JavaScript is disabled in your browser. Please enable JavaScript to view this website.
AB302667

Anti-c-Fos antibody [N486/32]

Be the first to review this product! Submit a review

|

(5 Publications)

Mouse Recombinant Monoclonal c-Fos antibody. Suitable for WB, IHC-P, ICC/IF and reacts with Human, Mouse, Rat samples. Cited in 5 publications.

View Alternative Names

G0S7, FOS, Protein c-Fos, Cellular oncogene fos, G0/G1 switch regulatory protein 7, Proto-oncogene c-Fos, Transcription factor AP-1 subunit c-Fos

7 Images
Immunohistochemistry (Formalin/PFA-fixed paraffin-embedded sections) - Anti-c-Fos antibody [N486/32] (AB302667)
  • IHC-P

Supplier Data

Immunohistochemistry (Formalin/PFA-fixed paraffin-embedded sections) - Anti-c-Fos antibody [N486/32] (AB302667)

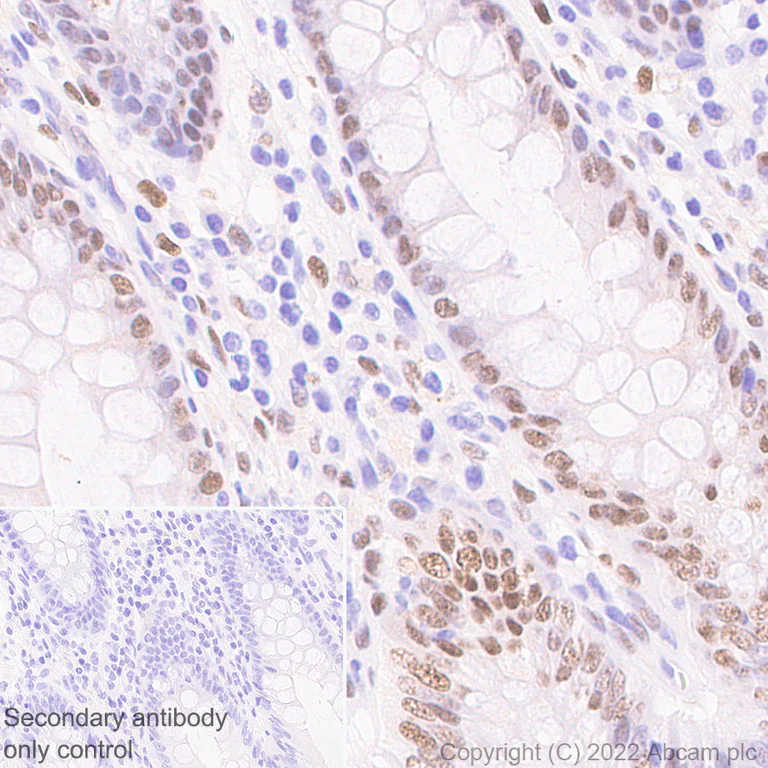
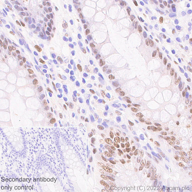
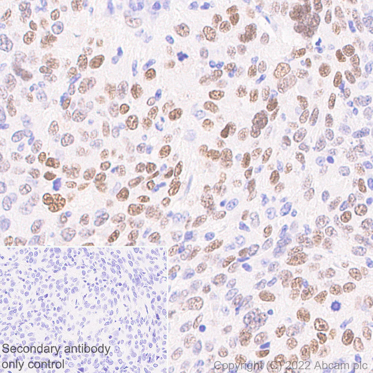
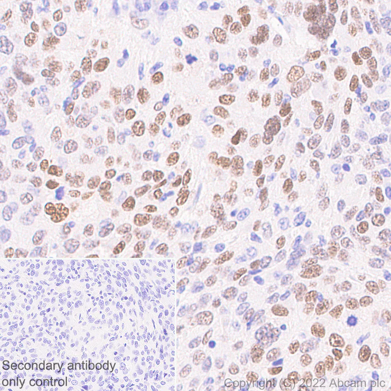
Immunohistochemical analysis of paraffin-embedded Human cervical cancer tissue labeling c-Fos with ab302667 at 1/500 (1.676 ug/ml) followed by a ready to use LeicaDS9800 (Bond™ Polymer Refine Detection) was used. Nuclear staining on human cervical cancer.The section was incubated with ab302667 for 30 mins at room temperature, followed by anti-mouse IgG2a antibody (610-4141) for 8 mins during the LeicaDS9800 kit staining procedure. The immunostaining was performed on a Leica Biosystems BOND® RX instrument Counterstained with Hematoxylin. Secondary antibody only control : Secondary antibody is a ready to use LeicaDS9800 (Bond™ Polymer Refine Detection) was used. Heat mediated antigen retrieval with Citrate buffer (pH 6.0, epitope retrieval solution 1) for 20 mins

