JavaScript is disabled in your browser. Please enable JavaScript to view this website.
AB201329

Anti-CGA/hCG alpha antibody [HCGa/53]

Be the first to review this product! Submit a review

|

(1 Publication)

Mouse Monoclonal GLHA antibody. Suitable for WB, IHC-P and reacts with Human samples. Cited in 1 publication. Immunogen corresponding to Recombinant Full Length Protein corresponding to Human CGA.

View Alternative Names

Glycoprotein hormones alpha chain, Anterior pituitary glycoprotein hormones common subunit alpha, Choriogonadotropin alpha chain, Chorionic gonadotrophin subunit alpha, Follicle-stimulating hormone alpha chain, Follitropin alpha chain, Luteinizing hormone alpha chain, Lutropin alpha chain, Thyroid-stimulating hormone alpha chain, Thyrotropin alpha chain, CG-alpha, FSH-alpha, LSH-alpha, TSH-alpha, CGA

1 Images
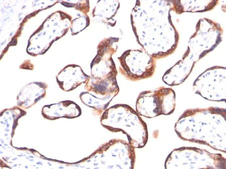
Immunohistochemistry (Formalin/PFA-fixed paraffin-embedded sections) - Anti-CGA/hCG alpha antibody [HCGa/53] (AB201329)
  • IHC-P

Supplier Data

Immunohistochemistry (Formalin/PFA-fixed paraffin-embedded sections) - Anti-CGA/hCG alpha antibody [HCGa/53] (AB201329)

Immunohistochemical analysis of paraffin-embedded human placenta tissue, labeling hCG alpha using ab201329 at 1 μg/mL.

Key facts

Host species

Mouse

Clonality

Monoclonal

Clone number

HCGa/53

Isotype

IgG1

Light chain type

kappa

Carrier free

No

Reacts with

Human

Applications

WB, IHC-P

applications

Immunogen

Recombinant Full Length Protein corresponding to Human CGA.

P01215

Reactivity data

{ "title": "Reactivity Data", "filters": { "stats": ["", "Species", "Dilution Info", "Notes"], "tabs": { "all-applications": {"fullname" : "All Applications", "shortname": "All Applications"}, "WB" : {"fullname" : "Western blot", "shortname":"WB"}, "IHCP" : {"fullname" : "Immunohistochemistry (Formalin/PFA-fixed paraffin-embedded sections)", "shortname":"IHC-P"} }, "product-promise": { "all": "all", "testedAndGuaranteed": "tested", "guaranteed": "expected", "predicted": "predicted", "notRecommended": "not-recommended" } }, "values": { "Human": { "WB-species-checked": "guaranteed", "WB-species-dilution-info": "", "WB-species-notes": "<p></p>", "IHCP-species-checked": "testedAndGuaranteed", "IHCP-species-dilution-info": "1-2 µg/mL", "IHCP-species-notes": "<p>No special pre-treatment is required for staining of formalin-fixed tissues. Note that HIER is not recommended for this antibody.</p>" } } }

Properties and storage information

Form
Liquid
Purification technique
Affinity purification Protein A
Purification notes
ab201329 is purified from bioreactor concentrates.
Storage buffer
pH: 7.2 - 7.4 Preservative: 0.05% Sodium azide Constituents: PBS, 0.05% BSA
Shipped at conditions
Blue Ice
Appropriate short-term storage duration
1-2 weeks
Appropriate short-term storage conditions
+4°C
Appropriate long-term storage conditions
-20°C
Aliquoting information
Upon delivery aliquot
Storage information
Avoid freeze / thaw cycle

Supplementary information

This supplementary information is collated from multiple sources and compiled automatically.

CGA also known as the hCG alpha subunit is a glycoprotein hormone free alpha subunit. Its molecular mass is approximately 15-22 kDa. It is a part of the human chorionic gonadotropin (hCG) protein. It is expressed in the placenta and various neoplastic tissues. CGA along with the beta subunit forms the complete structure of hCG which plays a significant role in signaling for the reproductive processes.
Biological function summary

This alpha subunit plays a fundamental role in forming the heterodimer with different beta subunits of hCG TSH LH and FSH resulting in various glycoprotein hormones. These hormones are essential for maintaining pregnancy fetal development and regulating the menstrual cycle. The CGA protein is key to the activity of the hCG protein which significantly impacts fetal and trophoblastic growth during pregnancy. The heterodimeric complex to which it contributes assigns it unique biological roles that differ depending on the linked beta subunit.

Pathways

The CGA subunit functions within the reproductive hormone signaling pathway. The uniform alpha subunit pairs with distinct beta subunits such as LH beta or FSH beta influencing different signaling pathways. It plays a vital part in the hormonal regulation pathway modulating endocrine and reproductive processes. The related proteins include the beta subunits like hCG beta LH beta and FSH beta which pair with CGA to perform distinct biological functions in different tissues.

CGA's expression relates to trophoblastic diseases and certain types of cancer such as choriocarcinoma. Aberrant expression or regulation can be seen in these conditions linking it to tumorigenesis and abnormal reproductive disorders. Choriocarcinoma significantly involves hCG protein and its subunits where CGA influences the progression by contributing to this hormone's abnormal activity. Elevated levels of CGA can correlate with the progression of these diseases serving as a clinical marker for diagnosis.

Product protocols

For this product, it's our understanding that no specific protocols are required. You can visit:

Target data

Shared alpha chain of the active heterodimeric glycoprotein hormones thyrotropin/thyroid stimulating hormone/TSH, lutropin/luteinizing hormone/LH, follitropin/follicle stimulating hormone/FSH and choriogonadotropin/CG. These hormones bind specific receptors on target cells that in turn activate downstream signaling pathways.
See full target information CGA

Publications (1)

Recent publications for all applications. Explore the full list and refine your search

PLoS biology 23:e3002881 PubMed40163536

2025

The Hunchback transcription factor determines interneuron molecular identity, morphology, and presynapse targeting in the Drosophila NB5-2 lineage.

Applications

Unspecified application

Species

Unspecified reactive species

Heather Q Pollington,Chris Q Doe
View all publications

Product promise

We are committed to supporting your work with high-quality reagents, and we're here for you every step of the way. In the unlikely event that one of our products does not perform as expected, you're protected by our Product Promise.
For full details, please see our Terms & Conditions

Please note: All products are 'FOR RESEARCH USE ONLY. NOT FOR USE IN DIAGNOSTIC OR THERAPEUTIC PROCEDURES'.

For licensing inquiries, please contact partnerships@abcam.com