JavaScript is disabled in your browser. Please enable JavaScript to view this website.
AB198977

Anti-CGBP antibody [EPR19199] - ChIP Grade

Be the first to review this product! Submit a review

|

(8 Publications)

Rabbit Recombinant Monoclonal CGBP antibody. Suitable for IP, ChIP, WB, ICC/IF, Flow Cyt (Intra), IHC-P and reacts with Human, Mouse, Rat samples. Cited in 8 publications.

View Alternative Names

CFP1, CGBP, PCCX1, PHF18, CXXC1, CXXC-type zinc finger protein 1, CpG-binding protein, PHD finger and CXXC domain-containing protein 1

14 Images
Flow Cytometry (Intracellular) - Anti-CGBP antibody [EPR19199] - ChIP Grade (AB198977)
  • Flow Cyt (Intra)

Supplier Data

Flow Cytometry (Intracellular) - Anti-CGBP antibody [EPR19199] - ChIP Grade (AB198977)

Intracellular flow cytometric analysis of 4% paraformaldehyde-fixed 293T (Human epithelial cell line from embryonic kidney) cells labeling CGBPwith ab198977 at 1/150 dilution (red) compared with a Rabbit IgG,monoclonal [EPR25A] - Isotype control (ab172730) (black) and an unlabelled control (cells without incubation with primary antibody and secondary antibody) (blue). Goat anti Rabbit IgG (FITC) at 1/500 dilution was used as the secondary antibody.

Immunocytochemistry/ Immunofluorescence - Anti-CGBP antibody [EPR19199] - ChIP Grade (AB198977)
  • ICC/IF

Supplier Data

Immunocytochemistry/ Immunofluorescence - Anti-CGBP antibody [EPR19199] - ChIP Grade (AB198977)

Immunofluorescent analysis of 4% paraformaldehyde-fixed, 0.1% Triton X-100 permeabilized HeLa (Human epithelial cell line from cervix adenocarcinoma) cells labeling CGBP with ab198977 at 1/250 dilution, followed by Goat Anti-Rabbit IgG (Alexa Fluor® 488) (ab150077) secondary antibody at 1/1000 dilution (green).

Confocal image showing nuclear staining on HeLa cell line.

The nuclear counterstain is DAPI (blue).

Tubulin is detected with Anti-alpha Tubulin-Loading Control (ab7291) at 1/1000 dilution and Goat Anti-Mouse IgG (AlexaFluor®594) preadsorbed (ab150120) at 1/1000 dilution (red).

The negative controls are as follows : -

-ve control 1 : ab198977 at 1/250 dilution followed by ab150120 at 1/1000 dilution.

-ve control 2 : ab7291 at 1/1000 dilution followed by ab150077 at 1/1000 dilution.

ChIP - Anti-CGBP antibody [EPR19199] - ChIP Grade (AB198977)
  • ChIP

Unknown

ChIP - Anti-CGBP antibody [EPR19199] - ChIP Grade (AB198977)

Chromatin was prepared from HeLa cells according to the Abcam Dual X-ChIP protocol*. Cells were fixed with EGS for 30 minutes, then formaldehyde for 10 minutes.
The ChIP was performed with 25 µg of chromatin, 5 µg of ab198977 (red), and 20 µl of Protein A/G sepharose beads. 5 µg of rabbit normal IgG was added to the beads control (gray). The immunoprecipitated DNA was quantified by real time PCR (Sybr green approach).
Primers and probes are located in the first kb of the transcribed region.
*http : //www.abcam.com/resources?keywords=X%20ChIP%20protocol

Immunoprecipitation - Anti-CGBP antibody [EPR19199] - ChIP Grade (AB198977)
  • IP

Supplier Data

Immunoprecipitation - Anti-CGBP antibody [EPR19199] - ChIP Grade (AB198977)

CGBP was immunoprecipitated from 1mg of HeLa (Human epithelial cell line from cervix adenocarcinoma) whole cell lysate with ab198977 at 1/40 dilution.

Western blot was performed from the immunoprecipitate using ab198977 at 1/1000 dilution.

VeriBlot for IP Detection Reagent (HRP) (ab131366), was used for detection at 1/10000 dilution.

Lane 1 : HeLa whole cell lysate, 10μg (Input).

Lane 2 : ab198977 IP in HeLa whole cell lysate.

