JavaScript is disabled in your browser. Please enable JavaScript to view this website.
AB325171

Anti-CFTR antibody [EPR29790-578]

  • Advanced Validation
  • RabMAb
  • Recombinant
  • 20ul selling size
  • What is this?

Be the first to review this product! Submit a review

|

(0 Publication)

Rabbit Recombinant Monoclonal CFTR antibody. Suitable for IHC-P, WB, mIHC and reacts with Mouse, Rat samples.

View Alternative Names

Abcc7, Cystic fibrosis transmembrane conductance regulator, CFTR, ATP-binding cassette sub-family C member 7, Channel conductance-controlling ATPase, cAMP-dependent chloride channel

11 Images
Immunohistochemistry (Formalin/PFA-fixed paraffin-embedded sections) - Anti-CFTR antibody [EPR29790-578] (AB325171)
  • IHC-P

Supplier Data

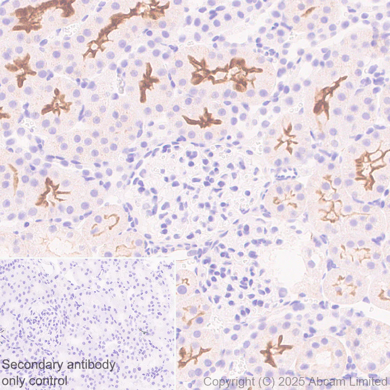
Immunohistochemistry (Formalin/PFA-fixed paraffin-embedded sections) - Anti-CFTR antibody [EPR29790-578] (AB325171)

Immunohistochemical analysis of paraffin-embedded Rat kidney tissue labeling CFTR with ab325171 at 1/2000 (0.259 ug/ml) dilution, followed by a ready to use LeicaDS9800 (Bond™ Polymer Refine Detection).

Positive staining on apical pole of proximal tubule in rat kidney.
The primary antibody was incubated for 30 mins at room temperature.
The immunostaining was performed on a Leica Biosystems BOND® RX instrument

Counterstained with Hematoxylin.

Secondary antibody only control : Secondary antibody is a ready to use LeicaDS9800 (Bond™ Polymer Refine Detection).

Heat mediated antigen retrieval was performed with Tris-EDTA buffer (pH 9.0, Epitope Retrieval Solution2) for 20 mins

Immunohistochemistry (Formalin/PFA-fixed paraffin-embedded sections) - Anti-CFTR antibody [EPR29790-578] (AB325171)
  • IHC-P

Supplier Data

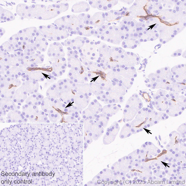
Immunohistochemistry (Formalin/PFA-fixed paraffin-embedded sections) - Anti-CFTR antibody [EPR29790-578] (AB325171)

Immunohistochemical analysis of paraffin-embedded Mouse kidney tissue labeling CFTR with ab325171 at 1/2000 (0.259 ug/ml) dilution, followed by a ready to use LeicaDS9800 (Bond™ Polymer Refine Detection).

Positive staining on apical pole of proximal tubule in mouse kidney (PMID : 28701694).
The primary antibody was incubated for 30 mins at room temperature.
The immunostaining was performed on a Leica Biosystems BOND® RX instrument

Counterstained with Hematoxylin.

Secondary antibody only control : Secondary antibody is a ready to use LeicaDS9800 (Bond™ Polymer Refine Detection).

Heat mediated antigen retrieval was performed with Tris-EDTA buffer (pH 9.0, Epitope Retrieval Solution2) for 20 mins

Multiplex immunohistochemistry - Anti-CFTR antibody [EPR29790-578] (AB325171)
  • mIHC

Supplier Data

Multiplex immunohistochemistry - Anti-CFTR antibody [EPR29790-578] (AB325171)

Multiplex immunohistochemistry analysis of formalin/PFA-fixed paraffin-embedded mouse pancreas tissue staining CFTR with ab325171 at a 1 : 2000 (0.259 ug/ml) dilution, ab323181 anti-TMEM16A used at 1 : 1000 (0.532 ug/ml) dilution and ab181547 anti-Insulin used at a 1 : 20000 (0.053 ug/ml) dilution.

