JavaScript is disabled in your browser. Please enable JavaScript to view this website.
AB242431

Anti-CGBP antibody [EPR19199] - BSA and Azide free

Be the first to review this product! Submit a review

|

(1 Publication)

Rabbit Recombinant Monoclonal CGBP antibody. Carrier free. Suitable for IP, ChIP, WB, ICC/IF, Flow Cyt (Intra), IHC-P and reacts with Human, Mouse, Rat samples. Cited in 1 publication.

View Alternative Names

CFP1, CGBP, PCCX1, PHF18, CXXC1, CXXC-type zinc finger protein 1, CpG-binding protein, PHD finger and CXXC domain-containing protein 1

9 Images
Flow Cytometry (Intracellular) - Anti-CGBP antibody [EPR19199] - BSA and Azide free (AB242431)
  • Flow Cyt (Intra)

Supplier Data

Flow Cytometry (Intracellular) - Anti-CGBP antibody [EPR19199] - BSA and Azide free (AB242431)

Intracellular flow cytometric analysis of 4% paraformaldehyde-fixed 293T (Human epithelial cell line from embryonic kidney) cells labeling CGBPwith ab198977 at 1/150 dilution (red) compared with a Rabbit IgG,monoclonal [EPR25A] - Isotype control (ab172730) (black) and an unlabelled control (cells without incubation with primary antibody and secondary antibody) (blue). Goat anti Rabbit IgG (FITC) at 1/500 dilution was used as the secondary antibody.

This data was developed using the same antibody clone in a different buffer formulation containing PBS, BSA, glycerol, and sodium azide (ab198977).

Immunocytochemistry/ Immunofluorescence - Anti-CGBP antibody [EPR19199] - BSA and Azide free (AB242431)
  • ICC/IF

Supplier Data

Immunocytochemistry/ Immunofluorescence - Anti-CGBP antibody [EPR19199] - BSA and Azide free (AB242431)

Immunofluorescent analysis of 4% paraformaldehyde-fixed, 0.1% Triton X-100 permeabilized HeLa (Human epithelial cell line from cervix adenocarcinoma) cells labeling CGBP with ab198977 at 1/250 dilution, followed by Goat Anti-Rabbit IgG (Alexa Fluor® 488) (ab150077) secondary antibody at 1/1000 dilution (green).

Confocal image showing nuclear staining on HeLa cell line.

The nuclear counterstain is DAPI (blue).

Tubulin is detected with Anti-alpha Tubulin-Loading Control (ab7291) at 1/1000 dilution and Goat Anti-Mouse IgG (AlexaFluor®594) preadsorbed (ab150120) at 1/1000 dilution (red).

The negative controls are as follows : -

-ve control 1 : ab198977 at 1/250 dilution followed by ab150120 at 1/1000 dilution.

-ve control 2 : ab7291 at 1/1000 dilution followed by ab150077 at 1/1000 dilution.

This data was developed using the same antibody clone in a different buffer formulation containing PBS, BSA, glycerol, and sodium azide (ab198977).

Immunoprecipitation - Anti-CGBP antibody [EPR19199] - BSA and Azide free (AB242431)
  • IP

Supplier Data

Immunoprecipitation - Anti-CGBP antibody [EPR19199] - BSA and Azide free (AB242431)

CGBP was immunoprecipitated from 1mg of HeLa (Human epithelial cell line from cervix adenocarcinoma) whole cell lysate with ab198977 at 1/40 dilution.

Western blot was performed from the immunoprecipitate using ab198977 at 1/1000 dilution.

VeriBlot for IP Detection Reagent (HRP) (ab131366), was used for detection at 1/10000 dilution.

Lane 1 : HeLa whole cell lysate, 10μg (Input).

Lane 2 : ab198977 IP in HeLa whole cell lysate.

Lane 3 : Rabbit IgG,monoclonal [EPR25A] -Isotype Control (ab172730) instead of ab198977 in HeLa whole cell lysate.

Blocking and dilution buffer and concentration : 5% NFDM/TBST.

Exposure time : 1 second.