Immunocytochemistry/ Immunofluorescence - Anti-c-Fos antibody [N486/32] (AB302667)
  • ICC/IF

Supplier Data

Immunocytochemistry/ Immunofluorescence - Anti-c-Fos antibody [N486/32] (AB302667)

Immunofluorescent analysis of 4% Paraformaldehyde-fixed, 0.1% TritonX-100 permeabilized HeLa (human cervix adenocarcinoma epithelial cell) cells labelling c-Fos with ab302667 at 1/250 (3.4 ug/ml) dilution, followed by ab150117 Goat Anti-Mouse IgG H&L (Alexa Fluor® 488) preadsorbed antibody at 1/1000 2 ug/ml dilution (Green). Confocal image showing increased nuclear staining in HeLa cells after starvation 16 hours then treated with TPA (200 nM) for 4 h is observed. ab179513 Anti-beta Tubulin rabbit monoclonal antibody was used to counterstain tubulin at 1/200 10ug/ml dilution (Red). The Nuclear counterstain was DAPI (Blue). Secondary antibody only control : Secondary antibody is ab150117 Goat Anti-Mouse IgG H&L (Alexa Fluor® 488) preadsorbed at 1/1000 2 ug/ml dilution.

Immunohistochemistry (Formalin/PFA-fixed paraffin-embedded sections) - Anti-c-Fos antibody [N486/32] (AB302667)
  • IHC-P

Supplier Data

Immunohistochemistry (Formalin/PFA-fixed paraffin-embedded sections) - Anti-c-Fos antibody [N486/32] (AB302667)

Immunohistochemical analysis of paraffin-embedded Human colon tissue labeling c-Fos with ab302667 at 1/500 (1.676 ug/ml) followed by a ready to use LeicaDS9800 (Bond™ Polymer Refine Detection) was used. Nuclear staining on human colon.The section was incubated with ab302667 for 30 mins at room temperature, followed by anti-mouse IgG2a antibody (610-4141) for 8 mins during the LeicaDS9800 kit staining procedure.The immunostaining was performed on a Leica Biosystems BOND® RX instrument Counterstained with Hematoxylin. Secondary antibody only control : Secondary antibody is a ready to use LeicaDS9800 (Bond™ Polymer Refine Detection) was used. Heat mediated antigen retrieval with Citrate buffer (pH 6.0, epitope retrieval solution 1) for 20 mins

Immunohistochemistry (Formalin/PFA-fixed paraffin-embedded sections) - Anti-c-Fos antibody [N486/32] (AB302667)
  • IHC-P

Supplier Data

Immunohistochemistry (Formalin/PFA-fixed paraffin-embedded sections) - Anti-c-Fos antibody [N486/32] (AB302667)

Immunohistochemical analysis of paraffin-embedded Rat cerebrum tissue labeling c-Fos with ab302667 at 1/1000 (0.838 ug/ml) followed by a ready to use LeicaDS9800 (Bond™ Polymer Refine Detection) was used. Nuclear staining on rat cerebrum.The section was incubated with ab302667 for 30 mins at room temperature, followed by anti-mouse IgG2a antibody (610-4141) for 8 mins during the LeicaDS9800 kit staining procedure.The immunostaining was performed on a Leica Biosystems BOND® RX instrument Counterstained with Hematoxylin. Secondary antibody only control : Secondary antibody is a ready to use LeicaDS9800 (Bond™ Polymer Refine Detection) was used. Heat mediated antigen retrieval with Citrate buffer (pH 6.0, epitope retrieval solution 1) for 20 mins

Immunohistochemistry (Formalin/PFA-fixed paraffin-embedded sections) - Anti-c-Fos antibody [N486/32] (AB302667)
  • IHC-P

Supplier Data

Immunohistochemistry (Formalin/PFA-fixed paraffin-embedded sections) - Anti-c-Fos antibody [N486/32] (AB302667)

