JavaScript is disabled in your browser. Please enable JavaScript to view this website.
AB305248

Anti-CFHR5 antibody [EPR25711-28] - BSA and Azide free

Be the first to review this product! Submit a review

|

(0 Publication)

Rabbit Recombinant Monoclonal CFHR5 antibody. Carrier free. Suitable for Dot, WB and reacts with Human samples.

View Alternative Names

CFHL5, FHR5, CFHR5, Complement factor H-related protein 5, FHR-5

3 Images
Western blot - Anti-CFHR5 antibody [EPR25711-28] - BSA and Azide free (AB305248)
  • WB

Supplier Data

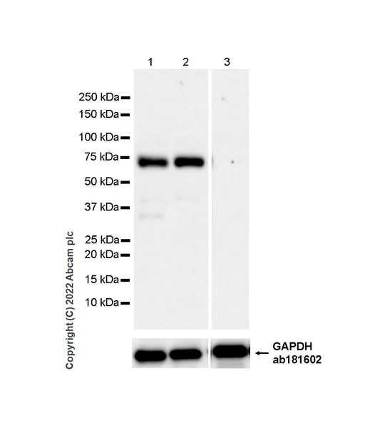
Western blot - Anti-CFHR5 antibody [EPR25711-28] - BSA and Azide free (AB305248)

This data was developed using ab305247, the same antibody clone in a different buffer formulation. Blocking and diluting buffer and concentration : 5% NFDM/TBST. Negative control : human heart  (Human Integrated Protein Expression Database-GeneCards). Exposure time : 59 seconds.

All lanes:

Western blot - Anti-CFHR5 antibody [EPR25711-28] (<a href='/en-us/products/primary-antibodies/cfhr5-antibody-epr25711-28-ab305247'>ab305247</a>) at 1/1000 dilution

Lane 1:

Human liver tissue lysate 20 μg

Lane 2:

Human kidney tissue lysate 20 μg

Lane 3:

Human heart tissue lysate 20 μg

Secondary

All lanes:

Goat Anti-Rabbit IgG (HRP) with minimal cross-reactivity with human IgG at 1/2000 dilution

Observed band size: 75 kDa

false

Exposure time: 59s

Western blot - Anti-CFHR5 antibody [EPR25711-28] - BSA and Azide free (AB305248)
  • WB

Supplier Data

Western blot - Anti-CFHR5 antibody [EPR25711-28] - BSA and Azide free (AB305248)

This data was developed using ab305247, the same antibody clone in a different buffer formulation. Blocking and diluting buffer and concentration : 5% NFDM/TBST   Exposure time : 180 seconds. Observed MW (kDa) : 64 (de-glycosylated form), 70 (glycosylated form).

All lanes:

Western blot - Anti-CFHR5 antibody [EPR25711-28] (<a href='/en-us/products/primary-antibodies/cfhr5-antibody-epr25711-28-ab305247'>ab305247</a>) at 1/1000 dilution

Lane 1:

Untreated human plasma 20 μg

Lane 2:

Human plasma treated with Protein Deglycosylation MIX II 20 μg

Secondary

All lanes:

Goat Anti-Rabbit IgG (HRP) with minimal cross-reactivity with human IgG at 1/2000 dilution

Observed band size: 64 kDa,70 kDa

false

Exposure time: 180s

Dot Blot - Anti-CFHR5 antibody [EPR25711-28] - BSA and Azide free (AB305248)
  • Dot

Supplier Data

Dot Blot - Anti-CFHR5 antibody [EPR25711-28] - BSA and Azide free (AB305248)

This data was developed using ab305247, the same antibody clone in a different buffer formulation. Dot blot analysis of CFHR5 using ab305247 at 1 : 1000 (0.507 ug/ml) followed by a Goat Anti-Rabbit IgG, (H+L), Peroxidase conjugated (ab97051) at 1 : 100,000 dilution. Exposure time : 103 seconds. Blocking and diluting buffer and concentration : 5% NFDM/TBST. Lane 1 : His-tagged human CFHR1 recombinant fragment 10 ng Lane 2 : His-tagged human CFHR2 recombinant fragment 10 ng Lane 3 : His-tagged human CFHR3 recombinant fragment 10 ng Lane 4 : His-tagged human CFHR4 recombinant fragment 10 ng Lane 5 : His-tagged human CFHR5 recombinant fragment 10 ng This antibody does not cross-react with human CFHR1, CFHR2, CFHR3 or CFHR4.

