JavaScript is disabled in your browser. Please enable JavaScript to view this website.
AB254312

Anti-CGA/hCG alpha antibody [EP3373] - BSA and Azide free

Be the first to review this product! Submit a review

|

(0 Publication)

Rabbit Monoclonal GLHA antibody. Carrier free. Suitable for WB, IHC-P and reacts with Human samples.

View Alternative Names

Glycoprotein hormones alpha chain, Anterior pituitary glycoprotein hormones common subunit alpha, Choriogonadotropin alpha chain, Chorionic gonadotrophin subunit alpha, Follicle-stimulating hormone alpha chain, Follitropin alpha chain, Luteinizing hormone alpha chain, Lutropin alpha chain, Thyroid-stimulating hormone alpha chain, Thyrotropin alpha chain, CG-alpha, FSH-alpha, LSH-alpha, TSH-alpha, CGA

2 Images
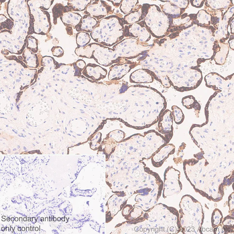
Immunohistochemistry (Formalin/PFA-fixed paraffin-embedded sections) - Anti-CGA/hCG alpha antibody [EP3373] - BSA and Azide free (AB254312)
  • IHC-P

Lab

Immunohistochemistry (Formalin/PFA-fixed paraffin-embedded sections) - Anti-CGA/hCG alpha antibody [EP3373] - BSA and Azide free (AB254312)

This data was developed using ab92738, the same antibody clone in a different buffer. Immunohistochemical analysis of paraffin-embedded Human placenta tissue labeling CGA/hCG alpha with ab92738 at 1/600 dilution (0.87 µg/ml) followed by a ready to use LeicaDS9800 (Bond™ Polymer Refine Detection). The immunostaining was performed on a Leica Biosystems BOND® RX instrument. Counterstained with Hematoxylin. Secondary antibody only control : Secondary antibody is a ready to use LeicaDS9800 (Bond™ Polymer Refine Detection). Heat mediated antigen retrieval was performed with Tris-EDTA buffer (pH 9.0, epitope retrieval solution2) for 20 mins.

Western blot - Anti-CGA/hCG alpha antibody [EP3373] - BSA and Azide free (AB254312)
  • WB

Lab

Western blot - Anti-CGA/hCG alpha antibody [EP3373] - BSA and Azide free (AB254312)

This data was developed using ab92738, the same antibody clone in a different buffer. Blocking and diluting buffer and concentration : 5% NFDM/TBST.

Lanes 1 - 2:

Western blot - Anti-CGA/hCG alpha antibody [EP3373] (<a href='/en-us/products/primary-antibodies/cga-hcg-alpha-antibody-ep3373-ab92738'>ab92738</a>) at 1/2000 dilution

Lane 1:

Western blot - Anti-PKR antibody [EPR19374] (<a href='/en-us/products/primary-antibodies/pkr-antibody-epr19374-ab184257'>ab184257</a>) at 1/1000 dilution

Lane 1:

JAR (Human placenta choriocarcinoma epithelial cell) whole cell lysate

Lane 1:

bEnd.3 (mouse brain endothelial cell) whole cell lysate at 20 µg

Lane 2:

JAR (Human placenta choriocarcinoma epithelial cell) whole cell lysate treated with Hydroxyurea (10mM 24h)

Secondary

Lanes 1 - 2:

Western blot - Goat Anti-Rabbit IgG H&L (HRP) (<a href='/en-us/products/secondary-antibodies/goat-rabbit-igg-h-l-hrp-ab97051'>ab97051</a>) at 1/20000 dilution

Lane 1:

Western blot - Goat Anti-Rabbit IgG H&L (HRP) (<a href='/en-us/products/secondary-antibodies/goat-rabbit-igg-h-l-hrp-ab97051'>ab97051</a>) at 1/100000 dilution

Observed band size: 18 kDa

false

Exposure time: 180s

Key facts

Host species

Rabbit

Clonality

Monoclonal

Clone number

EP3373

Isotype

IgG

Carrier free

Yes

Reacts with

Human

Applications

WB, IHC-P

applications

Immunogen

The exact immunogen used to generate this antibody is proprietary information.