Panel A : anti-CFTR (green; Opal™520), anti-TMEM16A (magenta; Opal™690) and anti-Insulin (gray; Opal™570) on mouse pancreas.
Panel B : anti-CFTR staining centroacinar cells in mouse pancreas.
Panel C : anti-TMEM16A staining epithelium in mouse pancreas.
Panel D : anti-Insulin staining islet cells in mouse pancreas.
Nuclear DNA was labeled with DAPI (shown in blue).

The section was incubated in three rounds of staining : in the order of ab325171, ab323181 and ab181547 for 30 mins at room temperature. Each round was followed by a separate fluorescent tyramide signal amplification system.

The immunostaining was performed on a Leica Biosystems BOND® RX instrument with an Opal™ 4-color kit. Image acquisition was performed with Leica SP8 confocal microscope.

Nuclear counter stain with DAPI.

Heat mediated antigen retrieval was performed with Tris-EDTA buffer (pH 9.0, Epitope Retrieval Solution2) for 20 mins.

Immunohistochemistry (Formalin/PFA-fixed paraffin-embedded sections) - Anti-CFTR antibody [EPR29790-578] (AB325171)
  • IHC-P

Supplier Data

Immunohistochemistry (Formalin/PFA-fixed paraffin-embedded sections) - Anti-CFTR antibody [EPR29790-578] (AB325171)

Immunohistochemical analysis of paraffin-embedded Mouse colon tissue labeling CFTR with ab325171 at 1/2000 (0.259 ug/ml) dilution, followed by a ready to use LeicaDS9800 (Bond™ Polymer Refine Detection).

Positive staining on epithelial cells of mouse colon (PMID : 12923244).
The primary antibody was incubated for 30 mins at room temperature.
The immunostaining was performed on a Leica Biosystems BOND® RX instrument

Counterstained with Hematoxylin.

Secondary antibody only control : Secondary antibody is a ready to use LeicaDS9800 (Bond™ Polymer Refine Detection).

Heat mediated antigen retrieval was performed with Tris-EDTA buffer (pH 9.0, Epitope Retrieval Solution2) for 20 mins

Immunohistochemistry (Formalin/PFA-fixed paraffin-embedded sections) - Anti-CFTR antibody [EPR29790-578] (AB325171)
  • IHC-P

Supplier Data

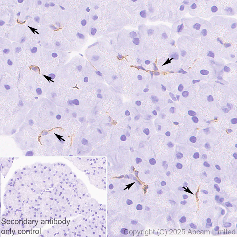
Immunohistochemistry (Formalin/PFA-fixed paraffin-embedded sections) - Anti-CFTR antibody [EPR29790-578] (AB325171)

Immunohistochemical analysis of paraffin-embedded Rat pancreas tissue labeling CFTR with ab325171 at 1/2000 (0.259 ug/ml) dilution, followed by a ready to use LeicaDS9800 (Bond™ Polymer Refine Detection).

Positive staining on centroacinar cells of rat pancreas (PMID : 30389171).
The primary antibody was incubated for 30 mins at room temperature.
The immunostaining was performed on a Leica Biosystems BOND® RX instrument

Counterstained with Hematoxylin.

Secondary antibody only control : Secondary antibody is a ready to use LeicaDS9800 (Bond™ Polymer Refine Detection).

Heat mediated antigen retrieval was performed with Tris-EDTA buffer (pH 9.0, Epitope Retrieval Solution2) for 20 mins

Immunohistochemistry (Formalin/PFA-fixed paraffin-embedded sections) - Anti-CFTR antibody [EPR29790-578] (AB325171)
  • IHC-P

Supplier Data

Immunohistochemistry (Formalin/PFA-fixed paraffin-embedded sections) - Anti-CFTR antibody [EPR29790-578] (AB325171)

Immunohistochemical analysis of paraffin-embedded Rat colon tissue labeling CFTR with ab325171 at 1/2000 (0.259 ug/ml) dilution, followed by a ready to use LeicaDS9800 (Bond™ Polymer Refine Detection).