Key facts

Host species

Rabbit

Clonality

Monoclonal

Clone number

EPR25711-28

Isotype

IgG

Carrier free

Yes

Reacts with

Human

Applications

WB, Dot

applications

Immunogen

The exact immunogen used to generate this antibody is proprietary information.

Reactivity data

{ "title": "Reactivity Data", "filters": { "stats": ["", "Species", "Dilution Info", "Notes"], "tabs": { "all-applications": {"fullname" : "All Applications", "shortname": "All Applications"}, "Dot" : {"fullname" : "Dot Blot", "shortname":"Dot"}, "IP" : {"fullname" : "Immunoprecipitation", "shortname":"IP"}, "FlowCytIntra" : {"fullname" : "Flow Cytometry (Intracellular)", "shortname":"Flow Cyt (Intra)"}, "ICCIF" : {"fullname" : "Immunocytochemistry/ Immunofluorescence", "shortname":"ICC/IF"}, "IHCP" : {"fullname" : "Immunohistochemistry (Formalin/PFA-fixed paraffin-embedded sections)", "shortname":"IHC-P"}, "WB" : {"fullname" : "Western blot", "shortname":"WB"} }, "product-promise": { "all": "all", "testedAndGuaranteed": "tested", "guaranteed": "expected", "predicted": "predicted", "notRecommended": "not-recommended" } }, "values": { "Human": { "Dot-species-checked": "testedAndGuaranteed", "Dot-species-dilution-info": "", "Dot-species-notes": "<p></p>", "IP-species-checked": "notRecommended", "IP-species-dilution-info": "", "IP-species-notes": "<p></p>", "FlowCytIntra-species-checked": "notRecommended", "FlowCytIntra-species-dilution-info": "", "FlowCytIntra-species-notes": "<p></p>", "ICCIF-species-checked": "notRecommended", "ICCIF-species-dilution-info": "", "ICCIF-species-notes": "<p></p>", "IHCP-species-checked": "notRecommended", "IHCP-species-dilution-info": "", "IHCP-species-notes": "<p></p>", "WB-species-checked": "testedAndGuaranteed", "WB-species-dilution-info": "", "WB-species-notes": "<p></p>" }, "Mouse": { "Dot-species-checked": "notRecommended", "Dot-species-dilution-info": "", "Dot-species-notes": "", "IP-species-checked": "notRecommended", "IP-species-dilution-info": "", "IP-species-notes": "", "FlowCytIntra-species-checked": "notRecommended", "FlowCytIntra-species-dilution-info": "", "FlowCytIntra-species-notes": "", "ICCIF-species-checked": "notRecommended", "ICCIF-species-dilution-info": "", "ICCIF-species-notes": "", "IHCP-species-checked": "notRecommended", "IHCP-species-dilution-info": "", "IHCP-species-notes": "<p></p>", "WB-species-checked": "notRecommended", "WB-species-dilution-info": "", "WB-species-notes": "<p></p>" }, "Rat": { "Dot-species-checked": "notRecommended", "Dot-species-dilution-info": "", "Dot-species-notes": "", "IP-species-checked": "notRecommended", "IP-species-dilution-info": "", "IP-species-notes": "", "FlowCytIntra-species-checked": "notRecommended", "FlowCytIntra-species-dilution-info": "", "FlowCytIntra-species-notes": "", "ICCIF-species-checked": "notRecommended", "ICCIF-species-dilution-info": "", "ICCIF-species-notes": "", "IHCP-species-checked": "notRecommended", "IHCP-species-dilution-info": "", "IHCP-species-notes": "<p></p>", "WB-species-checked": "notRecommended", "WB-species-dilution-info": "", "WB-species-notes": "<p></p>" } } }

Product details

Patented technology
Our RabMAb® technology is a patented hybridoma-based technology for making rabbit monoclonal antibodies. For details on our patents, please refer to RabMAb® patents.

