 3.25s

Western blot - Anti-Ceruloplasmin antibody [EPR28432-1] (AB314668)
  • WB

Supplier Data

Western blot - Anti-Ceruloplasmin antibody [EPR28432-1] (AB314668)

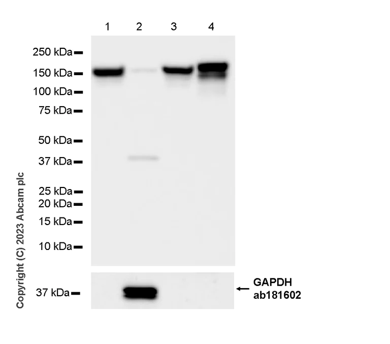
Blocking and diluting buffer and concentration : 5% NFDM/TBST Low expression : kidney (PMID : 8690795). The identity of the band around 37 kDa is unknown. In Western blot, Anti-GAPDH antibody [EPR16891] - Loading Control (ab181602) staining at 1/200000 dilution.

All lanes:

Western blot - Anti-Ceruloplasmin antibody [EPR28432-1] (ab314668) at 1/1000 dilution

Lane 1:

Mouse serum at 20 µg

Lane 2:

Mouse kidney tissue lysate at 20 µg

Lane 3:

Rat serum at 20 µg

Lane 4:

Human serum at 20 µg

Secondary

All lanes:

Western blot - Goat Anti-Rabbit IgG H&L (HRP) (<a href='/en-us/products/secondary-antibodies/goat-rabbit-igg-h-l-hrp-ab97051'>ab97051</a>) at 1/100000 dilution

Observed band size: 150 kDa

false

Exposure time: 3.25s

Western blot - Anti-Ceruloplasmin antibody [EPR28432-1] (AB314668)
  • WB

Supplier Data

Western blot - Anti-Ceruloplasmin antibody [EPR28432-1] (AB314668)

Blocking and diluting buffer and concentration : 5% NFDM/TBST Low expression : small intestine, skeletal muscle(PMID : 8690795) The identity of the band around 37 kDa is unknown. In Western blot, Anti-GAPDH antibody [EPR16891] - Loading Control (ab181602) staining at 1/200000 dilution.

All lanes:

Western blot - Anti-Ceruloplasmin antibody [EPR28432-1] (ab314668) at 1/1000 dilution

Lane 1:

Mouse liver tissue lysate at 20 µg

Lane 2:

Mouse plasma at 20 µg

Lane 3:

Mouse small intestine tissue lysate at 20 µg

Lane 4:

Mouse skeletal muscle tissue lysate at 20 µg

Lane 5:

Rat liver tissue lysate at 20 µg

Lane 6:

Rat plasma at 20 µg

Lane 7:

Rat skeletal muscle tissue lysate at 20 µg

Lane 8:

Rat small intestine tissue lysate at 20 µg

Secondary

All lanes:

Western blot - Goat Anti-Rabbit IgG H&L (HRP) (<a href='/en-us/products/secondary-antibodies/goat-rabbit-igg-h-l-hrp-ab97051'>ab97051</a>) at 1/100000 dilution

Observed band size: 150 kDa

false

Exposure time: 180s

Key facts

Host species

Rabbit

Clonality

Monoclonal

Clone number

EPR28432-1

Isotype

IgG

Carrier free

No

Reacts with

Human, Mouse, Rat

Applications

WB

applications

Immunogen

The exact immunogen used to generate this antibody is proprietary information.