Lane 3 : Rabbit IgG,monoclonal [EPR25A] -Isotype Control (ab172730) instead of ab198977 in HeLa whole cell lysate.

Blocking and dilution buffer and concentration : 5% NFDM/TBST.

Exposure time : 1 second.

All lanes:

Immunoprecipitation - Anti-CGBP antibody [EPR19199] - ChIP Grade (ab198977)

Predicted band size: 76 kDa

false

Immunohistochemistry (Formalin/PFA-fixed paraffin-embedded sections) - Anti-CGBP antibody [EPR19199] - ChIP Grade (AB198977)
  • IHC-P

Supplier Data

Immunohistochemistry (Formalin/PFA-fixed paraffin-embedded sections) - Anti-CGBP antibody [EPR19199] - ChIP Grade (AB198977)

Immunohistochemical analysis of paraffin-embedded Rat cerebellum tissue labeling CGBP with ab198977 at 1/1000 dilution, followed by Goat Anti-Rabbit IgG H&L (HRP) (ab97051) at 1/500 dilution.

Nuclear staining on rat cerebellum tissue is observed.

Counter stained with Hematoxylin.

Secondary antibody only control : Used PBS instead of primary antibody, secondary antibody is Goat Anti-Rabbit IgG H&L (HRP) (ab97051) at 1/500 dilution.

Perform heat mediated antigen retrieval with Tris/EDTA buffer pH 9.0 before commencing with IHC staining protocol.

Flow Cytometry (Intracellular) - Anti-CGBP antibody [EPR19199] - ChIP Grade (AB198977)
  • Flow Cyt (Intra)

Lab

Flow Cytometry (Intracellular) - Anti-CGBP antibody [EPR19199] - ChIP Grade (AB198977)

Intracellular flow cytometric analysis of 4% paraformaldehyde-fixed NIH/3T3 cells labeling CGBPwith ab198977 at 1/150 dilution (red) compared with a Rabbit IgG,monoclonal-Isotype control (ab172730) (black) and an unlabelled control (cells without incubation with primary antibody and secondary antibody) (blue). Goat anti Rabbit IgG (FITC) at a dilution of 1/500 was used as the secondary antibody.

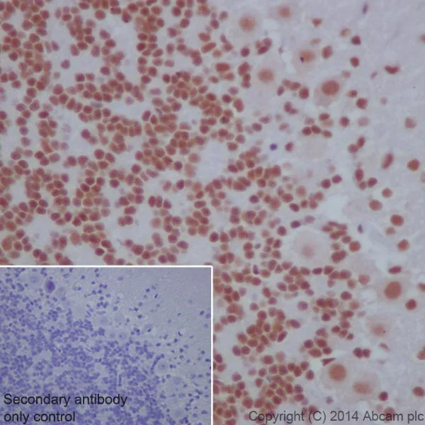
Immunohistochemistry (Formalin/PFA-fixed paraffin-embedded sections) - Anti-CGBP antibody [EPR19199] - ChIP Grade (AB198977)
  • IHC-P

Supplier Data

Immunohistochemistry (Formalin/PFA-fixed paraffin-embedded sections) - Anti-CGBP antibody [EPR19199] - ChIP Grade (AB198977)

Immunohistochemical analysis of paraffin-embedded Mouse cerebrum tissue labeling CGBP with ab198977 at 1/1000 dilution, followed by Goat Anti-Rabbit IgG H&L (HRP) (ab97051) at 1/500 dilution.

Nuclear staining on mouse cerebrum tissue is observed.

Counter stained with Hematoxylin.

Secondary antibody only control : Used PBS instead of primary antibody, secondary antibody is Goat Anti-Rabbit IgG H&L (HRP) (ab97051) at 1/500 dilution.

Perform heat mediated antigen retrieval with Tris/EDTA buffer pH 9.0 before commencing with IHC staining protocol.

Immunocytochemistry/ Immunofluorescence - Anti-CGBP antibody [EPR19199] - ChIP Grade (AB198977)
  • ICC/IF

Supplier Data

Immunocytochemistry/ Immunofluorescence - Anti-CGBP antibody [EPR19199] - ChIP Grade (AB198977)

Immunofluorescent analysis of 4% paraformaldehyde-fixed, 0.1% Triton X-100 permeabilized NIH/3T3 (Mouse embryonic fibroblast cell line) cells labeling CGBP with ab198977 at 1/250 dilution, followed by Goat Anti-Rabbit IgG (Alexa Fluor® 488) (ab150077) secondary antibody at 1/1000 dilution (green).

