JavaScript is disabled in your browser. Please enable JavaScript to view this website.
AB302668

Anti-c-Fos antibody [N486/32] - BSA and Azide free

Be the first to review this product! Submit a review

|

(0 Publication)

Mouse Recombinant Monoclonal c-Fos antibody. Carrier free. Suitable for WB, IHC-P, ICC/IF and reacts with Human, Mouse, Rat samples.

View Alternative Names

G0S7, FOS, Protein c-Fos, Cellular oncogene fos, G0/G1 switch regulatory protein 7, Proto-oncogene c-Fos, Transcription factor AP-1 subunit c-Fos

7 Images
Immunohistochemistry (Formalin/PFA-fixed paraffin-embedded sections) - Anti-c-Fos antibody [N486/32] - BSA and Azide free (AB302668)
  • IHC-P

Supplier Data

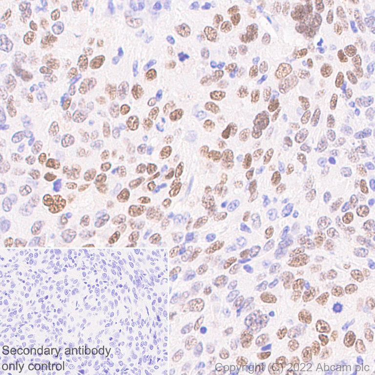
Immunohistochemistry (Formalin/PFA-fixed paraffin-embedded sections) - Anti-c-Fos antibody [N486/32] - BSA and Azide free (AB302668)

This data was developed using ab302667, the same antibody clone in a different buffer formulation. Immunohistochemical analysis of paraffin-embedded Human cervical cancer tissue labeling c-Fos with ab302667 at 1/500 (1.676 ug/ml) followed by a ready to use LeicaDS9800 (Bond™ Polymer Refine Detection) was used. Nuclear staining on human cervical cancer.The section was incubated with ab302667 for 30 mins at room temperature, followed by anti-mouse IgG2a antibody (610-4141) for 8 mins during the LeicaDS9800 kit staining procedure. The immunostaining was performed on a Leica Biosystems BOND® RX instrument Counterstained with Hematoxylin. Secondary antibody only control : Secondary antibody is a ready to use LeicaDS9800 (Bond™ Polymer Refine Detection) was used. Heat mediated antigen retrieval with Citrate buffer (pH 6.0, epitope retrieval solution 1) for 20 mins

Immunocytochemistry/ Immunofluorescence - Anti-c-Fos antibody [N486/32] - BSA and Azide free (AB302668)
  • ICC/IF

Supplier Data

Immunocytochemistry/ Immunofluorescence - Anti-c-Fos antibody [N486/32] - BSA and Azide free (AB302668)

This data was developed using ab302667, the same antibody clone in a different buffer formulation. Immunofluorescent analysis of 4% Paraformaldehyde-fixed, 0.1% TritonX-100 permeabilized HeLa (human cervix adenocarcinoma epithelial cell) cells labelling c-Fos with ab302667 at 1/250 (3.4 ug/ml) dilution, followed by ab150117 Goat Anti-Mouse IgG H&L (Alexa Fluor® 488) preadsorbed antibody at 1/1000 2 ug/ml dilution (Green). Confocal image showing increased nuclear staining in HeLa cells after starvation 16 hours then treated with TPA (200 nM) for 4 h is observed. ab179513 Anti-beta Tubulin rabbit monoclonal antibody was used to counterstain tubulin at 1/200 10ug/ml dilution (Red). The Nuclear counterstain was DAPI (Blue). Secondary antibody only control : Secondary antibody is ab150117 Goat Anti-Mouse IgG H&L (Alexa Fluor® 488) preadsorbed at 1/1000 2 ug/ml dilution.

