JavaScript is disabled in your browser. Please enable JavaScript to view this website.
AB270275

Anti-CFTR antibody [M3A7] - BSA and Azide free

Be the first to review this product! Submit a review

|

(0 Publication)

Mouse Monoclonal CFTR antibody. Carrier free. Suitable for IHC-P and reacts with Human samples. Immunogen corresponding to Recombinant Fragment Protein within Human CFTR.

View Alternative Names

ABCC7, CFTR, Cystic fibrosis transmembrane conductance regulator, ATP-binding cassette sub-family C member 7, Channel conductance-controlling ATPase, cAMP-dependent chloride channel

1 Images
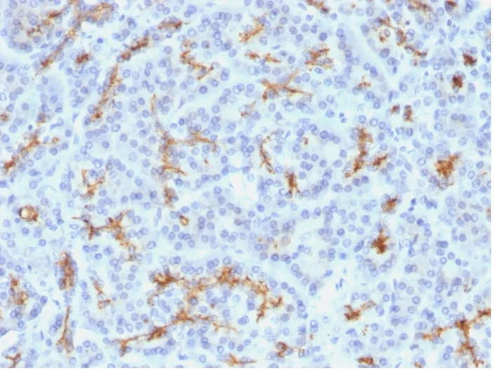
Immunohistochemistry (Formalin/PFA-fixed paraffin-embedded sections) - Anti-CFTR antibody [M3A7] - BSA and Azide free (AB270275)
  • IHC-P

Supplier Data

Immunohistochemistry (Formalin/PFA-fixed paraffin-embedded sections) - Anti-CFTR antibody [M3A7] - BSA and Azide free (AB270275)

Formalin-fixed, paraffin-embedded human pancreas tissue stained for CFTR using ab270238 at 2 μg/ml in immunohistochemical analysis.

This data was developed using the same antibody clone in a different buffer formulation containing PBS, BSA and sodium azide (ab270238).

Key facts

Host species

Mouse

Clonality

Monoclonal

Clone number

M3A7

Isotype

IgG1

Light chain type

kappa

Carrier free

Yes

Reacts with

Human

Applications

IHC-P

applications

Immunogen

Recombinant Fragment Protein within Human CFTR. The exact immunogen used to generate this antibody is proprietary information.

P13569

Reactivity data

{ "title": "Reactivity Data", "filters": { "stats": ["", "Species", "Dilution Info", "Notes"], "tabs": { "all-applications": {"fullname" : "All Applications", "shortname": "All Applications"}, "IHCP" : {"fullname" : "Immunohistochemistry (Formalin/PFA-fixed paraffin-embedded sections)", "shortname":"IHC-P"} }, "product-promise": { "all": "all", "testedAndGuaranteed": "tested", "guaranteed": "expected", "predicted": "predicted", "notRecommended": "not-recommended" } }, "values": { "Human": { "IHCP-species-checked": "testedAndGuaranteed", "IHCP-species-dilution-info": "1-2 µg/mL", "IHCP-species-notes": "<p></p> Perform heat-mediated antigen retrieval with Tris/EDTA buffer pH 9.0 before commencing with IHC staining protocol." } } }

Product details

ab270275 is a carrier free version of ab270238.

Conjugation ready
Our carrier-free antibodies are typically supplied in a PBS-only formulation, purified and free of BSA, sodium azide and glycerol. This conjugation-ready format is designed for use with fluorochromes, metal isotopes, oligonucleotides, and enzymes, which makes them ideal for antibody labelling, functional and cell-based assays, flow-based assays (e.g. mass cytometry) and Multiplex Imaging applications.

Use our conjugation kits for antibody conjugates that are ready-to-use in as little as 20 minutes with 1 minute hands-on-time and 100% antibody recovery: available for fluorescent dyes, HRP, biotin and gold.

Properties and storage information

Form
Liquid
Purification technique
Affinity purification Protein A/G
Purification notes
Purified from bioreactor concentrate.
Storage buffer
pH: 7.2 - 7.4 Constituents: PBS
Shipped at conditions
Blue Ice
Appropriate short-term storage duration
1-2 weeks
Appropriate short-term storage conditions
+4°C
Appropriate long-term storage conditions
-20°C
Aliquoting information
Upon delivery aliquot
Storage information
Avoid freeze / thaw cycle

Supplementary information

This supplementary information is collated from multiple sources and compiled automatically.

The CFTR protein also known as the cystic fibrosis transmembrane conductance regulator acts as a channel that facilitates the transport of chloride ions across cell membranes. This protein plays an essential role in maintaining ion balance and hydration in various tissues. CFTR is a large glycoprotein with a molecular mass of approximately 170 kDa. It is expressed in the epithelial cells of organs such as the lungs pancreas and intestines. Its location and function underpin its significance in cellular activities and interactions.
Biological function summary

CFTR impacts the regulation of epithelial fluid movement and mucus consistency. It integrates into the cellular membrane interacting with other protein channels to form a regulatory complex. The CFTR protein's ability to transport chloride ions aids in maintaining the osmotic gradients required for proper mucus hydration. This helps prevent the build-up of thick mucus particularly in the respiratory system where it can impact breathing and infection resistance.

