JavaScript is disabled in your browser. Please enable JavaScript to view this website.
AB308505

Anti-CFHL2 antibody [EPR25758-30] - BSA and Azide free

Be the first to review this product! Submit a review

|

(0 Publication)

Rabbit Recombinant Monoclonal CFHL2 antibody. Carrier free. Suitable for WB and reacts with Human samples.

View Alternative Names

CFHL2, FHR2, HFL3, CFHR2, Complement factor H-related protein 2, FHR-2, DDESK59, H factor-like 3, H factor-like protein 2

2 Images
Western blot - Anti-CFHL2 antibody [EPR25758-30] - BSA and Azide free (AB308505)
  • WB

Supplier Data

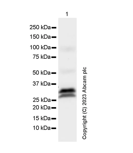
Western blot - Anti-CFHL2 antibody [EPR25758-30] - BSA and Azide free (AB308505)

This data was developed using ab308504, the same antibody clone in a different buffer formulation. Blocking and diluting buffer and concentration : 5% NFDM/TBST Exposure time : 37 seconds

All lanes:

Western blot - Anti-CFHL2 antibody [EPR25758-30] (<a href='/en-us/products/primary-antibodies/cfhl2-antibody-epr25758-30-ab308504'>ab308504</a>) at 1/1000 dilution

All lanes:

Human plasma at 50 µg

Secondary

All lanes:

Western blot - Goat Anti-Rabbit IgG H&L (HRP) (<a href='/en-us/products/secondary-antibodies/goat-rabbit-igg-h-l-hrp-ab97051'>ab97051</a>) at 1/100000 dilution

Observed band size: 27 kDa,30 kDa

false

Exposure time: 37s

Western blot - Anti-CFHL2 antibody [EPR25758-30] - BSA and Azide free (AB308505)
  • WB

Supplier Data

Western blot - Anti-CFHL2 antibody [EPR25758-30] - BSA and Azide free (AB308505)

This data was developed using ab308504, the same antibody clone in a different buffer formulation. Blocking and diluting buffer and concentration : 5% NFDM/TBST Low expression : Hypothalamus tissue(PMID : 29496498), THP-1 (PMID : 26432903). In Western blot, anti-GAPDH antibody (ab181602) loading control staining at 1/200000 dilution. Exposure time : 180 seconds

All lanes:

Western blot - Anti-CFHL2 antibody [EPR25758-30] (<a href='/en-us/products/primary-antibodies/cfhl2-antibody-epr25758-30-ab308504'>ab308504</a>) at 1/1000 dilution

Lane 1:

Human liver tissue lysate at 50 µg

Lane 2:

Human hypothalamus tissue lysate at 50 µg

Lane 3:

THP-1 (human monocytic leukemia monocyte) whole cell lysate at 50 µg

Secondary

All lanes:

Western blot - Goat Anti-Rabbit IgG H&L (HRP) (<a href='/en-us/products/secondary-antibodies/goat-rabbit-igg-h-l-hrp-ab97051'>ab97051</a>) at 1/100000 dilution

Observed band size: 27 kDa,30 kDa

false

Exposure time: 180s

Key facts

Host species

Rabbit

Clonality

Monoclonal

Clone number

EPR25758-30

Isotype

IgG

Carrier free

Yes

Reacts with

Human

Applications

WB

applications

Immunogen

The exact immunogen used to generate this antibody is proprietary information.

Reactivity data

{ "title": "Reactivity Data", "filters": { "stats": ["", "Species", "Dilution Info", "Notes"], "tabs": { "all-applications": {"fullname" : "All Applications", "shortname": "All Applications"}, "WB" : {"fullname" : "Western blot", "shortname":"WB"}, "IHCP" : {"fullname" : "Immunohistochemistry (Formalin/PFA-fixed paraffin-embedded sections)", "shortname":"IHC-P"}, "ICCIF" : {"fullname" : "Immunocytochemistry/ Immunofluorescence", "shortname":"ICC/IF"}, "FlowCytIntra" : {"fullname" : "Flow Cytometry (Intracellular)", "shortname":"Flow Cyt (Intra)"}, "IP" : {"fullname" : "Immunoprecipitation", "shortname":"IP"} }, "product-promise": { "all": "all", "testedAndGuaranteed": "tested", "guaranteed": "expected", "predicted": "predicted", "notRecommended": "not-recommended" } }, "values": { "Human": { "WB-species-checked": "testedAndGuaranteed", "WB-species-dilution-info": "", "WB-species-notes": "<p></p>", "IHCP-species-checked": "notRecommended", "IHCP-species-dilution-info": "", "IHCP-species-notes": "<p></p>", "ICCIF-species-checked": "notRecommended", "ICCIF-species-dilution-info": "", "ICCIF-species-notes": "<p></p>", "FlowCytIntra-species-checked": "notRecommended", "FlowCytIntra-species-dilution-info": "", "FlowCytIntra-species-notes": "<p></p>", "IP-species-checked": "notRecommended", "IP-species-dilution-info": "", "IP-species-notes": "<p></p>" }, "Mouse": { "WB-species-checked": "notRecommended", "WB-species-dilution-info": "", "WB-species-notes": "<p></p>", "IHCP-species-checked": "notRecommended", "IHCP-species-dilution-info": "", "IHCP-species-notes": "<p></p>", "ICCIF-species-checked": "notRecommended", "ICCIF-species-dilution-info": "", "ICCIF-species-notes": "", "FlowCytIntra-species-checked": "notRecommended", "FlowCytIntra-species-dilution-info": "", "FlowCytIntra-species-notes": "", "IP-species-checked": "notRecommended", "IP-species-dilution-info": "", "IP-species-notes": "" }, "Rat": { "WB-species-checked": "notRecommended", "WB-species-dilution-info": "", "WB-species-notes": "<p></p>", "IHCP-species-checked": "notRecommended", "IHCP-species-dilution-info": "", "IHCP-species-notes": "<p></p>", "ICCIF-species-checked": "notRecommended", "ICCIF-species-dilution-info": "", "ICCIF-species-notes": "", "FlowCytIntra-species-checked": "notRecommended", "FlowCytIntra-species-dilution-info": "", "FlowCytIntra-species-notes": "", "IP-species-checked": "notRecommended", "IP-species-dilution-info": "", "IP-species-notes": "" } } }