Reactivity data

{ "title": "Reactivity Data", "filters": { "stats": ["", "Species", "Dilution Info", "Notes"], "tabs": { "all-applications": {"fullname" : "All Applications", "shortname": "All Applications"}, "WB" : {"fullname" : "Western blot", "shortname":"WB"}, "IHCP" : {"fullname" : "Immunohistochemistry (Formalin/PFA-fixed paraffin-embedded sections)", "shortname":"IHC-P"} }, "product-promise": { "all": "all", "testedAndGuaranteed": "tested", "guaranteed": "expected", "predicted": "predicted", "notRecommended": "not-recommended" } }, "values": { "Human": { "WB-species-checked": "testedAndGuaranteed", "WB-species-dilution-info": "", "WB-species-notes": "<p></p>", "IHCP-species-checked": "testedAndGuaranteed", "IHCP-species-dilution-info": "", "IHCP-species-notes": "<p></p>" } } }

Product details

ab254312 is the carrier-free version of ab92738.

Patented technology
Our RabMAb® technology is a patented hybridoma-based technology for making rabbit monoclonal antibodies. For details on our patents, please refer to RabMAb® patents.

Conjugation ready
Our carrier-free antibodies are typically supplied in a PBS-only formulation, purified and free of BSA, sodium azide and glycerol. This conjugation-ready format is designed for use with fluorochromes, metal isotopes, oligonucleotides, and enzymes, which makes them ideal for antibody labelling, functional and cell-based assays, flow-based assays (e.g. mass cytometry) and Multiplex Imaging applications.

Use our conjugation kits for antibody conjugates that are ready-to-use in as little as 20 minutes with 1 minute hands-on-time and 100% antibody recovery: available for fluorescent dyes, HRP, biotin and gold.

Compatibility
This product is compatible with the Maxpar® Antibody Labeling Kit from Fluidigm, without the need for antibody preparation. Maxpar® is a trademark of Fluidigm Canada Inc.

What are the advantages of a recombinant monoclonal antibody?
This product is a recombinant monoclonal antibody, which offers several advantages including:

  • - High batch-to-batch consistency and reproducibility
  • - Improved sensitivity and specificity
  • - Long-term security of supply
  • - Animal-free batch production

For more information, read more on recombinant antibodies.

Properties and storage information

Form
Liquid
Purification technique
Affinity purification Protein A
Storage buffer
pH: 7.2 - 7.4 Constituents: 100% PBS
Shipped at conditions
Blue Ice
Appropriate short-term storage conditions
+4°C
Appropriate long-term storage conditions
+4°C
Storage information
Do Not Freeze

Supplementary information

This supplementary information is collated from multiple sources and compiled automatically.

CGA also known as the hCG alpha subunit is a glycoprotein hormone free alpha subunit. Its molecular mass is approximately 15-22 kDa. It is a part of the human chorionic gonadotropin (hCG) protein. It is expressed in the placenta and various neoplastic tissues. CGA along with the beta subunit forms the complete structure of hCG which plays a significant role in signaling for the reproductive processes.
Biological function summary

This alpha subunit plays a fundamental role in forming the heterodimer with different beta subunits of hCG TSH LH and FSH resulting in various glycoprotein hormones. These hormones are essential for maintaining pregnancy fetal development and regulating the menstrual cycle. The CGA protein is key to the activity of the hCG protein which significantly impacts fetal and trophoblastic growth during pregnancy. The heterodimeric complex to which it contributes assigns it unique biological roles that differ depending on the linked beta subunit.

Pathways

The CGA subunit functions within the reproductive hormone signaling pathway. The uniform alpha subunit pairs with distinct beta subunits such as LH beta or FSH beta influencing different signaling pathways. It plays a vital part in the hormonal regulation pathway modulating endocrine and reproductive processes. The related proteins include the beta subunits like hCG beta LH beta and FSH beta which pair with CGA to perform distinct biological functions in different tissues.

CGA's expression relates to trophoblastic diseases and certain types of cancer such as choriocarcinoma. Aberrant expression or regulation can be seen in these conditions linking it to tumorigenesis and abnormal reproductive disorders. Choriocarcinoma significantly involves hCG protein and its subunits where CGA influences the progression by contributing to this hormone's abnormal activity. Elevated levels of CGA can correlate with the progression of these diseases serving as a clinical marker for diagnosis.

Product protocols

For this product, it's our understanding that no specific protocols are required. You can visit:

Target data

Shared alpha chain of the active heterodimeric glycoprotein hormones thyrotropin/thyroid stimulating hormone/TSH, lutropin/luteinizing hormone/LH, follitropin/follicle stimulating hormone/FSH and choriogonadotropin/CG. These hormones bind specific receptors on target cells that in turn activate downstream signaling pathways.
See full target information CGA

Product promise

We are committed to supporting your work with high-quality reagents, and we're here for you every step of the way. In the unlikely event that one of our products does not perform as expected, you're protected by our Product Promise.
For full details, please see our Terms & Conditions

Please note: All products are 'FOR RESEARCH USE ONLY. NOT FOR USE IN DIAGNOSTIC OR THERAPEUTIC PROCEDURES'.

For licensing inquiries, please contact partnerships@abcam.com