Reactivity data

{ "title": "Reactivity Data", "filters": { "stats": ["", "Species", "Dilution Info", "Notes"], "tabs": { "all-applications": {"fullname" : "All Applications", "shortname": "All Applications"}, "WB" : {"fullname" : "Western blot", "shortname":"WB"}, "IP" : {"fullname" : "Immunoprecipitation", "shortname":"IP"}, "IHCP" : {"fullname" : "Immunohistochemistry (Formalin/PFA-fixed paraffin-embedded sections)", "shortname":"IHC-P"} }, "product-promise": { "all": "all", "testedAndGuaranteed": "tested", "guaranteed": "expected", "predicted": "predicted", "notRecommended": "not-recommended" } }, "values": { "Human": { "WB-species-checked": "testedAndGuaranteed", "WB-species-dilution-info": "1/1000", "WB-species-notes": "<p></p>", "IP-species-checked": "notRecommended", "IP-species-dilution-info": "", "IP-species-notes": "<p></p>", "IHCP-species-checked": "notRecommended", "IHCP-species-dilution-info": "", "IHCP-species-notes": "<p></p>" }, "Mouse": { "WB-species-checked": "testedAndGuaranteed", "WB-species-dilution-info": "1/1000", "WB-species-notes": "<p></p>", "IP-species-checked": "notRecommended", "IP-species-dilution-info": "", "IP-species-notes": "<p></p>", "IHCP-species-checked": "notRecommended", "IHCP-species-dilution-info": "", "IHCP-species-notes": "<p></p>" }, "Rat": { "WB-species-checked": "testedAndGuaranteed", "WB-species-dilution-info": "1/1000", "WB-species-notes": "<p></p>", "IP-species-checked": "notRecommended", "IP-species-dilution-info": "", "IP-species-notes": "", "IHCP-species-checked": "notRecommended", "IHCP-species-dilution-info": "", "IHCP-species-notes": "<p></p>" } } }

Product details

Patented technology
Our RabMAb® technology is a patented hybridoma-based technology for making rabbit monoclonal antibodies. For details on our patents, please refer to RabMAb® patents.

What are the advantages of a recombinant monoclonal antibody?
This product is a recombinant monoclonal antibody, which offers several advantages including:

  • - High batch-to-batch consistency and reproducibility
  • - Improved sensitivity and specificity
  • - Long-term security of supply
  • - Animal-free batch production

For more information, read more on recombinant antibodies.

Properties and storage information

Form
Liquid
Purification technique
Affinity purification Protein A
Storage buffer
pH: 7.2 - 7.4 Preservative: 0.01% Sodium azide Constituents: PBS, 40% Glycerol (glycerin, glycerine), 0.05% BSA
Shipped at conditions
Blue Ice
Appropriate short-term storage duration
1-2 weeks
Appropriate short-term storage conditions
+4°C
Appropriate long-term storage conditions
-20°C
Aliquoting information
Upon delivery aliquot
Storage information
Avoid freeze / thaw cycle

Product protocols

For this product, it's our understanding that no specific protocols are required. You can visit:

Target data

Multifunctional blue, copper-binding (6-7 atoms per molecule) glycoprotein. It has ferroxidase activity oxidizing Fe(2+) to Fe(3+) without releasing radical oxygen species. It is involved in iron transport across the cell membrane (PubMed : 16150804). Copper ions provide a large number of enzymatic activites. Oxidizes highly toxic ferrous ions to the ferric state for further incorporation onto apo-transferrins, catalyzes Cu(+) oxidation and promotes the oxidation of biogenic amines such as norepinephrin and serotonin (PubMed : 14623105, PubMed : 4643313, PubMed : 5912351). Provides Cu(2+) ions for the ascorbate-mediated deaminase degradation of the heparan sulfate chains of GPC1 (By similarity). Has glutathione peroxidase-like activity, can remove both hydrogen peroxide and lipid hydroperoxide in the presence of thiols (PubMed : 10481051). Also shows NO-oxidase and NO2 synthase activities that determine endocrine NO homeostasis (PubMed : 16906150).
See full target information CP

Product promise

We are committed to supporting your work with high-quality reagents, and we're here for you every step of the way. In the unlikely event that one of our products does not perform as expected, you're protected by our Product Promise.
For full details, please see our Terms & Conditions

Please note: All products are 'FOR RESEARCH USE ONLY. NOT FOR USE IN DIAGNOSTIC OR THERAPEUTIC PROCEDURES'.

For licensing inquiries, please contact partnerships@abcam.com