JavaScript is disabled in your browser. Please enable JavaScript to view this website.
AB277486

Anti-cGAS antibody [EPR23611-101] - BSA and Azide free

Be the first to review this product! Submit a review

|

(0 Publication)

Rabbit Recombinant Monoclonal CGAS antibody. Carrier free. Suitable for IP, WB and reacts with Mouse samples.

View Alternative Names

Mb21d1, Cgas, Cyclic GMP-AMP synthase, cGAMP synthase, cGAS, m-cGAS, 2'3'-cGAMP synthase, Mab-21 domain-containing protein 1

3 Images
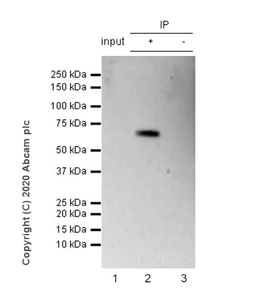
Immunoprecipitation - Anti-cGAS antibody [EPR23611-101] - BSA and Azide free (AB277486)
  • IP

Unknown

Immunoprecipitation - Anti-cGAS antibody [EPR23611-101] - BSA and Azide free (AB277486)

This data was developed using ab252416, the same antibody clone in a different buffer formulation.

cGAS was immunoprecipitated from 0.35 mg NIH/3T3 (mouse embryonic fibroblast), whole cell lysate 10 ug with ab252416 at 1/30 dilution (2ug in 0.35mg lysates). Western blot was performed on the immunoprecipitate using ab252416 at 1/1000 dilution. VeriBlot for IP Detection Reagent (HRP)(ab131366) was used at 1/5000 dilution.

Lane 1 : NIH/3T3 (mouse embryonic fibroblast), whole cell lysate 10 ug

Lane 2 : ab252416 IP in NIH/3T3 whole cell lysate

Lane 3 : Rabbit monoclonal IgG (ab172730) instead of ab252416 in NIH/3T3 whole cell lysate

Blocking and dilution buffer and concentration : 5% NFDM/TBST.

Exposure time : 3 minutes.

This blot was developed using a higher sensitivity ECL substrate.

All lanes:

Immunoprecipitation - Anti-cGAS antibody [EPR23611-101] (<a href='/en-us/products/primary-antibodies/cgas-antibody-epr23611-101-ab252416'>ab252416</a>)

Predicted band size: 59 kDa

Observed band size: 58 kDa

false

Western blot - Anti-cGAS antibody [EPR23611-101] - BSA and Azide free (AB277486)
  • WB

Lab

Western blot - Anti-cGAS antibody [EPR23611-101] - BSA and Azide free (AB277486)

This data was developed using ab252416, the same antibody clone in a different buffer formulation. Blocking and diluting buffer and concentration : 5% NFDM/TBST. This blot was developed using a higher sensitivity ECL substrate. Exposure times : Lane 1 : 26 seconds Lane 2 : 15 seconds.

All lanes:

Western blot - Anti-cGAS antibody [EPR23611-101] (<a href='/en-us/products/primary-antibodies/cgas-antibody-epr23611-101-ab252416'>ab252416</a>) at 1/1000 dilution

Lane 1:

NIH/3T3 (mouse embryonic fibroblast), whole cell lysate at 20 µg

Lane 2:

C2C12 (mouse myoblasts myoblast), whole cell lysate at 20 µg

Secondary

All lanes:

Goat Anti-Rabbit IgG, (H+L), Peroxidase conjugated (<a href='/en-us/products/secondary-antibodies/goat-rabbit-igg-h-l-hrp-ab97051'>ab97051</a>) at 1/100000 dilution

Predicted band size: 59 kDa

Observed band size: 58 kDa

false

Western blot - Anti-cGAS antibody [EPR23611-101] - BSA and Azide free (AB277486)
  • WB

Supplier Data

Western blot - Anti-cGAS antibody [EPR23611-101] - BSA and Azide free (AB277486)

Blocking buffer and concentration :  5% NFDM/TBST.  Diluting buffer and concentration :  5% NFDM/TBST. Exposure Time : Lane 1 : 20 seconds, Lane 2-3 : 180 seconds. Negative control : Mouse striatum (PMID : 32581130). ab181602 was used as a loading control. This data was developed using ab252416, the same antibody clone in a different buffer formulation.