Immunohistochemical analysis of paraffin-embedded Mouse cerebrum tissue labeling c-Fos with ab302667 at 1/2000 (0.419 ug/ml) followed by a ready to use LeicaDS9800 (Bond™ Polymer Refine Detection) was used. Nuclear staining on mouse cerebrum.The section was incubated with ab302667 for 30 mins at room temperature, followed by anti-mouse IgG2a antibody (610-4141) for 8 mins during the LeicaDS9800 kit staining procedure.The immunostaining was performed on a Leica Biosystems BOND® RX instrument Counterstained with Hematoxylin. Secondary antibody only control : Secondary antibody is a ready to use LeicaDS9800 (Bond™ Polymer Refine Detection) was used. Heat mediated antigen retrieval with Citrate buffer (pH 6.0, epitope retrieval solution 1) for 20 mins

Immunocytochemistry/ Immunofluorescence - Anti-c-Fos antibody [N486/32] (AB302667)
  • ICC/IF

Supplier Data

Immunocytochemistry/ Immunofluorescence - Anti-c-Fos antibody [N486/32] (AB302667)

Immunofluorescent analysis of 4% Paraformaldehyde-fixed, 0.1% TritonX-100 permeabilized NIH/3T3 (mouse embryonic fibroblast) cells labelling c-Fos with ab302667 at 1/250 (3.4 ug/ml) dilution, followed by ab150117 Goat Anti-Mouse IgG H&L (Alexa Fluor® 488) preadsorbed antibody at 1/1000 2 ug/ml dilution (Green). Confocal image showing increased nuclear staining in NIH/3T3 cells after starvation 16 hours then treated with TPA (200 nM) and MG-132(10 µM) for 4 h is observed. ab179513 Anti-beta Tubulin rabbit monoclonal antibody was used to counterstain tubulin at 1/200 10ug/ml dilution (Red). The Nuclear counterstain was DAPI (Blue). Secondary antibody only control : Secondary antibody is ab150117 Goat Anti-Mouse IgG H&L (Alexa Fluor® 488) preadsorbed at 1/1000 2 ug/ml dilution.

Western blot - Anti-c-Fos antibody [N486/32] (AB302667)
  • WB

Supplier Data

Western blot - Anti-c-Fos antibody [N486/32] (AB302667)

Data of BM-Recombinant Anti-c-Fos antibody [EPR20769] (ab214672) was in the internal.Blocking and diluting buffer and concentration : 5% NFDM/TBST The band(s) beneath the target band are likely to be degraded target fragments (PMID : 9737957 and PMID : 20498278). Exposure time : Lanes 1-2 : 26 seconds Lanes 3-4 : 81 seconds Lanes 5-6 : 136 seconds

All lanes:

Western blot - Anti-c-Fos antibody [N486/32] (ab302667) at 1/1000 dilution

Lane 1:

HeLa (human cervix adenocarcinoma epithelial cell) starved overnight, whole cell lysate 20 µg

Lane 2:

HeLa starved overnight, then treated with 200nM PMA (<a href='/en-us/products/biochemicals/phorbol-12-myristate-13-acetate-pma-pkc-activator-ab120297'>ab120297</a>) for 4 hours, whole cell lysate 20 µg

Lane 3:

NIH/3T3 (mouse embryonic fibroblast) starved overnight, whole cell lysate 20 µg

Lane 4:

NIH/3T3 starved overnight, then treated with 200nM PMA (<a href='/en-us/products/biochemicals/phorbol-12-myristate-13-acetate-pma-pkc-activator-ab120297'>ab120297</a>) and 10uM MG-132 (<a href='/en-us/products/biochemicals/mg-132-proteasome-inhibitor-ab141003'>ab141003</a>) for 4 hours, whole cell lysate for 4 hours, whole cell lysate 20 µg

Lane 5:

PC-12 (rat adrenal gland pheochromocytoma) starved overnight, whole cell lysate 20 µg

Lane 6:

PC-12 starved overnight, then treated with /ml NGF (<a href='/en-us/products/proteins-peptides/recombinant-human-ngf-protein-active-ab9796'>ab9796</a>) and 10uM MG-132 (<a href='/en-us/products/biochemicals/mg-132-proteasome-inhibitor-ab141003'>ab141003</a>) for 2 hours, whole cell lysate 20 µg

Secondary

All lanes:

Peroxidase-Conjugated Goat anti-Mouse IgG (H+L) at 1/10000 dilution

Observed band size: 37 kDa,55 kDa

false

Exposure time: 26s

  • Carrier free

    Anti-c-Fos antibody [N486/32] - BSA and Azide free

Key facts

Host species

Mouse

Clonality

Monoclonal

Clone number

N486-32

Isotype

IgG2a

Carrier free

No

Reacts with

Human, Mouse, Rat

Applications

IHC-P, ICC/IF, WB

applications

Immunogen

The exact immunogen used to generate this antibody is proprietary information.