Confocal image showing nuclear staining on NIH/3T3 cell line.

The nuclear counterstain is DAPI (blue).

Tubulin is detected Anti-alpha Tubulin antibody - Loading Control (ab7291) at 1/1000 dilution and Goat Anti-Mouse IgG (AlexaFluor®594) preadsorbed (ab150120) at 1/1000 dilution (red).

The negative controls are as follows : -

-ve control 1 : ab198977 at 1/250 dilution followed by ab150120 at 1/1000 dilution.

-ve control 2 : ab7291 at 1/1000 dilution followed by ab150077 at 1/1000 dilution.

Western blot - Anti-CGBP antibody [EPR19199] - ChIP Grade (AB198977)
  • WB

Supplier Data

Western blot - Anti-CGBP antibody [EPR19199] - ChIP Grade (AB198977)

Blocking/Dilution buffer : 5% NFDM/TBST.

All lanes:

Western blot - Anti-CGBP antibody [EPR19199] - ChIP Grade (ab198977) at 1/2000 dilution

Lane 1:

Human fetal heart lysate at 10 µg

Lane 2:

Human fetal kidney lysate at 10 µg

Secondary

All lanes:

Goat Anti-Rabbit IgG Peroxidase Conjugate, specific to the non-reduced form of IgG at 1/10000 dilution

Predicted band size: 76 kDa

Observed band size: 76 kDa

false

Exposure time: 3min

Western blot - Anti-CGBP antibody [EPR19199] - ChIP Grade (AB198977)
  • WB

Supplier Data

Western blot - Anti-CGBP antibody [EPR19199] - ChIP Grade (AB198977)

Blocking/Dilution buffer : 5% NFDM/TBST.

Exposure time : Lane 1/2/3 : 30 seconds; Lane 4 : 3 minutes; Lane 5 : 10 seconds.

All lanes:

Western blot - Anti-CGBP antibody [EPR19199] - ChIP Grade (ab198977) at 1/20000 dilution

Lane 1:

293T (Human epithelial cell line from embryonic kidney) whole cell lysate at 10 µg

Lane 2:

K562 (Human chronic myelogenous leukemia cell line from bone marrow) whole cell lysate at 10 µg

Lane 3:

Jurkat (Human T cell leukemia cell line from peripheral blood) whole cell lysate at 10 µg

Lane 4:

MOLT-4 (Human lymphoblastic leukemia cell line) whole cell lysate at 10 µg

Lane 5:

HeLa (Human epithelial cell line from cervix adenocarcinoma) whole cell lysate at 10 µg

Secondary

All lanes:

Western blot - Goat Anti-Rabbit IgG H&L (HRP) (<a href='/en-us/products/secondary-antibodies/goat-rabbit-igg-h-l-hrp-ab97051'>ab97051</a>) at 1/100000 dilution

Predicted band size: 76 kDa

Observed band size: 76 kDa

false

Western blot - Anti-CGBP antibody [EPR19199] - ChIP Grade (AB198977)
  • WB

Supplier Data

Western blot - Anti-CGBP antibody [EPR19199] - ChIP Grade (AB198977)

Blocking buffer : 5% NFDM/TBST.

Dilution buffer : 1% BSA/TBST.

This data is from our collaborator Hengyu-Fan's lab (Life Sciences Institute Zhejiang University).

All lanes:

Western blot - Anti-CGBP antibody [EPR19199] - ChIP Grade (ab198977) at 1/500 dilution

Lane 1:

WT HeLa (Human epithelial cell line from cervix adenocarcinoma) whole cell lysate

Lane 2:

CFP1(CGBP) KO HeLa (Human epithelial cell line from cervix adenocarcinoma) whole cell lysate

Secondary

All lanes:

Goat anti-Rabbit IgG (H+L), HRP at 1/5000 dilution

Predicted band size: 76 kDa

Observed band size: 76 kDa

false

Exposure time: 15s

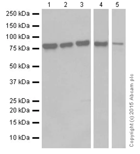
Western blot - Anti-CGBP antibody [EPR19199] - ChIP Grade (AB198977)
  • WB

Supplier Data

Western blot - Anti-CGBP antibody [EPR19199] - ChIP Grade (AB198977)

Blocking/Dilution buffer : 5% NFDM/TBST.