Positive staining on epithelial cells of rat colon.
The primary antibody was incubated for 30 mins at room temperature.
The immunostaining was performed on a Leica Biosystems BOND® RX instrument

Counterstained with Hematoxylin.

Secondary antibody only control : Secondary antibody is a ready to use LeicaDS9800 (Bond™ Polymer Refine Detection).

Heat mediated antigen retrieval was performed with Tris-EDTA buffer (pH 9.0, Epitope Retrieval Solution2) for 20 mins

Immunohistochemistry (Formalin/PFA-fixed paraffin-embedded sections) - Anti-CFTR antibody [EPR29790-578] (AB325171)
  • IHC-P

Supplier Data

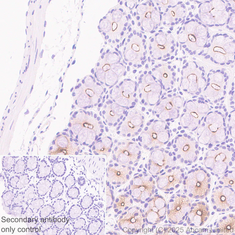
Immunohistochemistry (Formalin/PFA-fixed paraffin-embedded sections) - Anti-CFTR antibody [EPR29790-578] (AB325171)

Immunohistochemical analysis of paraffin-embedded Mouse pancreas tissue labeling CFTR with ab325171 at 1/2000 (0.259 ug/ml) dilution, followed by a ready to use LeicaDS9800 (Bond™ Polymer Refine Detection).

Positive staining on centroacinar cells of mouse pancreas.
The primary antibody was incubated for 30 mins at room temperature.
The immunostaining was performed on a Leica Biosystems BOND® RX instrument

Counterstained with Hematoxylin.

Secondary antibody only control : Secondary antibody is a ready to use LeicaDS9800 (Bond™ Polymer Refine Detection).

Heat mediated antigen retrieval was performed with Tris-EDTA buffer (pH 9.0, Epitope Retrieval Solution2) for 20 mins

Western blot - Anti-CFTR antibody [EPR29790-578] (AB325171)
  • WB

Supplier Data

Western blot - Anti-CFTR antibody [EPR29790-578] (AB325171)

Blocking and diluting buffer and concentration : 5% NFDM/TBST.

CFTR is a glycoprotein of approximately 130-220 kDa and is detected as a 150 kDa band after treatment with the deglycosylation enzyme Peptide : N-glycosidase F (PNGase F).

Samples are non-boiled as boiling may cause protein aggregation.

In Western blot, Anti-Vinculin antibody [EPR8185] (ab129002) staining at 1/10000 dilution.

All lanes:

Western blot - Anti-CFTR antibody [EPR29790-578] (ab325171) at 1/1000 dilution

Lane 1:

Untreated mouse lung tissue lysate at 20 µg

Lane 2:

Mouse lung tissue lysate treated with Protein Deglycosylation Peptide:N-glycosidase F (PNGase F) at 20 µg

Secondary

All lanes:

Western blot - Goat Anti-Rabbit IgG H&L (HRP) (<a href='/en-us/products/secondary-antibodies/goat-rabbit-igg-h-l-hrp-ab97051'>ab97051</a>) at 1/20000 dilution

Observed band size: 130-220 kDa,124 kDa

false

Exposure time: 180s

Western blot - Anti-CFTR antibody [EPR29790-578] (AB325171)
  • WB

Supplier Data

Western blot - Anti-CFTR antibody [EPR29790-578] (AB325171)

Blocking and diluting buffer and concentration : 5% NFDM/TBST.

Low expression : skeletal muscle, heart.

The expression profile/ molecular weight observed is consistent with what has been described in the literature (PMID : 38928073; PMID : 28242698 ).

Samples are non-boiled as boiling may cause protein aggregation.

In Western blot, Anti-Vinculin antibody [EPR8185] (ab129002) staining at 1/10000 dilution.

