JavaScript is disabled in your browser. Please enable JavaScript to view this website.
AB252416

Anti-cGAS antibody [EPR23611-101]

5

(2 Reviews)

|

(35 Publications)

Anti-cGAS antibody [EPR23611-101] (ab252416) is a rabbit monoclonal antibody detecting cGAS in Western Blot, IP. Suitable for Mouse.

- Biophysical QC for unrivalled batch-batch consistency
- Over 20 publications

View Alternative Names

Mb21d1, Cgas, Cyclic GMP-AMP synthase, cGAMP synthase, cGAS, m-cGAS, 2'3'-cGAMP synthase, Mab-21 domain-containing protein 1

4 Images
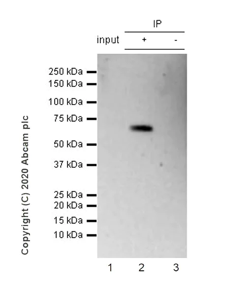
Immunoprecipitation - Anti-cGAS antibody [EPR23611-101] (AB252416)
  • IP

Unknown

Immunoprecipitation - Anti-cGAS antibody [EPR23611-101] (AB252416)

cGAS was immunoprecipitated from 0.35 mg NIH/3T3 (mouse embryonic fibroblast), whole cell lysate 10 ug with ab252416 at 1/30 dilution (2ug in 0.35mg lysates). Western blot was performed on the immunoprecipitate using ab252416 at 1/1000 dilution. VeriBlot for IP Detection Reagent (HRP)(ab131366) was used at 1/5000 dilution.

Lane 1 : NIH/3T3 (mouse embryonic fibroblast), whole cell lysate 10 ug

Lane 2 : ab252416 IP in NIH/3T3 whole cell lysate

Lane 3 : Rabbit monoclonal IgG (ab172730) instead of ab252416 in NIH/3T3 whole cell lysate

Blocking and dilution buffer and concentration : 5% NFDM/TBST.

Exposure time : 3 minutes.

This blot was developed using a higher sensitivity ECL substrate.

All lanes:

Immunoprecipitation - Anti-cGAS antibody [EPR23611-101] (ab252416)

Predicted band size: 59 kDa

Observed band size: 58 kDa

false

Western blot - Anti-cGAS antibody [EPR23611-101] (AB252416)
  • WB

Lab

Western blot - Anti-cGAS antibody [EPR23611-101] (AB252416)

This blot was produced using 4-20% SDS-PAGE containing 15 μg of RAW264.7 whole cell lysate per lane at 150V for 1hr before being transferred onto a 0.45 μm PVDF membrane at 75V for 1hr. The membrane was then blocked for 1hr using 5% NFDM/TBST, then incubated with ab252416 (1/1000) at room temperature for 1hr. After being washed three times in TBST, the membrane was incubated with Peroxidase conjugated goat anti-rabbit IgG (H+L) (ab97051) at 1/20,000 dilution for 1hr at room temperature. The membrane was washed three times again. Then the signal was developed using the ECL technique. ab252416 was stored at a range of temperatures (+4°C, +22°C, +37°C) for 1 week before being tested in WB. The image shows the band intensity remains relatively constant across all storage temperatures, demonstrating that antibody activity is not affected.

All lanes:

Western blot - Anti-cGAS antibody [EPR23611-101] (ab252416) at 1/1000 dilution

All lanes:

RAW264.7 whole cell lysate at 15 µg with NDFM/TBST

Secondary

All lanes:

Western blot - Goat Anti-Rabbit IgG H&L (HRP) (<a href='/en-us/products/secondary-antibodies/goat-rabbit-igg-h-l-hrp-ab97051'>ab97051</a>) at 1/20000 dilution

false

Exposure time: 60s

Western blot - Anti-cGAS antibody [EPR23611-101] (AB252416)
  • WB

Lab

Western blot - Anti-cGAS antibody [EPR23611-101] (AB252416)

Blocking and diluting buffer and concentration : 5% NFDM/TBST. This blot was developed using a higher sensitivity ECL substrate. Exposure times : Lane 1 : 26 seconds Lane 2 : 15 seconds.

