JavaScript is disabled in your browser. Please enable JavaScript to view this website.
AB200656

Anti-CFH + CFHL1 antibody [EPR17159]

Be the first to review this product! Submit a review

|

(1 Publication)

Rabbit Recombinant Monoclonal CFHR1 antibody. Suitable for WB, ICC/IF, IHC-P and reacts with Human samples. Cited in 1 publication.

View Alternative Names

CFHL, CFHL1, CFHL1P, CFHR1P, FHR1, HFL1, HFL2, CFHR1, Complement factor H-related protein 1, FHR-1, H factor-like protein 1, H36, FHL-1, H-factor-like 1

5 Images
Immunohistochemistry (Formalin/PFA-fixed paraffin-embedded sections) - Anti-CFH + CFHL1 antibody [EPR17159] (AB200656)
  • IHC-P

Supplier Data

Immunohistochemistry (Formalin/PFA-fixed paraffin-embedded sections) - Anti-CFH + CFHL1 antibody [EPR17159] (AB200656)

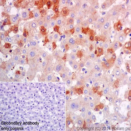
Immunohistochemical analysis of paraffin-embedded Human liver tissue labeling CFH + CFHL1 with ab200656 at 1/500 dilution followed by Goat Anti-Rabbit IgG H&L (HRP) (ab97051) secondary antibody at 1/500 dilution.

Cytoplasm staining on Human liver tissue is observed.

Counter stained with Hematoxylin.

Secondary antibody only control : Used PBS instead of primary antibody secondary antibody is Goat Anti-Rabbit IgG H&L (HRP) (ab97051) at 1/500 dilution.

Perform heat mediated antigen retrieval with Tris/EDTA buffer pH 9.0 before commencing with IHC staining protocol.

Immunohistochemistry (Formalin/PFA-fixed paraffin-embedded sections) - Anti-CFH + CFHL1 antibody [EPR17159] (AB200656)
  • IHC-P

Supplier Data

Immunohistochemistry (Formalin/PFA-fixed paraffin-embedded sections) - Anti-CFH + CFHL1 antibody [EPR17159] (AB200656)

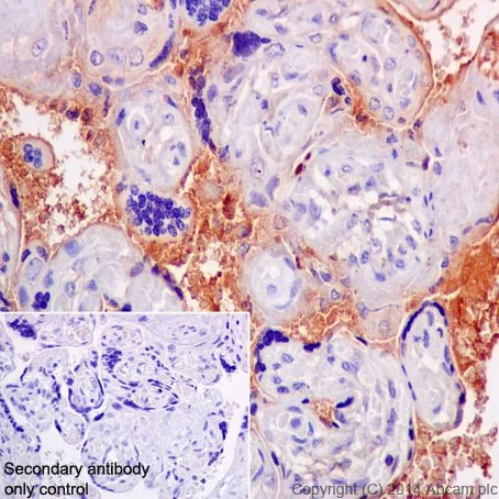
Immunohistochemical analysis of paraffin-embedded Human placenta tissue labeling CFH + CFHL1 with ab200656 at 1/500 dilution followed by Goat Anti-Rabbit IgG H&L (HRP) (ab97051) secondary antibody at 1/500 dilution.

Plasma staining on Human placenta tissue is observed.

Counter stained with Hematoxylin.

Secondary antibody only control : Used PBS instead of primary antibody secondary antibody is Goat Anti-Rabbit IgG H&L (HRP) (ab97051) at 1/500 dilution.

Perform heat mediated antigen retrieval with Tris/EDTA buffer pH 9.0 before commencing with IHC staining protocol.

Immunocytochemistry/ Immunofluorescence - Anti-CFH + CFHL1 antibody [EPR17159] (AB200656)
  • ICC/IF

Supplier Data

Immunocytochemistry/ Immunofluorescence - Anti-CFH + CFHL1 antibody [EPR17159] (AB200656)

Immunofluorescent analysis of 100% methanol-fixed 0.1% Triton X-100 permeabilized HepG2 (Human liver hepatocellular carcinoma) cells labeling CFH + CFHL1 with ab200656 at 1/100 dilution followed by Goat anti-rabbit IgG (Alexa Fluor® 488) (ab150077) secondary antibody at 1/500 dilution (green).

Cytoplasm staining on HepG2 cell line is observed.

The nuclear counter stain is DAPI (blue).

Tubulin is detected with ab7291 (anti-Tubulin mouse mAb) at 1/1000 dilution and ab150120 (AlexaFluor®594 Goat anti-Mouse secondary) at 1/500 dilution (red).

