JavaScript is disabled in your browser. Please enable JavaScript to view this website.
AB47027

Anti-CGRP antibody

4

(7 Reviews)

|

(47 Publications)

Rabbit Polyclonal Calcitonin antibody. Suitable for IHC-P and reacts with Rat samples. Cited in 47 publications.

View Alternative Names

Calc, Calca, Calcitonin

3 Images
Immunohistochemistry (Formalin/PFA-fixed paraffin-embedded sections) - Anti-CGRP antibody (AB47027)
  • IHC-P

AbReview31197****

Immunohistochemistry (Formalin/PFA-fixed paraffin-embedded sections) - Anti-CGRP antibody (AB47027)

IHC-P image of CGRP staining on Rat spinal cord sections using ab47027 (1 : 400). The sections were deparafinized and subjected to heat mediated antigen retrieval. The sections were then blocked using 1% BSA at 21°C for 10 min. The primary antibody was used 21°C for 2 hours.

This image is courtesy of an abreview submitted by Carl Hobbs, King's College London, United Kingdom

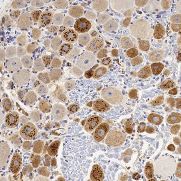
Immunohistochemistry (Formalin/PFA-fixed paraffin-embedded sections) - Anti-CGRP antibody (AB47027)
  • IHC-P

Lab

Immunohistochemistry (Formalin/PFA-fixed paraffin-embedded sections) - Anti-CGRP antibody (AB47027)

IHC image of CGRP staining in rat dorsal root ganglion formalin fixed paraffin embedded tissue section, performed on a Leica Bond system using the standard protocol F. The section was pre-treated using heat mediated antigen retrieval with sodium citrate buffer (pH6, epitope retrieval solution 1) for 20 mins. The section was then incubated with ab47027, 5μg/ml, for 15 mins at room temperature and detected using an HRP conjugated compact polymer system. DAB was used as the chromogen. The section was then counterstained with haematoxylin and mounted with DPX.

For other IHC staining systems (automated and non-automated) customers should optimize variable parameters such as antigen retrieval conditions, primary antibody concentration and antibody incubation times.

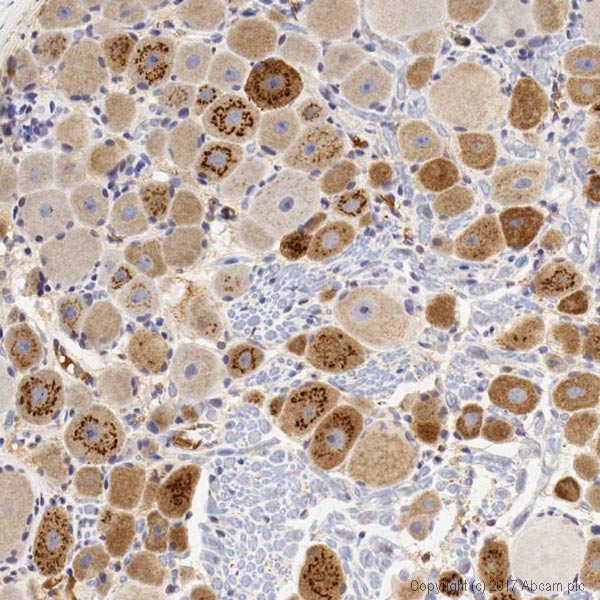
Immunohistochemistry (Formalin/PFA-fixed paraffin-embedded sections) - Anti-CGRP antibody (AB47027)
  • IHC-P

Lab

Immunohistochemistry (Formalin/PFA-fixed paraffin-embedded sections) - Anti-CGRP antibody (AB47027)

IHC image of CGRP staining in a Rat normal thyroid formalin fixed paraffin embedded tissue section, performed on a Leica Bond™ system using the standard protocol F. The section was pre-treated using heat mediated antigen retrieval with sodium citrate buffer (pH6, epitope retrieval solution 1) for 20 mins. The section was then incubated with ab47027, 0.1μg/ml, for 15 mins at room temperature and detected using an HRP conjugated compact polymer system. DAB was used as the chromogen. The section was then counterstained with haematoxylin and mounted with DPX.

For other IHC staining systems (automated and non-automated) customers should optimize variable parameters such as antigen retrieval conditions, primary antibody concentration and antibody incubation times.

Key facts

Host species

Rabbit

Clonality

Polyclonal

Isotype

IgG

Carrier free

No

Reacts with

Rat

Applications

IHC-P

applications

Immunogen

The exact immunogen used to generate this antibody is proprietary information.