All lanes:

Western blot - Anti-cGAS antibody [EPR23611-101] (ab252416) at 1/1000 dilution

Lane 1:

NIH/3T3 (mouse embryonic fibroblast), whole cell lysate at 20 µg

Lane 2:

C2C12 (mouse myoblasts myoblast), whole cell lysate at 20 µg

Secondary

All lanes:

Goat Anti-Rabbit IgG, (H+L), Peroxidase conjugated (<a href='/en-us/products/secondary-antibodies/goat-rabbit-igg-h-l-hrp-ab97051'>ab97051</a>) at 1/100000 dilution

Predicted band size: 59 kDa

Observed band size: 58 kDa

false

Western blot - Anti-cGAS antibody [EPR23611-101] (AB252416)
  • WB

Supplier Data

Western blot - Anti-cGAS antibody [EPR23611-101] (AB252416)

Blocking buffer and concentration :  5% NFDM/TBST.  Diluting buffer and concentration :  5% NFDM/TBST. Exposure Time : Lane 1 : 20 seconds, Lane 2-3 : 180 seconds. Negative control : Mouse striatum (PMID : 32581130). ab181602 was used as a loading control.

All lanes:

Western blot - Anti-cGAS antibody [EPR23611-101] (ab252416) at 1/1000 dilution

Lane 1:

RAW264.7 (Mouse Abelson murine leukemia virus-induced tumor macrophage) whole cell lysate at 20 µg

Lane 2:

Mouse heart lysate at 20 µg

Lane 3:

Mouse striatum lysate at 20 µg

Secondary

All lanes:

Western blot - Goat Anti-Rabbit IgG H&L (HRP) (<a href='/en-us/products/secondary-antibodies/goat-rabbit-igg-h-l-hrp-ab97051'>ab97051</a>) at 1/20000 dilution

Predicted band size: 59 kDa

Observed band size: 58 kDa

false

  • Carrier free

    Anti-cGAS antibody [EPR23611-101] - BSA and Azide free

Key facts

Host species

Rabbit

Clonality

Monoclonal

Clone number

EPR23611-101

Isotype

IgG

Carrier free

No

Reacts with

Mouse

Applications

WB, IP

applications

Immunogen

The exact immunogen used to generate this antibody is proprietary information.