This data was developed using the same antibody clone in a different buffer formulation containing PBS, BSA, glycerol, and sodium azide (ab198977)

All lanes:

Immunoprecipitation - Anti-CGBP antibody [EPR19199] - ChIP Grade (<a href='/en-us/products/primary-antibodies/cgbp-antibody-epr19199-chip-grade-ab198977'>ab198977</a>)

Predicted band size: 76 kDa

false

ChIP - Anti-CGBP antibody [EPR19199] - BSA and Azide free (AB242431)
  • ChIP

Unknown

ChIP - Anti-CGBP antibody [EPR19199] - BSA and Azide free (AB242431)

Chromatin was prepared from HeLa cells according to the Abcam Dual X-ChIP protocol*. Cells were fixed with EGS for 30 minutes, then formaldehyde for 10 minutes.
The ChIP was performed with 25 μg of chromatin, 5 μg of ab198977 (red), and 20 μl of Protein A/G sepharose beads. 5 μg of rabbit normal IgG was added to the beads control (gray). The immunoprecipitated DNA was quantified by real time PCR (Sybr green approach).
Primers and probes are located in the first kb of the transcribed region.
*http : //www.abcam.com/resources?keywords=X%20ChIP%20protocol
This data was developed using the same antibody clone in a different buffer formulation containing PBS, BSA, glycerol, and sodium azide (ab198977).

Immunohistochemistry (Formalin/PFA-fixed paraffin-embedded sections) - Anti-CGBP antibody [EPR19199] - BSA and Azide free (AB242431)
  • IHC-P

Supplier Data

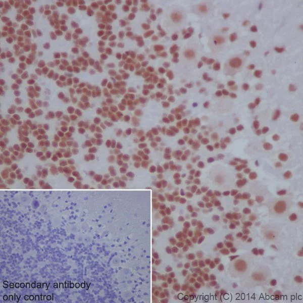
Immunohistochemistry (Formalin/PFA-fixed paraffin-embedded sections) - Anti-CGBP antibody [EPR19199] - BSA and Azide free (AB242431)

Immunohistochemical analysis of paraffin-embedded Mouse cerebrum tissue labeling CGBP with ab198977 at 1/1000 dilution, followed by Goat Anti-Rabbit IgG H&L (HRP) (ab97051) at 1/500 dilution.

Nuclear staining on mouse cerebrum tissue is observed.

Counter stained with Hematoxylin.

Secondary antibody only control : Used PBS instead of primary antibody, secondary antibody is Goat Anti-Rabbit IgG H&L (HRP) (ab97051) at 1/500 dilution.

This data was developed using the same antibody clone in a different buffer formulation containing PBS, BSA, glycerol, and sodium azide (ab198977).

Perform heat mediated antigen retrieval with Tris/EDTA buffer pH 9.0 before commencing with IHC staining protocol.

Flow Cytometry (Intracellular) - Anti-CGBP antibody [EPR19199] - BSA and Azide free (AB242431)
  • Flow Cyt (Intra)

Lab

Flow Cytometry (Intracellular) - Anti-CGBP antibody [EPR19199] - BSA and Azide free (AB242431)

Intracellular flow cytometric analysis of 4% paraformaldehyde-fixed NIH/3T3 cells labeling CGBPwith ab198977 at 1/150 dilution (red) compared with a Rabbit IgG,monoclonal-Isotype control (ab172730) (black) and an unlabelled control (cells without incubation with primary antibody and secondary antibody) (blue). Goat anti Rabbit IgG (FITC) at a dilution of 1/500 was used as the secondary antibody.

This data was developed using the same antibody clone in a different buffer formulation containing PBS, BSA, glycerol, and sodium azide (ab198977).

Immunocytochemistry/ Immunofluorescence - Anti-CGBP antibody [EPR19199] - BSA and Azide free (AB242431)
  • ICC/IF

Supplier Data

Immunocytochemistry/ Immunofluorescence - Anti-CGBP antibody [EPR19199] - BSA and Azide free (AB242431)

Immunofluorescent analysis of 4% paraformaldehyde-fixed, 0.1% Triton X-100 permeabilized NIH/3T3 (Mouse embryonic fibroblast cell line) cells labeling CGBP with ab198977 at 1/250 dilution, followed by Goat Anti-Rabbit IgG (Alexa Fluor® 488) (ab150077) secondary antibody at 1/1000 dilution (green).