Immunohistochemistry (Formalin/PFA-fixed paraffin-embedded sections) - Anti-c-Fos antibody [N486/32] - BSA and Azide free (AB302668)
  • IHC-P

Supplier Data

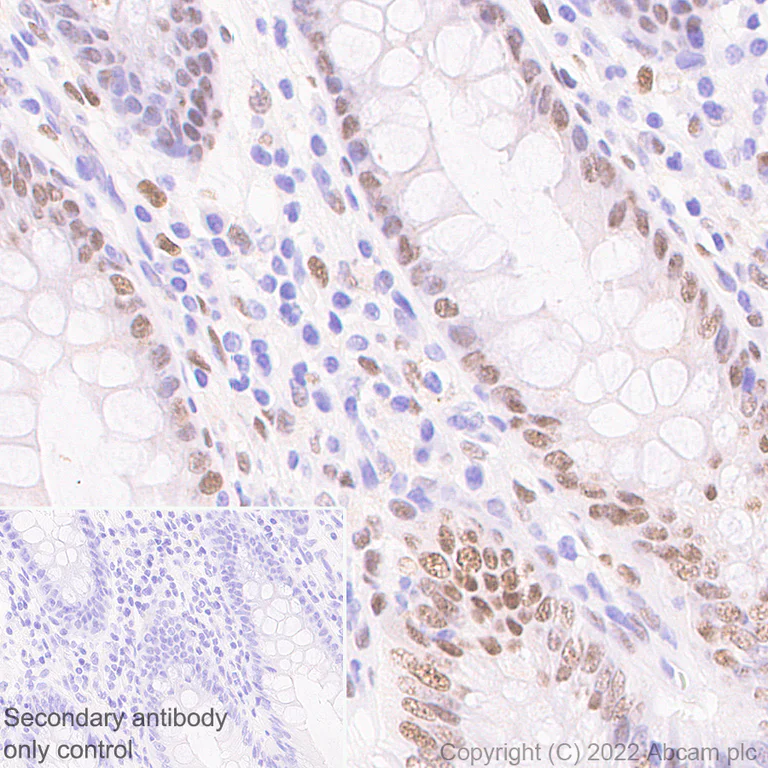
Immunohistochemistry (Formalin/PFA-fixed paraffin-embedded sections) - Anti-c-Fos antibody [N486/32] - BSA and Azide free (AB302668)

This data was developed using ab302667, the same antibody clone in a different buffer formulation. Immunohistochemical analysis of paraffin-embedded Human colon tissue labeling c-Fos with ab302667 at 1/500 (1.676 ug/ml) followed by a ready to use LeicaDS9800 (Bond™ Polymer Refine Detection) was used. Nuclear staining on human colon.The section was incubated with ab302667 for 30 mins at room temperature, followed by anti-mouse IgG2a antibody (610-4141) for 8 mins during the LeicaDS9800 kit staining procedure.The immunostaining was performed on a Leica Biosystems BOND® RX instrument Counterstained with Hematoxylin. Secondary antibody only control : Secondary antibody is a ready to use LeicaDS9800 (Bond™ Polymer Refine Detection) was used. Heat mediated antigen retrieval with Citrate buffer (pH 6.0, epitope retrieval solution 1) for 20 mins

Immunohistochemistry (Formalin/PFA-fixed paraffin-embedded sections) - Anti-c-Fos antibody [N486/32] - BSA and Azide free (AB302668)
  • IHC-P

Supplier Data

Immunohistochemistry (Formalin/PFA-fixed paraffin-embedded sections) - Anti-c-Fos antibody [N486/32] - BSA and Azide free (AB302668)

This data was developed using ab302667, the same antibody clone in a different buffer formulation. Immunohistochemical analysis of paraffin-embedded Rat cerebrum tissue labeling c-Fos with ab302667 at 1/1000 (0.838 ug/ml) followed by a ready to use LeicaDS9800 (Bond™ Polymer Refine Detection) was used. Nuclear staining on rat cerebrum.The section was incubated with ab302667 for 30 mins at room temperature, followed by anti-mouse IgG2a antibody (610-4141) for 8 mins during the LeicaDS9800 kit staining procedure.The immunostaining was performed on a Leica Biosystems BOND® RX instrument Counterstained with Hematoxylin. Secondary antibody only control : Secondary antibody is a ready to use LeicaDS9800 (Bond™ Polymer Refine Detection) was used. Heat mediated antigen retrieval with Citrate buffer (pH 6.0, epitope retrieval solution 1) for 20 mins