Reactivity data

{ "title": "Reactivity Data", "filters": { "stats": ["", "Species", "Dilution Info", "Notes"], "tabs": { "all-applications": {"fullname" : "All Applications", "shortname": "All Applications"}, "ICCIF" : {"fullname" : "Immunocytochemistry/ Immunofluorescence", "shortname":"ICC/IF"}, "IP" : {"fullname" : "Immunoprecipitation", "shortname":"IP"}, "FlowCyt" : {"fullname" : "Flow Cytometry", "shortname":"Flow Cyt"}, "WB" : {"fullname" : "Western blot", "shortname":"WB"}, "IHCP" : {"fullname" : "Immunohistochemistry (Formalin/PFA-fixed paraffin-embedded sections)", "shortname":"IHC-P"} }, "product-promise": { "all": "all", "testedAndGuaranteed": "tested", "guaranteed": "expected", "predicted": "predicted", "notRecommended": "not-recommended" } }, "values": { "Human": { "ICCIF-species-checked": "notRecommended", "ICCIF-species-dilution-info": "", "ICCIF-species-notes": "", "IP-species-checked": "notRecommended", "IP-species-dilution-info": "", "IP-species-notes": "", "FlowCyt-species-checked": "notRecommended", "FlowCyt-species-dilution-info": "", "FlowCyt-species-notes": "", "WB-species-checked": "notRecommended", "WB-species-dilution-info": "1/1000", "WB-species-notes": "<p></p>", "IHCP-species-checked": "notRecommended", "IHCP-species-dilution-info": "", "IHCP-species-notes": "<p></p>" }, "Mouse": { "ICCIF-species-checked": "notRecommended", "ICCIF-species-dilution-info": "", "ICCIF-species-notes": "<p></p>", "IP-species-checked": "testedAndGuaranteed", "IP-species-dilution-info": "1/30", "IP-species-notes": "<p></p>", "FlowCyt-species-checked": "notRecommended", "FlowCyt-species-dilution-info": "", "FlowCyt-species-notes": "<p></p>", "WB-species-checked": "testedAndGuaranteed", "WB-species-dilution-info": "1/1000", "WB-species-notes": "<p></p>", "IHCP-species-checked": "notRecommended", "IHCP-species-dilution-info": "", "IHCP-species-notes": "<p></p>" }, "Rat": { "ICCIF-species-checked": "notRecommended", "ICCIF-species-dilution-info": "", "ICCIF-species-notes": "", "IP-species-checked": "notRecommended", "IP-species-dilution-info": "", "IP-species-notes": "", "FlowCyt-species-checked": "notRecommended", "FlowCyt-species-dilution-info": "", "FlowCyt-species-notes": "", "WB-species-checked": "notRecommended", "WB-species-dilution-info": "1/1000", "WB-species-notes": "<p></p>", "IHCP-species-checked": "notRecommended", "IHCP-species-dilution-info": "", "IHCP-species-notes": "<p></p>" } } }

Product details

What is this antibody validated in?
Anti-cGAS antibody [EPR23611-101] (ab252416) is a rabbit recombinant monoclonal antibody and is validated for use in Western Blot (WB), Immunoprecipitation (IP) in Mouse samples.

What is the molecular weight of cGAS?
Anti-cGAS [EPR23611-101] (ab252416) specifically detects a band for cGAS (UniProt: Q8C6L5) at a molecular weight of 58kDa.

Trusted by the scientific community
Anti-cGAS [EPR23611-101] (ab252416) was first used in a scientific publication in 2020 and has been cited over 20 times in peer-reviewed journals.

Trial sizes available!
Test your antibody or perform pre-screening before committing to a larger quantity. Sold in 10µl. Discover our selection of trial-size antibodies.

Other related products
We have a range of other formats of antibody clone [EPR23611-101] also available for your convenience: ab252416, Carrier free - ab277486

Patented technology
Our RabMAb® technology is a patented hybridoma-based technology for making rabbit monoclonal antibodies. For details on our patents, please refer to RabMAb® patents.

What are the advantages of a recombinant monoclonal antibody?
This product is a recombinant monoclonal antibody, which offers several advantages including:

  • - High batch-to-batch consistency and reproducibility
  • - Improved sensitivity and specificity
  • - Long-term security of supply
  • - Animal-free batch production

For more information, read more on recombinant antibodies.

Shipping conditions update: ambient shipping

This product will be delivered at ambient temperature instead of chilled – this is by design. Extensive stability testing confirmed that our products are suitable for shipment under ambient conditions and maintain expected quality.

Why the change?

It’s part of our commitment to more sustainable packaging solutions, with ambient deliveries using eco-friendly materials such as recyclable cardboard instead of polystyrene.

What you need to know

  • Ambient shipments come clearly marked on the delivery note.
  • No ice will be included in ambient shipments, but mixed orders (ambient and cold-chain items) will still arrive with ice packs to protect temperature-sensitive products.
  • Warranty coverage remains fully valid, aligned with our validated shipping method.
  • Please store the product as per the datasheet instructions upon receipt.