Confocal image showing nuclear staining on NIH/3T3 cell line.

The nuclear counterstain is DAPI (blue).

Tubulin is detected Anti-alpha Tubulin antibody - Loading Control (ab7291) at 1/1000 dilution and Goat Anti-Mouse IgG (AlexaFluor®594) preadsorbed (ab150120) at 1/1000 dilution (red).

The negative controls are as follows : -

-ve control 1 : ab198977 at 1/250 dilution followed by ab150120 at 1/1000 dilution.

-ve control 2 : ab7291 at 1/1000 dilution followed by ab150077 at 1/1000 dilution.

This data was developed using the same antibody clone in a different buffer formulation containing PBS, BSA, glycerol, and sodium azide (ab198977).

Immunohistochemistry (Formalin/PFA-fixed paraffin-embedded sections) - Anti-CGBP antibody [EPR19199] - BSA and Azide free (AB242431)
  • IHC-P

Supplier Data

Immunohistochemistry (Formalin/PFA-fixed paraffin-embedded sections) - Anti-CGBP antibody [EPR19199] - BSA and Azide free (AB242431)

Immunohistochemical analysis of paraffin-embedded Rat cerebellum tissue labeling CGBP with ab198977 at 1/1000 dilution, followed by Goat Anti-Rabbit IgG H&L (HRP) (ab97051) at 1/500 dilution.

Nuclear staining on rat cerebellum tissue is observed.

Counter stained with Hematoxylin.

Secondary antibody only control : Used PBS instead of primary antibody, secondary antibody is Goat Anti-Rabbit IgG H&L (HRP) (ab97051) at 1/500 dilution.

This data was developed using the same antibody clone in a different buffer formulation containing PBS, BSA, glycerol, and sodium azide (ab198977).

Perform heat mediated antigen retrieval with Tris/EDTA buffer pH 9.0 before commencing with IHC staining protocol.

Western blot - Anti-CGBP antibody [EPR19199] - BSA and Azide free (AB242431)
  • WB

Supplier Data

Western blot - Anti-CGBP antibody [EPR19199] - BSA and Azide free (AB242431)

Blocking buffer : 5% NFDM/TBST.

Dilution buffer : 1% BSA/TBST.

This data is from our collaborator Hengyu-Fan's lab (Life Sciences Institute Zhejiang University).

This data was developed using the same antibody clone in a different buffer formulation containing PBS, BSA, glycerol, and sodium azide (ab198977).

All lanes:

Western blot - Anti-CGBP antibody [EPR19199] - ChIP Grade (<a href='/en-us/products/primary-antibodies/cgbp-antibody-epr19199-chip-grade-ab198977'>ab198977</a>) at 1/500 dilution

Lane 1:

WT HeLa (Human epithelial cell line from cervix adenocarcinoma) whole cell lysate

Lane 2:

CFP1(CGBP) KO HeLa (Human epithelial cell line from cervix adenocarcinoma) whole cell lysate

Secondary

All lanes:

Goat anti-Rabbit IgG (H+L), HRP at 1/5000 dilution

Predicted band size: 76 kDa

Observed band size: 76 kDa

false

Exposure time: 15s

  • Unconjugated

    Anti-CGBP antibody [EPR19199] - ChIP Grade

  • 665 Alexa Fluor® 647

    Alexa Fluor® 647 Anti-CGBP antibody [EPR19199] - ChIP Grade

  • 660 APC

    APC Anti-CGBP antibody [EPR19199] - ChIP Grade

  • 519 Alexa Fluor® 488

    Alexa Fluor® 488 Anti-CGBP antibody [EPR19199] - ChIP Grade

  • 578 PE

    PE Anti-CGBP antibody [EPR19199] - ChIP Grade

  • 617 Alexa Fluor® 594

    Alexa Fluor® 594 Anti-CGBP antibody [EPR19199] - ChIP Grade

  • 565 Alexa Fluor® 555

    Alexa Fluor® 555 Anti-CGBP antibody [EPR19199] - ChIP Grade

  • 775 Alexa Fluor® 750

    Alexa Fluor® 750 Anti-CGBP antibody [EPR19199] - ChIP Grade

Key facts

Host species

Rabbit

Clonality

Monoclonal

Clone number

EPR19199

Isotype

IgG

Carrier free

Yes

Reacts with

Mouse, Rat, Human

Applications

IP, WB, IHC-P, Flow Cyt (Intra), ICC/IF, ChIP

applications

Immunogen

The exact immunogen used to generate this antibody is proprietary information.