Exposure time : Lane 1/2 : 10 seconds; Lane 3/4/6 : 8 seconds; Lane 5 : 3 minutes.

Lanes 1 - 4:

Western blot - Anti-CGBP antibody [EPR19199] - ChIP Grade (ab198977) at 1/2000 dilution

Lanes 5 - 6:

Western blot - Anti-CGBP antibody [EPR19199] - ChIP Grade (ab198977) at 1/10000 dilution

Lane 1:

RAW 264.7 (Mouse macrophage cell line transformed with Abelson murine leukemia virus) whole cell lysate at 10 µg

Lane 2:

PC-12 (Rat adrenal gland pheochromocytoma cell line) whole cell lysate at 10 µg

Lane 3:

L-929 (Mouse connective tissue fibroblast cell line) whole cell lysate at 10 µg

Lane 4:

NIH/3T3 (Mouse embryonic fibroblast cell line) whole cell lysate at 10 µg

Lane 5:

L6 (Rat skeletal muscle cell line) whole cell lysate at 10 µg

Lane 6:

F9 (Mouse embryonic testicular cancer cell line) whole cell lysate at 10 µg

Secondary

All lanes:

Western blot - Goat Anti-Rabbit IgG H&L (HRP) (<a href='/en-us/products/secondary-antibodies/goat-rabbit-igg-h-l-hrp-ab97051'>ab97051</a>) at 1/100000 dilution

Predicted band size: 76 kDa

Observed band size: 76 kDa

false

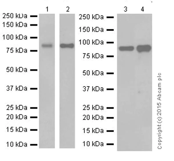
Western blot - Anti-CGBP antibody [EPR19199] - ChIP Grade (AB198977)
  • WB

Supplier Data

Western blot - Anti-CGBP antibody [EPR19199] - ChIP Grade (AB198977)

Blocking/Dilution buffer : 5% NFDM/TBST.

Exposure time : Lane 1 : 10 seconds; Lane 2/3/4 : 3 minutes.

All lanes:

Western blot - Anti-CGBP antibody [EPR19199] - ChIP Grade (ab198977) at 1/2000 dilution

Lane 1:

Mouse brain lysate at 10 µg

Lane 2:

Mouse heart lysate at 10 µg

Lane 3:

Rat brain lysate at 10 µg

Lane 4:

Rat spleen lysate at 10 µg

Secondary

All lanes:

Western blot - Goat Anti-Rabbit IgG H&L (HRP) (<a href='/en-us/products/secondary-antibodies/goat-rabbit-igg-h-l-hrp-ab97051'>ab97051</a>) at 1/100000 dilution

Predicted band size: 76 kDa

Observed band size: 76 kDa

false

Western blot - Anti-CGBP antibody [EPR19199] - ChIP Grade (AB198977)
  • WB

CiteAb

Western blot - Anti-CGBP antibody [EPR19199] - ChIP Grade (AB198977)

CGBP western blot using anti-CGBP antibody [EPR19199] - ChIP Grade ab198977. Publication image and figure legend from Tian, H., Billings, T., et al., 2018, PLoS Genet, PubMed 30365547.

ab198977 was used in this publication in western blot. This may not be the same as the application(s) guaranteed by Abcam. For a full list of applications guaranteed by Abcam for ab198977 please see the product overview.

Knocking out CXXC1 does not affect male fertility or testis histology.(A) CXXC1 is depleted in Stra8-cre CKO testes. Western blot of CXXC1 from adult B6, Cxxc1 het and CKO testicular extract. ß-tubulin was used as internal loading control. (B) CXXC1 is present in Sertoli cells but not in spermatocytes of Stra8-cre CKO mice. Immunostaining of CXXC1 on Cxxc1 het and CKO seminiferous tubule cross sections. Green, CXXC1; grey, DAPI. Long arrows, Sertoli cells; short arrows, spermatogonia; arrowhead, spermatocytes. Scale bar, 50 μm. (C) No change in fertility tests in CKO mice compared to B6 and Cxxc1 heterozygous controls. The number of viable pups for each genotype is shown. (D) Testis index (testis weight/body weight) is not changed in CKO mice compared to B6 and Cxxc1 heterozygous controls. (E) Normal histology of testis, epididymis and ovary is observed in both Cxxc1 control and CKO mice. Top panels, PAS staining of seminiferous tubule sections; scale bar, 100 μm. Middle panels, H&E staining of epididymis sections; scale bar, 200 μm. Bottom panels, H&E staining of 21 dpp ovary sections, Scale bar, 250 μm. Left panels, het control; right panels, Cxxc1 CKO with Stra8-Cre in male mice, and Ddx4-Cre in females. (F) No increased apoptosis is observed in testes of CKO mice. TUNEL staining in Cxxc1 het and CKO. Top panels, scale bar, 50 μm. Bottom panels, the apoptotic cell number is quantified as TUNEL positive cell number per seminiferous tubule. Data represent as mean ± SD, p = 0.94 by Student t-test.