The negative controls are as follows :
-ve control 1 : ab200656 at 1/100 dilution followed by ab150120 (AlexaFluor®594 Goat anti-Mouse secondary) at 1/500 dilution.
-ve control 2 : ab7291 (anti-Tubulin mouse mAb) at 1/1000 dilution followed by ab150077 (Alexa Fluor®488 Goat Anti-Rabbit IgG H&L) at 1/500 dilution.

Immunohistochemistry (Formalin/PFA-fixed paraffin-embedded sections) - Anti-CFH + CFHL1 antibody [EPR17159] (AB200656)
  • IHC-P

Supplier Data

Immunohistochemistry (Formalin/PFA-fixed paraffin-embedded sections) - Anti-CFH + CFHL1 antibody [EPR17159] (AB200656)

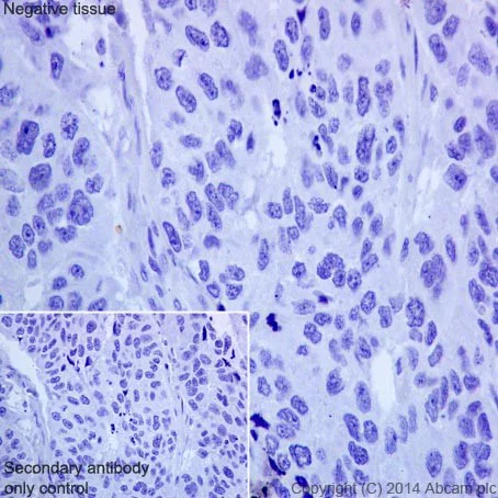
Immunohistochemical analysis of paraffin-embedded Human lung carcinoma tissue labeling CFH + CFHL1 with ab200656 at 1/500 dilution followed by Goat Anti-Rabbit IgG H&L (HRP) (ab97051) secondary antibody at 1/500 dilution.

Human Lung carcinoma tissue was used as a negative control for CFH + CFHL1.

Counter stained with Hematoxylin.

Secondary antibody only control : Used PBS instead of primary antibody secondary antibody is Goat Anti-Rabbit IgG H&L (HRP) (ab97051) at 1/500 dilution.

Perform heat mediated antigen retrieval with Tris/EDTA buffer pH 9.0 before commencing with IHC staining protocol.

Western blot - Anti-CFH + CFHL1 antibody [EPR17159] (AB200656)
  • WB

Supplier Data

Western blot - Anti-CFH + CFHL1 antibody [EPR17159] (AB200656)

Blocking/Dilution buffer : 5% NFDM/TBST.

Based on the sequence analysis, ab200656 has 100% homology with CFH protein.
The observed MW is consistent with what has been described in the literature PMID : 19745068.

All lanes:

Western blot - Anti-CFH + CFHL1 antibody [EPR17159] (ab200656) at 1/10000 dilution

Lane 1:

Human serum at 10 µg

Lane 2:

Human plasma at 10 µg

Lane 3:

Human fetal liver tissue lysate at 10 µg

Secondary

All lanes:

Anti-Rabbit IgG (HRP), specific to the non-reduced form of IgG at 1/1000 dilution

Predicted band size: 38 kDa

Observed band size: 180 kDa,38 kDa,44 kDa

false

Exposure time: 3min

  • Carrier free

    Anti-CFH + CFHL1 antibody [EPR17159] - BSA and Azide free

Key facts

Host species

Rabbit

Clonality

Monoclonal

Clone number

EPR17159

Isotype

IgG

Carrier free

No

Reacts with

Human

Applications

WB, ICC/IF, IHC-P

applications

Immunogen

The exact immunogen used to generate this antibody is proprietary information.

Reactivity data

{ "title": "Reactivity Data", "filters": { "stats": ["", "Species", "Dilution Info", "Notes"], "tabs": { "all-applications": {"fullname" : "All Applications", "shortname": "All Applications"}, "WB" : {"fullname" : "Western blot", "shortname":"WB"}, "ICCIF" : {"fullname" : "Immunocytochemistry/ Immunofluorescence", "shortname":"ICC/IF"}, "IHCP" : {"fullname" : "Immunohistochemistry (Formalin/PFA-fixed paraffin-embedded sections)", "shortname":"IHC-P"} }, "product-promise": { "all": "all", "testedAndGuaranteed": "tested", "guaranteed": "expected", "predicted": "predicted", "notRecommended": "not-recommended" } }, "values": { "Human": { "WB-species-checked": "testedAndGuaranteed", "WB-species-dilution-info": "1/10000", "WB-species-notes": "<p></p>", "ICCIF-species-checked": "testedAndGuaranteed", "ICCIF-species-dilution-info": "1/100", "ICCIF-species-notes": "<p></p>", "IHCP-species-checked": "testedAndGuaranteed", "IHCP-species-dilution-info": "1/500", "IHCP-species-notes": "<p></p>" } } }

Product details

Patented technology
Our RabMAb® technology is a patented hybridoma-based technology for making rabbit monoclonal antibodies. For details on our patents, please refer to RabMAb® patents.