All lanes:

Western blot - Anti-cGAS antibody [EPR23611-101] (<a href='/en-us/products/primary-antibodies/cgas-antibody-epr23611-101-ab252416'>ab252416</a>) at 1/1000 dilution

Lane 1:

RAW264.7 (Mouse Abelson murine leukemia virus-induced tumor macrophage) whole cell lysate at 20 µg

Lane 2:

Mouse heart lysate at 20 µg

Lane 3:

Mouse striatum lysate at 20 µg

Secondary

All lanes:

Western blot - Goat Anti-Rabbit IgG H&L (HRP) (<a href='/en-us/products/secondary-antibodies/goat-rabbit-igg-h-l-hrp-ab97051'>ab97051</a>) at 1/20000 dilution

Predicted band size: 59 kDa

Observed band size: 58 kDa

false

Key facts

Host species

Rabbit

Clonality

Monoclonal

Clone number

EPR23611-101

Isotype

IgG

Carrier free

Yes

Reacts with

Mouse

Applications

IP, WB

applications

Immunogen

The exact immunogen used to generate this antibody is proprietary information.

Reactivity data

{ "title": "Reactivity Data", "filters": { "stats": ["", "Species", "Dilution Info", "Notes"], "tabs": { "all-applications": {"fullname" : "All Applications", "shortname": "All Applications"}, "ICCIF" : {"fullname" : "Immunocytochemistry/ Immunofluorescence", "shortname":"ICC/IF"}, "IP" : {"fullname" : "Immunoprecipitation", "shortname":"IP"}, "WB" : {"fullname" : "Western blot", "shortname":"WB"}, "IHCP" : {"fullname" : "Immunohistochemistry (Formalin/PFA-fixed paraffin-embedded sections)", "shortname":"IHC-P"}, "FlowCyt" : {"fullname" : "Flow Cytometry", "shortname":"Flow Cyt"} }, "product-promise": { "all": "all", "testedAndGuaranteed": "tested", "guaranteed": "expected", "predicted": "predicted", "notRecommended": "not-recommended" } }, "values": { "Human": { "ICCIF-species-checked": "notRecommended", "ICCIF-species-dilution-info": "", "ICCIF-species-notes": "", "IP-species-checked": "notRecommended", "IP-species-dilution-info": "", "IP-species-notes": "", "WB-species-checked": "notRecommended", "WB-species-dilution-info": "1/1000", "WB-species-notes": "<p></p>", "IHCP-species-checked": "notRecommended", "IHCP-species-dilution-info": "", "IHCP-species-notes": "<p></p>", "FlowCyt-species-checked": "notRecommended", "FlowCyt-species-dilution-info": "", "FlowCyt-species-notes": "" }, "Mouse": { "ICCIF-species-checked": "notRecommended", "ICCIF-species-dilution-info": "", "ICCIF-species-notes": "<p></p>", "IP-species-checked": "testedAndGuaranteed", "IP-species-dilution-info": "1/30", "IP-species-notes": "<p></p>", "WB-species-checked": "testedAndGuaranteed", "WB-species-dilution-info": "1/1000", "WB-species-notes": "<p></p>", "IHCP-species-checked": "notRecommended", "IHCP-species-dilution-info": "", "IHCP-species-notes": "<p></p>", "FlowCyt-species-checked": "notRecommended", "FlowCyt-species-dilution-info": "", "FlowCyt-species-notes": "<p></p>" }, "Rat": { "ICCIF-species-checked": "notRecommended", "ICCIF-species-dilution-info": "", "ICCIF-species-notes": "", "IP-species-checked": "notRecommended", "IP-species-dilution-info": "", "IP-species-notes": "", "WB-species-checked": "notRecommended", "WB-species-dilution-info": "1/1000", "WB-species-notes": "<p></p>", "IHCP-species-checked": "notRecommended", "IHCP-species-dilution-info": "", "IHCP-species-notes": "<p></p>", "FlowCyt-species-checked": "notRecommended", "FlowCyt-species-dilution-info": "", "FlowCyt-species-notes": "" } } }

Product details

ab277486 is the carrier-free version of ab252416.