Specificity

The immunogen used to raise this antibody has 78% homology with the human CGRP protein. Previous batches of ab47027 have shown to work in human tissue. Please contact Abcam Scientific Support for more information.

Reactivity data

{ "title": "Reactivity Data", "filters": { "stats": ["", "Species", "Dilution Info", "Notes"], "tabs": { "all-applications": {"fullname" : "All Applications", "shortname": "All Applications"}, "IHCP" : {"fullname" : "Immunohistochemistry (Formalin/PFA-fixed paraffin-embedded sections)", "shortname":"IHC-P"} }, "product-promise": { "all": "all", "testedAndGuaranteed": "tested", "guaranteed": "expected", "predicted": "predicted", "notRecommended": "not-recommended" } }, "values": { "Mouse": { "IHCP-species-checked": "predicted", "IHCP-species-dilution-info": "", "IHCP-species-notes": "" }, "Rat": { "IHCP-species-checked": "testedAndGuaranteed", "IHCP-species-dilution-info": "0.1-5 µg/mL", "IHCP-species-notes": "<p></p> Perform heat-mediated antigen retrieval with citrate buffer pH 6 before commencing with IHC staining protocol." } } }

Properties and storage information

Form
Liquid
Purification technique
Affinity purification Immunogen
Storage buffer
pH: 7.4 Preservative: 0.02% Sodium azide Constituents: PBS, 1% BSA
Shipped at conditions
Blue Ice
Appropriate short-term storage duration
1-2 weeks
Appropriate short-term storage conditions
+4°C
Appropriate long-term storage conditions
-20°C
Aliquoting information
Upon delivery aliquot
Storage information
Avoid freeze / thaw cycle

Supplementary information

This supplementary information is collated from multiple sources and compiled automatically.

CGRP or Calcitonin Gene-Related Peptide is a 37-amino acid neuropeptide with a molecular mass of approximately 3.8 kDa. This peptide exists mainly in two forms alpha-CGRP and beta-CGRP differing slightly in amino acid sequence. CGRP expresses in peripheral and central nervous systems with high levels in the dorsal root ganglia and thyroid gland. It also has a significant presence in the enteric nervous system and some segments of the cardiovascular system. Scientists note that CGRP acts as a potent vasodilator and plays a significant role in transducing pain signals.
Biological function summary

CGRP contributes to numerous physiological processes including blood flow regulation body temperature control pain transmission and neurogenic inflammation. It acts independently and does not substantially form part of larger protein complexes in its primary activities. Through binding to the CGRP receptor a complex made up of the calcitonin receptor-like receptor (CLR) and receptor activity-modifying protein 1 (RAMP1) CGRP initiates downstream signaling that results in its various biological effects.

Pathways

Studies place CGRP within the neuropeptide signaling pathway and the vasodilation pathway. It significantly influences the cyclic AMP (cAMP) signaling pathway where it works collaboratively with other neuropeptides like substance P. The interaction with CLR and RAMP1 triggers the production of cAMP which enhances vasodilation and pain transmission processes in the body.

CGRP holds a notable connection to migraines and cardiovascular diseases. Elevated CGRP levels are observed in migraine sufferers and targeted treatments utilizing anti-CGRP antibodies have demonstrated efficacy in reducing migraine frequency. Additionally research links CGRP to blood pressure regulation abnormalities implicating its involvement in hypertension. Both conditions involve complex interactions with other proteins such as substance P and endothelial nitric oxide synthase (eNOS) which modulate vascular tone and inflammation.

Product protocols

For this product, it's our understanding that no specific protocols are required. You can visit:

Target data

Calcitonin is a peptide hormone that causes a rapid but short-lived drop in the level of calcium and phosphate in blood by promoting the incorporation of those ions in the bones. Calcitonin function is mediated by the calcitonin receptor/CALCR and the CALCR-RAMP2 (AMYR2) receptor complex (By similarity).
See full target information Calca

Publications (47)

Recent publications for all applications. Explore the full list and refine your search

Hypertension research : official journal of the Japanese Society of Hypertension 48:2083-2094 PubMed40335722

2025

Identification of putative baroreceptors in human aortic arch by histological and omics analyses.

Applications

Unspecified application

Species

Unspecified reactive species

Yankey Yundung,Jaroslav Pelisek,Umberto Maccio,Zsuzsanna Varga,Houria Ech-Cherif,Enni Markkanen,Fabian Rössler,Ahmed Ouda,Omer Dzemali,Alexander Zimmermann,Benedikt Reutersberg

Frontiers in pharmacology 16:1397543 PubMed40206065

2025

The efficacy of ophiopogonanone B in treating the cough in mice infected with .