false

  • 519 Alexa Fluor® 488

    Alexa Fluor® 488 Anti-CGBP antibody [EPR19199] - ChIP Grade

  • 665 Alexa Fluor® 647

    Alexa Fluor® 647 Anti-CGBP antibody [EPR19199] - ChIP Grade

  • 660 APC

    APC Anti-CGBP antibody [EPR19199] - ChIP Grade

  • 617 Alexa Fluor® 594

    Alexa Fluor® 594 Anti-CGBP antibody [EPR19199] - ChIP Grade

  • 565 Alexa Fluor® 555

    Alexa Fluor® 555 Anti-CGBP antibody [EPR19199] - ChIP Grade

  • 578 PE

    PE Anti-CGBP antibody [EPR19199] - ChIP Grade

  • 775 Alexa Fluor® 750

    Alexa Fluor® 750 Anti-CGBP antibody [EPR19199] - ChIP Grade

  • Carrier free

    Anti-CGBP antibody [EPR19199] - BSA and Azide free

Key facts

Host species

Rabbit

Clonality

Monoclonal

Clone number

EPR19199

Isotype

IgG

Carrier free

No

Reacts with

Mouse, Rat, Human

Applications

ICC/IF, IHC-P, ChIP, IP, WB, Flow Cyt (Intra)

applications

Immunogen

The exact immunogen used to generate this antibody is proprietary information.

Reactivity data

{ "title": "Reactivity Data", "filters": { "stats": ["", "Species", "Dilution Info", "Notes"], "tabs": { "all-applications": {"fullname" : "All Applications", "shortname": "All Applications"}, "IP" : {"fullname" : "Immunoprecipitation", "shortname":"IP"}, "ChIP" : {"fullname" : "ChIP", "shortname":"ChIP"}, "WB" : {"fullname" : "Western blot", "shortname":"WB"}, "ICCIF" : {"fullname" : "Immunocytochemistry/ Immunofluorescence", "shortname":"ICC/IF"}, "FlowCytIntra" : {"fullname" : "Flow Cytometry (Intracellular)", "shortname":"Flow Cyt (Intra)"}, "IHCP" : {"fullname" : "Immunohistochemistry (Formalin/PFA-fixed paraffin-embedded sections)", "shortname":"IHC-P"} }, "product-promise": { "all": "all", "testedAndGuaranteed": "tested", "guaranteed": "expected", "predicted": "predicted", "notRecommended": "not-recommended" } }, "values": { "Human": { "IP-species-checked": "testedAndGuaranteed", "IP-species-dilution-info": "1/40", "IP-species-notes": "<p></p>", "ChIP-species-checked": "testedAndGuaranteed", "ChIP-species-dilution-info": "", "ChIP-species-notes": "<p></p>", "WB-species-checked": "testedAndGuaranteed", "WB-species-dilution-info": "1/2000", "WB-species-notes": "<p></p>", "ICCIF-species-checked": "testedAndGuaranteed", "ICCIF-species-dilution-info": "1/250", "ICCIF-species-notes": "<p></p>", "FlowCytIntra-species-checked": "testedAndGuaranteed", "FlowCytIntra-species-dilution-info": "1/150", "FlowCytIntra-species-notes": "<p></p>", "IHCP-species-checked": "guaranteed", "IHCP-species-dilution-info": "", "IHCP-species-notes": "" }, "Mouse": { "IP-species-checked": "guaranteed", "IP-species-dilution-info": "", "IP-species-notes": "", "ChIP-species-checked": "guaranteed", "ChIP-species-dilution-info": "", "ChIP-species-notes": "", "WB-species-checked": "testedAndGuaranteed", "WB-species-dilution-info": "1/2000", "WB-species-notes": "<p></p>", "ICCIF-species-checked": "testedAndGuaranteed", "ICCIF-species-dilution-info": "1/250", "ICCIF-species-notes": "<p></p>", "FlowCytIntra-species-checked": "testedAndGuaranteed", "FlowCytIntra-species-dilution-info": "1/150", "FlowCytIntra-species-notes": "<p></p>", "IHCP-species-checked": "testedAndGuaranteed", "IHCP-species-dilution-info": "1/1000", "IHCP-species-notes": "<p>IHC is recommended for rat and mouse only</p> Perform heat-mediated antigen retrieval with Tris/EDTA buffer pH 9.0 before commencing with IHC staining protocol." }, "Rat": { "IP-species-checked": "guaranteed", "IP-species-dilution-info": "", "IP-species-notes": "", "ChIP-species-checked": "guaranteed", "ChIP-species-dilution-info": "", "ChIP-species-notes": "", "WB-species-checked": "testedAndGuaranteed", "WB-species-dilution-info": "1/2000", "WB-species-notes": "<p></p>", "ICCIF-species-checked": "guaranteed", "ICCIF-species-dilution-info": "", "ICCIF-species-notes": "", "FlowCytIntra-species-checked": "guaranteed", "FlowCytIntra-species-dilution-info": "", "FlowCytIntra-species-notes": "", "IHCP-species-checked": "testedAndGuaranteed", "IHCP-species-dilution-info": "1/1000", "IHCP-species-notes": "<p>IHC is recommended for rat and mouse only</p> Perform heat-mediated antigen retrieval with Tris/EDTA buffer pH 9.0 before commencing with IHC staining protocol." } } }