Reactivity data

{ "title": "Reactivity Data", "filters": { "stats": ["", "Species", "Dilution Info", "Notes"], "tabs": { "all-applications": {"fullname" : "All Applications", "shortname": "All Applications"}, "WB" : {"fullname" : "Western blot", "shortname":"WB"}, "IHCP" : {"fullname" : "Immunohistochemistry (Formalin/PFA-fixed paraffin-embedded sections)", "shortname":"IHC-P"}, "ICCIF" : {"fullname" : "Immunocytochemistry/ Immunofluorescence", "shortname":"ICC/IF"} }, "product-promise": { "all": "all", "testedAndGuaranteed": "tested", "guaranteed": "expected", "predicted": "predicted", "notRecommended": "not-recommended" } }, "values": { "Human": { "WB-species-checked": "testedAndGuaranteed", "WB-species-dilution-info": "1/1000", "WB-species-notes": "<p></p>", "IHCP-species-checked": "testedAndGuaranteed", "IHCP-species-dilution-info": "1/500", "IHCP-species-notes": "<p></p> Perform heat-mediated antigen retrieval with citrate buffer pH 6 before commencing with IHC staining protocol.", "ICCIF-species-checked": "testedAndGuaranteed", "ICCIF-species-dilution-info": "1/250", "ICCIF-species-notes": "<p></p>" }, "Mouse": { "WB-species-checked": "testedAndGuaranteed", "WB-species-dilution-info": "1/1000", "WB-species-notes": "<p></p>", "IHCP-species-checked": "testedAndGuaranteed", "IHCP-species-dilution-info": "1/500", "IHCP-species-notes": "<p></p> Perform heat-mediated antigen retrieval with citrate buffer pH 6 before commencing with IHC staining protocol.", "ICCIF-species-checked": "testedAndGuaranteed", "ICCIF-species-dilution-info": "1/250", "ICCIF-species-notes": "<p></p>" }, "Rat": { "WB-species-checked": "testedAndGuaranteed", "WB-species-dilution-info": "1/1000", "WB-species-notes": "<p></p>", "IHCP-species-checked": "testedAndGuaranteed", "IHCP-species-dilution-info": "1/500", "IHCP-species-notes": "<p></p> Perform heat-mediated antigen retrieval with citrate buffer pH 6 before commencing with IHC staining protocol.", "ICCIF-species-checked": "notRecommended", "ICCIF-species-dilution-info": "1/250", "ICCIF-species-notes": "<p></p>" } } }

Product details

What are the advantages of a recombinant monoclonal antibody?
This product is a recombinant monoclonal antibody, which offers several advantages including:

  • - High batch-to-batch consistency and reproducibility
  • - Improved sensitivity and specificity
  • - Long-term security of supply
  • - Animal-free batch production

For more information, read more on recombinant antibodies.

Want a custom formulation?
This antibody clone is manufactured by Abcam. If you require a custom buffer formulation or conjugation for your experiments, please contact orders@abcam.com

Properties and storage information

Form
Liquid
Purification technique
Affinity purification Protein A
Storage buffer
pH: 7.2 - 7.4 Preservative: 0.01% Sodium azide Constituents: PBS, 40% Glycerol (glycerin, glycerine), 0.05% BSA
Shipped at conditions
Blue Ice
Appropriate short-term storage duration
1-2 weeks
Appropriate short-term storage conditions
+4°C
Appropriate long-term storage conditions
-20°C
Aliquoting information
Upon delivery aliquot
Storage information
Avoid freeze / thaw cycle

Supplementary information

This supplementary information is collated from multiple sources and compiled automatically.

The c-Fos protein also known as c-Fos is a component of the Fos family of transcription factors which includes FosB Fra-1 and Fra-2. These proteins play a role in regulating gene expression. c-Fos has a molecular weight of about 55 kDa. You usually find c-Fos expressed in various tissues including the brain providing a marker for neuronal activity and is often induced in response to stimuli like stress growth factors and mitogens. In research settings c-Fos staining and c-Fos immunohistochemistry are techniques commonly used to study activation patterns in cells and tissues.
Biological function summary

C-Fos acts as part of the Activator Protein-1 (AP-1) complex a group of DNA-binding proteins that regulate gene transcription. This complex forms when c-Fos and Jun proteins dimerize. The AP-1 complex controls several cellular processes such as proliferation differentiation and apoptosis. Due to its participation in these vital processes c-Fos influences cellular responses to external stimuli and can affect how cells behave under stress.