Pathways

The CFTR protein functions critically in electrolyte transport pathways that are connected to the regulation of ion channels and cellular signaling processes. It interacts closely with other protein channels and transporters such as ENaC forming part of the epithelial sodium channels pathway. This pathway contributes significantly to the balance of salt and water transport across epithelial surfaces. Another related pathway involves its interaction with the cAMP-dependent protein kinase (PKA) which phosphorylates CFTR modulating its activity and stability in response to cellular signals.

CFTR mutations are directly linked to cystic fibrosis a genetic condition that affects the lungs and digestive system. In cystic fibrosis dysfunctional CFTR proteins lead to the production of thick and sticky mucus resulting in respiratory and digestive complications. CFTR is also associated with congenital bilateral absence of the vas deferens (CBAVD) often related to male infertility. In both conditions protein interactions and chloride transport disruption serve as critical influences on disease progression and symptom manifestation.

Product protocols

For this product, it's our understanding that no specific protocols are required. You can visit:

Target data

Epithelial ion channel that plays an important role in the regulation of epithelial ion and water transport and fluid homeostasis (PubMed : 26823428). Mediates the transport of chloride ions across the cell membrane (PubMed : 10792060, PubMed : 11524016, PubMed : 11707463, PubMed : 12519745, PubMed : 12529365, PubMed : 12588899, PubMed : 12727866, PubMed : 15010471, PubMed : 17036051, PubMed : 1712898, PubMed : 17182731, PubMed : 19398555, PubMed : 19621064, PubMed : 22178883, PubMed : 25330774, PubMed : 26846474, PubMed : 28087700, PubMed : 8910473, PubMed : 9804160). Possesses an intrinsic ATPase activity and utilizes ATP to gate its channel; the passive flow of anions through the channel is gated by cycles of ATP binding and hydrolysis by the ATP-binding domains (PubMed : 11524016, PubMed : 15284228, PubMed : 26627831, PubMed : 8910473). The ion channel is also permeable to HCO(3)(-); selectivity depends on the extracellular chloride concentration (PubMed : 15010471, PubMed : 19019741). In vitro, mediates ATP-dependent glutathione flux (PubMed : 12727866). Exerts its function also by modulating the activity of other ion channels and transporters (PubMed : 12403779, PubMed : 22121115, PubMed : 22178883, PubMed : 27941075). Plays an important role in airway fluid homeostasis (PubMed : 16645176, PubMed : 19621064, PubMed : 26823428). Contributes to the regulation of the pH and the ion content of the airway surface fluid layer and thereby plays an important role in defense against pathogens (PubMed : 14668433, PubMed : 16645176, PubMed : 26823428). Modulates the activity of the epithelial sodium channel (ENaC) complex, in part by regulating the cell surface expression of the ENaC complex (PubMed : 17182731, PubMed : 17434346, PubMed : 27941075). Inhibits the activity of the ENaC channel containing subunits SCNN1A, SCNN1B and SCNN1G (PubMed : 17182731). Inhibits the activity of the ENaC channel containing subunits SCNN1D, SCNN1B and SCNN1G, but not of the ENaC channel containing subunits SCNN1A, SCNN1B and SCNN1G (PubMed : 17182731, PubMed : 27941075). May regulate bicarbonate secretion and salvage in epithelial cells by regulating the transporter SLC4A7 (PubMed : 12403779). Can inhibit the chloride channel activity of ANO1 (PubMed : 22178883). Plays a role in the chloride and bicarbonate homeostasis during sperm epididymal maturation and capacitation (PubMed : 19923167, PubMed : 27714810).
See full target information CFTR

Product promise

We are committed to supporting your work with high-quality reagents, and we're here for you every step of the way. In the unlikely event that one of our products does not perform as expected, you're protected by our Product Promise.
For full details, please see our Terms & Conditions

Associated Products

Select an associated product type
Alternative Product
Primary Antibodies

AB217888

Anti-CFTR antibody [CFTR/1643]

primary-antibodies

cftr-antibody-cftr-1643-ab217888

0

(0 reviews)

Alternative Product
Primary Antibodies

AB269738

Anti-CFTR antibody [CFTR/1643] - BSA and Azide free

primary-antibodies

cftr-antibody-cftr-1643-bsa-and-azide-free-ab269738

0

(0 reviews)

Alternative Product
Primary Antibodies

AB219337

Anti-CFTR antibody [CFTR/1775R]

primary-antibodies

cftr-antibody-cftr-1775r-ab219337

0

(0 reviews)

Alternative Product
Primary Antibodies

AB234037

Anti-CFTR antibody [SPM176] - BSA and Azide free

primary-antibodies

cftr-antibody-spm176-bsa-and-azide-free-ab234037

0

(0 reviews)

Alternative Version
Primary Antibodies

AB270238

Anti-CFTR antibody [M3A7]

primary-antibodies

cftr-antibody-m3a7-ab270238

0

(0 reviews)

Please note: All products are 'FOR RESEARCH USE ONLY. NOT FOR USE IN DIAGNOSTIC OR THERAPEUTIC PROCEDURES'.

For licensing inquiries, please contact partnerships@abcam.com