Reactivity data

{ "title": "Reactivity Data", "filters": { "stats": ["", "Species", "Dilution Info", "Notes"], "tabs": { "all-applications": {"fullname" : "All Applications", "shortname": "All Applications"}, "IP" : {"fullname" : "Immunoprecipitation", "shortname":"IP"}, "ChIP" : {"fullname" : "ChIP", "shortname":"ChIP"}, "WB" : {"fullname" : "Western blot", "shortname":"WB"}, "ICCIF" : {"fullname" : "Immunocytochemistry/ Immunofluorescence", "shortname":"ICC/IF"}, "FlowCytIntra" : {"fullname" : "Flow Cytometry (Intracellular)", "shortname":"Flow Cyt (Intra)"}, "IHCP" : {"fullname" : "Immunohistochemistry (Formalin/PFA-fixed paraffin-embedded sections)", "shortname":"IHC-P"} }, "product-promise": { "all": "all", "testedAndGuaranteed": "tested", "guaranteed": "expected", "predicted": "predicted", "notRecommended": "not-recommended" } }, "values": { "Human": { "IP-species-checked": "testedAndGuaranteed", "IP-species-dilution-info": "", "IP-species-notes": "<p></p>", "ChIP-species-checked": "testedAndGuaranteed", "ChIP-species-dilution-info": "", "ChIP-species-notes": "<p></p>", "WB-species-checked": "testedAndGuaranteed", "WB-species-dilution-info": "", "WB-species-notes": "<p></p>", "ICCIF-species-checked": "guaranteed", "ICCIF-species-dilution-info": "", "ICCIF-species-notes": "", "FlowCytIntra-species-checked": "testedAndGuaranteed", "FlowCytIntra-species-dilution-info": "", "FlowCytIntra-species-notes": "<p></p>", "IHCP-species-checked": "guaranteed", "IHCP-species-dilution-info": "", "IHCP-species-notes": "" }, "Mouse": { "IP-species-checked": "guaranteed", "IP-species-dilution-info": "", "IP-species-notes": "", "ChIP-species-checked": "guaranteed", "ChIP-species-dilution-info": "", "ChIP-species-notes": "", "WB-species-checked": "guaranteed", "WB-species-dilution-info": "", "WB-species-notes": "", "ICCIF-species-checked": "testedAndGuaranteed", "ICCIF-species-dilution-info": "", "ICCIF-species-notes": "<p></p>", "FlowCytIntra-species-checked": "guaranteed", "FlowCytIntra-species-dilution-info": "", "FlowCytIntra-species-notes": "", "IHCP-species-checked": "guaranteed", "IHCP-species-dilution-info": "", "IHCP-species-notes": "" }, "Rat": { "IP-species-checked": "guaranteed", "IP-species-dilution-info": "", "IP-species-notes": "", "ChIP-species-checked": "guaranteed", "ChIP-species-dilution-info": "", "ChIP-species-notes": "", "WB-species-checked": "guaranteed", "WB-species-dilution-info": "", "WB-species-notes": "", "ICCIF-species-checked": "guaranteed", "ICCIF-species-dilution-info": "", "ICCIF-species-notes": "", "FlowCytIntra-species-checked": "guaranteed", "FlowCytIntra-species-dilution-info": "", "FlowCytIntra-species-notes": "", "IHCP-species-checked": "testedAndGuaranteed", "IHCP-species-dilution-info": "", "IHCP-species-notes": "<p>IHC is recommended for rat and mouse only</p>" } } }

Product details

ab242431 is the carrier-free version of ab198977.

Patented technology
Our RabMAb® technology is a patented hybridoma-based technology for making rabbit monoclonal antibodies. For details on our patents, please refer to RabMAb® patents.