Pathways

C-Fos significantly contributes to the MAPK/ERK pathway which plays a role in cell growth and differentiation. It partners with Jun proteins to form functional transcription factors within the MAPK signaling cascade. Additionally c-Fos is involved in the JNK signaling pathway linking it to stress responses and apoptosis. These pathways highlight the partnerships between c-Fos and other proteins like ERK and JNK indicating their intertwined roles in cellular signaling networks.

Researchers associate c-Fos with cancer and neurodegenerative diseases. In cancer c-Fos expression correlates with changes in AP-1 activity which can lead to altered cell growth and proliferation potentially contributing to tumor formation. Its involvement in neurodegenerative diseases reveals its role in neuron apoptosis and cellular stress responses. In these scenarios proteins like Bcl-2 also play a part with CDK1 sharing connections in processes that affect cell cycle and apoptosis illustrating c-Fos's broad significance in both normal and pathological conditions.

Product protocols

For this product, it's our understanding that no specific protocols are required. You can visit:

Target data

Nuclear phosphoprotein which forms a tight but non-covalently linked complex with the JUN/AP-1 transcription factor. In the heterodimer, FOS and JUN/AP-1 basic regions each seems to interact with symmetrical DNA half sites. On TGF-beta activation, forms a multimeric SMAD3/SMAD4/JUN/FOS complex at the AP1/SMAD-binding site to regulate TGF-beta-mediated signaling. Has a critical function in regulating the development of cells destined to form and maintain the skeleton. It is thought to have an important role in signal transduction, cell proliferation and differentiation. In growing cells, activates phospholipid synthesis, possibly by activating CDS1 and PI4K2A. This activity requires Tyr-dephosphorylation and association with the endoplasmic reticulum.
See full target information FOS

Publications (5)

Recent publications for all applications. Explore the full list and refine your search

Nature communications 16:8870 PubMed41053178

2025

Paraventricular nucleus CRH neurons regulate acute lung injury via sympathetic nerve-neutrophil axis.

Applications

Unspecified application

Species

Unspecified reactive species

Hui Li,Tao Liu,Yang Wang,Xue-Mei Miao,Yi-Yu Xiong,Qian Zhao,Wei-Yun Shen,Fu-Hong Su,Kang Chen,Ru-Ping Dai

Nature communications 16:4437 PubMed40360512

2025

FABP4 inhibition suppresses bone resorption and protects against postmenopausal osteoporosis in ovariectomized mice.

Applications

Unspecified application

Species

Unspecified reactive species

Qian Xie,Xiangfu Du,Jianhui Liang,Yanni Shen,Yufan Ling,Zhengji Huang,Zekai Ke,Tai Li,Bing Song,Tailin Wu,Yan Wang,Huiren Tao

Advanced science (Weinheim, Baden-Wurttemberg, Germany) 12:e2415601 PubMed40245175

2025

A Facile Strategy to Restore the Optic Nerve Functionality Using an Injectable Conducting Hydrogel.

Applications

Unspecified application

Species

Unspecified reactive species

Changchun Yu,Yandi Zhou,Shuang Yao,Ziyi Wang,Sihao Ye,Rubing Qi,Hai Hu,Keke Liu,Yabo Wu,Tom Lawson,Lu Yan,Yong Liu,Wencan Wu

Neuropsychopharmacology : official publication of the American College of Neuropsychopharmacology 49:1468-1480 PubMed38734818

2024

Ventral subiculum promotes wakefulness through several pathways in male mice.

Applications

Unspecified application

Species

Unspecified reactive species

Xue-Fen Zhang,Yi-Dan Li,Yue Li,Ying Li,Dan Xu,Lin-Lin Bi,Hai-Bo Xu

Stem cells translational medicine 12:307-321 PubMed37010483

2023

WTAP-Mediated m6A RNA Methylation Regulates the Differentiation of Bone Marrow Mesenchymal Stem Cells via the miR-29b-3p/HDAC4 Axis.

Applications

Unspecified application

Species

Unspecified reactive species

Jincheng Liu,Yunhao You,Zhenqian Sun,Lu Zhang,Xiang Li,Zihan Dai,Jinlong Ma,Yunzhen Chen,Guangjun Jiao
View all publications

Product promise

We are committed to supporting your work with high-quality reagents, and we're here for you every step of the way. In the unlikely event that one of our products does not perform as expected, you're protected by our Product Promise.
For full details, please see our Terms & Conditions

Please note: All products are 'FOR RESEARCH USE ONLY. NOT FOR USE IN DIAGNOSTIC OR THERAPEUTIC PROCEDURES'.

For licensing inquiries, please contact partnerships@abcam.com