Product details

Patented technology
Our RabMAb® technology is a patented hybridoma-based technology for making rabbit monoclonal antibodies. For details on our patents, please refer to RabMAb® patents.

What are the advantages of a recombinant monoclonal antibody?
This product is a recombinant monoclonal antibody, which offers several advantages including:

  • - High batch-to-batch consistency and reproducibility
  • - Improved sensitivity and specificity
  • - Long-term security of supply
  • - Animal-free batch production

For more information, read more on recombinant antibodies.

Properties and storage information

Form
Liquid
Purification technique
Affinity purification Protein A
Storage buffer
pH: 7.2 - 7.4 Preservative: 0.01% Sodium azide Constituents: PBS, 40% Glycerol (glycerin, glycerine), 0.05% BSA
Shipped at conditions
Blue Ice
Appropriate short-term storage duration
1-2 weeks
Appropriate short-term storage conditions
+4°C
Appropriate long-term storage conditions
-20°C
Aliquoting information
Upon delivery aliquot
Storage information
Avoid freeze / thaw cycle

Supplementary information

This supplementary information is collated from multiple sources and compiled automatically.

CGBP also known as CpG-binding protein is a DNA-binding protein with a mass of about 66 kDa. It is recognized for its function in binding to unmethylated CpG motifs in DNA. Scientists have observed its expression mainly in the nucleus where it plays a significant role in regulating gene expression. The interaction with these CpG regions is essential for maintaining gene activity and stability.
Biological function summary

CGBP influences the transcriptional regulation by acting as a transcription factor. This protein is part of a complex that includes other regulatory proteins assisting in the activation of specific gene sets. It participates by directing the cellular signals that modulate chromatin structure impacting the transcriptional landscape of several genes.

Pathways

CGBP interacts with cellular mechanisms that involve DNA methylation and histone modification. It is integrated within pathways like the Wnt signaling pathway and is related to proteins such as DNMT1 which is important for DNA methylation processes. This interaction supports its role in modulating gene silencing and activation across different cellular contexts.

Scientists have linked CGBP to cancer and autoimmune diseases. Alterations in CGBP expression or function can disrupt normal epigenetic regulation contributing to oncogenesis and immune dysregulation. In cancer its interaction with DNMT1 further associates it with aberrant methylation patterns a hallmark of many tumors. Similarly dysregulation of CGBP can influence pathways leading to autoimmune conditions complicating immune cell homeostasis.

Product protocols

For this product, it's our understanding that no specific protocols are required. You can visit:

Target data

Transcriptional activator that exhibits a unique DNA binding specificity for CpG unmethylated motifs with a preference for CpGG.
See full target information CXXC1

Publications (8)

Recent publications for all applications. Explore the full list and refine your search

Nature communications 16:8013 PubMed40866336

2025

CFP1 promotes germinal center affinity maturation and restrains memory B cell differentiation through H3K4me3 modulation.

