JavaScript is disabled in your browser. Please enable JavaScript to view this website.
AB154724

Anti-cGKI antibody

Be the first to review this product! Submit a review

|

(1 Publication)

Rabbit Polyclonal cGKI antibody. Suitable for IHC-P, WB and reacts with Human, Mouse samples. Cited in 1 publication. Immunogen corresponding to Recombinant Fragment Protein within Human PRKG1 aa 1 to C-terminus.

View Alternative Names

PRKG1B, PRKGR1A, PRKGR1B, PRKG1, cGMP-dependent protein kinase 1, cGK 1, cGK1, cGMP-dependent protein kinase I, cGKI

2 Images
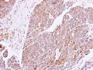
Immunohistochemistry (Formalin/PFA-fixed paraffin-embedded sections) - Anti-cGKI antibody (AB154724)
  • IHC-P

Unknown

Immunohistochemistry (Formalin/PFA-fixed paraffin-embedded sections) - Anti-cGKI antibody (AB154724)

Immunohistochemical analysis of paraffin-embedded Human Endometrial CA tissue labeling cGKI with ab154724 at 1/500.

Western blot - Anti-cGKI antibody (AB154724)
  • WB

Supplier Data

Western blot - Anti-cGKI antibody (AB154724)

7.5% SDS PAGE

All lanes:

Western blot - Anti-cGKI antibody (ab154724) at 1/2000 dilution

Lane 1:

NIH-3T3 whole cell lysate at 30 µg

Lane 2:

JC whole cell lysate at 30 µg

Predicted band size: 42 kDa,76 kDa

false

Key facts

Host species

Rabbit

Clonality

Polyclonal

Isotype

IgG

Carrier free

No

Reacts with

Mouse, Human

Applications

WB, IHC-P

applications

Immunogen

Recombinant Fragment Protein within Human PRKG1 aa 1 to C-terminus. The exact immunogen used to generate this antibody is proprietary information.

Q13976

Reactivity data

{ "title": "Reactivity Data", "filters": { "stats": ["", "Species", "Dilution Info", "Notes"], "tabs": { "all-applications": {"fullname" : "All Applications", "shortname": "All Applications"}, "IHCP" : {"fullname" : "Immunohistochemistry (Formalin/PFA-fixed paraffin-embedded sections)", "shortname":"IHC-P"}, "WB" : {"fullname" : "Western blot", "shortname":"WB"} }, "product-promise": { "all": "all", "testedAndGuaranteed": "tested", "guaranteed": "expected", "predicted": "predicted", "notRecommended": "not-recommended" } }, "values": { "Human": { "IHCP-species-checked": "testedAndGuaranteed", "IHCP-species-dilution-info": "1/500 - 1/1000", "IHCP-species-notes": "<p></p> Perform heat-mediated antigen retrieval with citrate buffer pH 6 before commencing with IHC staining protocol.", "WB-species-checked": "guaranteed", "WB-species-dilution-info": "", "WB-species-notes": "" }, "Mouse": { "IHCP-species-checked": "guaranteed", "IHCP-species-dilution-info": "", "IHCP-species-notes": "", "WB-species-checked": "testedAndGuaranteed", "WB-species-dilution-info": "1/500 - 1/3000", "WB-species-notes": "<p></p>" } } }

Properties and storage information

Form
Liquid
Purification technique
Affinity purification Immunogen
Storage buffer
pH: 7 Preservative: 0.01% Thimerosal (merthiolate) Constituents: 10% Glycerol (glycerin, glycerine), 1.21% Tris, 0.75% Glycine
Shipped at conditions
Blue Ice
Appropriate short-term storage conditions
+4°C
Appropriate long-term storage conditions
-20°C
Aliquoting information
Upon delivery aliquot
Storage information
Avoid freeze / thaw cycle

Supplementary information

This supplementary information is collated from multiple sources and compiled automatically.

CGKI also known as cyclic GMP-dependent protein kinase I or PKG I mechanically functions as an important player in the signaling pathways that depend on cyclic GMP (cGMP). cGKI is a serine/threonine protein kinase with a molecular mass of approximately 76 kilodaltons. It gets expressed in various tissues including vascular smooth muscle cells brain and platelets. The protein shows highest expression levels in tissues involved in smooth muscle regulation and neurological functions.
Biological function summary

The involvement of cGKI extends beyond basic signaling impacting diverse physiological processes. cGKI plays an important role in smooth muscle relaxation platelet function and nerve signaling. By phosphorylating various downstream targets cGKI affects muscle tone and neurotransmitter release. In the smooth muscle cGKI does not act independently but as part of a larger complex that modulates the cellular response to nitric oxide and natriuretic peptides.