Product details

Patented technology
Our RabMAb® technology is a patented hybridoma-based technology for making rabbit monoclonal antibodies. For details on our patents, please refer to RabMAb® patents.

What are the advantages of a recombinant monoclonal antibody?
This product is a recombinant monoclonal antibody, which offers several advantages including:

  • - High batch-to-batch consistency and reproducibility
  • - Improved sensitivity and specificity
  • - Long-term security of supply
  • - Animal-free batch production

For more information, read more on recombinant antibodies.

Conjugation ready
Our carrier-free antibodies are typically supplied in a PBS-only formulation, purified and free of BSA, sodium azide and glycerol. This conjugation-ready format is designed for use with fluorochromes, metal isotopes, oligonucleotides, and enzymes, which makes them ideal for antibody labelling, functional and cell-based assays, flow-based assays (e.g. mass cytometry) and Multiplex Imaging applications.

Use our conjugation kits for antibody conjugates that are ready-to-use in as little as 20 minutes with 1 minute hands-on-time and 100% antibody recovery: available for fluorescent dyes, HRP, biotin and gold.

Compatibility
This product is compatible with the Maxpar® Antibody Labeling Kit from Fluidigm, without the need for antibody preparation. Maxpar® is a trademark of Fluidigm Canada Inc.

Properties and storage information

Form
Liquid
Purification technique
Affinity purification Protein A
Storage buffer
pH: 7.2 - 7.4 Constituents: PBS
Shipped at conditions
Blue Ice
Appropriate short-term storage conditions
+4°C
Appropriate long-term storage conditions
+4°C

Supplementary information

This supplementary information is collated from multiple sources and compiled automatically.

CFHL2 also known as Complement Factor H-Related 2 is a small protein with a mass of approximately 29 kDa. It belongs to the family of complement factor H-related proteins. This protein is expressed predominantly in the liver and also in several other tissues including the blood. Its mechanical function involves binding to certain molecules in the extracellular matrix and surfaces which affects the regulation of the complement system.
Biological function summary

CFHL2 plays a role in the immune system by participating in the regulation of the complement activation. It does not operate alone but is part of a group of proteins that modulate the complement system which helps clear pathogens from an organism. CFHL2 can act by competing with complement factor H potentially altering the activity of the complement system and influencing immune responses.

Pathways

CFHL2 interacts with the alternative pathway of the complement system. This pathway is one of three that facilitate the complement system an important part of innate immunity. Its interaction with complement factor H influences the level of activity within this pathway impacting how the body responds to pathogens. CFHL2 in this way indirectly connects to other proteins regulating the immune response.

CFHL2 has been associated with age-related macular degeneration and atypical hemolytic uremic syndrome. In these conditions an imbalance in the complement system is observed where CFHL2's role in modulating complement factor H comes into play. Such disruption in balance contributes to the pathology of these diseases and implicates related proteins like complement factor H in disease progression.

Product protocols

For this product, it's our understanding that no specific protocols are required. You can visit:

Target data

Involved in complement regulation. The dimerized forms have avidity for tissue-bound complement fragments and efficiently compete with the physiological complement inhibitor CFH. Can associate with lipoproteins and may play a role in lipid metabolism.
See full target information CFHR2

Product promise

We are committed to supporting your work with high-quality reagents, and we're here for you every step of the way. In the unlikely event that one of our products does not perform as expected, you're protected by our Product Promise.
For full details, please see our Terms & Conditions

Please note: All products are 'FOR RESEARCH USE ONLY. NOT FOR USE IN DIAGNOSTIC OR THERAPEUTIC PROCEDURES'.

For licensing inquiries, please contact partnerships@abcam.com