JavaScript is disabled in your browser. Please enable JavaScript to view this website.
AB262705

Anti-CFHR5 antibody

Be the first to review this product! Submit a review

|

(1 Publication)

Rabbit Polyclonal CFHR5 antibody. Suitable for IHC-P, WB and reacts with Human samples. Cited in 1 publication. Immunogen corresponding to Recombinant Fragment Protein within Human CFHR5.

View Alternative Names

CFHL5, FHR5, CFHR5, Complement factor H-related protein 5, FHR-5

2 Images
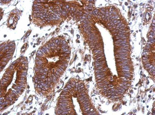
Immunohistochemistry (Formalin/PFA-fixed paraffin-embedded sections) - Anti-CFHR5 antibody (AB262705)
  • IHC-P

Supplier Data

Immunohistochemistry (Formalin/PFA-fixed paraffin-embedded sections) - Anti-CFHR5 antibody (AB262705)

Immunohistochemical analysis of paraffin-embedded human hepatoma tissue staining CFHR5 with ab262705 at 1/500 dilution. Antigen Retrieval : EDTA based, pH 8.0 buffer, 15min.

Western blot - Anti-CFHR5 antibody (AB262705)
  • WB

Supplier Data

Western blot - Anti-CFHR5 antibody (AB262705)

All lanes:

Western blot - Anti-CFHR5 antibody (ab262705) at 1/3000 dilution

All lanes:

HepG2 whole cell lysate at 30 µg

Predicted band size: 64 kDa

false

Key facts

Host species

Rabbit

Clonality

Polyclonal

Isotype

IgG

Carrier free

No

Reacts with

Human

Applications

WB, IHC-P

applications

Immunogen

Recombinant Fragment Protein within Human CFHR5. The exact immunogen used to generate this antibody is proprietary information.

Q9BXR6

Reactivity data

{ "title": "Reactivity Data", "filters": { "stats": ["", "Species", "Dilution Info", "Notes"], "tabs": { "all-applications": {"fullname" : "All Applications", "shortname": "All Applications"}, "IHCP" : {"fullname" : "Immunohistochemistry (Formalin/PFA-fixed paraffin-embedded sections)", "shortname":"IHC-P"}, "WB" : {"fullname" : "Western blot", "shortname":"WB"} }, "product-promise": { "all": "all", "testedAndGuaranteed": "tested", "guaranteed": "expected", "predicted": "predicted", "notRecommended": "not-recommended" } }, "values": { "Human": { "IHCP-species-checked": "testedAndGuaranteed", "IHCP-species-dilution-info": "1/100 - 1/1000", "IHCP-species-notes": "<p></p> Perform heat-mediated antigen retrieval before commencing with IHC staining protocol.", "WB-species-checked": "testedAndGuaranteed", "WB-species-dilution-info": "1/500 - 1/3000", "WB-species-notes": "<p></p>" } } }

Properties and storage information

Form
Liquid
Purification technique
Affinity purification
Storage buffer
pH: 7 Preservative: 0.01% Thimerosal (merthiolate) Constituents: PBS, 20% Glycerol (glycerin, glycerine), 1% BSA
Shipped at conditions
Blue Ice
Appropriate short-term storage duration
1-2 weeks
Appropriate short-term storage conditions
+4°C
Appropriate long-term storage conditions
-20°C
Aliquoting information
Upon delivery aliquot
Storage information
Avoid freeze / thaw cycle

Supplementary information

This supplementary information is collated from multiple sources and compiled automatically.

CFHR5 also known as complement factor H-related protein 5 belongs to the complement system and affects immune response. CFHR5 has an approximate mass of 65 kDa. You can find it in plasma and tissues such as the liver and kidney. It plays a role in regulating the alternative complement pathway by interacting with various complement factors inhibiting excessive immune reactions.
Biological function summary

CFHR5 regulates the complement system to prevent damage to host tissues. It does not commonly form complexes but interacts directly with other proteins in the complement system such as complement factor H. The balance maintained by CFHR5 is necessary to control inflammation and assist in removing pathogens without harming body's own cells.

Pathways

The alternative complement pathway involves CFHR5 as a regulatory component. It ensures proper complement activation and prevents unregulated immune responses. CFHR5 engages with proteins such as complement factor H and C3b during pathway modulation. Changes in CFHR5 can impact the balance of immune activation and clearance of cellular debris within this pathway.

Mutations or malfunction of CFHR5 associate with certain kidney disorders such as CFHR5 nephropathy and atypical hemolytic uremic syndrome (aHUS). These conditions often link with dysregulation of the complement system. The relationship between CFHR5 and complement factor H is important in maintaining kidney function and avoiding disease development.

Product protocols

For this product, it's our understanding that no specific protocols are required. You can visit:

Target data

Involved in complement regulation. The dimerized forms have avidity for tissue-bound complement fragments and efficiently compete with the physiological complement inhibitor CFH.
See full target information CFHR5

Publications (1)

Recent publications for all applications. Explore the full list and refine your search

Biomedicines 11: PubMed36672654

2023

Impact of Hypermannosylation on the Structure and Functionality of the ER and the Golgi Complex.

Applications

Unspecified application

Species

Unspecified reactive species

Patricia Franzka,Svenja Caren Schüler,Takfarinas Kentache,Robert Storm,Andrea Bock,Istvan Katona,Joachim Weis,Katrin Buder,Christoph Kaether,Christian A Hübner
View all publications

Product promise

We are committed to supporting your work with high-quality reagents, and we're here for you every step of the way. In the unlikely event that one of our products does not perform as expected, you're protected by our Product Promise.
For full details, please see our Terms & Conditions

Please note: All products are 'FOR RESEARCH USE ONLY. NOT FOR USE IN DIAGNOSTIC OR THERAPEUTIC PROCEDURES'.

For licensing inquiries, please contact partnerships@abcam.com