Exposure time : Lane 1 : 103 seconds; Lanes 2-6 : 180 seconds

All lanes:

Western blot - Anti-CFTR antibody [EPR29790-578] (ab325171) at 1/1000 dilution

Lane 1:

Mouse colon tissue lysate at 48 µg

Lane 2:

Mouse kidney tissue lysate at 48 µg

Lane 3:

Mouse testis tissue lysate at 48 µg

Lane 4:

Mouse skeletal muscle tissue lysate at 48 µg

Lane 5:

Mouse heart tissue lysate at 48 µg

Lane 6:

Mouse lung tissue lysate at 48 µg

Secondary

All lanes:

Western blot - Goat Anti-Rabbit IgG H&L (HRP) (<a href='/en-us/products/secondary-antibodies/goat-rabbit-igg-h-l-hrp-ab97051'>ab97051</a>) at 1/20000 dilution

Observed band size: 130-220 kDa,124 kDa

false

Immunohistochemistry (Formalin/PFA-fixed paraffin-embedded sections) - Anti-CFTR antibody [EPR29790-578] (AB325171)
  • IHC-P

Supplier Data

Immunohistochemistry (Formalin/PFA-fixed paraffin-embedded sections) - Anti-CFTR antibody [EPR29790-578] (AB325171)

Immunohistochemical analysis of paraffin-embedded Rat skeletal muscle tissue labeling CFTR with ab325171 at 1/2000 (0.259 ug/ml) dilution, followed by a ready to use LeicaDS9800 (Bond™ Polymer Refine Detection).

Low expression tissue : No staining on rat skeletal muscle.
The primary antibody was incubated for 30 mins at room temperature.
The immunostaining was performed on a Leica Biosystems BOND® RX instrument

Counterstained with Hematoxylin.

Secondary antibody only control : Secondary antibody is a ready to use LeicaDS9800 (Bond™ Polymer Refine Detection).

Heat mediated antigen retrieval was performed with Tris-EDTA buffer (pH 9.0, Epitope Retrieval Solution2) for 20 mins

Immunohistochemistry (Formalin/PFA-fixed paraffin-embedded sections) - Anti-CFTR antibody [EPR29790-578] (AB325171)
  • IHC-P

Supplier Data

Immunohistochemistry (Formalin/PFA-fixed paraffin-embedded sections) - Anti-CFTR antibody [EPR29790-578] (AB325171)

Immunohistochemical analysis of paraffin-embedded Mouse skeletal muscle tissue labeling CFTR with ab325171 at 1/2000 (0.259 ug/ml) dilution, followed by a ready to use LeicaDS9800 (Bond™ Polymer Refine Detection).

Low expression tissue : No staining on mouse skeletal muscle.
The primary antibody was incubated for 30 mins at room temperature.
The immunostaining was performed on a Leica Biosystems BOND® RX instrument

Counterstained with Hematoxylin.

Secondary antibody only control : Secondary antibody is a ready to use LeicaDS9800 (Bond™ Polymer Refine Detection).

Heat mediated antigen retrieval was performed with Tris-EDTA buffer (pH 9.0, Epitope Retrieval Solution2) for 20 mins

Key facts

Host species

Rabbit

Clonality

Monoclonal

Clone number

EPR29790-578

Isotype

IgG

Carrier free

No

Reacts with

Mouse, Rat

Applications

mIHC, WB, IHC-P

applications

Immunogen

The exact immunogen used to generate this antibody is proprietary information.

Specificity

Unsuitable for rat WB.