What are the advantages of a recombinant monoclonal antibody?
This product is a recombinant monoclonal antibody, which offers several advantages including:

  • - High batch-to-batch consistency and reproducibility
  • - Improved sensitivity and specificity
  • - Long-term security of supply
  • - Animal-free batch production

For more information, read more on recombinant antibodies.

Conjugation ready
Our carrier-free antibodies are typically supplied in a PBS-only formulation, purified and free of BSA, sodium azide and glycerol. This conjugation-ready format is designed for use with fluorochromes, metal isotopes, oligonucleotides, and enzymes, which makes them ideal for antibody labelling, functional and cell-based assays, flow-based assays (e.g. mass cytometry) and Multiplex Imaging applications.

Use our conjugation kits for antibody conjugates that are ready-to-use in as little as 20 minutes with 1 minute hands-on-time and 100% antibody recovery: available for fluorescent dyes, HRP, biotin and gold.

Compatibility
This product is compatible with the Maxpar® Antibody Labeling Kit from Fluidigm, without the need for antibody preparation. Maxpar® is a trademark of Fluidigm Canada Inc.

Properties and storage information

Form
Liquid
Purification technique
Affinity purification Protein A
Storage buffer
pH: 7.2 - 7.4 Constituents: PBS
Shipped at conditions
Blue Ice
Appropriate short-term storage conditions
+4°C
Appropriate long-term storage conditions
+4°C

Supplementary information

This supplementary information is collated from multiple sources and compiled automatically.

CFHR5 also known as complement factor H-related protein 5 belongs to the complement system and affects immune response. CFHR5 has an approximate mass of 65 kDa. You can find it in plasma and tissues such as the liver and kidney. It plays a role in regulating the alternative complement pathway by interacting with various complement factors inhibiting excessive immune reactions.
Biological function summary

CFHR5 regulates the complement system to prevent damage to host tissues. It does not commonly form complexes but interacts directly with other proteins in the complement system such as complement factor H. The balance maintained by CFHR5 is necessary to control inflammation and assist in removing pathogens without harming body's own cells.

Pathways

The alternative complement pathway involves CFHR5 as a regulatory component. It ensures proper complement activation and prevents unregulated immune responses. CFHR5 engages with proteins such as complement factor H and C3b during pathway modulation. Changes in CFHR5 can impact the balance of immune activation and clearance of cellular debris within this pathway.

Mutations or malfunction of CFHR5 associate with certain kidney disorders such as CFHR5 nephropathy and atypical hemolytic uremic syndrome (aHUS). These conditions often link with dysregulation of the complement system. The relationship between CFHR5 and complement factor H is important in maintaining kidney function and avoiding disease development.

Product protocols

For this product, it's our understanding that no specific protocols are required. You can visit:

Target data

Involved in complement regulation. The dimerized forms have avidity for tissue-bound complement fragments and efficiently compete with the physiological complement inhibitor CFH.
See full target information CFHR5

Product promise

We are committed to supporting your work with high-quality reagents, and we're here for you every step of the way. In the unlikely event that one of our products does not perform as expected, you're protected by our Product Promise.
For full details, please see our Terms & Conditions

Please note: All products are 'FOR RESEARCH USE ONLY. NOT FOR USE IN DIAGNOSTIC OR THERAPEUTIC PROCEDURES'.

For licensing inquiries, please contact partnerships@abcam.com