Patented technology
Our RabMAb® technology is a patented hybridoma-based technology for making rabbit monoclonal antibodies. For details on our patents, please refer to RabMAb® patents.

What are the advantages of a recombinant monoclonal antibody?
This product is a recombinant monoclonal antibody, which offers several advantages including:

  • - High batch-to-batch consistency and reproducibility
  • - Improved sensitivity and specificity
  • - Long-term security of supply
  • - Animal-free batch production

For more information, read more on recombinant antibodies.

Conjugation ready
Our carrier-free antibodies are typically supplied in a PBS-only formulation, purified and free of BSA, sodium azide and glycerol. This conjugation-ready format is designed for use with fluorochromes, metal isotopes, oligonucleotides, and enzymes, which makes them ideal for antibody labelling, functional and cell-based assays, flow-based assays (e.g. mass cytometry) and Multiplex Imaging applications.

Use our conjugation kits for antibody conjugates that are ready-to-use in as little as 20 minutes with 1 minute hands-on-time and 100% antibody recovery: available for fluorescent dyes, HRP, biotin and gold.

Compatibility
This product is compatible with the Maxpar® Antibody Labeling Kit from Fluidigm, without the need for antibody preparation. Maxpar® is a trademark of Fluidigm Canada Inc.

Properties and storage information

Form
Liquid
Purification technique
Affinity purification Protein A
Storage buffer
Constituents: PBS
Shipped at conditions
Blue Ice
Appropriate short-term storage conditions
+4°C
Appropriate long-term storage conditions
+4°C

Supplementary information

This supplementary information is collated from multiple sources and compiled automatically.

The cyclic GMP-AMP synthase commonly referred to as cGAS functions as an enzyme that detects cytosolic DNA. It has a molecular weight of 50 kDa. This protein is widely expressed in various cell types with high expression in cells exposed to foreign DNA such as immune cells. cGAS acts by binding to cytosolic DNA which leads to the production of the secondary messenger cyclic GMP-AMP (cGAMP). This action is critical for initiating innate immune responses against viral infections and cellular stress.
Biological function summary

CGAS plays a fundamental role in the immune response by activating the STING pathway. cGAS when bound to DNA forms a complex with DNA as part of its mechanistic function which then catalyzes the synthesis of cGAMP. The cGAMP produced acts as a signaling molecule that activates the STING protein leading to subsequent immune signaling cascades. This activation results in the production of type I interferons and other inflammatory cytokines essential for mounting an effective antiviral response.

Pathways

CGAS operates within important signaling pathways such as the cGAS-STING pathway and the type I interferon pathway. This protein works closely with STING located on the endoplasmic reticulum as a direct effector. The connection between cGAS and STING is important in detecting and responding to cytosolic DNA and initiating immune signaling leading to activation of downstream transcription factors like IRF3 and NF-kB which promote gene expression driving immune responses.

CGAS links to autoimmune diseases and cancer. Aberrant cGAS activity can lead to inappropriate immune activation contributing to autoimmune disorders such as lupus where the body attacks its own cells. In the case of cancer cGAS can play dual roles either promoting an immune response against tumors or contributing to an environment where cancer can evade immune detection. The relation between cGAS and diseases also involves STING as disruptions in this pathway can lead to alterations in immune surveillance and inflammation.

Product protocols

For this product, it's our understanding that no specific protocols are required. You can visit:

Target data

Nucleotidyltransferase that catalyzes the formation of cyclic GMP-AMP (2',3'-cGAMP) from ATP and GTP and plays a key role in innate immunity (PubMed : 23258413, PubMed : 23647843, PubMed : 23722158, PubMed : 26829768, PubMed : 28214358, PubMed : 29426904, PubMed : 29625897, PubMed : 32814054). Catalysis involves both the formation of a 2',5' phosphodiester linkage at the GpA step and the formation of a 3',5' phosphodiester linkage at the ApG step, producing c[G(2',5')pA(3',5')p] (PubMed : 23258413, PubMed : 23647843, PubMed : 23722158, PubMed : 26829768, PubMed : 28214358). Acts as a key DNA sensor : directly binds double-stranded DNA (dsDNA), inducing the formation of liquid-like droplets in which CGAS is activated, leading to synthesis of 2',3'-cGAMP, a second messenger that binds to and activates STING1, thereby triggering type-I interferon production (PubMed : 23722158, PubMed : 28095500, PubMed : 28314590, PubMed : 28363908). Preferentially binds long dsDNA (around 45 bp) and forms ladder-like networks that function cooperatively to stabilize individual cGAS-dsDNA complexes (PubMed : 28902841). Acts as a key foreign DNA sensor, the presence of double-stranded DNA (dsDNA) in the cytoplasm being a danger signal that triggers the immune responses (PubMed : 23722158, PubMed : 28314590, PubMed : 28363908). Has antiviral activity by sensing the presence of dsDNA from DNA viruses in the cytoplasm (PubMed : 23258413, PubMed : 23647843, PubMed : 23722158). Also acts as an innate immune sensor of infection by retroviruses by detecting the presence of reverse-transcribed DNA in the cytosol (PubMed : 23929945). Detection of retroviral reverse-transcribed DNA in the cytosol may be indirect and be mediated via interaction with PQBP1, which directly binds reverse-transcribed retroviral DNA (By similarity). Also detects the presence of DNA from bacteria (By similarity). 2',3'-cGAMP can be transferred from producing cells to neighboring cells through gap junctions, leading to promote STING1 activation and convey immune response to connecting cells (PubMed : 24077100). 2',3'-cGAMP can also be transferred between cells by virtue of packaging within viral particles contributing to IFN-induction in newly infected cells in a cGAS-independent but STING1-dependent manner (PubMed : 26229117). Also senses the presence of neutrophil extracellular traps (NETs) that are translocated to the cytosol following phagocytosis, leading to synthesis of 2',3'-cGAMP (PubMed : 33688080). In addition to foreign DNA, can also be activated by endogenous nuclear or mitochondrial DNA (By similarity). When self-DNA leaks into the cytosol during cellular stress (such as mitochondrial stress, DNA damage, mitotic arrest or senescence), or is present in form of cytosolic micronuclei, CGAS is activated leading to a state of sterile inflammation (PubMed : 28738408, PubMed : 28759028). Acts as a regulator of cellular senescence by binding to cytosolic chromatin fragments that are present in senescent cells, leading to trigger type-I interferon production via STING1 and promote cellular senescence (PubMed : 28759028). Also involved in the inflammatory response to genome instability and double-stranded DNA breaks : acts by localizing to micronuclei arising from genome instability (PubMed : 28738408). Micronuclei, which as frequently found in cancer cells, consist of chromatin surrounded by its own nuclear membrane : following breakdown of the micronuclear envelope, a process associated with chromothripsis, CGAS binds self-DNA exposed to the cytosol, leading to 2',3'-cGAMP synthesis and subsequent activation of STING1 and type-I interferon production (PubMed : 28738408). In a healthy cell, CGAS is however kept inactive even in cellular events that directly expose it to self-DNA, such as mitosis, when cGAS associates with chromatin directly after nuclear envelope breakdown or remains in the form of postmitotic persistent nuclear cGAS pools bound to chromatin (By similarity). Nuclear CGAS is inactivated by chromatin via direct interaction with nucleosomes, which block CGAS from DNA binding and thus prevent CGAS-induced autoimmunity (PubMed : 31808743, PubMed : 32911480, PubMed : 32911481, PubMed : 32913000). Also acts as a suppressor of DNA repair in response to DNA damage : inhibits homologous recombination repair by interacting with PARP1, the CGAS-PARP1 interaction leading to impede the formation of the PARP1-TIMELESS complex (PubMed : 30356214, PubMed : 31544964, PubMed : 35210392). In addition to DNA, also sense translation stress : in response to translation stress, translocates to the cytosol and associates with collided ribosomes, promoting its activation and triggering type-I interferon production (By similarity).
See full target information Cgas

Product promise

We are committed to supporting your work with high-quality reagents, and we're here for you every step of the way. In the unlikely event that one of our products does not perform as expected, you're protected by our Product Promise.
For full details, please see our Terms & Conditions

Please note: All products are 'FOR RESEARCH USE ONLY. NOT FOR USE IN DIAGNOSTIC OR THERAPEUTIC PROCEDURES'.

For licensing inquiries, please contact partnerships@abcam.com