Find out more - https://www.abcam.com/en-us/support/shipping-storage-support/ambient-shipping

Properties and storage information

Form
Liquid
Purification technique
Affinity purification Protein A
Storage buffer
Preservative: 0.01% Sodium azide Constituents: PBS, 40% Glycerol (glycerin, glycerine), 0.05% BSA
Shipped at conditions
Conditional Ambient
Appropriate short-term storage duration
1-2 weeks
Appropriate short-term storage conditions
+4°C
Appropriate long-term storage conditions
-20°C
Aliquoting information
Upon delivery aliquot
Storage information
Avoid freeze / thaw cycle

Supplementary information

This supplementary information is collated from multiple sources and compiled automatically.

The cyclic GMP-AMP synthase commonly referred to as cGAS functions as an enzyme that detects cytosolic DNA. It has a molecular weight of 50 kDa. This protein is widely expressed in various cell types with high expression in cells exposed to foreign DNA such as immune cells. cGAS acts by binding to cytosolic DNA which leads to the production of the secondary messenger cyclic GMP-AMP (cGAMP). This action is critical for initiating innate immune responses against viral infections and cellular stress.
Biological function summary

CGAS plays a fundamental role in the immune response by activating the STING pathway. cGAS when bound to DNA forms a complex with DNA as part of its mechanistic function which then catalyzes the synthesis of cGAMP. The cGAMP produced acts as a signaling molecule that activates the STING protein leading to subsequent immune signaling cascades. This activation results in the production of type I interferons and other inflammatory cytokines essential for mounting an effective antiviral response.

Pathways

CGAS operates within important signaling pathways such as the cGAS-STING pathway and the type I interferon pathway. This protein works closely with STING located on the endoplasmic reticulum as a direct effector. The connection between cGAS and STING is important in detecting and responding to cytosolic DNA and initiating immune signaling leading to activation of downstream transcription factors like IRF3 and NF-kB which promote gene expression driving immune responses.

CGAS links to autoimmune diseases and cancer. Aberrant cGAS activity can lead to inappropriate immune activation contributing to autoimmune disorders such as lupus where the body attacks its own cells. In the case of cancer cGAS can play dual roles either promoting an immune response against tumors or contributing to an environment where cancer can evade immune detection. The relation between cGAS and diseases also involves STING as disruptions in this pathway can lead to alterations in immune surveillance and inflammation.

Product protocols

For this product, it's our understanding that no specific protocols are required. You can visit:

Target data

Nucleotidyltransferase that catalyzes the formation of cyclic GMP-AMP (2',3'-cGAMP) from ATP and GTP and plays a key role in innate immunity (PubMed : 23258413, PubMed : 23647843, PubMed : 23722158, PubMed : 26829768, PubMed : 28214358, PubMed : 29426904, PubMed : 29625897, PubMed : 32814054). Catalysis involves both the formation of a 2',5' phosphodiester linkage at the GpA step and the formation of a 3',5' phosphodiester linkage at the ApG step, producing c[G(2',5')pA(3',5')p] (PubMed : 23258413, PubMed : 23647843, PubMed : 23722158, PubMed : 26829768, PubMed : 28214358). Acts as a key DNA sensor : directly binds double-stranded DNA (dsDNA), inducing the formation of liquid-like droplets in which CGAS is activated, leading to synthesis of 2',3'-cGAMP, a second messenger that binds to and activates STING1, thereby triggering type-I interferon production (PubMed : 23722158, PubMed : 28095500, PubMed : 28314590, PubMed : 28363908, PubMed : 39322678). Preferentially binds long dsDNA (around 45 bp) and forms ladder-like networks that function cooperatively to stabilize individual cGAS-dsDNA complexes (PubMed : 28902841). Acts as a key foreign DNA sensor, the presence of double-stranded DNA (dsDNA) in the cytoplasm being a danger signal that triggers the immune responses (PubMed : 23722158, PubMed : 28314590, PubMed : 28363908). Has antiviral activity by sensing the presence of dsDNA from DNA viruses in the cytoplasm (PubMed : 23258413, PubMed : 23647843, PubMed : 23722158). Also acts as an innate immune sensor of infection by retroviruses by detecting the presence of reverse-transcribed DNA in the cytosol (PubMed : 23929945). Detection of retroviral reverse-transcribed DNA in the cytosol may be indirect and be mediated via interaction with PQBP1, which directly binds reverse-transcribed retroviral DNA (By similarity). Also detects the presence of DNA from bacteria (By similarity). 2',3'-cGAMP can be transferred from producing cells to neighboring cells through gap junctions, leading to promote STING1 activation and convey immune response to connecting cells (PubMed : 24077100, PubMed : 31992625). 2',3'-cGAMP can also be transferred between cells by virtue of packaging within viral particles contributing to IFN-induction in newly infected cells in a cGAS-independent but STING1-dependent manner (PubMed : 26229117). Also senses the presence of neutrophil extracellular traps (NETs) that are translocated to the cytosol following phagocytosis, leading to synthesis of 2',3'-cGAMP (PubMed : 33688080). In addition to foreign DNA, can also be activated by endogenous nuclear or mitochondrial DNA (By similarity). When self-DNA leaks into the cytosol during cellular stress (such as mitochondrial stress, DNA damage, mitotic arrest or senescence), or is present in form of cytosolic micronuclei, CGAS is activated leading to a state of sterile inflammation (PubMed : 28738408, PubMed : 28759028). Acts as a regulator of cellular senescence by binding to cytosolic chromatin fragments that are present in senescent cells, leading to trigger type-I interferon production via STING1 and promote cellular senescence (PubMed : 28759028). Also involved in the inflammatory response to genome instability and double-stranded DNA breaks : acts by localizing to micronuclei arising from genome instability (PubMed : 28738408). Micronuclei, which as frequently found in cancer cells, consist of chromatin surrounded by its own nuclear membrane : following breakdown of the micronuclear envelope, a process associated with chromothripsis, CGAS binds self-DNA exposed to the cytosol, leading to 2',3'-cGAMP synthesis and subsequent activation of STING1 and type-I interferon production (PubMed : 28738408). In a healthy cell, CGAS is however kept inactive even in cellular events that directly expose it to self-DNA, such as mitosis, when cGAS associates with chromatin directly after nuclear envelope breakdown or remains in the form of postmitotic persistent nuclear cGAS pools bound to chromatin (By similarity). Nuclear CGAS is inactivated by chromatin via direct interaction with nucleosomes, which block CGAS from DNA binding and thus prevent CGAS-induced autoimmunity (PubMed : 31808743, PubMed : 32911480, PubMed : 32911481, PubMed : 32913000). Also acts as a suppressor of DNA repair in response to DNA damage : inhibits homologous recombination repair by interacting with PARP1, the CGAS-PARP1 interaction leading to impede the formation of the PARP1-TIMELESS complex (PubMed : 30356214, PubMed : 31544964, PubMed : 35210392). In addition to DNA, also sense translation stress : in response to translation stress, translocates to the cytosol and associates with collided ribosomes, promoting its activation and triggering type-I interferon production (By similarity).
See full target information Cgas

Publications (35)

Recent publications for all applications. Explore the full list and refine your search

Neuroreport 36:719-727 PubMed40736326

2025

Ubiquitin-specific peptidase 30-mediated deubiquitination of forkhead box O3 promotes the progression of subarachnoid hemorrhage by regulating cGAS/STING pathway.

Applications

Unspecified application

Species

Unspecified reactive species

Guiqiang Zhang,Wenfeng Xu

Bioactive materials 53:58-71 PubMed40688017

2025

Delivering LINE1 antisense oligonucleotides via endothelial targeting extracellular vesicles to ameliorate myocardial infarction-induced cardiac senescence.

Applications

Unspecified application

Species

Unspecified reactive species

Enze Fu,Kai Pan,Benjamin Hinnant,Shang Chen,Zhibo Han,Zhikun Guo,Zhong-Chao Han,Qiong Li,Zongjin Li

The Journal of experimental medicine 222: PubMed40644312

2025

The STING pathway drives noninflammatory neurodegeneration in NGLY1 deficiency.