Immunohistochemistry (Formalin/PFA-fixed paraffin-embedded sections) - Anti-c-Fos antibody [N486/32] - BSA and Azide free (AB302668)
  • IHC-P

Supplier Data

Immunohistochemistry (Formalin/PFA-fixed paraffin-embedded sections) - Anti-c-Fos antibody [N486/32] - BSA and Azide free (AB302668)

This data was developed using ab302667, the same antibody clone in a different buffer formulation. Immunohistochemical analysis of paraffin-embedded Mouse cerebrum tissue labeling c-Fos with ab302667 at 1/2000 (0.419 ug/ml) followed by a ready to use LeicaDS9800 (Bond™ Polymer Refine Detection) was used. Nuclear staining on mouse cerebrum.The section was incubated with ab302667 for 30 mins at room temperature, followed by anti-mouse IgG2a antibody (610-4141) for 8 mins during the LeicaDS9800 kit staining procedure.The immunostaining was performed on a Leica Biosystems BOND® RX instrument Counterstained with Hematoxylin. Secondary antibody only control : Secondary antibody is a ready to use LeicaDS9800 (Bond™ Polymer Refine Detection) was used. Heat mediated antigen retrieval with Citrate buffer (pH 6.0, epitope retrieval solution 1) for 20 mins

Immunocytochemistry/ Immunofluorescence - Anti-c-Fos antibody [N486/32] - BSA and Azide free (AB302668)
  • ICC/IF

Supplier Data

Immunocytochemistry/ Immunofluorescence - Anti-c-Fos antibody [N486/32] - BSA and Azide free (AB302668)

This data was developed using ab302667, the same antibody clone in a different buffer formulation. Immunofluorescent analysis of 4% Paraformaldehyde-fixed, 0.1% TritonX-100 permeabilized NIH/3T3 (mouse embryonic fibroblast) cells labelling c-Fos with ab302667 at 1/250 (3.4 ug/ml) dilution, followed by ab150117 Goat Anti-Mouse IgG H&L (Alexa Fluor® 488) preadsorbed antibody at 1/1000 2 ug/ml dilution (Green). Confocal image showing increased nuclear staining in NIH/3T3 cells after starvation 16 hours then treated with TPA (200 nM) and MG-132(10 µM) for 4 h is observed. ab179513 Anti-beta Tubulin rabbit monoclonal antibody was used to counterstain tubulin at 1/200 10ug/ml dilution (Red). The Nuclear counterstain was DAPI (Blue). Secondary antibody only control : Secondary antibody is ab150117 Goat Anti-Mouse IgG H&L (Alexa Fluor® 488) preadsorbed at 1/1000 2 ug/ml dilution.

Western blot - Anti-c-Fos antibody [N486/32] - BSA and Azide free (AB302668)
  • WB

Supplier Data

Western blot - Anti-c-Fos antibody [N486/32] - BSA and Azide free (AB302668)

This data was developed using ab302667, the same antibody clone in a different buffer formulation. ,Data of BM-Recombinant Anti-c-Fos antibody [EPR20769] (ab214672) was in the internal.Blocking and diluting buffer and concentration : 5% NFDM/TBST The band(s) beneath the target band are likely to be degraded target fragments (PMID : 9737957 and PMID : 20498278). Exposure time : Lanes 1-2 : 26 seconds Lanes 3-4 : 81 seconds Lanes 5-6 : 136 seconds

All lanes:

Western blot - Anti-c-Fos antibody [N486/32] (<a href='/en-us/products/primary-antibodies/cfos-antibody-n486-32-ab302667'>ab302667</a>) at 1/1000 dilution

Lane 1:

HeLa (human cervix adenocarcinoma epithelial cell) starved overnight, whole cell lysate 20 µg

Lane 2:

HeLa starved overnight, then treated with 200nM PMA (<a href='/en-us/products/biochemicals/phorbol-12-myristate-13-acetate-pma-pkc-activator-ab120297'>ab120297</a>) for 4 hours, whole cell lysate 20 µg

Lane 3:

NIH/3T3 (mouse embryonic fibroblast) starved overnight, whole cell lysate 20 µg

Lane 4:

NIH/3T3 starved overnight, then treated with 200nM PMA (<a href='/en-us/products/biochemicals/phorbol-12-myristate-13-acetate-pma-pkc-activator-ab120297'>ab120297</a>) and 10uM MG-132 (<a href='/en-us/products/biochemicals/mg-132-proteasome-inhibitor-ab141003'>ab141003</a>) for 4 hours, whole cell lysate for 4 hours, whole cell lysate 20 µg

Lane 5:

PC-12 (rat adrenal gland pheochromocytoma) starved overnight, whole cell lysate 20 µg

Lane 6:

PC-12 starved overnight, then treated with /ml NGF (<a href='/en-us/products/proteins-peptides/recombinant-human-ngf-protein-active-ab9796'>ab9796</a>) and 10uM MG-132 (<a href='/en-us/products/biochemicals/mg-132-proteasome-inhibitor-ab141003'>ab141003</a>) for 2 hours, whole cell lysate 20 µg

Secondary

All lanes:

Peroxidase-Conjugated Goat anti-Mouse IgG (H+L) at 1/10000 dilution

Observed band size: 37 kDa,55 kDa

false

Exposure time: 26s

Key facts

Host species

Mouse

Clonality

Monoclonal

Clone number

N486-32

Isotype

IgG2a

Carrier free

Yes

Reacts with

Human, Mouse, Rat

Applications

ICC/IF, WB, IHC-P

applications

Immunogen

The exact immunogen used to generate this antibody is proprietary information.

Reactivity data

{ "title": "Reactivity Data", "filters": { "stats": ["", "Species", "Dilution Info", "Notes"], "tabs": { "all-applications": {"fullname" : "All Applications", "shortname": "All Applications"}, "WB" : {"fullname" : "Western blot", "shortname":"WB"}, "IHCP" : {"fullname" : "Immunohistochemistry (Formalin/PFA-fixed paraffin-embedded sections)", "shortname":"IHC-P"}, "ICCIF" : {"fullname" : "Immunocytochemistry/ Immunofluorescence", "shortname":"ICC/IF"} }, "product-promise": { "all": "all", "testedAndGuaranteed": "tested", "guaranteed": "expected", "predicted": "predicted", "notRecommended": "not-recommended" } }, "values": { "Human": { "WB-species-checked": "testedAndGuaranteed", "WB-species-dilution-info": "", "WB-species-notes": "<p></p>", "IHCP-species-checked": "testedAndGuaranteed", "IHCP-species-dilution-info": "", "IHCP-species-notes": "<p></p>", "ICCIF-species-checked": "testedAndGuaranteed", "ICCIF-species-dilution-info": "", "ICCIF-species-notes": "<p></p>" }, "Mouse": { "WB-species-checked": "testedAndGuaranteed", "WB-species-dilution-info": "", "WB-species-notes": "<p></p>", "IHCP-species-checked": "testedAndGuaranteed", "IHCP-species-dilution-info": "", "IHCP-species-notes": "<p></p>", "ICCIF-species-checked": "testedAndGuaranteed", "ICCIF-species-dilution-info": "", "ICCIF-species-notes": "<p></p>" }, "Rat": { "WB-species-checked": "testedAndGuaranteed", "WB-species-dilution-info": "", "WB-species-notes": "<p></p>", "IHCP-species-checked": "testedAndGuaranteed", "IHCP-species-dilution-info": "", "IHCP-species-notes": "<p></p>", "ICCIF-species-checked": "notRecommended", "ICCIF-species-dilution-info": "", "ICCIF-species-notes": "<p></p>" } } }

Product details

Want a custom formulation?
This antibody clone is manufactured by Abcam. If you require a custom buffer formulation or conjugation for your experiments, please contact orders@abcam.com

What are the advantages of a recombinant monoclonal antibody?
This product is a recombinant monoclonal antibody, which offers several advantages including:

  • - High batch-to-batch consistency and reproducibility
  • - Improved sensitivity and specificity
  • - Long-term security of supply
  • - Animal-free batch production

For more information, read more on recombinant antibodies.