Applications

Unspecified application

Species

Unspecified reactive species

Nan-Nan Liu,Bai-Hui Guo,Lei Wang,Xiao-Xi Wang,Xin Wang,Yan-Li Meng,Gui-Xin Tang,Wei-Ming Wang

The journal of headache and pain 26:55 PubMed40087597

2025

Activation of central and peripheral transient receptor potential melastatin 8 increases susceptibility to spreading depolarization and facilitates trigeminal neuroinflammation.

Applications

Unspecified application

Species

Unspecified reactive species

Tzu-Ting Liu,Pin-Yu Chen,Chyun-Yea Tseng,Yun-Ning Chen,Jian-Bang Chen,Tz-Han Ni,Shuu-Jiun Wang,Shih-Pin Chen,Jiin-Cherng Yen

Bioactive materials 46:331-346 PubMed39816475

2025

Degradation products of magnesium implant synergistically enhance bone regeneration: Unraveling the roles of hydrogen gas and alkaline environment.

Applications

Unspecified application

Species

Unspecified reactive species

Yuanming An,Haozhi Zhang,Shi'an Zhang,Yuantao Zhang,Lizhen Zheng,Xin Chen,Wenxue Tong,Jiankun Xu,Ling Qin

Cell and tissue research 399:247-265 PubMed39656240

2024

TNBS colitis induces architectural changes and alpha-synuclein overexpression in mouse distal colon: A morphological study.

Applications

Unspecified application

Species

Unspecified reactive species

Arianna Casini,Giorgio Vivacqua,Ludovica Ceci,Stefano Leone,Rosa Vaccaro,Marco Tagliafierro,Filippo Maria Bassi,Sara Vitale,Emanuele Bocci,Luigi Pannarale,Simone Carotti,Antonio Franchitto,Patrizia Mancini,Roberta Sferra,Antonella Vetuschi,Giovanni Latella,Paolo Onori,Eugenio Gaudio,Romina Mancinelli

Brain circulation 10:154-161 PubMed39036293

2024

Restoring brain health: Electroacupuncture at GB20 and LR3 for migraine mitigation through mitochondrial restoration.

Applications

Unspecified application

Species

Unspecified reactive species

Jianchang Luo,Liyao Feng,Luodan Wang,Zhenyu Fang,Jiawang Lang,Boxu Lang

Cell reports 43:114230 PubMed38743566

2024

Plp1-expresssing perineuronal DRG cells facilitate colonic and somatic chronic mechanical pain involving Piezo2 upregulation in DRG neurons.

Applications

Unspecified application

Species

Unspecified reactive species

Namrata Tiwari,Cristina Smith,Divya Sharma,Shanwei Shen,Parshva Mehta,Liya Y Qiao

Frontiers in microbiology 15:1327630 PubMed38601933

2024

Electroacupuncture regulates gut microbiota to reduce depressive-like behavior in rats.

Applications

Unspecified application

Species

Unspecified reactive species

Junying Wang,Haohan Zhu,Xingke Song,Jun Zhao,Jianliang Zhang,Jinling Zhang,Shaoyuan Li,Peijing Rong

Clinical research in cardiology : official journal of the German Cardiac Society 113:1508-1513 PubMed38407582

2024

Human nerve distribution and density around the carotid artery bifurcation.

Applications

Unspecified application

Species

Unspecified reactive species

Helge Struthoff,Lucas Lauder,Jan M Federspiel,Mathias Hohl,Michael Böhm,Thomas Tschernig,Felix Mahfoud

Communications biology 7:223 PubMed38396204

2024

Transcript-dependent effects of the CALCA gene on the progression of post-traumatic osteoarthritis in mice.

Applications

Unspecified application

Species

Unspecified reactive species

Shan Jiang,Weixin Xie,Paul Richard Knapstein,Antonia Donat,Lilly-Charlotte Albertsen,Jan Sevecke,Cordula Erdmann,Jessika Appelt,Melanie Fuchs,Alexander Hildebrandt,Tazio Maleitzke,Karl-Heinz Frosch,Anke Baranowsky,Johannes Keller
View all publications

Product promise

We are committed to supporting your work with high-quality reagents, and we're here for you every step of the way. In the unlikely event that one of our products does not perform as expected, you're protected by our Product Promise.
For full details, please see our Terms & Conditions

Please note: All products are 'FOR RESEARCH USE ONLY. NOT FOR USE IN DIAGNOSTIC OR THERAPEUTIC PROCEDURES'.

For licensing inquiries, please contact partnerships@abcam.com