Applications

Unspecified application

Species

Unspecified reactive species

Kun Yang,Gustavo Torres-Ramirez,Nicole Dobbs,Jie Han,Makoto Asahina,Reiko Fujinawa,Kun Song,Yun Liu,Weichun Lin,Angelica Oviedo,Chuo Chen,Lei Zhu,William F Mueller,Kevin Lee,Tadashi Suzuki,Nan Yan

Cell communication and signaling : CCS 23:306 PubMed40597187

2025

Phosphorylated IRF3 promotes GSDME-mediated pyroptosis through RIPK1/FADD/caspase-8 complex formation during mitotic arrest in ovarian cancer.

Applications

Unspecified application

Species

Unspecified reactive species

Wenjian Gong,Dongchen Zhou,Qiuyang Xu,Linghui Wang,Mengshi Luo,Yuewen Zhang,Zhiqi Liao,Fan Xiong,Guangnian Zhao,Bingbing Zhao,Qinglei Gao,Yong Fang

iScience 28:112391 PubMed40322081

2025

Hyperandrogenism triggers mtDNA release to participate in ovarian inflammation via mPTP/cGAS/STING in PCOS.

Applications

Unspecified application

Species

Unspecified reactive species

Jieyu Cai,Qi Zhu,Yu Xiang,Linglin Weng,Na Liang,Xiaoqi Hong,Mingrui Xue,Hongshan Ge

Brain research bulletin 216:111036 PubMed39084570

2024

Electroacupuncture alleviates motor dysfunction by regulating neuromuscular junction disruption and neuronal degeneration in SOD1 mice.

Applications

WB

Species

Mouse

Junyang Liu,Weijia Zhao,Jie Guo,Kaiwen Kang,Hua Li,Xiaohang Yang,Jie Li,Qiang Wang,Haifa Qiao

Investigational new drugs 42:442-453 PubMed38941055

2024

Auger emitter in combination with Olaparib suppresses tumor growth via promoting antitumor immune responses in pancreatic cancer.

Applications

WB

Species

Human

Yanqi Zhong,Heng Zhang,Peng Wang,Jing Zhao,Yuxi Ge,Zongqiong Sun,Zi Wang,Jie Li,Shudong Hu

Investigative ophthalmology & visual science 65:13 PubMed38848078

2024

Involvement of cGAS/STING Signaling in the Pathogenesis of Candida albicans Keratitis: Insights From Genetic and Pharmacological Approaches.

Applications

Unspecified application

Species

Unspecified reactive species

Shanmei Lyu,Ting Zhang,Peng Peng,Dingwen Cao,Li Ma,Yang Yu,Yanling Dong,Xiaolin Qi,Chao Wei

Immunobiology 229:152810 PubMed38772101

2024

Activation of the cGAS-STING pathway by viral dsDNA leading to M1 polarization of macrophages mediates antiviral activity against hepatitis B virus.

Applications

WB

Species

Mouse

Qiyin Zong,Hao Zhang,Futing Liu,Jianfei Li,Qian Liu,Zhi Duan,Wanlu Duan,Mengqi Ruan,Jingjing Zhang,Yan Liu,Qiang Zhou,Qin Wang

Brain research 1839:148999 PubMed38761845

2024

Inactivation of cGAS signaling pathway mediated by TDP-43 deficiency protects microglia from hypoxia/reoxygenation induced injury.

Applications

WB

Species

Mouse

Yingjie Zhu,Chen Sun
View all publications

Product promise

We are committed to supporting your work with high-quality reagents, and we're here for you every step of the way. In the unlikely event that one of our products does not perform as expected, you're protected by our Product Promise.
For full details, please see our Terms & Conditions

Please note: All products are 'FOR RESEARCH USE ONLY. NOT FOR USE IN DIAGNOSTIC OR THERAPEUTIC PROCEDURES'.

For licensing inquiries, please contact partnerships@abcam.com