Reactivity data

{ "title": "Reactivity Data", "filters": { "stats": ["", "Species", "Dilution Info", "Notes"], "tabs": { "all-applications": {"fullname" : "All Applications", "shortname": "All Applications"}, "IHCP" : {"fullname" : "Immunohistochemistry (Formalin/PFA-fixed paraffin-embedded sections)", "shortname":"IHC-P"}, "WB" : {"fullname" : "Western blot", "shortname":"WB"}, "mIHC" : {"fullname" : "Multiplex immunohistochemistry", "shortname":"mIHC"}, "ICCIF" : {"fullname" : "Immunocytochemistry/ Immunofluorescence", "shortname":"ICC/IF"} }, "product-promise": { "all": "all", "testedAndGuaranteed": "tested", "guaranteed": "expected", "predicted": "predicted", "notRecommended": "not-recommended" } }, "values": { "Mouse": { "IHCP-species-checked": "testedAndGuaranteed", "IHCP-species-dilution-info": "1/2000", "IHCP-species-notes": "<p></p> Perform heat-mediated antigen retrieval with Tris/EDTA buffer pH 9.0 before commencing with IHC staining protocol.", "WB-species-checked": "testedAndGuaranteed", "WB-species-dilution-info": "1/1000", "WB-species-notes": "<p></p>", "mIHC-species-checked": "testedAndGuaranteed", "mIHC-species-dilution-info": "1/2000", "mIHC-species-notes": "<p></p> Perform heat-mediated antigen retrieval with Tris/EDTA buffer pH 9.0 before commencing with IHC staining protocol.", "ICCIF-species-checked": "notRecommended", "ICCIF-species-dilution-info": "", "ICCIF-species-notes": "<p></p>" }, "Rat": { "IHCP-species-checked": "testedAndGuaranteed", "IHCP-species-dilution-info": "1/2000", "IHCP-species-notes": "<p></p> Perform heat-mediated antigen retrieval with Tris/EDTA buffer pH 9.0 before commencing with IHC staining protocol.", "WB-species-checked": "notRecommended", "WB-species-dilution-info": "", "WB-species-notes": "<p></p>", "mIHC-species-checked": "guaranteed", "mIHC-species-dilution-info": "", "mIHC-species-notes": "", "ICCIF-species-checked": "notRecommended", "ICCIF-species-dilution-info": "", "ICCIF-species-notes": "" } } }

Product details

Patented technology
Our RabMAb® technology is a patented hybridoma-based technology for making rabbit monoclonal antibodies. For details on our patents, please refer to RabMAb® patents.

What are the advantages of a recombinant monoclonal antibody?
This product is a recombinant monoclonal antibody, which offers several advantages including:

  • - High batch-to-batch consistency and reproducibility
  • - Improved sensitivity and specificity
  • - Long-term security of supply
  • - Animal-free batch production

For more information, read more on recombinant antibodies.

Properties and storage information

Form
Liquid
Purification technique
Affinity purification Protein A
Storage buffer
pH: 7.2 - 7.4 Preservative: 0.01% Sodium azide Constituents: PBS, 40% Glycerol (glycerin, glycerine), 0.05% BSA
Shipped at conditions
Blue Ice
Appropriate short-term storage duration
1-2 weeks
Appropriate short-term storage conditions
+4°C
Appropriate long-term storage conditions
-20°C
Aliquoting information
Upon delivery aliquot
Storage information
Avoid freeze / thaw cycle

Product protocols

For this product, it's our understanding that no specific protocols are required. You can visit:

Target data

Epithelial ion channel that plays an important role in the regulation of epithelial ion and water transport and fluid homeostasis (PubMed : 26823428). Mediates the transport of chloride ions across the cell membrane (PubMed : 20231442, PubMed : 22265409). Possesses an intrinsic ATPase activity and utilizes ATP to gate its channel; the passive flow of anions through the channel is gated by cycles of ATP binding and hydrolysis by the ATP-binding domains (By similarity). The ion channel is also permeable to HCO(3)(-); selectivity depends on the extracellular chloride concentration. Exerts its function also by modulating the activity of other ion channels and transporters. Contributes to the regulation of the pH and the ion content of the epithelial fluid layer. Modulates the activity of the epithelial sodium channel (ENaC) complex, in part by regulating the cell surface expression of the ENaC complex. May regulate bicarbonate secretion and salvage in epithelial cells by regulating the transporter SLC4A7. Can inhibit the chloride channel activity of ANO1 (By similarity). Plays a role in the chloride and bicarbonate homeostasis during sperm epididymal maturation and capacitation (PubMed : 21976599).
See full target information Cftr

Product promise

We are committed to supporting your work with high-quality reagents, and we're here for you every step of the way. In the unlikely event that one of our products does not perform as expected, you're protected by our Product Promise.
For full details, please see our Terms & Conditions

Please note: All products are 'FOR RESEARCH USE ONLY. NOT FOR USE IN DIAGNOSTIC OR THERAPEUTIC PROCEDURES'.

For licensing inquiries, please contact partnerships@abcam.com