Pathways

CGKI participates as an active component in the nitric oxide-cGMP signaling pathway. This pathway is significant in controlling vascular tone and neurotransmission. cGKI interacts with the proteins soluble guanylate cyclase and myosin light-chain phosphatase which together modulate blood vessel relaxation and contraction. Additionally cGKI plays a role in the cyclic nucleotide signaling pathways maintaining cardiovascular and neuronal health.

CGKI shows a connection to cardiovascular diseases and hypertension. Alterations in cGKI expression or function can lead to improper regulation of vascular tone contributing to elevated blood pressure. In the context of cardiovascular disorders cGKI interacts with proteins like PDE5A which also modulate cGMP levels in tissues. Understanding cGKI’s role in these diseases helps inform potential therapeutic targets for pharmacological intervention.

Product protocols

For this product, it's our understanding that no specific protocols are required. You can visit:

Target data

Serine/threonine protein kinase that acts as a key mediator of the nitric oxide (NO)/cGMP signaling pathway. GMP binding activates PRKG1, which phosphorylates serines and threonines on many cellular proteins. Numerous protein targets for PRKG1 phosphorylation are implicated in modulating cellular calcium, but the contribution of each of these targets may vary substantially among cell types. Proteins that are phosphorylated by PRKG1 regulate platelet activation and adhesion, smooth muscle contraction, cardiac function, gene expression, feedback of the NO-signaling pathway, and other processes involved in several aspects of the CNS like axon guidance, hippocampal and cerebellar learning, circadian rhythm and nociception. Smooth muscle relaxation is mediated through lowering of intracellular free calcium, by desensitization of contractile proteins to calcium, and by decrease in the contractile state of smooth muscle or in platelet activation. Regulates intracellular calcium levels via several pathways : phosphorylates IRAG1 and inhibits IP3-induced Ca(2+) release from intracellular stores, phosphorylation of KCNMA1 (BKCa) channels decreases intracellular Ca(2+) levels, which leads to increased opening of this channel. PRKG1 phosphorylates the canonical transient receptor potential channel (TRPC) family which inactivates the associated inward calcium current. Another mode of action of NO/cGMP/PKGI signaling involves PKGI-mediated inactivation of the Ras homolog gene family member A (RhoA). Phosphorylation of RHOA by PRKG1 blocks the action of this protein in myriad processes : regulation of RHOA translocation; decreasing contraction; controlling vesicle trafficking, reduction of myosin light chain phosphorylation resulting in vasorelaxation. Activation of PRKG1 by NO signaling alters also gene expression in a number of tissues. In smooth muscle cells, increased cGMP and PRKG1 activity influence expression of smooth muscle-specific contractile proteins, levels of proteins in the NO/cGMP signaling pathway, down-regulation of the matrix proteins osteopontin and thrombospondin-1 to limit smooth muscle cell migration and phenotype. Regulates vasodilator-stimulated phosphoprotein (VASP) functions in platelets and smooth muscle.
See full target information PRKG1

Publications (1)

Recent publications for all applications. Explore the full list and refine your search

Nature neuroscience 20:661-673 PubMed28346452

2017

Purine synthesis promotes maintenance of brain tumor initiating cells in glioma.

Applications

Unspecified application

Species

Unspecified reactive species

Xiuxing Wang,Kailin Yang,Qi Xie,Qiulian Wu,Stephen C Mack,Yu Shi,Leo J Y Kim,Briana C Prager,William A Flavahan,Xiaojing Liu,Meromit Singer,Christopher G Hubert,Tyler E Miller,Wenchao Zhou,Zhi Huang,Xiaoguang Fang,Aviv Regev,Mario L Suvà,Tae Hyun Hwang,Jason W Locasale,Shideng Bao,Jeremy N Rich
View all publications

Product promise

We are committed to supporting your work with high-quality reagents, and we're here for you every step of the way. In the unlikely event that one of our products does not perform as expected, you're protected by our Product Promise.
For full details, please see our Terms & Conditions

Please note: All products are 'FOR RESEARCH USE ONLY. NOT FOR USE IN DIAGNOSTIC OR THERAPEUTIC PROCEDURES'.

For licensing inquiries, please contact partnerships@abcam.com