What are the advantages of a recombinant monoclonal antibody?
This product is a recombinant monoclonal antibody, which offers several advantages including:

  • - High batch-to-batch consistency and reproducibility
  • - Improved sensitivity and specificity
  • - Long-term security of supply
  • - Animal-free batch production

For more information, read more on recombinant antibodies.

Conjugation ready
Our carrier-free antibodies are typically supplied in a PBS-only formulation, purified and free of BSA, sodium azide and glycerol. This conjugation-ready format is designed for use with fluorochromes, metal isotopes, oligonucleotides, and enzymes, which makes them ideal for antibody labelling, functional and cell-based assays, flow-based assays (e.g. mass cytometry) and Multiplex Imaging applications.

Use our conjugation kits for antibody conjugates that are ready-to-use in as little as 20 minutes with 1 minute hands-on-time and 100% antibody recovery: available for fluorescent dyes, HRP, biotin and gold.

Compatibility
This product is compatible with the Maxpar® Antibody Labeling Kit from Fluidigm, without the need for antibody preparation. Maxpar® is a trademark of Fluidigm Canada Inc.

Properties and storage information

Form
Liquid
Purification technique
Affinity purification Protein A
Storage buffer
pH: 7.2 - 7.4 Constituents: PBS
Shipped at conditions
Blue Ice
Appropriate short-term storage conditions
+4°C
Appropriate long-term storage conditions
+4°C
Storage information
Do Not Freeze

Supplementary information

This supplementary information is collated from multiple sources and compiled automatically.

CGBP also known as CpG-binding protein is a DNA-binding protein with a mass of about 66 kDa. It is recognized for its function in binding to unmethylated CpG motifs in DNA. Scientists have observed its expression mainly in the nucleus where it plays a significant role in regulating gene expression. The interaction with these CpG regions is essential for maintaining gene activity and stability.
Biological function summary

CGBP influences the transcriptional regulation by acting as a transcription factor. This protein is part of a complex that includes other regulatory proteins assisting in the activation of specific gene sets. It participates by directing the cellular signals that modulate chromatin structure impacting the transcriptional landscape of several genes.

Pathways

CGBP interacts with cellular mechanisms that involve DNA methylation and histone modification. It is integrated within pathways like the Wnt signaling pathway and is related to proteins such as DNMT1 which is important for DNA methylation processes. This interaction supports its role in modulating gene silencing and activation across different cellular contexts.

Scientists have linked CGBP to cancer and autoimmune diseases. Alterations in CGBP expression or function can disrupt normal epigenetic regulation contributing to oncogenesis and immune dysregulation. In cancer its interaction with DNMT1 further associates it with aberrant methylation patterns a hallmark of many tumors. Similarly dysregulation of CGBP can influence pathways leading to autoimmune conditions complicating immune cell homeostasis.

Product protocols

For this product, it's our understanding that no specific protocols are required. You can visit:

Target data

Transcriptional activator that exhibits a unique DNA binding specificity for CpG unmethylated motifs with a preference for CpGG.
See full target information CXXC1

Publications (1)

Recent publications for all applications. Explore the full list and refine your search

Matrix biology : journal of the International Society for Matrix Biology 98:32-48 PubMed34015468

2021

Loss of sphingosine kinase 2 enhances Wilm's tumor suppressor gene 1 and nephrin expression in podocytes and protects from streptozotocin-induced podocytopathy and albuminuria in mice.

Applications

Unspecified application

Species

Unspecified reactive species

Faik Imeri,Bisera Stepanovska Tanturovska,Stephanie Schwalm,Sarbari Saha,Jinyang Zeng-Brouwers,Herrmann Pavenstädt,Josef Pfeilschifter,Liliana Schaefer,Andrea Huwiler
View all publications

Product promise

We are committed to supporting your work with high-quality reagents, and we're here for you every step of the way. In the unlikely event that one of our products does not perform as expected, you're protected by our Product Promise.
For full details, please see our Terms & Conditions

Please note: All products are 'FOR RESEARCH USE ONLY. NOT FOR USE IN DIAGNOSTIC OR THERAPEUTIC PROCEDURES'.

For licensing inquiries, please contact partnerships@abcam.com