Conjugation ready
Our carrier-free antibodies are typically supplied in a PBS-only formulation, purified and free of BSA, sodium azide and glycerol. This conjugation-ready format is designed for use with fluorochromes, metal isotopes, oligonucleotides, and enzymes, which makes them ideal for antibody labelling, functional and cell-based assays, flow-based assays (e.g. mass cytometry) and Multiplex Imaging applications.

Use our conjugation kits for antibody conjugates that are ready-to-use in as little as 20 minutes with 1 minute hands-on-time and 100% antibody recovery: available for fluorescent dyes, HRP, biotin and gold.

Compatibility
This product is compatible with the Maxpar® Antibody Labeling Kit from Fluidigm, without the need for antibody preparation. Maxpar® is a trademark of Fluidigm Canada Inc.

Properties and storage information

Form
Liquid
Purification technique
Affinity purification Protein A
Storage buffer
pH: 7.2 - 7.4 Constituents: PBS
Shipped at conditions
Blue Ice
Appropriate short-term storage conditions
+4°C
Appropriate long-term storage conditions
+4°C
Storage information
Do Not Freeze

Supplementary information

This supplementary information is collated from multiple sources and compiled automatically.

The c-Fos protein also known as c-Fos is a component of the Fos family of transcription factors which includes FosB Fra-1 and Fra-2. These proteins play a role in regulating gene expression. c-Fos has a molecular weight of about 55 kDa. You usually find c-Fos expressed in various tissues including the brain providing a marker for neuronal activity and is often induced in response to stimuli like stress growth factors and mitogens. In research settings c-Fos staining and c-Fos immunohistochemistry are techniques commonly used to study activation patterns in cells and tissues.
Biological function summary

C-Fos acts as part of the Activator Protein-1 (AP-1) complex a group of DNA-binding proteins that regulate gene transcription. This complex forms when c-Fos and Jun proteins dimerize. The AP-1 complex controls several cellular processes such as proliferation differentiation and apoptosis. Due to its participation in these vital processes c-Fos influences cellular responses to external stimuli and can affect how cells behave under stress.

Pathways

C-Fos significantly contributes to the MAPK/ERK pathway which plays a role in cell growth and differentiation. It partners with Jun proteins to form functional transcription factors within the MAPK signaling cascade. Additionally c-Fos is involved in the JNK signaling pathway linking it to stress responses and apoptosis. These pathways highlight the partnerships between c-Fos and other proteins like ERK and JNK indicating their intertwined roles in cellular signaling networks.

Researchers associate c-Fos with cancer and neurodegenerative diseases. In cancer c-Fos expression correlates with changes in AP-1 activity which can lead to altered cell growth and proliferation potentially contributing to tumor formation. Its involvement in neurodegenerative diseases reveals its role in neuron apoptosis and cellular stress responses. In these scenarios proteins like Bcl-2 also play a part with CDK1 sharing connections in processes that affect cell cycle and apoptosis illustrating c-Fos's broad significance in both normal and pathological conditions.

Product protocols

For this product, it's our understanding that no specific protocols are required. You can visit:

Target data

Nuclear phosphoprotein which forms a tight but non-covalently linked complex with the JUN/AP-1 transcription factor. In the heterodimer, FOS and JUN/AP-1 basic regions each seems to interact with symmetrical DNA half sites. On TGF-beta activation, forms a multimeric SMAD3/SMAD4/JUN/FOS complex at the AP1/SMAD-binding site to regulate TGF-beta-mediated signaling. Has a critical function in regulating the development of cells destined to form and maintain the skeleton. It is thought to have an important role in signal transduction, cell proliferation and differentiation. In growing cells, activates phospholipid synthesis, possibly by activating CDS1 and PI4K2A. This activity requires Tyr-dephosphorylation and association with the endoplasmic reticulum.
See full target information FOS

Product promise

We are committed to supporting your work with high-quality reagents, and we're here for you every step of the way. In the unlikely event that one of our products does not perform as expected, you're protected by our Product Promise.
For full details, please see our Terms & Conditions

Please note: All products are 'FOR RESEARCH USE ONLY. NOT FOR USE IN DIAGNOSTIC OR THERAPEUTIC PROCEDURES'.

For licensing inquiries, please contact partnerships@abcam.com