What are the advantages of a recombinant monoclonal antibody?
This product is a recombinant monoclonal antibody, which offers several advantages including:

  • - High batch-to-batch consistency and reproducibility
  • - Improved sensitivity and specificity
  • - Long-term security of supply
  • - Animal-free batch production

For more information, read more on recombinant antibodies.

Properties and storage information

Form
Liquid
Purification technique
Affinity purification Protein A
Storage buffer
pH: 7.2 - 7.4 Preservative: 0.01% Sodium azide Constituents: PBS, 40% Glycerol (glycerin, glycerine), 0.05% BSA
Shipped at conditions
Blue Ice
Appropriate short-term storage duration
1-2 weeks
Appropriate short-term storage conditions
+4°C
Appropriate long-term storage conditions
-20°C
Aliquoting information
Upon delivery aliquot
Storage information
Avoid freeze / thaw cycle

Supplementary information

This supplementary information is collated from multiple sources and compiled automatically.

Complement Factor H (CFH) and Complement Factor H-Like 1 (CFHL1) are important proteins involved in the regulation of the complement system. CFH is also known as CFH band and has a molecular mass of approximately 150 kDa. These proteins are mainly expressed in the liver and are present in plasma. CFHL1 is a truncated version of CFH and shares structural similarities with it. Both proteins have an important role in maintaining balance in the immune system.
Biological function summary

CFH and CFHL1 control the activity of the alternative complement pathway by inhibiting the formation of the C3 convertase and promoting the disassembly of the convertase complexes. This process prevents overactivation of the complement system which can otherwise damage host tissues. CFH functions as a cofactor for factor I aiding in the degradation of C3b. Both proteins are not part of a larger complex but interact with other components in the pathway to regulate complement activation.

Pathways

Both CFH and CFHL1 play essential roles in the alternative complement pathway and the regulation of complement cascades. They interact closely with proteins like C3b and factor I to modulate the immune response. This regulation is important for preventing unintentional cellular damage and ensuring proper immune function. CFH particularly ensures that this pathway does not escalate into an inflammatory reaction in healthy tissues.

Defects or deficiencies in CFH or CFHL1 relate to conditions like age-related macular degeneration (AMD) and atypical hemolytic uremic syndrome (aHUS). These diseases link to uncontrolled complement activation and tissue damage. In AMD CFH's interaction with proteins like C3 is important for preventing retinal damage. For aHUS CFH mutations disrupt normal function leading to excessive complement activity and renal injury.

Product protocols

For this product, it's our understanding that no specific protocols are required. You can visit:

Target data

Involved in complement regulation. The dimerized forms have avidity for tissue-bound complement fragments and efficiently compete with the physiological complement inhibitor CFH. Can associate with lipoproteins and may play a role in lipid metabolism.
See full target information CFHR1

Additional targets

CFH

Publications (1)

Recent publications for all applications. Explore the full list and refine your search

Cancer science 109:2199-2210 PubMed29788550

2018

Ubiquitin-specific protease 22 acts as an oncoprotein to maintain glioma malignancy through deubiquitinating B cell-specific Moloney murine leukemia virus integration site 1 for stabilization.

Applications

Unspecified application

Species

Unspecified reactive species

Guan-Zhong Qiu,Xiao-Yuan Mao,Yue Ma,Xing-Chun Gao,Zhen Wang,Ming-Zhu Jin,Wei Sun,Yong-Xiang Zou,Jing Lin,Hua-Lin Fu,Wei-Lin Jin
View all publications

Product promise

We are committed to supporting your work with high-quality reagents, and we're here for you every step of the way. In the unlikely event that one of our products does not perform as expected, you're protected by our Product Promise.
For full details, please see our Terms & Conditions

Please note: All products are 'FOR RESEARCH USE ONLY. NOT FOR USE IN DIAGNOSTIC OR THERAPEUTIC PROCEDURES'.

For licensing inquiries, please contact partnerships@abcam.com