Applications

Unspecified application

Species

Unspecified reactive species

Yanan Zhao,Shuoxu Gong,Yalin Yang,Yimiao Lu,Jingning Bai,Meiling Liu,Wanyu Bai,Junchao Dong

Biogerontology 26:42 PubMed39832035

2025

Histone lysine methyltransferases and their specific methylation marks show significant changes in mouse testes from young to older ages.

Applications

Unspecified application

Species

Unspecified reactive species

Yesim Bilmez,Gunel Talibova,Betul Tire,Saffet Ozturk

Nature genetics 57:165-179 PubMed39806204

2025

Loss of Kmt2c or Kmt2d primes urothelium for tumorigenesis and redistributes KMT2A-menin to bivalent promoters.

Applications

Unspecified application

Species

Unspecified reactive species

Naitao Wang,Mohini R Pachai,Dan Li,Cindy J Lee,Sarah Warda,Makhzuna N Khudoynazarova,Woo Hyun Cho,Guojia Xie,Sagar R Shah,Li Yao,Cheng Qian,Elissa W P Wong,Juan Yan,Fanny V Tomas,Wenhuo Hu,Fengshen Kuo,Sizhi P Gao,Jiaqian Luo,Alison E Smith,Ming Han,Dong Gao,Kai Ge,Haiyuan Yu,Sarat Chandarlapaty,Gopakumar V Iyer,Jonathan E Rosenberg,David B Solit,Hikmat A Al-Ahmadie,Ping Chi,Yu Chen

Advanced science (Weinheim, Baden-Wurttemberg, Germany) 11:e2305992 PubMed38196272

2024

Cfp1 Controls Cardiomyocyte Maturation by Modifying Histone H3K4me3 of Structural, Metabolic, and Contractile Related Genes.

Applications

Unspecified application

Species

Unspecified reactive species

Changzhu Li,Yang Zhang,Jingling Shen,Hairong Bao,Yue Zhao,Desheng Li,Sijia Li,Yining Liu,Jiming Yang,Zhiwen Zhou,Kangyi Gao,Lexin Zhao,Yao Pei,Yanjie Lu,Zhenwei Pan,Benzhi Cai

Cell reports 34:108742 PubMed33567280

2021

The glucocorticoid receptor recruits the COMPASS complex to regulate inflammatory transcription at macrophage enhancers.

Applications

Unspecified application

Species

Unspecified reactive species

Franziska Greulich,Michael Wierer,Aikaterini Mechtidou,Omar Gonzalez-Garcia,N Henriette Uhlenhaut

PLoS genetics 14:e1007657 PubMed30365547

2018

CXXC1 is not essential for normal DNA double-strand break formation and meiotic recombination in mouse.

Applications

Unspecified application

Species

Unspecified reactive species

Hui Tian,Timothy Billings,Petko M Petkov

Cell reports 20:1161-1172 PubMed28768200

2017

CFP1 Regulates Histone H3K4 Trimethylation and Developmental Potential in Mouse Oocytes.

Applications

WB, ICC

Species

Unspecified reactive species, Unspecified reactive species

Chao Yu,Xiaoying Fan,Qian-Qian Sha,Hui-Han Wang,Bo-Tai Li,Xing-Xing Dai,Li Shen,Junping Liu,Lie Wang,Kui Liu,Fuchou Tang,Heng-Yu Fan

Epigenetics & chromatin 9:37 PubMed27617035

2016

Pax6 associates with H3K4-specific histone methyltransferases Mll1, Mll2, and Set1a and regulates H3K4 methylation at promoters and enhancers.

Applications

Unspecified application

Species

Unspecified reactive species

Jian Sun,Yilin Zhao,Rebecca McGreal,Yamit Cohen-Tayar,Shira Rockowitz,Carola Wilczek,Ruth Ashery-Padan,David Shechter,Deyou Zheng,Ales Cvekl
View all publications

Product promise

We are committed to supporting your work with high-quality reagents, and we're here for you every step of the way. In the unlikely event that one of our products does not perform as expected, you're protected by our Product Promise.
For full details, please see our Terms & Conditions

Please note: All products are 'FOR RESEARCH USE ONLY. NOT FOR USE IN DIAGNOSTIC OR THERAPEUTIC PROCEDURES'.

For licensing inquiries, please contact partnerships@abcam.com