JavaScript is disabled in your browser. Please enable JavaScript to view this website.
AB126970

Anti-CES2 antibody

Be the first to review this product! Submit a review

|

(2 Publications)

Rabbit Polyclonal EST2 antibody. Suitable for IHC-P, WB and reacts with Human samples. Cited in 2 publications. Immunogen corresponding to Recombinant Fragment Protein within Human CES2 aa 350-550.

View Alternative Names

ICE, CES2, Cocaine esterase, Carboxylesterase 2, Methylumbelliferyl-acetate deacetylase 2, CE-2, hCE-2

2 Images
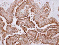
Immunohistochemistry (Formalin/PFA-fixed paraffin-embedded sections) - Anti-CES2 antibody (AB126970)
  • IHC-P

Unknown

Immunohistochemistry (Formalin/PFA-fixed paraffin-embedded sections) - Anti-CES2 antibody (AB126970)

ab126970, at 1/500 dilution, staining CES2 in paraffin-embedded Human Colon carcinoma tissue by Immunohistochemistry.

Western blot - Anti-CES2 antibody (AB126970)
  • WB

Unknown

Western blot - Anti-CES2 antibody (AB126970)

7.5% SDS PAGE

All lanes:

Western blot - Anti-CES2 antibody (ab126970) at 1/2000 dilution

All lanes:

HepG2 whole cell lysate at 30 µg

Predicted band size: 58 kDa,62 kDa,66 kDa

false

Key facts

Host species

Rabbit

Clonality

Polyclonal

Isotype

IgG

Carrier free

No

Reacts with

Human

Applications

WB, IHC-P

applications

Immunogen

Recombinant Fragment Protein within Human CES2 aa 350-550. The exact immunogen used to generate this antibody is proprietary information.

O00748

Reactivity data

{ "title": "Reactivity Data", "filters": { "stats": ["", "Species", "Dilution Info", "Notes"], "tabs": { "all-applications": {"fullname" : "All Applications", "shortname": "All Applications"}, "IHCP" : {"fullname" : "Immunohistochemistry (Formalin/PFA-fixed paraffin-embedded sections)", "shortname":"IHC-P"}, "WB" : {"fullname" : "Western blot", "shortname":"WB"} }, "product-promise": { "all": "all", "testedAndGuaranteed": "tested", "guaranteed": "expected", "predicted": "predicted", "notRecommended": "not-recommended" } }, "values": { "Human": { "IHCP-species-checked": "testedAndGuaranteed", "IHCP-species-dilution-info": "1/100 - 1/1000", "IHCP-species-notes": "<p></p>", "WB-species-checked": "testedAndGuaranteed", "WB-species-dilution-info": "1/500 - 1/3000", "WB-species-notes": "<p></p>" } } }

Properties and storage information

Form
Liquid
Purification technique
Affinity purification Immunogen
Storage buffer
pH: 7 Preservative: 0.01% Thimerosal (merthiolate) Constituents: PBS, 20% Glycerol (glycerin, glycerine), 1% BSA
Shipped at conditions
Blue Ice
Appropriate short-term storage conditions
+4°C
Appropriate long-term storage conditions
-20°C
Aliquoting information
Upon delivery aliquot
Storage information
Avoid freeze / thaw cycle

Supplementary information

This supplementary information is collated from multiple sources and compiled automatically.

Carboxylesterase 2 (CES2) also known as intestinal carboxylesterase is an enzyme with a molecular mass of approximately 60 kDa. CES2 hydrolyzes esters and amides affecting metabolism of drugs and xenobiotics. It is found mainly in the liver and small intestine with lesser expression in the colon kidney and brain. This distribution enables CES2 to play a role in both intestinal and systemic drug metabolism.
Biological function summary

CES2 acts in the hydrolysis process converting prodrugs into active compounds. It functions independently and is not typically part of a larger complex. This enzyme demonstrates broad substrate specificity impacting the metabolic activation of several therapeutic agents. Its activity affects the bioavailability and activation of medicines such as irinotecan and capecitabine which are used in cancer treatments.

Pathways

CES2 takes part in the drug metabolism pathway involving cytochrome P450 enzymes. It interacts with CYP3A4 one of the key enzymes in this system and facilitates the conversion of chemical compounds into pharmacologically active or inactive metabolites. CES2 also participates in lipid metabolism affecting the ester and triglyceride hydrolysis alongside lipases and other related enzymes.

CES2 has implications in colorectal cancer and liver disease conditions where altered drug metabolism influences disease progression and treatment efficacy. It shows associations with irinotecan activation a drug used for treating colorectal cancer and links with UDP-glucuronosyltransferases (UGTs) that also engage in drug metabolism. Understanding CES2's function aids in predicting patient responses to drug therapies and refining treatment strategies for these conditions.

Product protocols

For this product, it's our understanding that no specific protocols are required. You can visit:

Target data

Involved in the detoxification of xenobiotics and in the activation of ester and amide prodrugs (PubMed : 9169443). Shows high catalytic efficiency for hydrolysis of cocaine, 4-methylumbelliferyl acetate, heroin and 6-monoacetylmorphine (PubMed : 9169443). Hydrolyzes aspirin, substrates with large alcohol group and small acyl group and endogenous lipids such as triacylglycerol (PubMed : 28677105). Converts monoacylglycerides to free fatty acids and glycerol. Hydrolyzes of 2-arachidonoylglycerol and prostaglandins (PubMed : 21049984).
See full target information CES2

Publications (2)

Recent publications for all applications. Explore the full list and refine your search

Stem cell research & therapy 15:16 PubMed38229108

2024

Human intestinal organoid-derived PDGFRα + mesenchymal stroma enables proliferation and maintenance of LGR4 + epithelial stem cells.

Applications

Unspecified application

Species

Unspecified reactive species

JunLong Chen,Shinichiro Horiuchi,So Kuramochi,Tomoyuki Kawasaki,Hayato Kawasumi,Saeko Akiyama,Tomoki Arai,Kenichi Morinaga,Tohru Kimura,Tohru Kiyono,Hidenori Akutsu,Seiichi Ishida,Akihiro Umezawa

Journal of virology 95: PubMed33408177

2021

Phosphorylation of Influenza A Virus NS1 at Serine 205 Mediates Its Viral Polymerase-Enhancing Function.

Applications

Unspecified application

Species

Unspecified reactive species

Amol Patil,Darisuren Anhlan,Verónica Ferrando,Angeles Mecate-Zambrano,Alexander Mellmann,Viktor Wixler,Yvonne Boergeling,Stephan Ludwig
View all publications

Product promise

We are committed to supporting your work with high-quality reagents, and we're here for you every step of the way. In the unlikely event that one of our products does not perform as expected, you're protected by our Product Promise.
For full details, please see our Terms & Conditions

Please note: All products are 'FOR RESEARCH USE ONLY. NOT FOR USE IN DIAGNOSTIC OR THERAPEUTIC PROCEDURES'.

For licensing inquiries, please contact partnerships@abcam.com